Post-endoscopic retrograde appendicitis therapy stent impaction leading to exacerbation of appendicitis: A case report.

IF 1 4区 医学 Q3 MEDICINE, GENERAL & INTERNAL
Tan-Tu Ma, Hao-Run Lyu
{"title":"Post-endoscopic retrograde appendicitis therapy stent impaction leading to exacerbation of appendicitis: A case report.","authors":"Tan-Tu Ma, Hao-Run Lyu","doi":"10.12998/wjcc.v13.i25.106587","DOIUrl":null,"url":null,"abstract":"<p><strong>Background: </strong>Endoscopic retrograde appendicitis therapy (ERAT) is an emerging technique. However, its efficacy remains uncertain, and postoperative complications often exacerbate inflammation, thereby increasing the difficulty of surgery. The use of ERAT in appendicitis remains contentious, prompting the presentation of this case report.</p><p><strong>Case summary: </strong>We report the case of a 43-year-old female patient presenting with intermittent right lower abdominal pain for one day. The patient had undergone ERAT six months previously. Examination revealed stent impaction in the appendix, leading to exacerbated inflammation. Subsequently, a solo single-incision laparoscopic appendectomy (SSLA) was performed. The ERAT-related complications increased surgical difficulty and prolonged the operation time. Post-SSLA, the patient was hospitalized for one day and showed favorable recovery upon follow-up.</p><p><strong>Conclusion: </strong>This case highlights the risks of ERAT. Thorough preoperative assessment, proper stent placement during surgery and regular postoperative follow-up are crucial in preventing complications, as their occurrence can increase surgical difficulty. Compared to ERAT, SSLA remains more widely used in clinical practice. Both techniques require further clinical data and research to optimize their application.</p>","PeriodicalId":23912,"journal":{"name":"World Journal of Clinical Cases","volume":"13 25","pages":"106587"},"PeriodicalIF":1.0000,"publicationDate":"2025-09-06","publicationTypes":"Journal Article","fieldsOfStudy":null,"isOpenAccess":false,"openAccessPdf":"https://www.ncbi.nlm.nih.gov/pmc/articles/PMC12243855/pdf/","citationCount":"0","resultStr":null,"platform":"Semanticscholar","paperid":null,"PeriodicalName":"World Journal of Clinical Cases","FirstCategoryId":"3","ListUrlMain":"https://doi.org/10.12998/wjcc.v13.i25.106587","RegionNum":4,"RegionCategory":"医学","ArticlePicture":[],"TitleCN":null,"AbstractTextCN":null,"PMCID":null,"EPubDate":"","PubModel":"","JCR":"Q3","JCRName":"MEDICINE, GENERAL & INTERNAL","Score":null,"Total":0}
引用次数: 0

Abstract

Background: Endoscopic retrograde appendicitis therapy (ERAT) is an emerging technique. However, its efficacy remains uncertain, and postoperative complications often exacerbate inflammation, thereby increasing the difficulty of surgery. The use of ERAT in appendicitis remains contentious, prompting the presentation of this case report.

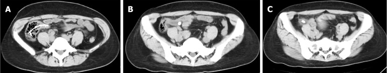
Case summary: We report the case of a 43-year-old female patient presenting with intermittent right lower abdominal pain for one day. The patient had undergone ERAT six months previously. Examination revealed stent impaction in the appendix, leading to exacerbated inflammation. Subsequently, a solo single-incision laparoscopic appendectomy (SSLA) was performed. The ERAT-related complications increased surgical difficulty and prolonged the operation time. Post-SSLA, the patient was hospitalized for one day and showed favorable recovery upon follow-up.

Conclusion: This case highlights the risks of ERAT. Thorough preoperative assessment, proper stent placement during surgery and regular postoperative follow-up are crucial in preventing complications, as their occurrence can increase surgical difficulty. Compared to ERAT, SSLA remains more widely used in clinical practice. Both techniques require further clinical data and research to optimize their application.

Abstract Image

Abstract Image

Abstract Image

内镜下逆行性阑尾炎治疗后支架嵌塞导致阑尾炎加重1例报告。
背景:内镜逆行性阑尾炎治疗(ERAT)是一项新兴技术。但其疗效尚不确定,术后并发症常加重炎症,增加手术难度。在阑尾炎中使用ERAT仍有争议,促使本病例报告的提出。病例总结:我们报告一例43岁的女性患者,表现为间歇性右下腹部疼痛一天。患者在6个月前接受了ERAT。检查发现阑尾支架嵌塞,导致炎症加剧。随后行单切口腹腔镜阑尾切除术(SSLA)。erat相关并发症增加手术难度,延长手术时间。术后患者住院1天,随访恢复良好。结论:本病例突出了ERAT的风险。术前充分评估、术中适当放置支架、术后定期随访是预防并发症的关键,因为并发症的发生会增加手术难度。与ERAT相比,SSLA在临床实践中应用更为广泛。这两种技术都需要进一步的临床数据和研究来优化其应用。
本文章由计算机程序翻译,如有差异,请以英文原文为准。
求助全文
约1分钟内获得全文 求助全文
来源期刊
World Journal of Clinical Cases
World Journal of Clinical Cases Medicine-General Medicine
自引率
0.00%
发文量
3384
期刊介绍: The World Journal of Clinical Cases (WJCC) is a high-quality, peer reviewed, open-access journal. The primary task of WJCC is to rapidly publish high-quality original articles, reviews, editorials, and case reports in the field of clinical cases. In order to promote productive academic communication, the peer review process for the WJCC is transparent; to this end, all published manuscripts are accompanied by the anonymized reviewers’ comments as well as the authors’ responses. The primary aims of the WJCC are to improve diagnostic, therapeutic and preventive modalities and the skills of clinicians and to guide clinical practice in clinical cases.
×
引用
GB/T 7714-2015
复制
MLA
复制
APA
复制
导出至
BibTeX EndNote RefMan NoteFirst NoteExpress
×
提示
您的信息不完整,为了账户安全,请先补充。
现在去补充
×
提示
您因"违规操作"
具体请查看互助需知
我知道了
×
提示
确定
请完成安全验证×
copy
已复制链接
快去分享给好友吧!
我知道了
右上角分享
点击右上角分享
0
联系我们:info@booksci.cn Book学术提供免费学术资源搜索服务,方便国内外学者检索中英文文献。致力于提供最便捷和优质的服务体验。 Copyright © 2023 布克学术 All rights reserved.
京ICP备2023020795号-1
ghs 京公网安备 11010802042870号
Book学术文献互助
Book学术文献互助群
群 号:604180095
Book学术官方微信