Multiple concurrent opportunistic infections in patient with myasthenia gravis: A case report.

IF 5.4 1区 农林科学 Q1 IMMUNOLOGY
Virulence Pub Date : 2025-12-01 Epub Date: 2025-08-28 DOI:10.1080/21505594.2025.2545570
Jingrou Chen, Jingchun Fang, Li Sun, Zongjun Zhang, Qinghua Ma, Jiahao Wu, Yili Chen, Kang Liao, Tiandi Long, Hongxu Xu
{"title":"Multiple concurrent opportunistic infections in patient with myasthenia gravis: A case report.","authors":"Jingrou Chen, Jingchun Fang, Li Sun, Zongjun Zhang, Qinghua Ma, Jiahao Wu, Yili Chen, Kang Liao, Tiandi Long, Hongxu Xu","doi":"10.1080/21505594.2025.2545570","DOIUrl":null,"url":null,"abstract":"<p><p>Myasthenia gravis (MG), a rare autoimmune disorder with poor prognosis, especially when complicated by opportunistic infections, which pose significant risks in clinical practice. We aimed to analyse a clinical case of a middle-aged male patient with MG, who developed severe lower gastrointestinal bleeding and multiple opportunistic infections post-immunosuppressive therapy. This case report is based on comprehensive clinical evaluations, including colonoscopy, histopathological examination, bronchoscopy, bronchoalveolar lavage (BAL), and metagenomic next-generation sequencing (mNGS). The patient exhibited persistent ptosis and pulmonary infection, and was treated with Meropenem 12 mg once daily (qd), Tacrolimus 2 mg qd, and Bromhexine 60 mg three times daily (tid). Due to ongoing lower gastrointestinal bleeding, surgery was performed. Colonoscopy revealed multiple ulcers, with histopathology confirming Cytomegalovirus (CMV) and Histoplasmosis infections. Bronchoalveolar lavage fluid (BALF) identified infections with Aspergillus fumigatus, Talaromyces, and Stenotrophomonas maltophilia. mNGS further detected Pneumocystis jirovecii. Based on these findings, the treatment plan was adjusted to include Amphotericin B complex 25 mg via intravenous (IV) qd, Tigecycline 100 mg q12h, and Sulfamethoxazole (SMZ) 0.96 g q6h for anti-infection, along with Ganciclovir 250 mg IV q12h. The patient continues to receive infusions of immunoglobulins and albumin. This case underscores the importance of monitoring MG patients on immunosuppressive therapy for opportunistic infections, emphasizing the complexity of managing multiple pathogens simultaneously.</p>","PeriodicalId":23747,"journal":{"name":"Virulence","volume":"16 1","pages":"2545570"},"PeriodicalIF":5.4000,"publicationDate":"2025-12-01","publicationTypes":"Journal Article","fieldsOfStudy":null,"isOpenAccess":false,"openAccessPdf":"https://www.ncbi.nlm.nih.gov/pmc/articles/PMC12396124/pdf/","citationCount":"0","resultStr":null,"platform":"Semanticscholar","paperid":null,"PeriodicalName":"Virulence","FirstCategoryId":"99","ListUrlMain":"https://doi.org/10.1080/21505594.2025.2545570","RegionNum":1,"RegionCategory":"农林科学","ArticlePicture":[],"TitleCN":null,"AbstractTextCN":null,"PMCID":null,"EPubDate":"2025/8/28 0:00:00","PubModel":"Epub","JCR":"Q1","JCRName":"IMMUNOLOGY","Score":null,"Total":0}
引用次数: 0

Abstract

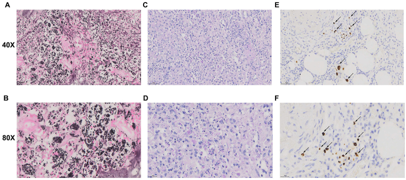
Myasthenia gravis (MG), a rare autoimmune disorder with poor prognosis, especially when complicated by opportunistic infections, which pose significant risks in clinical practice. We aimed to analyse a clinical case of a middle-aged male patient with MG, who developed severe lower gastrointestinal bleeding and multiple opportunistic infections post-immunosuppressive therapy. This case report is based on comprehensive clinical evaluations, including colonoscopy, histopathological examination, bronchoscopy, bronchoalveolar lavage (BAL), and metagenomic next-generation sequencing (mNGS). The patient exhibited persistent ptosis and pulmonary infection, and was treated with Meropenem 12 mg once daily (qd), Tacrolimus 2 mg qd, and Bromhexine 60 mg three times daily (tid). Due to ongoing lower gastrointestinal bleeding, surgery was performed. Colonoscopy revealed multiple ulcers, with histopathology confirming Cytomegalovirus (CMV) and Histoplasmosis infections. Bronchoalveolar lavage fluid (BALF) identified infections with Aspergillus fumigatus, Talaromyces, and Stenotrophomonas maltophilia. mNGS further detected Pneumocystis jirovecii. Based on these findings, the treatment plan was adjusted to include Amphotericin B complex 25 mg via intravenous (IV) qd, Tigecycline 100 mg q12h, and Sulfamethoxazole (SMZ) 0.96 g q6h for anti-infection, along with Ganciclovir 250 mg IV q12h. The patient continues to receive infusions of immunoglobulins and albumin. This case underscores the importance of monitoring MG patients on immunosuppressive therapy for opportunistic infections, emphasizing the complexity of managing multiple pathogens simultaneously.

Abstract Image

Abstract Image

Abstract Image

重症肌无力患者多重并发机会性感染1例。
重症肌无力(MG)是一种罕见的自身免疫性疾病,预后较差,尤其是合并机会性感染,在临床实践中具有重大风险。我们的目的是分析一个中年男性MG患者的临床病例,他在免疫抑制治疗后出现严重的下消化道出血和多重机会性感染。本病例报告基于综合临床评估,包括结肠镜检查、组织病理学检查、支气管镜检查、支气管肺泡灌洗(BAL)和新一代宏基因组测序(mNGS)。患者出现持续性上下垂和肺部感染,给予美罗苯南12 mg每日1次(qd),他克莫司2 mg每日1次(qd),溴克辛60 mg每日3次(tid)治疗。由于持续的下消化道出血,我们进行了手术。结肠镜检查显示多发溃疡,组织病理学证实巨细胞病毒(CMV)和组织胞浆菌病感染。支气管肺泡灌洗液(BALF)鉴定为烟曲霉、Talaromyces和嗜麦芽窄养单胞菌感染。mNGS进一步检测出吉罗氏肺囊虫。根据这些发现,调整治疗方案,包括两性霉素B复合物25mg,静脉注射(IV) qd,替加环素100mg, q12h,磺胺甲恶唑(SMZ) 0.96 g, q6h抗感染,更昔洛韦250mg, IV, q12h。病人继续接受免疫球蛋白和白蛋白的输注。该病例强调了监测MG患者对机会性感染的免疫抑制治疗的重要性,强调了同时管理多种病原体的复杂性。
本文章由计算机程序翻译,如有差异,请以英文原文为准。
求助全文
约1分钟内获得全文 求助全文
来源期刊
Virulence
Virulence IMMUNOLOGY-MICROBIOLOGY
CiteScore
9.20
自引率
1.90%
发文量
123
审稿时长
6-12 weeks
期刊介绍: Virulence is a fully open access peer-reviewed journal. All articles will (if accepted) be available for anyone to read anywhere, at any time immediately on publication. Virulence is the first international peer-reviewed journal of its kind to focus exclusively on microbial pathogenicity, the infection process and host-pathogen interactions. To address the new infectious challenges, emerging infectious agents and antimicrobial resistance, there is a clear need for interdisciplinary research.
×
引用
GB/T 7714-2015
复制
MLA
复制
APA
复制
导出至
BibTeX EndNote RefMan NoteFirst NoteExpress
×
提示
您的信息不完整,为了账户安全,请先补充。
现在去补充
×
提示
您因"违规操作"
具体请查看互助需知
我知道了
×
提示
确定
请完成安全验证×
copy
已复制链接
快去分享给好友吧!
我知道了
右上角分享
点击右上角分享
0
联系我们:info@booksci.cn Book学术提供免费学术资源搜索服务,方便国内外学者检索中英文文献。致力于提供最便捷和优质的服务体验。 Copyright © 2023 布克学术 All rights reserved.
京ICP备2023020795号-1
ghs 京公网安备 11010802042870号
Book学术文献互助
Book学术文献互助群
群 号:604180095
Book学术官方微信