Human herpes virus-7-related severe encephalitis diagnosed using mNGS in immunocompetent pediatric patients.

IF 4 3区 医学 Q2 VIROLOGY
Xin Chen, Huan Zhao, Chunxue Jiang, Tingting Sun, Xuewen Xu, Kai You
{"title":"Human herpes virus-7-related severe encephalitis diagnosed using mNGS in immunocompetent pediatric patients.","authors":"Xin Chen, Huan Zhao, Chunxue Jiang, Tingting Sun, Xuewen Xu, Kai You","doi":"10.1186/s12985-025-02841-4","DOIUrl":null,"url":null,"abstract":"<p><strong>Background: </strong>This study sought to describe the clinical characteristics, examination results, and prognoses of immunocompetent children with human herpes virus 7 (HHV-7)-related severe encephalitis.</p><p><strong>Methods: </strong>Twelve immunocompetent children with severe HHV-7-related encephalitis were included, all of whom had HHV-7 DNA ( +) detected in the cerebrospinal fluid via metagenomic next-generation sequencing (mNGS) and were followed up for > 6 months.</p><p><strong>Results: </strong>The cohort comprised 75% males, with a median age of 4.5 years; all patients presented with fever and altered consciousness and required PICU admission for severe neurological symptoms. Two patients developed encephalitis sequelae and epilepsy. Abnormal electroencephalography and brain magnetic resonance imaging findings were observed in 90.9% (10/11) and 72.7% (8/11) of the patients, respectively. Five patients required ventilator support due to central respiratory failure (four invasive and one noninvasive). One patient underwent plasma exchange, while another received continuous renal replacement therapy. All patients were treated with acyclovir and immunomodulatory therapy. Four patients had poor prognoses, including one 9-year-old male who died and one 9-year-old female who was diagnosed with febrile infection-related epilepsy syndrome and remained in a coma with a Modified Rankin Scale score of 5 at the 6-month follow-up.</p><p><strong>Conclusions: </strong>Older immunocompetent children with severe HHV-7-related encephalitis have poor prognosis and low survival rates, both of which may be improved via empiric acyclovir administration combined with immunosuppressive therapy.</p>","PeriodicalId":23616,"journal":{"name":"Virology Journal","volume":"22 1","pages":"287"},"PeriodicalIF":4.0000,"publicationDate":"2025-08-21","publicationTypes":"Journal Article","fieldsOfStudy":null,"isOpenAccess":false,"openAccessPdf":"https://www.ncbi.nlm.nih.gov/pmc/articles/PMC12369137/pdf/","citationCount":"0","resultStr":null,"platform":"Semanticscholar","paperid":null,"PeriodicalName":"Virology Journal","FirstCategoryId":"3","ListUrlMain":"https://doi.org/10.1186/s12985-025-02841-4","RegionNum":3,"RegionCategory":"医学","ArticlePicture":[],"TitleCN":null,"AbstractTextCN":null,"PMCID":null,"EPubDate":"","PubModel":"","JCR":"Q2","JCRName":"VIROLOGY","Score":null,"Total":0}
引用次数: 0

Abstract

Background: This study sought to describe the clinical characteristics, examination results, and prognoses of immunocompetent children with human herpes virus 7 (HHV-7)-related severe encephalitis.

Methods: Twelve immunocompetent children with severe HHV-7-related encephalitis were included, all of whom had HHV-7 DNA ( +) detected in the cerebrospinal fluid via metagenomic next-generation sequencing (mNGS) and were followed up for > 6 months.

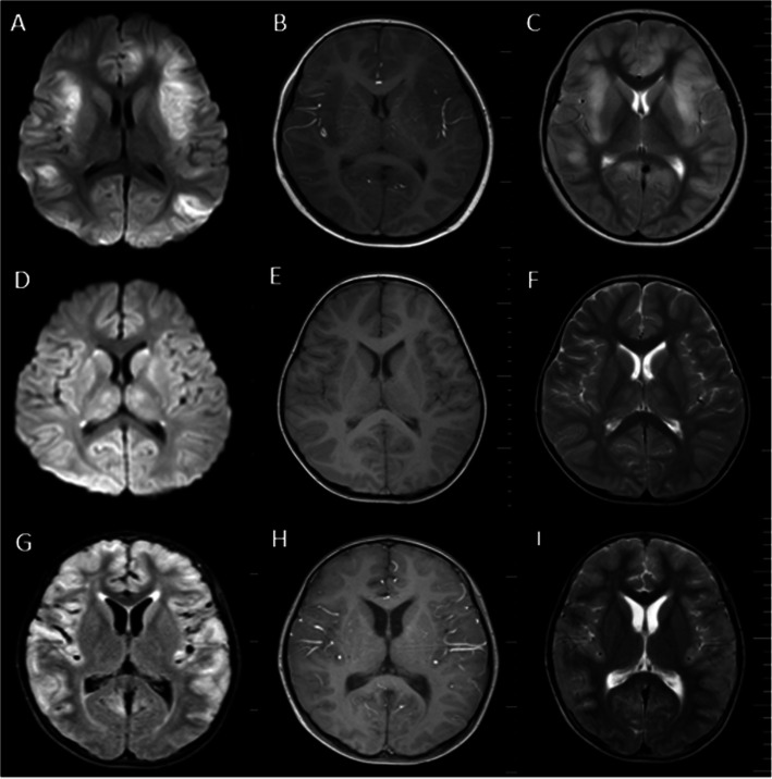
Results: The cohort comprised 75% males, with a median age of 4.5 years; all patients presented with fever and altered consciousness and required PICU admission for severe neurological symptoms. Two patients developed encephalitis sequelae and epilepsy. Abnormal electroencephalography and brain magnetic resonance imaging findings were observed in 90.9% (10/11) and 72.7% (8/11) of the patients, respectively. Five patients required ventilator support due to central respiratory failure (four invasive and one noninvasive). One patient underwent plasma exchange, while another received continuous renal replacement therapy. All patients were treated with acyclovir and immunomodulatory therapy. Four patients had poor prognoses, including one 9-year-old male who died and one 9-year-old female who was diagnosed with febrile infection-related epilepsy syndrome and remained in a coma with a Modified Rankin Scale score of 5 at the 6-month follow-up.

Conclusions: Older immunocompetent children with severe HHV-7-related encephalitis have poor prognosis and low survival rates, both of which may be improved via empiric acyclovir administration combined with immunosuppressive therapy.

Abstract Image

在免疫功能正常的儿童患者中使用mNGS诊断人类疱疹病毒-7相关的严重脑炎
背景:本研究旨在描述免疫功能正常儿童感染人类疱疹病毒7型(HHV-7)相关严重脑炎的临床特征、检查结果和预后。方法:选取12例免疫功能正常的重型HHV-7相关脑炎患儿,通过宏基因组新一代测序(mNGS)检测脑脊液中HHV-7 DNA(+),随访6 ~ 6个月。结果:队列中75%为男性,中位年龄为4.5岁;所有患者均表现为发热和意识改变,因出现严重神经系统症状需入院PICU。2例患者出现脑炎后遗症和癫痫。90.9%(10/11)的患者出现脑电图异常,72.7%(8/11)的患者出现脑磁共振异常。5例患者因中枢性呼吸衰竭需要呼吸机支持(4例有创,1例无创)。一名患者接受血浆置换,另一名患者接受持续肾脏替代治疗。所有患者均接受阿昔洛韦和免疫调节治疗。4例患者预后不良,其中1例9岁男性死亡,1例9岁女性被诊断为发热性感染相关癫痫综合征,在6个月的随访中仍处于昏迷状态,修正兰金量表评分为5分。结论:大龄免疫功能正常儿童重症hhv -7相关脑炎预后差,生存率低,经年性给予阿昔洛韦联合免疫抑制治疗可改善这两种情况。
本文章由计算机程序翻译,如有差异,请以英文原文为准。
求助全文
约1分钟内获得全文 求助全文
来源期刊
Virology Journal
Virology Journal 医学-病毒学
CiteScore
7.40
自引率
2.10%
发文量
186
审稿时长
1 months
期刊介绍: Virology Journal is an open access, peer reviewed journal that considers articles on all aspects of virology, including research on the viruses of animals, plants and microbes. The journal welcomes basic research as well as pre-clinical and clinical studies of novel diagnostic tools, vaccines and anti-viral therapies. The Editorial policy of Virology Journal is to publish all research which is assessed by peer reviewers to be a coherent and sound addition to the scientific literature, and puts less emphasis on interest levels or perceived impact.
×
引用
GB/T 7714-2015
复制
MLA
复制
APA
复制
导出至
BibTeX EndNote RefMan NoteFirst NoteExpress
×
提示
您的信息不完整,为了账户安全,请先补充。
现在去补充
×
提示
您因"违规操作"
具体请查看互助需知
我知道了
×
提示
确定
请完成安全验证×
copy
已复制链接
快去分享给好友吧!
我知道了
右上角分享
点击右上角分享
0
联系我们:info@booksci.cn Book学术提供免费学术资源搜索服务,方便国内外学者检索中英文文献。致力于提供最便捷和优质的服务体验。 Copyright © 2023 布克学术 All rights reserved.
京ICP备2023020795号-1
ghs 京公网安备 11010802042870号
Book学术文献互助
Book学术文献互助群
群 号:604180095
Book学术官方微信