Gastrointestinal schwannomas: A case series of 9 patients and literature review.

IF 0.6 Q4 SURGERY
Server Sezgin Uludağ, Ergin Erginöz, Nazım Güreş, Zeynep Özdemir, Nuray Kepil, Şebnem Batur
{"title":"Gastrointestinal schwannomas: A case series of 9 patients and literature review.","authors":"Server Sezgin Uludağ, Ergin Erginöz, Nazım Güreş, Zeynep Özdemir, Nuray Kepil, Şebnem Batur","doi":"10.47717/turkjsurg.2025.2025-5-28","DOIUrl":null,"url":null,"abstract":"<p><p>Gastrointestinal schwannomas are benign, slow-growing, rare tumors comprising 2-6% of all mesenchymal tumors of the gastrointestinal tract and 0.2% of all gastric neoplasms. In the gastrointestinal system, schwannomas are mostly observed in the stomach, followed by the colon and rectum. In this case series, we present the clinicopathological results of 9 cases, along with a literature review. A retrospective analysis was conducted on nine patients diagnosed with gastrointestinal schwannoma in a single institution. Tumors were located in the small intestine and stomach, with an average tumor size of 4.6 cm (range: 1.8-8.5 cm). Diagnoses were incidental in most cases, with only four patients presenting symptoms such as epigastric pain and changes in bowel habits. Histopathological characteristics of tumors were studied. Surgical resection with negative margins was performed in 8 cases. Histopathological analysis confirmed schwannomas characterized by solid, homogeneous, spindle-cell structures without cystic changes or necrosis. Immunohistochemically, all tumors were S-100 positive, with variable expression of other markers. Desmin was negative in seven samples. One gastric schwannoma showed focal smooth muscle actin positivity, while others were negative. The Ki-67 index ranged from 0% to 6%, and c-Kit was negative in all cases. DOG-1 expression was examined in four cases, showing focal positivity in small bowel schwannoma and negativity in three gastric schwannomas. Gastrointestinal schwannomas are predominantly benign tumors, more common in women, and typically occur in the sixth decade of life. While imaging and endoscopic techniques help in diagnosis, definitive diagnosis relies on histopathological analysis. Surgical resection remains the gold standard for treatment.</p>","PeriodicalId":23374,"journal":{"name":"Turkish Journal of Surgery","volume":"41 3","pages":"327-332"},"PeriodicalIF":0.6000,"publicationDate":"2025-09-03","publicationTypes":"Journal Article","fieldsOfStudy":null,"isOpenAccess":false,"openAccessPdf":"https://www.ncbi.nlm.nih.gov/pmc/articles/PMC12406649/pdf/","citationCount":"0","resultStr":null,"platform":"Semanticscholar","paperid":null,"PeriodicalName":"Turkish Journal of Surgery","FirstCategoryId":"1085","ListUrlMain":"https://doi.org/10.47717/turkjsurg.2025.2025-5-28","RegionNum":0,"RegionCategory":null,"ArticlePicture":[],"TitleCN":null,"AbstractTextCN":null,"PMCID":null,"EPubDate":"","PubModel":"","JCR":"Q4","JCRName":"SURGERY","Score":null,"Total":0}
引用次数: 0

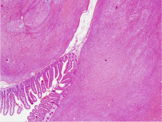
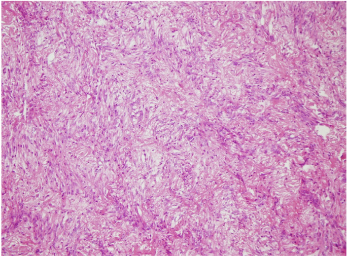
Abstract

Gastrointestinal schwannomas are benign, slow-growing, rare tumors comprising 2-6% of all mesenchymal tumors of the gastrointestinal tract and 0.2% of all gastric neoplasms. In the gastrointestinal system, schwannomas are mostly observed in the stomach, followed by the colon and rectum. In this case series, we present the clinicopathological results of 9 cases, along with a literature review. A retrospective analysis was conducted on nine patients diagnosed with gastrointestinal schwannoma in a single institution. Tumors were located in the small intestine and stomach, with an average tumor size of 4.6 cm (range: 1.8-8.5 cm). Diagnoses were incidental in most cases, with only four patients presenting symptoms such as epigastric pain and changes in bowel habits. Histopathological characteristics of tumors were studied. Surgical resection with negative margins was performed in 8 cases. Histopathological analysis confirmed schwannomas characterized by solid, homogeneous, spindle-cell structures without cystic changes or necrosis. Immunohistochemically, all tumors were S-100 positive, with variable expression of other markers. Desmin was negative in seven samples. One gastric schwannoma showed focal smooth muscle actin positivity, while others were negative. The Ki-67 index ranged from 0% to 6%, and c-Kit was negative in all cases. DOG-1 expression was examined in four cases, showing focal positivity in small bowel schwannoma and negativity in three gastric schwannomas. Gastrointestinal schwannomas are predominantly benign tumors, more common in women, and typically occur in the sixth decade of life. While imaging and endoscopic techniques help in diagnosis, definitive diagnosis relies on histopathological analysis. Surgical resection remains the gold standard for treatment.

Abstract Image

Abstract Image

Abstract Image

胃肠道神经鞘瘤:9例病例并文献复习。
胃肠道神经鞘瘤是一种良性、生长缓慢、罕见的肿瘤,占胃肠道间质肿瘤的2-6%,占胃肿瘤的0.2%。在胃肠道系统中,神经鞘瘤多见于胃,其次为结肠和直肠。在这个病例系列中,我们报告了9例的临床病理结果,并进行了文献综述。回顾性分析了在同一医院诊断为胃肠道神经鞘瘤的9例患者。肿瘤位于小肠和胃,肿瘤平均大小4.6 cm(范围1.8-8.5 cm)。在大多数病例中,诊断是偶然的,只有4例患者出现上腹疼痛和排便习惯改变等症状。观察肿瘤的组织病理学特征。手术切除阴性切缘8例。组织病理学分析证实神经鞘瘤的特征为固体、均匀、纺锤状细胞结构,无囊性改变或坏死。免疫组化结果显示,所有肿瘤均为S-100阳性,其他标记物表达不同。7个样本Desmin呈阴性。1例胃神经鞘瘤局灶性平滑肌肌动蛋白阳性,其余为阴性。Ki-67指数为0% ~ 6%,c-Kit均为阴性。DOG-1在4例神经鞘瘤中呈局灶性阳性,在3例胃神经鞘瘤中呈阴性。胃肠道神经鞘瘤主要是良性肿瘤,多见于女性,通常发生在60岁左右。虽然成像和内窥镜技术有助于诊断,但最终诊断依赖于组织病理学分析。手术切除仍然是治疗的金标准。
本文章由计算机程序翻译,如有差异,请以英文原文为准。
求助全文
约1分钟内获得全文 求助全文
来源期刊
CiteScore
1.20
自引率
0.00%
发文量
16
×
引用
GB/T 7714-2015
复制
MLA
复制
APA
复制
导出至
BibTeX EndNote RefMan NoteFirst NoteExpress
×
提示
您的信息不完整,为了账户安全,请先补充。
现在去补充
×
提示
您因"违规操作"
具体请查看互助需知
我知道了
×
提示
确定
请完成安全验证×
copy
已复制链接
快去分享给好友吧!
我知道了
右上角分享
点击右上角分享
0
联系我们:info@booksci.cn Book学术提供免费学术资源搜索服务,方便国内外学者检索中英文文献。致力于提供最便捷和优质的服务体验。 Copyright © 2023 布克学术 All rights reserved.
京ICP备2023020795号-1
ghs 京公网安备 11010802042870号
Book学术文献互助
Book学术文献互助群
群 号:604180095
Book学术官方微信