Surgical Management of a Giant Mediastinal Schwannoma Associated with Neurofibromatosis Type 1: A Case Report.

IF 0.7 Q4 SURGERY
Surgical Case Reports Pub Date : 2025-01-01 Epub Date: 2025-08-22 DOI:10.70352/scrj.cr.25-0150
Shin-Nosuke Watanabe, Daisuke Kimura, Kengo Tani, Takahiro Sasaki, Shuta Kimura, Chisaki Muto, Tsubasa Kato, Masahito Minakawa
{"title":"Surgical Management of a Giant Mediastinal Schwannoma Associated with Neurofibromatosis Type 1: A Case Report.","authors":"Shin-Nosuke Watanabe, Daisuke Kimura, Kengo Tani, Takahiro Sasaki, Shuta Kimura, Chisaki Muto, Tsubasa Kato, Masahito Minakawa","doi":"10.70352/scrj.cr.25-0150","DOIUrl":null,"url":null,"abstract":"<p><strong>Introduction: </strong>Neurogenic tumors commonly develop in the posterior mediastinum in both pediatric and adult patients. In patients with neurofibromatosis type 1, distinguishing benign schwannomas from malignant peripheral nerve sheath tumors is challenging. In this study, we aimed to present the surgical management of a giant schwannoma that required differentiation from a malignant peripheral nerve sheath tumor.</p><p><strong>Case presentation: </strong>A 15-year-old boy presented with a large right mediastinal mass discovered on chest radiography at high school admission. Subsequent contrast-enhanced CT of the chest showed the development of a large tumor (16.0 × 12.5 × 11.8 cm) occupying approximately two-thirds of the right thoracic cavity, with atelectasis of the lower lobe of the right lung. The patient was histopathologically diagnosed with a benign schwannoma associated with neurofibromatosis type 1 through a thoracoscopic biopsy of the tumor and had received oral selumetinib at 50-70 mg/day for 11 months. Surgical excision was performed because of tumor progression and suspected malignant transformation. Right posterolateral thoracotomy with the opening of the 6th intercostal space was performed by extending the anterior skin incision along the abdominal rectus muscle and separating the 6th costal cartilage and diaphragmatic margin along the chest wall. The tumor was completely removed by resecting numerous adhesions between the tumor and the surrounding tissues and coagulating several nutrient vessels that flowed into the tumor, while resecting the lower lobe of the lung. The postoperative course was uneventful. The pathological examination revealed no malignancy. Subsequent contrast-enhanced CT of the chest revealed no residual tumors.</p><p><strong>Conclusions: </strong>Posterolateral thoracotomy with the separation of the costal cartilage and diaphragmatic margin along the chest wall could achieve safe surgery for a giant mediastinal schwannoma.</p>","PeriodicalId":22096,"journal":{"name":"Surgical Case Reports","volume":"11 1","pages":""},"PeriodicalIF":0.7000,"publicationDate":"2025-01-01","publicationTypes":"Journal Article","fieldsOfStudy":null,"isOpenAccess":false,"openAccessPdf":"https://www.ncbi.nlm.nih.gov/pmc/articles/PMC12377975/pdf/","citationCount":"0","resultStr":null,"platform":"Semanticscholar","paperid":null,"PeriodicalName":"Surgical Case Reports","FirstCategoryId":"1085","ListUrlMain":"https://doi.org/10.70352/scrj.cr.25-0150","RegionNum":0,"RegionCategory":null,"ArticlePicture":[],"TitleCN":null,"AbstractTextCN":null,"PMCID":null,"EPubDate":"2025/8/22 0:00:00","PubModel":"Epub","JCR":"Q4","JCRName":"SURGERY","Score":null,"Total":0}
引用次数: 0

Abstract

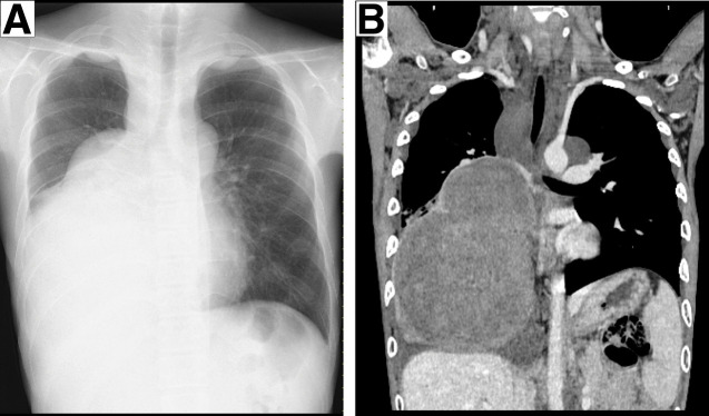
Introduction: Neurogenic tumors commonly develop in the posterior mediastinum in both pediatric and adult patients. In patients with neurofibromatosis type 1, distinguishing benign schwannomas from malignant peripheral nerve sheath tumors is challenging. In this study, we aimed to present the surgical management of a giant schwannoma that required differentiation from a malignant peripheral nerve sheath tumor.

Case presentation: A 15-year-old boy presented with a large right mediastinal mass discovered on chest radiography at high school admission. Subsequent contrast-enhanced CT of the chest showed the development of a large tumor (16.0 × 12.5 × 11.8 cm) occupying approximately two-thirds of the right thoracic cavity, with atelectasis of the lower lobe of the right lung. The patient was histopathologically diagnosed with a benign schwannoma associated with neurofibromatosis type 1 through a thoracoscopic biopsy of the tumor and had received oral selumetinib at 50-70 mg/day for 11 months. Surgical excision was performed because of tumor progression and suspected malignant transformation. Right posterolateral thoracotomy with the opening of the 6th intercostal space was performed by extending the anterior skin incision along the abdominal rectus muscle and separating the 6th costal cartilage and diaphragmatic margin along the chest wall. The tumor was completely removed by resecting numerous adhesions between the tumor and the surrounding tissues and coagulating several nutrient vessels that flowed into the tumor, while resecting the lower lobe of the lung. The postoperative course was uneventful. The pathological examination revealed no malignancy. Subsequent contrast-enhanced CT of the chest revealed no residual tumors.

Conclusions: Posterolateral thoracotomy with the separation of the costal cartilage and diaphragmatic margin along the chest wall could achieve safe surgery for a giant mediastinal schwannoma.

Abstract Image

Abstract Image

Abstract Image

巨大纵隔神经鞘瘤合并1型神经纤维瘤病的外科治疗1例。
神经源性肿瘤通常发生在儿童和成人的后纵隔。在1型神经纤维瘤病患者中,区分良性神经鞘瘤和恶性周围神经鞘瘤是具有挑战性的。在这项研究中,我们的目的是提出一个需要从恶性周围神经鞘肿瘤分化的巨大神经鞘瘤的手术治疗。病例介绍:一名15岁的男孩在高中入学时胸部x线片上发现了一个大的右侧纵隔肿块。随后的胸部增强CT显示一个大肿瘤(16.0 × 12.5 × 11.8 cm),约占右胸腔的三分之二,右肺下叶不张。患者通过胸腔镜肿瘤活检被组织病理学诊断为良性神经鞘瘤伴1型神经纤维瘤病,并接受50- 70mg /天口服selumetinib治疗11个月。因肿瘤进展及疑似恶性转化,行手术切除。右后外侧开胸,沿腹直肌延伸前皮肤切口,沿胸壁分离第6肋软骨和膈缘,开第6肋间隙。通过切除肿瘤与周围组织之间的大量粘连,凝固流入肿瘤的几条营养血管,同时切除肺下叶,肿瘤被完全切除。术后过程平淡无奇。病理检查未见恶性肿瘤。胸部增强CT未见肿瘤残留。结论:沿胸壁后外侧开胸分离肋软骨和膈缘是治疗巨大纵隔神经鞘瘤的安全方法。
本文章由计算机程序翻译,如有差异,请以英文原文为准。
求助全文
约1分钟内获得全文 求助全文
来源期刊
自引率
0.00%
发文量
218
审稿时长
13 weeks
×
引用
GB/T 7714-2015
复制
MLA
复制
APA
复制
导出至
BibTeX EndNote RefMan NoteFirst NoteExpress
×
提示
您的信息不完整,为了账户安全,请先补充。
现在去补充
×
提示
您因"违规操作"
具体请查看互助需知
我知道了
×
提示
确定
请完成安全验证×
copy
已复制链接
快去分享给好友吧!
我知道了
右上角分享
点击右上角分享
0
联系我们:info@booksci.cn Book学术提供免费学术资源搜索服务,方便国内外学者检索中英文文献。致力于提供最便捷和优质的服务体验。 Copyright © 2023 布克学术 All rights reserved.
京ICP备2023020795号-1
ghs 京公网安备 11010802042870号
Book学术文献互助
Book学术文献互助群
群 号:604180095
Book学术官方微信