Bronchogenic Cyst with Degeneration of the Adjacent Membranous Portion of the Trachea: A Case Report.

IF 0.7 Q4 SURGERY
Surgical Case Reports Pub Date : 2025-01-01 Epub Date: 2025-08-20 DOI:10.70352/scrj.cr.25-0287
Takamitsu Hayakawa, Mikako Mitake, Hirohisa Inaba, Mayumi Kobayashi, Yasuhiro Watanabe, Asako Okabe, Kazuhito Funai
{"title":"Bronchogenic Cyst with Degeneration of the Adjacent Membranous Portion of the Trachea: A Case Report.","authors":"Takamitsu Hayakawa, Mikako Mitake, Hirohisa Inaba, Mayumi Kobayashi, Yasuhiro Watanabe, Asako Okabe, Kazuhito Funai","doi":"10.70352/scrj.cr.25-0287","DOIUrl":null,"url":null,"abstract":"<p><strong>Introduction: </strong>Bronchogenic cysts are congenital, benign cystic lesions that develop in the mediastinum. Many patients are asymptomatic, and conservative observation is often chosen in clinical practice. However, delayed surgical resection following cyst enlargement and compression of the adjacent membranous portion of the trachea can result in perioperative challenges.</p><p><strong>Case presentation: </strong>We report the case of a 53-year-old woman who had been under observation for 10 years for an asymptomatic mediastinal mass. The mass enlarged gradually and caused persistent cough along with obstructive ventilatory impairment. Chest CT revealed a 5.5 cm mass compressing the membranous trachea, resulting in tracheal stenosis. MRI revealed a homogeneously high T2 signal within the mass, suggesting a simple cystic nature. PET showed no accumulation of fluorodeoxyglucose in the mass, indicating no malignancy. Based on preoperative diagnosis of a bronchogenic cyst, the patient underwent video-assisted thoracoscopic surgery. Tracheal intubation using a double-lumen tube was challenging due to the tracheal stenosis. Moreover, the membranous trachea compressed by the cyst exhibited white degeneration, suggesting thinning and fragility. Intraoperatively, due to firm adhesion to the membranous trachea, a part of the cyst wall was intentionally left in place to avoid tracheal injury. The inner lining of the residual cyst was cauterized to prevent recurrence. Bronchoscopic findings on POD 7 showed that white degeneration of the membranous trachea remained. Histopathological examination revealed ciliated columnar epithelium and cartilage on the cyst wall, confirming the diagnosis of a bronchogenic cyst.</p><p><strong>Conclusions: </strong>Long-term observation of mediastinal bronchogenic cysts can lead to degeneration and thinning of the membranous trachea, increasing the risk of tracheal injury and incomplete resection during surgery. Therefore, the absence of symptoms should not justify delaying surgical intervention. Preoperative assessment for coexisting malignancy and tracheal abnormalities can support surgical decision-making to ensure a safe procedure.</p>","PeriodicalId":22096,"journal":{"name":"Surgical Case Reports","volume":"11 1","pages":""},"PeriodicalIF":0.7000,"publicationDate":"2025-01-01","publicationTypes":"Journal Article","fieldsOfStudy":null,"isOpenAccess":false,"openAccessPdf":"https://www.ncbi.nlm.nih.gov/pmc/articles/PMC12377854/pdf/","citationCount":"0","resultStr":null,"platform":"Semanticscholar","paperid":null,"PeriodicalName":"Surgical Case Reports","FirstCategoryId":"1085","ListUrlMain":"https://doi.org/10.70352/scrj.cr.25-0287","RegionNum":0,"RegionCategory":null,"ArticlePicture":[],"TitleCN":null,"AbstractTextCN":null,"PMCID":null,"EPubDate":"2025/8/20 0:00:00","PubModel":"Epub","JCR":"Q4","JCRName":"SURGERY","Score":null,"Total":0}
引用次数: 0

Abstract

Introduction: Bronchogenic cysts are congenital, benign cystic lesions that develop in the mediastinum. Many patients are asymptomatic, and conservative observation is often chosen in clinical practice. However, delayed surgical resection following cyst enlargement and compression of the adjacent membranous portion of the trachea can result in perioperative challenges.

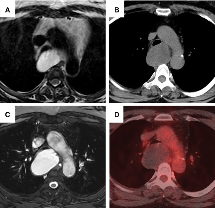
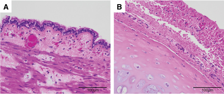
Case presentation: We report the case of a 53-year-old woman who had been under observation for 10 years for an asymptomatic mediastinal mass. The mass enlarged gradually and caused persistent cough along with obstructive ventilatory impairment. Chest CT revealed a 5.5 cm mass compressing the membranous trachea, resulting in tracheal stenosis. MRI revealed a homogeneously high T2 signal within the mass, suggesting a simple cystic nature. PET showed no accumulation of fluorodeoxyglucose in the mass, indicating no malignancy. Based on preoperative diagnosis of a bronchogenic cyst, the patient underwent video-assisted thoracoscopic surgery. Tracheal intubation using a double-lumen tube was challenging due to the tracheal stenosis. Moreover, the membranous trachea compressed by the cyst exhibited white degeneration, suggesting thinning and fragility. Intraoperatively, due to firm adhesion to the membranous trachea, a part of the cyst wall was intentionally left in place to avoid tracheal injury. The inner lining of the residual cyst was cauterized to prevent recurrence. Bronchoscopic findings on POD 7 showed that white degeneration of the membranous trachea remained. Histopathological examination revealed ciliated columnar epithelium and cartilage on the cyst wall, confirming the diagnosis of a bronchogenic cyst.

Conclusions: Long-term observation of mediastinal bronchogenic cysts can lead to degeneration and thinning of the membranous trachea, increasing the risk of tracheal injury and incomplete resection during surgery. Therefore, the absence of symptoms should not justify delaying surgical intervention. Preoperative assessment for coexisting malignancy and tracheal abnormalities can support surgical decision-making to ensure a safe procedure.

Abstract Image

Abstract Image

Abstract Image

支气管源性囊肿伴邻近气管膜部变性1例报告。
支气管源性囊肿是发生在纵隔的先天性良性囊性病变。许多患者无症状,临床常选择保守观察。然而,囊肿扩大后的延迟手术切除和气管邻近膜部的压迫会导致围手术期的挑战。病例介绍:我们报告一例53岁的妇女,因无症状的纵隔肿块接受了10年的观察。肿块逐渐增大,引起持续咳嗽并伴有阻塞性通气障碍。胸部CT显示一个5.5 cm的肿块压迫膜性气管,导致气管狭窄。MRI示肿块内均匀高T2信号,提示单纯性囊性。PET显示肿块内未见氟脱氧葡萄糖积聚,提示无恶性肿瘤。基于术前诊断为支气管源性囊肿,患者接受了电视胸腔镜手术。由于气管狭窄,使用双腔气管插管是具有挑战性的。此外,被囊肿压迫的膜性气管呈现白色变性,表明气管变薄易碎。术中,由于囊肿壁与膜性气管粘连牢固,有意保留囊肿壁的一部分以避免气管损伤。将残余囊肿的内壁烧灼以防止复发。支气管镜下POD 7显示膜性气管仍有白色变性。组织病理学检查显示囊肿壁上有纤毛柱状上皮和软骨,确认支气管源性囊肿的诊断。结论:长期观察纵隔支气管源性囊肿可导致气管膜变性变、变薄,增加术中气管损伤及切除不全的风险。因此,没有症状不应该成为延迟手术干预的理由。术前评估共存的恶性肿瘤和气管异常可以支持手术决策,以确保手术安全。
本文章由计算机程序翻译,如有差异,请以英文原文为准。
求助全文
约1分钟内获得全文 求助全文
来源期刊
自引率
0.00%
发文量
218
审稿时长
13 weeks
×
引用
GB/T 7714-2015
复制
MLA
复制
APA
复制
导出至
BibTeX EndNote RefMan NoteFirst NoteExpress
×
提示
您的信息不完整,为了账户安全,请先补充。
现在去补充
×
提示
您因"违规操作"
具体请查看互助需知
我知道了
×
提示
确定
请完成安全验证×
copy
已复制链接
快去分享给好友吧!
我知道了
右上角分享
点击右上角分享
0
联系我们:info@booksci.cn Book学术提供免费学术资源搜索服务,方便国内外学者检索中英文文献。致力于提供最便捷和优质的服务体验。 Copyright © 2023 布克学术 All rights reserved.
京ICP备2023020795号-1
ghs 京公网安备 11010802042870号
Book学术文献互助
Book学术文献互助群
群 号:604180095
Book学术官方微信