Impact of Paravertebral Muscle Degeneration on Residual Low Back Pain Following Percutaneous Kyphoplasty for Osteoporotic Vertebral Fractures: A Retrospective Study.

IF 1.8 Q3 HEALTH CARE SCIENCES & SERVICES
Patient Related Outcome Measures Pub Date : 2025-08-16 eCollection Date: 2025-01-01 DOI:10.2147/PROM.S529923
Tao Feng, Shengyang Jin, Junjie Niu, Qi Yan, Dawei Song, Jinning Wang
{"title":"Impact of Paravertebral Muscle Degeneration on Residual Low Back Pain Following Percutaneous Kyphoplasty for Osteoporotic Vertebral Fractures: A Retrospective Study.","authors":"Tao Feng, Shengyang Jin, Junjie Niu, Qi Yan, Dawei Song, Jinning Wang","doi":"10.2147/PROM.S529923","DOIUrl":null,"url":null,"abstract":"<p><strong>Background: </strong>Residual low back pain (LBP) is frequently reported after percutaneous kyphoplasty (PKP) for osteoporotic vertebral fractures (OVFs), yet its underlying mechanisms remain unclear. Paravertebral muscles (PVMs) degeneration, particularly fat infiltration and atrophy may contribute to persistent postoperative pain.</p><p><strong>Objective: </strong>To evaluate the association between PVMs degeneration and residual LBP after PKP and identify imaging-based predictors for risk stratification.</p><p><strong>Methods: </strong>This retrospective cohort study included 213 patients (mean age 70.88 ± 8.58 years; 82.2% female) with single-level OVFs who underwent PKP between January 2021 and June 2023. Patients with multiple-level fractures, chronic LBP, neurological deficits, prior spinal surgery, incomplete imaging, or inadequate follow-up were excluded. Fat infiltration percentage (FI%) and cross-sectional area of the multifidus (MF), erector spinae (ES), and psoas major (PS) were measured at the L4 level using transverse T2-weighted MRI. Residual LBP was defined as postoperative VAS ≥3.5 at 12-month follow-up. Logistic regression and ROC analyses were conducted and appropriate univariate tests (<i>t</i>-test or Mann-Whitney <i>U</i>-test) were performed.</p><p><strong>Results: </strong>Residual LBP occurred in 13.6% of patients and was associated with higher VBQ scores (3.14 ± 0.38 vs 2.57 ± 0.25, P=0.001), greater postoperative kyphosis (16.03 ± 6.69° vs 6.70 ± 4.80°, <i>P</i>=0.001), increased FI% of ES/MF (57.28 ± 5.63% vs 43.40 ± 14.93%, <i>P</i>=0.001), reduced PS area (10.74 ± 4.23 cm² vs 16.15 ± 3.71 cm², <i>P</i>=0.001), and concentrated cement distribution (11.5% vs 73.6%, P=0.001). Independent predictors included elevated VBQ (OR=85.2, 95% CI 7.006-1036.458), kyphosis (OR=1.14, 95% CI 1.017-1.276), FI% of ES/MF (OR=1.082, 95% CI 1.008-1.160), and PS area (OR=0.509, 95% CI 0.285-0.910). ROC analysis identified FI% ≥49.78% and PS area ≤11.937 cm² as optimal cutoffs.</p><p><strong>Conclusion: </strong>Preoperative magnetic resonance imaging assessment of paravertebral muscle may help identify patients at risk for residual low back pain after kyphoplasty. Incorporating preoperative imaging and postoperative physical therapy referral may improve patient outcomes.</p>","PeriodicalId":19747,"journal":{"name":"Patient Related Outcome Measures","volume":"16 ","pages":"117-127"},"PeriodicalIF":1.8000,"publicationDate":"2025-08-16","publicationTypes":"Journal Article","fieldsOfStudy":null,"isOpenAccess":false,"openAccessPdf":"https://www.ncbi.nlm.nih.gov/pmc/articles/PMC12368434/pdf/","citationCount":"0","resultStr":null,"platform":"Semanticscholar","paperid":null,"PeriodicalName":"Patient Related Outcome Measures","FirstCategoryId":"1085","ListUrlMain":"https://doi.org/10.2147/PROM.S529923","RegionNum":0,"RegionCategory":null,"ArticlePicture":[],"TitleCN":null,"AbstractTextCN":null,"PMCID":null,"EPubDate":"2025/1/1 0:00:00","PubModel":"eCollection","JCR":"Q3","JCRName":"HEALTH CARE SCIENCES & SERVICES","Score":null,"Total":0}
引用次数: 0

Abstract

Background: Residual low back pain (LBP) is frequently reported after percutaneous kyphoplasty (PKP) for osteoporotic vertebral fractures (OVFs), yet its underlying mechanisms remain unclear. Paravertebral muscles (PVMs) degeneration, particularly fat infiltration and atrophy may contribute to persistent postoperative pain.

Objective: To evaluate the association between PVMs degeneration and residual LBP after PKP and identify imaging-based predictors for risk stratification.

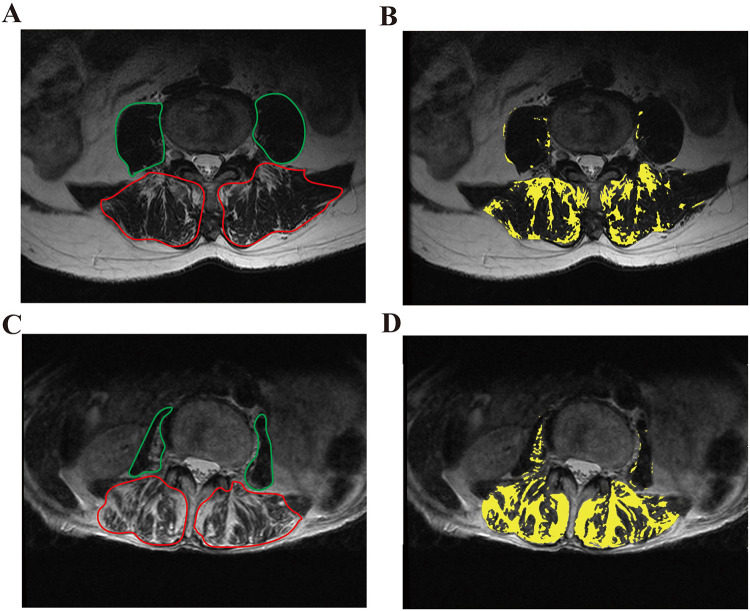
Methods: This retrospective cohort study included 213 patients (mean age 70.88 ± 8.58 years; 82.2% female) with single-level OVFs who underwent PKP between January 2021 and June 2023. Patients with multiple-level fractures, chronic LBP, neurological deficits, prior spinal surgery, incomplete imaging, or inadequate follow-up were excluded. Fat infiltration percentage (FI%) and cross-sectional area of the multifidus (MF), erector spinae (ES), and psoas major (PS) were measured at the L4 level using transverse T2-weighted MRI. Residual LBP was defined as postoperative VAS ≥3.5 at 12-month follow-up. Logistic regression and ROC analyses were conducted and appropriate univariate tests (t-test or Mann-Whitney U-test) were performed.

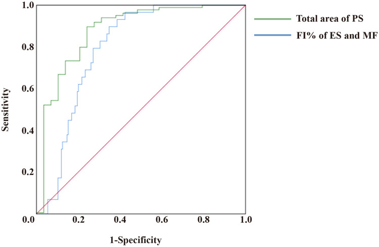
Results: Residual LBP occurred in 13.6% of patients and was associated with higher VBQ scores (3.14 ± 0.38 vs 2.57 ± 0.25, P=0.001), greater postoperative kyphosis (16.03 ± 6.69° vs 6.70 ± 4.80°, P=0.001), increased FI% of ES/MF (57.28 ± 5.63% vs 43.40 ± 14.93%, P=0.001), reduced PS area (10.74 ± 4.23 cm² vs 16.15 ± 3.71 cm², P=0.001), and concentrated cement distribution (11.5% vs 73.6%, P=0.001). Independent predictors included elevated VBQ (OR=85.2, 95% CI 7.006-1036.458), kyphosis (OR=1.14, 95% CI 1.017-1.276), FI% of ES/MF (OR=1.082, 95% CI 1.008-1.160), and PS area (OR=0.509, 95% CI 0.285-0.910). ROC analysis identified FI% ≥49.78% and PS area ≤11.937 cm² as optimal cutoffs.

Conclusion: Preoperative magnetic resonance imaging assessment of paravertebral muscle may help identify patients at risk for residual low back pain after kyphoplasty. Incorporating preoperative imaging and postoperative physical therapy referral may improve patient outcomes.

Abstract Image

Abstract Image

Abstract Image

椎旁肌退变对骨质疏松性椎体骨折经皮后凸成形术后残余腰痛的影响:一项回顾性研究。
背景:骨质疏松性椎体骨折(ovf)经皮后凸成形术(PKP)后残留腰痛(LBP)经常被报道,但其潜在机制尚不清楚。椎旁肌肉(pvm)变性,特别是脂肪浸润和萎缩可能导致术后持续疼痛。目的:评估pvm退变与PKP后残留LBP之间的关系,并确定基于影像学的风险分层预测因素。方法:该回顾性队列研究包括213例在2021年1月至2023年6月期间接受PKP治疗的单级ovf患者(平均年龄70.88±8.58岁,82.2%为女性)。排除多节段骨折、慢性腰痛、神经功能缺损、既往脊柱手术、影像不完整或随访不充分的患者。采用横t2加权MRI在L4水平测量多裂肌(MF)、竖脊肌(ES)和大腰肌(PS)的脂肪浸润率(FI%)和横截面积。12个月随访时,残馀腰痛定义为术后VAS≥3.5。进行Logistic回归和ROC分析,并进行适当的单因素检验(t检验或Mann-Whitney u检验)。结果:13.6%的患者存在腰痛残留,与较高的VBQ评分(3.14±0.38 vs 2.57±0.25,P=0.001)、较大的术后后凸(16.03±6.69°vs 6.70±4.80°,P=0.001)、ES/MF的FI%增加(57.28±5.63% vs 43.40±14.93%,P=0.001)、PS面积减少(10.74±4.23 cm²vs 16.15±3.71 cm²,P=0.001)、水泥分布集中(11.5% vs 73.6%, P=0.001)相关。独立预测因子包括VBQ升高(OR=85.2, 95% CI 7.006-1036.458)、后凸(OR=1.14, 95% CI 1.017-1.276)、ES/MF的FI% (OR=1.082, 95% CI 1.008-1.160)和PS面积(OR=0.509, 95% CI 0.280 -0.910)。ROC分析确定FI%≥49.78%和PS面积≤11.937 cm²为最佳截止点。结论:椎旁肌肉的术前磁共振成像评估有助于识别后凸成形术后存在腰痛残留风险的患者。结合术前影像学和术后物理治疗转诊可改善患者预后。
本文章由计算机程序翻译,如有差异,请以英文原文为准。
求助全文
约1分钟内获得全文 求助全文
来源期刊
Patient Related Outcome Measures
Patient Related Outcome Measures HEALTH CARE SCIENCES & SERVICES-
自引率
4.80%
发文量
27
审稿时长
16 weeks
×
引用
GB/T 7714-2015
复制
MLA
复制
APA
复制
导出至
BibTeX EndNote RefMan NoteFirst NoteExpress
×
提示
您的信息不完整,为了账户安全,请先补充。
现在去补充
×
提示
您因"违规操作"
具体请查看互助需知
我知道了
×
提示
确定
请完成安全验证×
copy
已复制链接
快去分享给好友吧!
我知道了
右上角分享
点击右上角分享
0
联系我们:info@booksci.cn Book学术提供免费学术资源搜索服务,方便国内外学者检索中英文文献。致力于提供最便捷和优质的服务体验。 Copyright © 2023 布克学术 All rights reserved.
京ICP备2023020795号-1
ghs 京公网安备 11010802042870号
Book学术文献互助
Book学术文献互助群
群 号:604180095
Book学术官方微信