Functional and histopathologic correlation in the fabry nephropathy with N215S genotype.

IF 3.5 2区 医学 Q2 GENETICS & HEREDITY
Renzo Mignani, Gian Marco Berti, Gisella Vischini, Roberta Di Costanzo, Francesca Ciurli, Daniele Vetrano, Elena Biagini, Serena Serratore, Benedetta Fabbrizio, Gianandrea Pasquinelli, Gaetano La Manna, Irene Capelli
{"title":"Functional and histopathologic correlation in the fabry nephropathy with N215S genotype.","authors":"Renzo Mignani, Gian Marco Berti, Gisella Vischini, Roberta Di Costanzo, Francesca Ciurli, Daniele Vetrano, Elena Biagini, Serena Serratore, Benedetta Fabbrizio, Gianandrea Pasquinelli, Gaetano La Manna, Irene Capelli","doi":"10.1186/s13023-025-03994-9","DOIUrl":null,"url":null,"abstract":"<p><strong>Rationale & objective: </strong>Late-onset Anderson-Fabry disease appears in adulthood, usually with prevalent cardiac involvement. The N215S (p.Asn215Ser) missense mutation represents the most frequent late-onset variant in European countries. The N215S nephropathy was then investigated from a clinical and histopathological point of view.</p><p><strong>Study design: </strong>Renal and cardiac assessments were evaluated at baseline. The standardized scoring system of histologic involvement proposed by International Study Group of Fabry Nephropathy was applied to kidney biopsies, performed before the treatment start. A deeper digital histological reinterpretation was provided in a subgroup. Treated patients' renal function was evaluated at diagnosis (T0), after 5 years (T1) and after 10 years (T2) from the treatment start.</p><p><strong>Setting & participants: </strong>27 patients (11 males, 16 female) with a N215S variant were evaluated.</p><p><strong>Findings: </strong>Mean eGFR at diagnosis was 84.98 ± 26.4 mL/min/1.73m<sup>2</sup>, and 6 patients were CKD-stage 3-5. In the 24 treated patients, the mean T0 eGFR was 86.5 ± 28.01 mL/min/1.73m<sup>2</sup>; 26% with CKD-stage 3-5 (mean eGFR 45.3 ± 19.4 mL/min/1.73m<sup>2</sup>). At T1, the mean eGFR in 14/24 patients was 69.1 mL/min/1.73m<sup>2</sup> and 35% with CKD-stage 3-5 (mean eGFR 33.3 ± 17.1 mL/min/1.73m<sup>2</sup>). T2 was evaluated in 6 patients, of which 5/6 (85%) with CKD-stage 3 (mean eGFR 43.2 ± 20 mL/min/1.73m<sup>2</sup>). 18/18 patients presented kidney biopsies with different degrees of podocyte vacuolization, while sclerosis was documented in 9/18. 14/18 patients showed a higher podocyte vacuolization score. Males showed significant greater interstitial fibrosis (p 0.016). Arteriolar intimal fibrosis significantly correlated with eGFR at baseline (p 0.09).</p><p><strong>Limitations: </strong>The main limitation was the number of patients, as well as the number of available kidney and cardiac biopsies.</p><p><strong>Conclusions: </strong>Even at early stages, N215S patients display typical histological abnormalities of Fabry disease. Moreover, chronic kidney disease seems to progress over time in treated patients, with arterial and arteriolar intimal fibrosis.</p>","PeriodicalId":19651,"journal":{"name":"Orphanet Journal of Rare Diseases","volume":"20 1","pages":"468"},"PeriodicalIF":3.5000,"publicationDate":"2025-09-02","publicationTypes":"Journal Article","fieldsOfStudy":null,"isOpenAccess":false,"openAccessPdf":"https://www.ncbi.nlm.nih.gov/pmc/articles/PMC12403288/pdf/","citationCount":"0","resultStr":null,"platform":"Semanticscholar","paperid":null,"PeriodicalName":"Orphanet Journal of Rare Diseases","FirstCategoryId":"3","ListUrlMain":"https://doi.org/10.1186/s13023-025-03994-9","RegionNum":2,"RegionCategory":"医学","ArticlePicture":[],"TitleCN":null,"AbstractTextCN":null,"PMCID":null,"EPubDate":"","PubModel":"","JCR":"Q2","JCRName":"GENETICS & HEREDITY","Score":null,"Total":0}
引用次数: 0

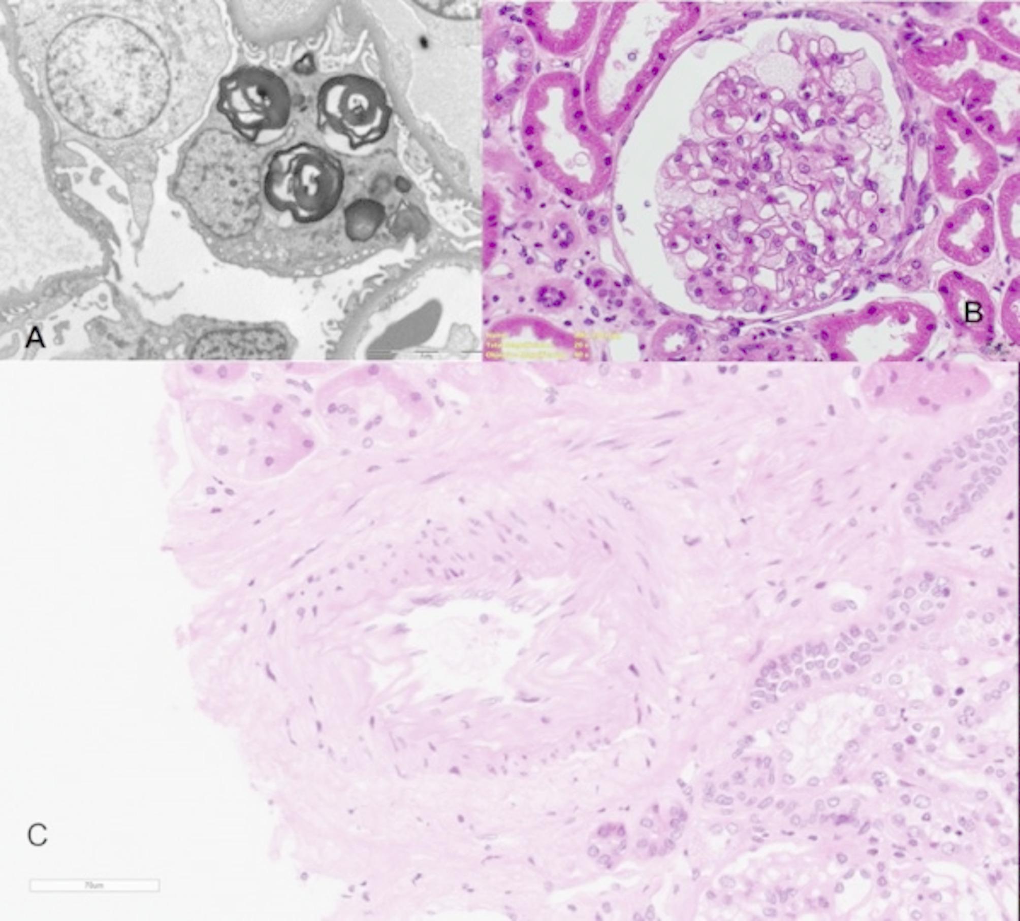
Abstract

Rationale & objective: Late-onset Anderson-Fabry disease appears in adulthood, usually with prevalent cardiac involvement. The N215S (p.Asn215Ser) missense mutation represents the most frequent late-onset variant in European countries. The N215S nephropathy was then investigated from a clinical and histopathological point of view.

Study design: Renal and cardiac assessments were evaluated at baseline. The standardized scoring system of histologic involvement proposed by International Study Group of Fabry Nephropathy was applied to kidney biopsies, performed before the treatment start. A deeper digital histological reinterpretation was provided in a subgroup. Treated patients' renal function was evaluated at diagnosis (T0), after 5 years (T1) and after 10 years (T2) from the treatment start.

Setting & participants: 27 patients (11 males, 16 female) with a N215S variant were evaluated.

Findings: Mean eGFR at diagnosis was 84.98 ± 26.4 mL/min/1.73m2, and 6 patients were CKD-stage 3-5. In the 24 treated patients, the mean T0 eGFR was 86.5 ± 28.01 mL/min/1.73m2; 26% with CKD-stage 3-5 (mean eGFR 45.3 ± 19.4 mL/min/1.73m2). At T1, the mean eGFR in 14/24 patients was 69.1 mL/min/1.73m2 and 35% with CKD-stage 3-5 (mean eGFR 33.3 ± 17.1 mL/min/1.73m2). T2 was evaluated in 6 patients, of which 5/6 (85%) with CKD-stage 3 (mean eGFR 43.2 ± 20 mL/min/1.73m2). 18/18 patients presented kidney biopsies with different degrees of podocyte vacuolization, while sclerosis was documented in 9/18. 14/18 patients showed a higher podocyte vacuolization score. Males showed significant greater interstitial fibrosis (p 0.016). Arteriolar intimal fibrosis significantly correlated with eGFR at baseline (p 0.09).

Limitations: The main limitation was the number of patients, as well as the number of available kidney and cardiac biopsies.

Conclusions: Even at early stages, N215S patients display typical histological abnormalities of Fabry disease. Moreover, chronic kidney disease seems to progress over time in treated patients, with arterial and arteriolar intimal fibrosis.

Abstract Image

Abstract Image

Abstract Image

N215S基因型法布里肾病的功能和组织病理学相关性。
理由与目的:迟发性安德森-法布里病出现于成年期,通常普遍累及心脏。N215S (p.s asn215ser)错义突变是欧洲国家最常见的晚发性变异。然后从临床和组织病理学角度研究N215S肾病。研究设计:在基线时对肾脏和心脏进行评估。采用Fabry肾病国际研究组提出的组织学累及的标准化评分系统,在治疗开始前进行肾活检。在一个亚组中提供了更深层次的数字组织学重新解释。分别在诊断时(T0)、治疗后5年(T1)和治疗后10年(T2)评估患者的肾功能。环境和参与者:27例N215S变异患者(11名男性,16名女性)被评估。结果:诊断时平均eGFR为84.98±26.4 mL/min/1.73m2, 6例为ckd 3-5期。24例患者T0 eGFR平均值为86.5±28.01 mL/min/1.73m2;26%为ckd 3-5期(平均eGFR 45.3±19.4 mL/min/1.73m2)。T1时,14/24患者的平均eGFR为69.1 mL/min/1.73m2, 35%为ckd - 3期(平均eGFR为33.3±17.1 mL/min/1.73m2)。6例患者进行T2评估,其中5/6(85%)为ckd 3期(平均eGFR 43.2±20 mL/min/1.73m2)。18/18例患者肾活检表现为不同程度足细胞空泡,9/18例患者出现硬化症。14/18患者足细胞空泡化评分较高。男性间质纤维化明显加重(p 0.016)。在基线时,小动脉内膜纤维化与eGFR显著相关(p 0.09)。局限性:主要的限制是患者的数量,以及可用的肾脏和心脏活检的数量。结论:即使在早期,N215S患者也表现出典型的法布里病组织学异常。此外,慢性肾脏疾病似乎随着治疗时间的推移而进展,伴有动脉和小动脉内膜纤维化。
本文章由计算机程序翻译,如有差异,请以英文原文为准。
求助全文
约1分钟内获得全文 求助全文
来源期刊
Orphanet Journal of Rare Diseases
Orphanet Journal of Rare Diseases 医学-医学:研究与实验
CiteScore
6.30
自引率
8.10%
发文量
418
审稿时长
4-8 weeks
期刊介绍: Orphanet Journal of Rare Diseases is an open access, peer-reviewed journal that encompasses all aspects of rare diseases and orphan drugs. The journal publishes high-quality reviews on specific rare diseases. In addition, the journal may consider articles on clinical trial outcome reports, either positive or negative, and articles on public health issues in the field of rare diseases and orphan drugs. The journal does not accept case reports.
×
引用
GB/T 7714-2015
复制
MLA
复制
APA
复制
导出至
BibTeX EndNote RefMan NoteFirst NoteExpress
×
提示
您的信息不完整,为了账户安全,请先补充。
现在去补充
×
提示
您因"违规操作"
具体请查看互助需知
我知道了
×
提示
确定
请完成安全验证×
copy
已复制链接
快去分享给好友吧!
我知道了
右上角分享
点击右上角分享
0
联系我们:info@booksci.cn Book学术提供免费学术资源搜索服务,方便国内外学者检索中英文文献。致力于提供最便捷和优质的服务体验。 Copyright © 2023 布克学术 All rights reserved.
京ICP备2023020795号-1
ghs 京公网安备 11010802042870号
Book学术文献互助
Book学术文献互助群
群 号:604180095
Book学术官方微信