Ketogenic diet ameliorates MASLD via balancing mitochondrial dynamics and improving mitochondrial dysfunction.

IF 5.2 2区 医学 Q1 ENDOCRINOLOGY & METABOLISM
Yuehua You, Hongbin Ni, Qin Ma, Lincheng Jiang, Jingshu Cai, Wenjun He, Xiaojing Lin, Kemeng Li, Zhuyun Wang, Weiyan Yan, Xiaoqiu Xiao, Li Ma
{"title":"Ketogenic diet ameliorates MASLD via balancing mitochondrial dynamics and improving mitochondrial dysfunction.","authors":"Yuehua You, Hongbin Ni, Qin Ma, Lincheng Jiang, Jingshu Cai, Wenjun He, Xiaojing Lin, Kemeng Li, Zhuyun Wang, Weiyan Yan, Xiaoqiu Xiao, Li Ma","doi":"10.1038/s41387-025-00391-w","DOIUrl":null,"url":null,"abstract":"<p><strong>Background & aims: </strong>Ketogenic diet (KD) is recognized as an effective lifestyle intervention for managing metabolic dysfunction-associated steatotic liver disease (MASLD). This research aimed to assess the impact of KD on metabolic parameters in MASLD mice and elucidate the underlying mechanism.</p><p><strong>Methods: </strong>High-fat diet (HFD)-induced MASLD mice were subjected to KD for 2 weeks. Researchers measured hepatic fat, plasma Alanine Aminotransferase (ALT), and Aspartate Aminotransferase (AST) levels to assess metabolic changes. Hepatic mitochondrial dynamics were examined using transmission electron microscopy and Western blot. Mitochondrial functions were evaluated through Quantitative Polymerase Chain Reaction (qPCR) and measurement of ATP content. In vitro, HepG2 cells were treated with palmitate (PA), β-hydroxybutyric acid (β-OHB), and/or the mitochondrial fusion inhibitor MFI8 to study mitochondrial morphology, function, and lipid deposition.</p><p><strong>Results: </strong>KD feeding partially improved the MASLD phenotype and reduced Fission 1 protein (Fis1) and Dynamin-related protein 1 (Drp1) levels in the livers of MASLD mice. Additionally, KD ameliorated HFD-stimulated mitochondrial dysfunctions, as evidenced by elevated ATP levels and upregulation of key genes responsible for fatty-acid-oxidation. β-OHB mitigated PA-stimulated mitochondrial dysfunction and fission in HepG2 cells. Furthermore, β-OHB attenuated PA-stimulated lipid deposition, with this effect being counteracted by MFI8.</p><p><strong>Conclusions: </strong>Our study suggests that a 2-week KD partially alleviates lipid deposition, restores mitochondrial dynamics balance, and improves mitochondrial dysfunctions in the livers of MASLD mice.</p>","PeriodicalId":19339,"journal":{"name":"Nutrition & Diabetes","volume":"15 1","pages":"37"},"PeriodicalIF":5.2000,"publicationDate":"2025-08-25","publicationTypes":"Journal Article","fieldsOfStudy":null,"isOpenAccess":false,"openAccessPdf":"https://www.ncbi.nlm.nih.gov/pmc/articles/PMC12375717/pdf/","citationCount":"0","resultStr":null,"platform":"Semanticscholar","paperid":null,"PeriodicalName":"Nutrition & Diabetes","FirstCategoryId":"3","ListUrlMain":"https://doi.org/10.1038/s41387-025-00391-w","RegionNum":2,"RegionCategory":"医学","ArticlePicture":[],"TitleCN":null,"AbstractTextCN":null,"PMCID":null,"EPubDate":"","PubModel":"","JCR":"Q1","JCRName":"ENDOCRINOLOGY & METABOLISM","Score":null,"Total":0}
引用次数: 0

Abstract

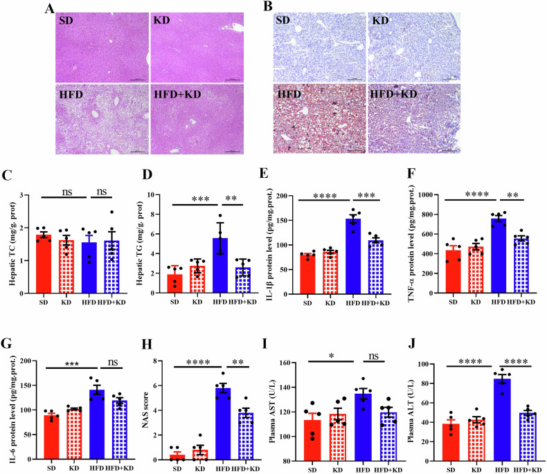
Background & aims: Ketogenic diet (KD) is recognized as an effective lifestyle intervention for managing metabolic dysfunction-associated steatotic liver disease (MASLD). This research aimed to assess the impact of KD on metabolic parameters in MASLD mice and elucidate the underlying mechanism.

Methods: High-fat diet (HFD)-induced MASLD mice were subjected to KD for 2 weeks. Researchers measured hepatic fat, plasma Alanine Aminotransferase (ALT), and Aspartate Aminotransferase (AST) levels to assess metabolic changes. Hepatic mitochondrial dynamics were examined using transmission electron microscopy and Western blot. Mitochondrial functions were evaluated through Quantitative Polymerase Chain Reaction (qPCR) and measurement of ATP content. In vitro, HepG2 cells were treated with palmitate (PA), β-hydroxybutyric acid (β-OHB), and/or the mitochondrial fusion inhibitor MFI8 to study mitochondrial morphology, function, and lipid deposition.

Results: KD feeding partially improved the MASLD phenotype and reduced Fission 1 protein (Fis1) and Dynamin-related protein 1 (Drp1) levels in the livers of MASLD mice. Additionally, KD ameliorated HFD-stimulated mitochondrial dysfunctions, as evidenced by elevated ATP levels and upregulation of key genes responsible for fatty-acid-oxidation. β-OHB mitigated PA-stimulated mitochondrial dysfunction and fission in HepG2 cells. Furthermore, β-OHB attenuated PA-stimulated lipid deposition, with this effect being counteracted by MFI8.

Conclusions: Our study suggests that a 2-week KD partially alleviates lipid deposition, restores mitochondrial dynamics balance, and improves mitochondrial dysfunctions in the livers of MASLD mice.

Abstract Image

Abstract Image

Abstract Image

生酮饮食通过平衡线粒体动力学和改善线粒体功能障碍来改善MASLD。
背景与目的:生酮饮食(KD)被认为是一种有效的生活方式干预治疗代谢功能障碍相关的脂肪变性肝病(MASLD)。本研究旨在评估KD对MASLD小鼠代谢参数的影响,并阐明其潜在机制。方法:高脂饮食(HFD)诱导的MASLD小鼠进行KD治疗2周。研究人员测量了肝脏脂肪、血浆丙氨酸转氨酶(ALT)和天冬氨酸转氨酶(AST)水平,以评估代谢变化。采用透射电镜和Western blot检测肝脏线粒体动力学。通过定量聚合酶链反应(qPCR)和ATP含量测定评估线粒体功能。在体外,用棕榈酸酯(PA)、β-羟基丁酸(β-OHB)和/或线粒体融合抑制剂MFI8处理HepG2细胞,研究线粒体形态、功能和脂质沉积。结果:KD喂养部分改善了MASLD小鼠的表型,降低了MASLD小鼠肝脏中裂变1蛋白(Fis1)和动力蛋白相关蛋白1 (Drp1)的水平。此外,KD改善了hfd刺激的线粒体功能障碍,这可以通过ATP水平升高和负责脂肪酸氧化的关键基因上调来证明。β-OHB减轻pa刺激的HepG2细胞线粒体功能障碍和裂变。此外,β-OHB减弱pa刺激的脂质沉积,而这种作用被MFI8抵消。结论:我们的研究表明,2周的KD可以部分缓解MASLD小鼠肝脏的脂质沉积,恢复线粒体动力学平衡,改善线粒体功能障碍。
本文章由计算机程序翻译,如有差异,请以英文原文为准。
求助全文
约1分钟内获得全文 求助全文
来源期刊
Nutrition & Diabetes
Nutrition & Diabetes ENDOCRINOLOGY & METABOLISM-NUTRITION & DIETETICS
CiteScore
9.20
自引率
0.00%
发文量
50
审稿时长
>12 weeks
期刊介绍: Nutrition & Diabetes is a peer-reviewed, online, open access journal bringing to the fore outstanding research in the areas of nutrition and chronic disease, including diabetes, from the molecular to the population level.
×
引用
GB/T 7714-2015
复制
MLA
复制
APA
复制
导出至
BibTeX EndNote RefMan NoteFirst NoteExpress
×
提示
您的信息不完整,为了账户安全,请先补充。
现在去补充
×
提示
您因"违规操作"
具体请查看互助需知
我知道了
×
提示
确定
请完成安全验证×
copy
已复制链接
快去分享给好友吧!
我知道了
右上角分享
点击右上角分享
0
联系我们:info@booksci.cn Book学术提供免费学术资源搜索服务,方便国内外学者检索中英文文献。致力于提供最便捷和优质的服务体验。 Copyright © 2023 布克学术 All rights reserved.
京ICP备2023020795号-1
ghs 京公网安备 11010802042870号
Book学术文献互助
Book学术文献互助群
群 号:604180095
Book学术官方微信