Expression of Recombinant Hirudin in Bacteria and Yeast: A Comparative Approach.

IF 2 Q3 BIOCHEMICAL RESEARCH METHODS
Zhongjie Wang, Dominique Böttcher, Uwe T Bornscheuer, Christian Müller
{"title":"Expression of Recombinant Hirudin in Bacteria and Yeast: A Comparative Approach.","authors":"Zhongjie Wang, Dominique Böttcher, Uwe T Bornscheuer, Christian Müller","doi":"10.3390/mps8040089","DOIUrl":null,"url":null,"abstract":"<p><p>The expression of recombinant proteins in heterologous hosts is a common strategy to obtain larger quantities of the \"protein of interest\" (POI) for scientific, therapeutic or commercial purposes. However, the experimental success of such an approach critically depends on the choice of an appropriate host system to obtain biologically active forms of the POI. The correct folding of the molecule, mediated by disulfide bond formation, is one of the most critical steps in that process. Here we describe the recombinant expression of hirudin, a leech-derived anticoagulant and thrombin inhibitor, in the yeast <i>Komagataella phaffii</i> (formerly known and mentioned throughout this publication as <i>Pichia pastoris</i>) and in two different strains of <i>Escherichia coli</i>, one of them being especially designed for improved disulfide bond formation through expression of a protein disulfide isomerase. Cultivation of the heterologous hosts and expression of hirudin were performed at different temperatures, ranging from 22 to 42 °C for the bacterial strains and from 20 to 30 °C for the yeast strain, respectively. The thrombin-inhibitory potencies of all hirudin preparations were determined using the thrombin time coagulation assay. To our surprise, the hirudin preparations of <i>P. pastoris</i> were considerably less potent as thrombin inhibitors than the respective preparations of both <i>E. coli</i> strains, indicating that a eukaryotic background is not per se a better choice for the expression of a biologically active eukaryotic protein. The hirudin preparations of both <i>E. coli</i> strains exhibited comparable high thrombin-inhibitory potencies when the strains were cultivated at their respective optimal temperatures, whereas lower or higher cultivation temperatures reduced the inhibitory potencies.</p>","PeriodicalId":18715,"journal":{"name":"Methods and Protocols","volume":"8 4","pages":""},"PeriodicalIF":2.0000,"publicationDate":"2025-08-03","publicationTypes":"Journal Article","fieldsOfStudy":null,"isOpenAccess":false,"openAccessPdf":"https://www.ncbi.nlm.nih.gov/pmc/articles/PMC12388516/pdf/","citationCount":"0","resultStr":null,"platform":"Semanticscholar","paperid":null,"PeriodicalName":"Methods and Protocols","FirstCategoryId":"1085","ListUrlMain":"https://doi.org/10.3390/mps8040089","RegionNum":0,"RegionCategory":null,"ArticlePicture":[],"TitleCN":null,"AbstractTextCN":null,"PMCID":null,"EPubDate":"","PubModel":"","JCR":"Q3","JCRName":"BIOCHEMICAL RESEARCH METHODS","Score":null,"Total":0}
引用次数: 0

Abstract

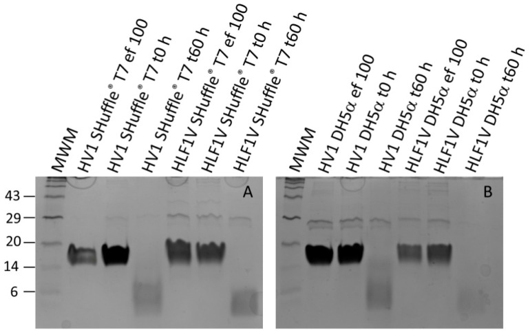
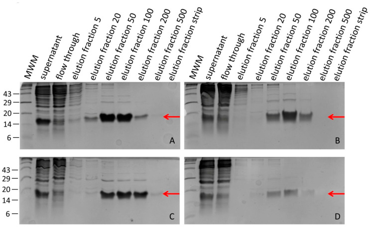
The expression of recombinant proteins in heterologous hosts is a common strategy to obtain larger quantities of the "protein of interest" (POI) for scientific, therapeutic or commercial purposes. However, the experimental success of such an approach critically depends on the choice of an appropriate host system to obtain biologically active forms of the POI. The correct folding of the molecule, mediated by disulfide bond formation, is one of the most critical steps in that process. Here we describe the recombinant expression of hirudin, a leech-derived anticoagulant and thrombin inhibitor, in the yeast Komagataella phaffii (formerly known and mentioned throughout this publication as Pichia pastoris) and in two different strains of Escherichia coli, one of them being especially designed for improved disulfide bond formation through expression of a protein disulfide isomerase. Cultivation of the heterologous hosts and expression of hirudin were performed at different temperatures, ranging from 22 to 42 °C for the bacterial strains and from 20 to 30 °C for the yeast strain, respectively. The thrombin-inhibitory potencies of all hirudin preparations were determined using the thrombin time coagulation assay. To our surprise, the hirudin preparations of P. pastoris were considerably less potent as thrombin inhibitors than the respective preparations of both E. coli strains, indicating that a eukaryotic background is not per se a better choice for the expression of a biologically active eukaryotic protein. The hirudin preparations of both E. coli strains exhibited comparable high thrombin-inhibitory potencies when the strains were cultivated at their respective optimal temperatures, whereas lower or higher cultivation temperatures reduced the inhibitory potencies.

Abstract Image

Abstract Image

Abstract Image

重组水蛭素在细菌和酵母中的表达比较。
重组蛋白在异源宿主中的表达是获得大量“感兴趣蛋白”(POI)用于科学、治疗或商业目的的常用策略。然而,这种方法的实验成功关键取决于选择合适的宿主系统来获得生物活性形式的POI。由二硫键形成介导的分子的正确折叠是该过程中最关键的步骤之一。在这里,我们描述了水蛭素的重组表达,水蛭素是一种水蛭衍生的抗凝血和凝血酶抑制剂,在酵母Komagataella phaffii(以前称为毕赤酵母)和两种不同的大肠杆菌菌株中,其中一种是特别设计的,通过表达蛋白质二硫异构酶来改善二硫键的形成。异种宿主的培养和水蛭素的表达在不同的温度下进行,菌株的培养温度为22 ~ 42℃,酵母菌的培养温度为20 ~ 30℃。采用凝血酶时间法测定水蛭素各制剂的凝血酶抑制作用。令我们惊讶的是,水蛭素制剂作为凝血酶抑制剂的效力明显低于两种大肠杆菌菌株的各自制剂,这表明真核背景本身并不是表达具有生物活性的真核蛋白的更好选择。当菌株在各自的最佳培养温度下培养时,两种大肠杆菌菌株的水蛭素制剂表现出相当高的凝血酶抑制能力,而较低或较高的培养温度会降低抑制能力。
本文章由计算机程序翻译,如有差异,请以英文原文为准。
求助全文
约1分钟内获得全文 求助全文
来源期刊
Methods and Protocols
Methods and Protocols Biochemistry, Genetics and Molecular Biology-Biochemistry, Genetics and Molecular Biology (miscellaneous)
CiteScore
3.60
自引率
0.00%
发文量
85
审稿时长
8 weeks
×
引用
GB/T 7714-2015
复制
MLA
复制
APA
复制
导出至
BibTeX EndNote RefMan NoteFirst NoteExpress
×
提示
您的信息不完整,为了账户安全,请先补充。
现在去补充
×
提示
您因"违规操作"
具体请查看互助需知
我知道了
×
提示
确定
请完成安全验证×
copy
已复制链接
快去分享给好友吧!
我知道了
右上角分享
点击右上角分享
0
联系我们:info@booksci.cn Book学术提供免费学术资源搜索服务,方便国内外学者检索中英文文献。致力于提供最便捷和优质的服务体验。 Copyright © 2023 布克学术 All rights reserved.
京ICP备2023020795号-1
ghs 京公网安备 11010802042870号
Book学术文献互助
Book学术文献互助群
群 号:604180095
Book学术官方微信