First Evidence of Hepatozoon canis in Dogs With Clinical Signs in the North of Lima, Peru.

IF 1.8 Q3 PARASITOLOGY
Journal of Parasitology Research Pub Date : 2025-08-21 eCollection Date: 2025-01-01 DOI:10.1155/japr/5430576
Cesar Ramirez, Daphne León, Luis M Jara
{"title":"First Evidence of <i>Hepatozoon canis</i> in Dogs With Clinical Signs in the North of Lima, Peru.","authors":"Cesar Ramirez, Daphne León, Luis M Jara","doi":"10.1155/japr/5430576","DOIUrl":null,"url":null,"abstract":"<p><p>This study was aimed at detecting the presence of <i>Hepatozoon canis</i> in dogs with clinical signs in the northern area of Lima, Peru. Peripheral blood samples (<i>n</i> = 152) were collected from dogs with hematological alterations and clinical signs suggestive of hemoparasitosis. PCR was used to amplify the 18S ribosomal RNA gene of <i>Hepatozoon</i> sp. and was complemented with Sanger sequencing. Blood smears were used to identify the parasite gamonts. The frequency of <i>H. canis</i> was 15.1% (23/152) based on PCR and 0.7% (1/152) based on microscopic observation. The resulting sequences of the positive PCR amplicons (574 bp) exhibited high sequence similarity to the previously registered <i>H. canis</i> sequences in GenBank. Phylogenetic analysis revealed a similar relationship between the sequences identified in dogs from Thailand, the Philippines, Pakistan, India, and Colombia. This study presents the first evidence of <i>H. canis</i> in dogs with clinical signs in an endemic area for vector-borne diseases in Lima, Peru.</p>","PeriodicalId":16662,"journal":{"name":"Journal of Parasitology Research","volume":"2025 ","pages":"5430576"},"PeriodicalIF":1.8000,"publicationDate":"2025-08-21","publicationTypes":"Journal Article","fieldsOfStudy":null,"isOpenAccess":false,"openAccessPdf":"https://www.ncbi.nlm.nih.gov/pmc/articles/PMC12393935/pdf/","citationCount":"0","resultStr":null,"platform":"Semanticscholar","paperid":null,"PeriodicalName":"Journal of Parasitology Research","FirstCategoryId":"1085","ListUrlMain":"https://doi.org/10.1155/japr/5430576","RegionNum":0,"RegionCategory":null,"ArticlePicture":[],"TitleCN":null,"AbstractTextCN":null,"PMCID":null,"EPubDate":"2025/1/1 0:00:00","PubModel":"eCollection","JCR":"Q3","JCRName":"PARASITOLOGY","Score":null,"Total":0}
引用次数: 0

Abstract

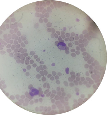
This study was aimed at detecting the presence of Hepatozoon canis in dogs with clinical signs in the northern area of Lima, Peru. Peripheral blood samples (n = 152) were collected from dogs with hematological alterations and clinical signs suggestive of hemoparasitosis. PCR was used to amplify the 18S ribosomal RNA gene of Hepatozoon sp. and was complemented with Sanger sequencing. Blood smears were used to identify the parasite gamonts. The frequency of H. canis was 15.1% (23/152) based on PCR and 0.7% (1/152) based on microscopic observation. The resulting sequences of the positive PCR amplicons (574 bp) exhibited high sequence similarity to the previously registered H. canis sequences in GenBank. Phylogenetic analysis revealed a similar relationship between the sequences identified in dogs from Thailand, the Philippines, Pakistan, India, and Colombia. This study presents the first evidence of H. canis in dogs with clinical signs in an endemic area for vector-borne diseases in Lima, Peru.

Abstract Image

秘鲁利马北部有临床症状的犬中首次发现犬肝虫病的证据。
本研究旨在检测秘鲁利马北部地区有临床症状的犬中是否存在犬肝虫。采集外周血样本(n = 152),均为血液学改变和提示血寄生虫病临床症状的狗。采用PCR扩增Hepatozoon sp.的18S核糖体RNA基因,并辅以Sanger测序。用血涂片鉴定寄生体。PCR检测结果为15.1%(23/152),显微观察结果为0.7%(1/152)。阳性扩增序列(574 bp)与GenBank中已登记的犬人序列具有较高的序列相似性。系统发育分析显示,在泰国、菲律宾、巴基斯坦、印度和哥伦比亚的狗中发现的序列之间存在类似的关系。本研究首次在秘鲁利马病媒传播疾病流行区发现有临床症状的犬中存在犬嗜血杆菌。
本文章由计算机程序翻译,如有差异,请以英文原文为准。
求助全文
约1分钟内获得全文 求助全文
来源期刊
Journal of Parasitology Research
Journal of Parasitology Research Medicine-Infectious Diseases
CiteScore
3.50
自引率
9.10%
发文量
49
审稿时长
13 weeks
期刊介绍: Journal of Parasitology Research is a peer-reviewed, Open Access journal that publishes original research articles, review articles, and clinical studies in all areas of basic and applied parasitology. Articles covering host-parasite relationships and parasitic diseases will be considered, as well as studies on disease vectors. Articles highlighting social and economic issues around the impact of parasites are also encouraged. As an international, Open Access publication, Journal of Parasitology Research aims to foster learning and collaboration between countries and communities.
×
引用
GB/T 7714-2015
复制
MLA
复制
APA
复制
导出至
BibTeX EndNote RefMan NoteFirst NoteExpress
×
提示
您的信息不完整,为了账户安全,请先补充。
现在去补充
×
提示
您因"违规操作"
具体请查看互助需知
我知道了
×
提示
确定
请完成安全验证×
copy
已复制链接
快去分享给好友吧!
我知道了
右上角分享
点击右上角分享
0
联系我们:info@booksci.cn Book学术提供免费学术资源搜索服务,方便国内外学者检索中英文文献。致力于提供最便捷和优质的服务体验。 Copyright © 2023 布克学术 All rights reserved.
京ICP备2023020795号-1
ghs 京公网安备 11010802042870号
Book学术文献互助
Book学术文献互助群
群 号:604180095
Book学术官方微信