Analysis of sagittal alignment changes in the spine-pelvis joint in sitting and standing positions after long- or short-segment fixation to the pelvis for lumbar degenerative diseases.

IF 2.8 3区 医学 Q1 ORTHOPEDICS
Yue Ma, ChunGuo Wang, Han Yu, Benzhang Tao, Chao Gao, Gan Gao, Chao Xue
{"title":"Analysis of sagittal alignment changes in the spine-pelvis joint in sitting and standing positions after long- or short-segment fixation to the pelvis for lumbar degenerative diseases.","authors":"Yue Ma, ChunGuo Wang, Han Yu, Benzhang Tao, Chao Gao, Gan Gao, Chao Xue","doi":"10.1186/s13018-025-06199-9","DOIUrl":null,"url":null,"abstract":"<p><strong>Background: </strong>The spine, pelvis, and joints maintain sagittal balance, which is often disrupted in lumbar degenerative diseases. While preoperative changes in sagittal alignment are well studied, postoperative adaptations, particularly following spinal fixation extending to the pelvis, are less understood. Therefore, the present study aimed to examine sagittal changes in the spine, pelvis, and joints in sitting and standing positions after short- or long-segment posterior spinal fixation extending to the pelvis.</p><p><strong>Methods: </strong>This cross-sectional study analyzed patients who underwent long- or short-segment instrumented fusion to the pelvis for lumbar degenerative disease at our hospital from June 2018 to October 2019. Patients were grouped based on the number of internal fixation segments, both short and long. Sagittal parameters were measured in standing and sitting positions and matched for sex, gender, height, weight, and other related parameters. Statistical analysis was performed using t-tests and Mann-Whitney U tests.</p><p><strong>Results: </strong>A total of 98 patients were included, of whom 55 were included in the long-segmengroup (31 men, 24 women; mean age of 63.1 ± 8.5 years). In the long-segment group, no significant changes were observed between standing and sitting positions (P > 0.05). In the short-segment group, significant changes were observed in the sacral vertical axis, pelvic tilt, sacral slope, thoracic kyphosis, lumbar lordosis, T1 pelvic angle, T1 spinopelvic inclination, acetabular tilt, and pelvic-femoral angle between the two positions (P < 0.05). The difference in pelvic femoral angle changes between the groups was also significant (P < 0.05).</p><p><strong>Conclusions: </strong>In the short-segment group, transitioning from standing to sitting leads to greater sagittal changes, including decreased lumbar lordosis and forward trunk lean, with smaller hip joints than in the long-segment internal fixation group.</p>","PeriodicalId":16629,"journal":{"name":"Journal of Orthopaedic Surgery and Research","volume":"20 1","pages":"803"},"PeriodicalIF":2.8000,"publicationDate":"2025-08-30","publicationTypes":"Journal Article","fieldsOfStudy":null,"isOpenAccess":false,"openAccessPdf":"https://www.ncbi.nlm.nih.gov/pmc/articles/PMC12398083/pdf/","citationCount":"0","resultStr":null,"platform":"Semanticscholar","paperid":null,"PeriodicalName":"Journal of Orthopaedic Surgery and Research","FirstCategoryId":"3","ListUrlMain":"https://doi.org/10.1186/s13018-025-06199-9","RegionNum":3,"RegionCategory":"医学","ArticlePicture":[],"TitleCN":null,"AbstractTextCN":null,"PMCID":null,"EPubDate":"","PubModel":"","JCR":"Q1","JCRName":"ORTHOPEDICS","Score":null,"Total":0}
引用次数: 0

Abstract

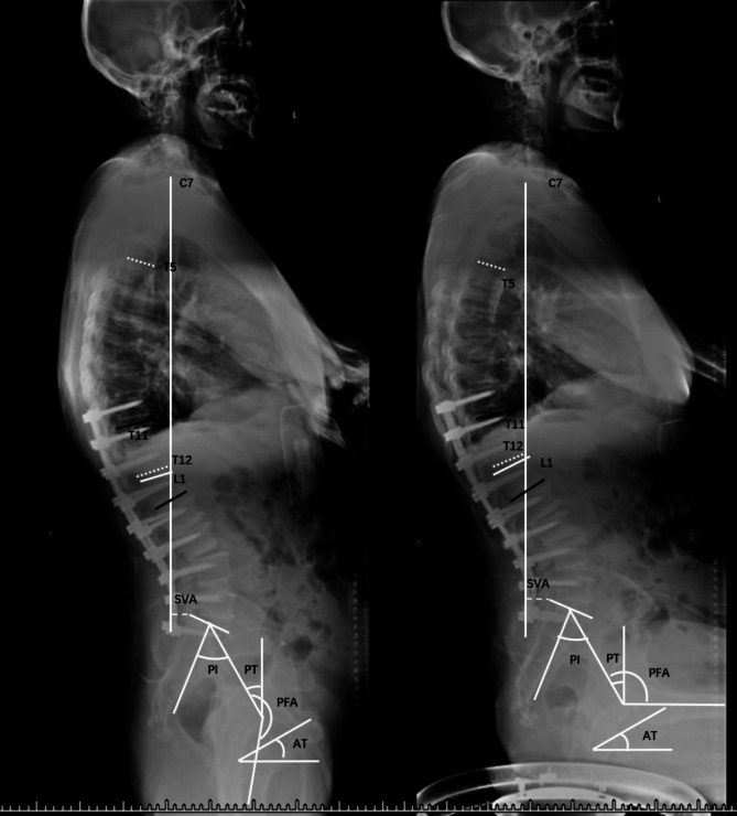
Background: The spine, pelvis, and joints maintain sagittal balance, which is often disrupted in lumbar degenerative diseases. While preoperative changes in sagittal alignment are well studied, postoperative adaptations, particularly following spinal fixation extending to the pelvis, are less understood. Therefore, the present study aimed to examine sagittal changes in the spine, pelvis, and joints in sitting and standing positions after short- or long-segment posterior spinal fixation extending to the pelvis.

Methods: This cross-sectional study analyzed patients who underwent long- or short-segment instrumented fusion to the pelvis for lumbar degenerative disease at our hospital from June 2018 to October 2019. Patients were grouped based on the number of internal fixation segments, both short and long. Sagittal parameters were measured in standing and sitting positions and matched for sex, gender, height, weight, and other related parameters. Statistical analysis was performed using t-tests and Mann-Whitney U tests.

Results: A total of 98 patients were included, of whom 55 were included in the long-segmengroup (31 men, 24 women; mean age of 63.1 ± 8.5 years). In the long-segment group, no significant changes were observed between standing and sitting positions (P > 0.05). In the short-segment group, significant changes were observed in the sacral vertical axis, pelvic tilt, sacral slope, thoracic kyphosis, lumbar lordosis, T1 pelvic angle, T1 spinopelvic inclination, acetabular tilt, and pelvic-femoral angle between the two positions (P < 0.05). The difference in pelvic femoral angle changes between the groups was also significant (P < 0.05).

Conclusions: In the short-segment group, transitioning from standing to sitting leads to greater sagittal changes, including decreased lumbar lordosis and forward trunk lean, with smaller hip joints than in the long-segment internal fixation group.

Abstract Image

Abstract Image

Abstract Image

腰椎退行性疾病骨盆长或短节段固定后坐位和站立位腰椎关节矢状位变化分析
背景:脊柱、骨盆和关节维持矢状位平衡,这在腰椎退行性疾病中经常被破坏。虽然术前矢状面对齐的改变已经得到了很好的研究,但术后适应,特别是脊柱固定延伸到骨盆后的适应,却知之甚少。因此,本研究旨在研究脊柱后固定延伸至骨盆的短节段或长节段后,坐位和站立位时脊柱、骨盆和关节矢状面变化。方法:本横断面研究分析了2018年6月至2019年10月在我院行腰椎退行性疾病长节段或短节段固定式骨盆融合术的患者。根据内固定节段的长短进行分组。矢状面参数在站立和坐姿中测量,并匹配性别、身高、体重和其他相关参数。采用t检验和Mann-Whitney U检验进行统计分析。结果:共纳入98例患者,其中长节段组55例(男31例,女24例,平均年龄63.1±8.5岁)。在长节段组中,站立和坐姿之间无明显变化(P < 0.05)。短节段组骶纵轴、骨盆倾斜、骶骨倾斜、胸后凸、腰椎前凸、T1骨盆角、T1脊柱骨盆倾斜、髋臼倾斜、两个体位间的骨盆-股角均发生显著变化(P)。在短节段内固定组中,从站立到坐姿的过渡导致更大的矢状面变化,包括腰椎前凸减小和躯干前倾,髋关节比长节段内固定组小。
本文章由计算机程序翻译,如有差异,请以英文原文为准。
求助全文
约1分钟内获得全文 求助全文
来源期刊
CiteScore
4.10
自引率
7.70%
发文量
494
审稿时长
>12 weeks
期刊介绍: Journal of Orthopaedic Surgery and Research is an open access journal that encompasses all aspects of clinical and basic research studies related to musculoskeletal issues. Orthopaedic research is conducted at clinical and basic science levels. With the advancement of new technologies and the increasing expectation and demand from doctors and patients, we are witnessing an enormous growth in clinical orthopaedic research, particularly in the fields of traumatology, spinal surgery, joint replacement, sports medicine, musculoskeletal tumour management, hand microsurgery, foot and ankle surgery, paediatric orthopaedic, and orthopaedic rehabilitation. The involvement of basic science ranges from molecular, cellular, structural and functional perspectives to tissue engineering, gait analysis, automation and robotic surgery. Implant and biomaterial designs are new disciplines that complement clinical applications. JOSR encourages the publication of multidisciplinary research with collaboration amongst clinicians and scientists from different disciplines, which will be the trend in the coming decades.
×
引用
GB/T 7714-2015
复制
MLA
复制
APA
复制
导出至
BibTeX EndNote RefMan NoteFirst NoteExpress
×
提示
您的信息不完整,为了账户安全,请先补充。
现在去补充
×
提示
您因"违规操作"
具体请查看互助需知
我知道了
×
提示
确定
请完成安全验证×
copy
已复制链接
快去分享给好友吧!
我知道了
右上角分享
点击右上角分享
0
联系我们:info@booksci.cn Book学术提供免费学术资源搜索服务,方便国内外学者检索中英文文献。致力于提供最便捷和优质的服务体验。 Copyright © 2023 布克学术 All rights reserved.
京ICP备2023020795号-1
ghs 京公网安备 11010802042870号
Book学术文献互助
Book学术文献互助群
群 号:604180095
Book学术官方微信