Hypodontia in a child with keratitis-ichthyosis-deafness (KID) syndrome: a case report.

IF 0.8 Q3 MEDICINE, GENERAL & INTERNAL
Tariq Shikh Saleh, Theres Poulsen, John-Erik Nyman
{"title":"Hypodontia in a child with keratitis-ichthyosis-deafness (KID) syndrome: a case report.","authors":"Tariq Shikh Saleh, Theres Poulsen, John-Erik Nyman","doi":"10.1186/s13256-025-05504-8","DOIUrl":null,"url":null,"abstract":"<p><strong>Background: </strong>Keratitis-ichthyosis-deafness syndrome is a rare congenital disorder resulting from mutations in the GJB2 gene located on chromosome 13. It is classified among the ectodermal dysplasias, a group of conditions that affect structures derived from the ectoderm. While oral and dental anomalies are frequently reported, hypodontia (congenitally missing teeth) has only been mentioned in two prior cases. The most recent classification of ectodermal dysplasias does not yet include hypodontia as a recognized feature of keratitis-ichthyosis-deafness syndrome.</p><p><strong>Case presentation: </strong>A 6-year-old girl of Swedish descent was referred for evaluation owing to bleeding gums and oral discomfort. Clinical examination revealed dry, cracked lips, inflamed oral mucosa and gingiva, carious primary teeth, and multiple missing permanent teeth. Treatment was performed under general anesthesia, and the patient was placed on a bi-monthly follow-up schedule. After 2 years, her oral health had significantly improved.</p><p><strong>Conclusion: </strong>Missing teeth are commonly observed in ectodermal dysplasias. This case adds to the growing evidence that hypodontia may be a feature of keratitis-ichthyosis-deafness syndrome and supports its inclusion in future classifications. It also highlights the importance of specialized dental care, ideally provided by pediatric dental professionals.</p>","PeriodicalId":16236,"journal":{"name":"Journal of Medical Case Reports","volume":"19 1","pages":"431"},"PeriodicalIF":0.8000,"publicationDate":"2025-08-29","publicationTypes":"Journal Article","fieldsOfStudy":null,"isOpenAccess":false,"openAccessPdf":"https://www.ncbi.nlm.nih.gov/pmc/articles/PMC12395682/pdf/","citationCount":"0","resultStr":null,"platform":"Semanticscholar","paperid":null,"PeriodicalName":"Journal of Medical Case Reports","FirstCategoryId":"1085","ListUrlMain":"https://doi.org/10.1186/s13256-025-05504-8","RegionNum":0,"RegionCategory":null,"ArticlePicture":[],"TitleCN":null,"AbstractTextCN":null,"PMCID":null,"EPubDate":"","PubModel":"","JCR":"Q3","JCRName":"MEDICINE, GENERAL & INTERNAL","Score":null,"Total":0}
引用次数: 0

Abstract

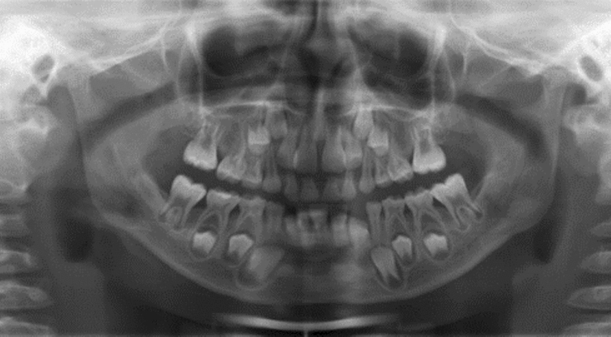
Background: Keratitis-ichthyosis-deafness syndrome is a rare congenital disorder resulting from mutations in the GJB2 gene located on chromosome 13. It is classified among the ectodermal dysplasias, a group of conditions that affect structures derived from the ectoderm. While oral and dental anomalies are frequently reported, hypodontia (congenitally missing teeth) has only been mentioned in two prior cases. The most recent classification of ectodermal dysplasias does not yet include hypodontia as a recognized feature of keratitis-ichthyosis-deafness syndrome.

Case presentation: A 6-year-old girl of Swedish descent was referred for evaluation owing to bleeding gums and oral discomfort. Clinical examination revealed dry, cracked lips, inflamed oral mucosa and gingiva, carious primary teeth, and multiple missing permanent teeth. Treatment was performed under general anesthesia, and the patient was placed on a bi-monthly follow-up schedule. After 2 years, her oral health had significantly improved.

Conclusion: Missing teeth are commonly observed in ectodermal dysplasias. This case adds to the growing evidence that hypodontia may be a feature of keratitis-ichthyosis-deafness syndrome and supports its inclusion in future classifications. It also highlights the importance of specialized dental care, ideally provided by pediatric dental professionals.

Abstract Image

Abstract Image

Abstract Image

儿童角膜炎-鱼鳞病-耳聋(KID)综合征牙缺失1例。
背景:角膜炎-鱼鳞病-耳聋综合征是一种罕见的先天性疾病,由位于13号染色体上的GJB2基因突变引起。它被归类为外胚层发育不良,一组影响外胚层结构的条件。虽然口腔和牙齿异常经常被报道,但牙下畸形(先天性缺牙)只在两个先前的病例中被提及。外胚层发育不良的最新分类尚未包括作为角膜炎-鱼鳞病-耳聋综合征的公认特征的下颌缺损。病例介绍:一名6岁的瑞典裔女孩因牙龈出血和口腔不适而被转介进行评估。临床检查表现为嘴唇干裂、口腔黏膜及牙龈发炎、乳牙龋齿及多颗恒牙缺失。治疗在全身麻醉下进行,患者被安排在两个月的随访计划中。2年后,她的口腔健康状况明显改善。结论:牙缺失是外胚层发育不良的常见现象。越来越多的证据表明,牙下缺失可能是角膜炎-鱼鳞病-耳聋综合征的一个特征,并支持将其纳入未来的分类。它还强调了专业牙科护理的重要性,最好是由儿科牙科专业人员提供。
本文章由计算机程序翻译,如有差异,请以英文原文为准。
求助全文
约1分钟内获得全文 求助全文
来源期刊
Journal of Medical Case Reports
Journal of Medical Case Reports Medicine-Medicine (all)
CiteScore
1.50
自引率
0.00%
发文量
436
期刊介绍: JMCR is an open access, peer-reviewed online journal that will consider any original case report that expands the field of general medical knowledge. Reports should show one of the following: 1. Unreported or unusual side effects or adverse interactions involving medications 2. Unexpected or unusual presentations of a disease 3. New associations or variations in disease processes 4. Presentations, diagnoses and/or management of new and emerging diseases 5. An unexpected association between diseases or symptoms 6. An unexpected event in the course of observing or treating a patient 7. Findings that shed new light on the possible pathogenesis of a disease or an adverse effect
×
引用
GB/T 7714-2015
复制
MLA
复制
APA
复制
导出至
BibTeX EndNote RefMan NoteFirst NoteExpress
×
提示
您的信息不完整,为了账户安全,请先补充。
现在去补充
×
提示
您因"违规操作"
具体请查看互助需知
我知道了
×
提示
确定
请完成安全验证×
copy
已复制链接
快去分享给好友吧!
我知道了
右上角分享
点击右上角分享
0
联系我们:info@booksci.cn Book学术提供免费学术资源搜索服务,方便国内外学者检索中英文文献。致力于提供最便捷和优质的服务体验。 Copyright © 2023 布克学术 All rights reserved.
京ICP备2023020795号-1
ghs 京公网安备 11010802042870号
Book学术文献互助
Book学术文献互助群
群 号:604180095
Book学术官方微信