A CSPP1 variant associated with metabolic dysfunction in Joubert syndrome: a case report.

IF 0.8 Q3 MEDICINE, GENERAL & INTERNAL
Liany F Acosta-Paguada, Milca S Velásquez-Hernandez, Paola Sophia Bonilla Medina, Eduardo Smelin Perdomo Domínguez
{"title":"A CSPP1 variant associated with metabolic dysfunction in Joubert syndrome: a case report.","authors":"Liany F Acosta-Paguada, Milca S Velásquez-Hernandez, Paola Sophia Bonilla Medina, Eduardo Smelin Perdomo Domínguez","doi":"10.1186/s13256-025-05332-w","DOIUrl":null,"url":null,"abstract":"<p><strong>Background: </strong>Joubert syndrome is a genetically heterogeneous ciliopathy characterized by cerebellar vermis hypoplasia and the distinctive molar tooth sign on neuroimaging, often accompanied by neurological impairment. Pathogenic CSPP1 variants account for approximately 3% of Joubert syndrome cases. While certain ciliopathies have been associated with metabolic dysfunction, this has not been described in CSPP1-related Joubert syndrome.</p><p><strong>Case presentation: </strong>We report a 16-year-old Honduran mestiza female patient with CSPP1-related Joubert syndrome who presented with insulin resistance, early onset diabetes, dyslipidemia, and metabolic dysfunction-associated steatotic liver disease. Notably, she lacked the typical neurological symptoms of Joubert syndrome. Brain magnetic resonance imaging revealed cerebellar vermis hypoplasia, confirming the diagnosis. Genetic testing identified a pathogenic heterozygous CSPP1 variant (c.3052C > T, p.Gln1018), supporting the diagnosis of CSPP1-related Joubert syndrome.</p><p><strong>Conclusion: </strong>This case expands the phenotypic spectrum of CSPP1-related Joubert syndrome and raises the possibility of a role for CSPP1 in metabolic homeostasis. Further research is needed to determine whether CSPP1 mutations contribute to metabolic dysfunction via ciliary or centrosome-associated mechanisms.</p>","PeriodicalId":16236,"journal":{"name":"Journal of Medical Case Reports","volume":"19 1","pages":"438"},"PeriodicalIF":0.8000,"publicationDate":"2025-09-02","publicationTypes":"Journal Article","fieldsOfStudy":null,"isOpenAccess":false,"openAccessPdf":"https://www.ncbi.nlm.nih.gov/pmc/articles/PMC12406429/pdf/","citationCount":"0","resultStr":null,"platform":"Semanticscholar","paperid":null,"PeriodicalName":"Journal of Medical Case Reports","FirstCategoryId":"1085","ListUrlMain":"https://doi.org/10.1186/s13256-025-05332-w","RegionNum":0,"RegionCategory":null,"ArticlePicture":[],"TitleCN":null,"AbstractTextCN":null,"PMCID":null,"EPubDate":"","PubModel":"","JCR":"Q3","JCRName":"MEDICINE, GENERAL & INTERNAL","Score":null,"Total":0}
引用次数: 0

Abstract

Background: Joubert syndrome is a genetically heterogeneous ciliopathy characterized by cerebellar vermis hypoplasia and the distinctive molar tooth sign on neuroimaging, often accompanied by neurological impairment. Pathogenic CSPP1 variants account for approximately 3% of Joubert syndrome cases. While certain ciliopathies have been associated with metabolic dysfunction, this has not been described in CSPP1-related Joubert syndrome.

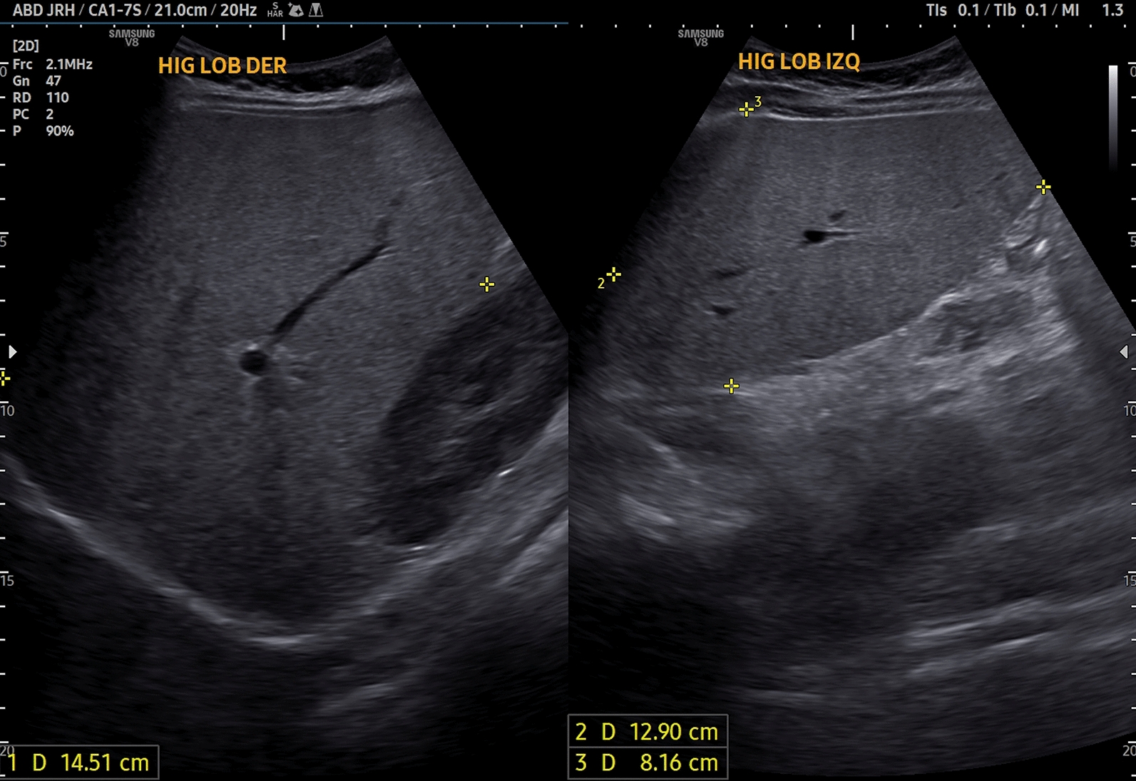
Case presentation: We report a 16-year-old Honduran mestiza female patient with CSPP1-related Joubert syndrome who presented with insulin resistance, early onset diabetes, dyslipidemia, and metabolic dysfunction-associated steatotic liver disease. Notably, she lacked the typical neurological symptoms of Joubert syndrome. Brain magnetic resonance imaging revealed cerebellar vermis hypoplasia, confirming the diagnosis. Genetic testing identified a pathogenic heterozygous CSPP1 variant (c.3052C > T, p.Gln1018), supporting the diagnosis of CSPP1-related Joubert syndrome.

Conclusion: This case expands the phenotypic spectrum of CSPP1-related Joubert syndrome and raises the possibility of a role for CSPP1 in metabolic homeostasis. Further research is needed to determine whether CSPP1 mutations contribute to metabolic dysfunction via ciliary or centrosome-associated mechanisms.

Abstract Image

Abstract Image

Abstract Image

与Joubert综合征代谢功能障碍相关的CSPP1变异:1例报告
背景:Joubert综合征是一种遗传异质性纤毛病,以小脑蚓部发育不全和神经影像学上明显的磨牙征为特征,常伴有神经功能障碍。致病性CSPP1变异约占Joubert综合征病例的3%。虽然某些纤毛病与代谢功能障碍有关,但这在cspp1相关的Joubert综合征中尚未被描述。病例介绍:我们报告了一名16岁的洪都拉斯梅斯蒂萨女性患者,患有cspp1相关的Joubert综合征,她表现为胰岛素抵抗、早发性糖尿病、血脂异常和代谢功能障碍相关的脂肪变性肝病。值得注意的是,她没有朱伯特综合症的典型神经症状。脑磁共振显示小脑蚓部发育不全,证实诊断。基因检测发现一种致病性杂合CSPP1变异(c.3052C > T, p.Gln1018),支持CSPP1相关Joubert综合征的诊断。结论:本病例扩展了CSPP1相关Joubert综合征的表型谱,并提出了CSPP1在代谢稳态中发挥作用的可能性。需要进一步的研究来确定CSPP1突变是否通过纤毛或中心体相关机制导致代谢功能障碍。
本文章由计算机程序翻译,如有差异,请以英文原文为准。
求助全文
约1分钟内获得全文 求助全文
来源期刊
Journal of Medical Case Reports
Journal of Medical Case Reports Medicine-Medicine (all)
CiteScore
1.50
自引率
0.00%
发文量
436
期刊介绍: JMCR is an open access, peer-reviewed online journal that will consider any original case report that expands the field of general medical knowledge. Reports should show one of the following: 1. Unreported or unusual side effects or adverse interactions involving medications 2. Unexpected or unusual presentations of a disease 3. New associations or variations in disease processes 4. Presentations, diagnoses and/or management of new and emerging diseases 5. An unexpected association between diseases or symptoms 6. An unexpected event in the course of observing or treating a patient 7. Findings that shed new light on the possible pathogenesis of a disease or an adverse effect
×
引用
GB/T 7714-2015
复制
MLA
复制
APA
复制
导出至
BibTeX EndNote RefMan NoteFirst NoteExpress
×
提示
您的信息不完整,为了账户安全,请先补充。
现在去补充
×
提示
您因"违规操作"
具体请查看互助需知
我知道了
×
提示
确定
请完成安全验证×
copy
已复制链接
快去分享给好友吧!
我知道了
右上角分享
点击右上角分享
0
联系我们:info@booksci.cn Book学术提供免费学术资源搜索服务,方便国内外学者检索中英文文献。致力于提供最便捷和优质的服务体验。 Copyright © 2023 布克学术 All rights reserved.
京ICP备2023020795号-1
ghs 京公网安备 11010802042870号
Book学术文献互助
Book学术文献互助群
群 号:604180095
Book学术官方微信