Branchio-oto-renal syndrome in a young Han Chinese female: a case report and review of the literature.

IF 0.8 Q3 MEDICINE, GENERAL & INTERNAL
Jianqi Yi, Yonghao Wei, Shucai Fu, Hongbing Yu, Xiaoxun Hu
{"title":"Branchio-oto-renal syndrome in a young Han Chinese female: a case report and review of the literature.","authors":"Jianqi Yi, Yonghao Wei, Shucai Fu, Hongbing Yu, Xiaoxun Hu","doi":"10.1186/s13256-025-05515-5","DOIUrl":null,"url":null,"abstract":"<p><strong>Background: </strong>Branchio-oto-renal syndrome is a rare autosomal dominant disorder characterized by branchial arch anomalies, hearing loss, and renal dysplasia. Its diagnosis remains challenging due to clinical heterogeneity and overlapping features with other syndromes. This case report aims to enhance awareness of branchio-oto-renal syndrome and highlight multidisciplinary management strategies.</p><p><strong>Case presentation: </strong>A 20-year-old Han Chinese female presented with bilateral preauricular and lateral neck fistulas since birth, accompanied by intermittent discharge. Physical examination revealed cup-shaped right ear deformity, bilateral preauricular fistulas, and branchial fistulas. Audiometry showed bilateral sensorineural hearing loss. Imaging studies identified an enlarged vestibular aqueduct and a hypoplastic left kidney. The patient underwent bilateral preauricular fistulotomy and bilateral branchial fistulotomy. Half a year after surgery, the patient's incision healed well with no discharge or signs of recurrence. Unfortunately, the patient did not undergo genetic testing.</p><p><strong>Conclusion: </strong>The diagnosis of branchio-oto-renal syndrome requires a high degree of clinical suspicion. Multidisciplinary collaboration is crucial for comprehensive management, including surgical intervention, audiological support, and long-term kidney monitoring.</p>","PeriodicalId":16236,"journal":{"name":"Journal of Medical Case Reports","volume":"19 1","pages":"430"},"PeriodicalIF":0.8000,"publicationDate":"2025-08-28","publicationTypes":"Journal Article","fieldsOfStudy":null,"isOpenAccess":false,"openAccessPdf":"https://www.ncbi.nlm.nih.gov/pmc/articles/PMC12395678/pdf/","citationCount":"0","resultStr":null,"platform":"Semanticscholar","paperid":null,"PeriodicalName":"Journal of Medical Case Reports","FirstCategoryId":"1085","ListUrlMain":"https://doi.org/10.1186/s13256-025-05515-5","RegionNum":0,"RegionCategory":null,"ArticlePicture":[],"TitleCN":null,"AbstractTextCN":null,"PMCID":null,"EPubDate":"","PubModel":"","JCR":"Q3","JCRName":"MEDICINE, GENERAL & INTERNAL","Score":null,"Total":0}
引用次数: 0

Abstract

Background: Branchio-oto-renal syndrome is a rare autosomal dominant disorder characterized by branchial arch anomalies, hearing loss, and renal dysplasia. Its diagnosis remains challenging due to clinical heterogeneity and overlapping features with other syndromes. This case report aims to enhance awareness of branchio-oto-renal syndrome and highlight multidisciplinary management strategies.

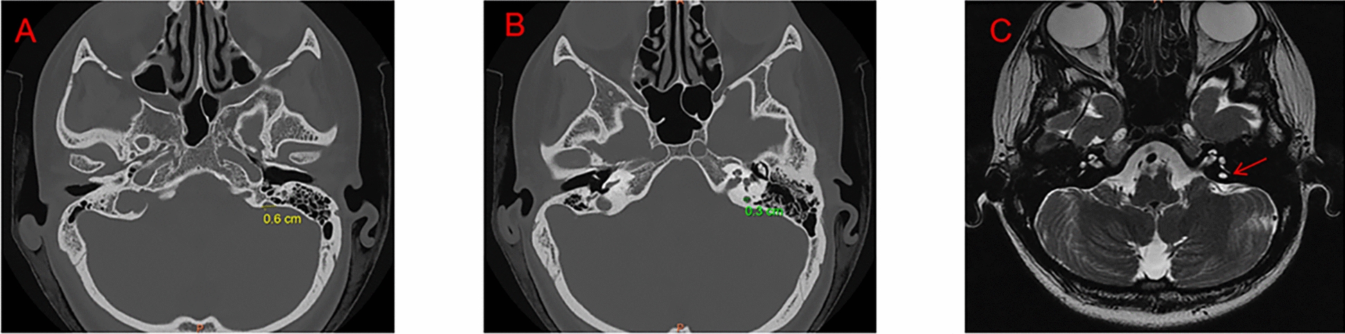
Case presentation: A 20-year-old Han Chinese female presented with bilateral preauricular and lateral neck fistulas since birth, accompanied by intermittent discharge. Physical examination revealed cup-shaped right ear deformity, bilateral preauricular fistulas, and branchial fistulas. Audiometry showed bilateral sensorineural hearing loss. Imaging studies identified an enlarged vestibular aqueduct and a hypoplastic left kidney. The patient underwent bilateral preauricular fistulotomy and bilateral branchial fistulotomy. Half a year after surgery, the patient's incision healed well with no discharge or signs of recurrence. Unfortunately, the patient did not undergo genetic testing.

Conclusion: The diagnosis of branchio-oto-renal syndrome requires a high degree of clinical suspicion. Multidisciplinary collaboration is crucial for comprehensive management, including surgical intervention, audiological support, and long-term kidney monitoring.

Abstract Image

Abstract Image

Abstract Image

年轻汉族女性耳肾支综合征1例报告及文献复习。
背景:鳃裂-耳-肾综合征是一种罕见的常染色体显性遗传病,以鳃裂弓异常、听力损失和肾发育不良为特征。由于临床异质性和与其他综合征的重叠特征,其诊断仍然具有挑战性。本病例报告旨在提高对支耳肾综合征的认识,并强调多学科治疗策略。病例介绍:一名20岁汉族女性,出生后出现双侧耳前及侧颈瘘,并伴有间歇性分泌物。体格检查显示右耳杯状畸形,双侧耳前瘘管及鳃裂瘘管。听力学显示双侧感音神经性听力损失。影像学检查发现前庭导水管增大和左肾发育不全。患者行双侧耳前瘘管切开术和双侧鳃裂瘘管切开术。术后半年,患者切口愈合良好,无出院及复发迹象。不幸的是,病人没有接受基因检测。结论:支耳肾综合征的诊断需要高度的临床怀疑。多学科合作是综合管理的关键,包括手术干预、听力学支持和长期肾脏监测。
本文章由计算机程序翻译,如有差异,请以英文原文为准。
求助全文
约1分钟内获得全文 求助全文
来源期刊
Journal of Medical Case Reports
Journal of Medical Case Reports Medicine-Medicine (all)
CiteScore
1.50
自引率
0.00%
发文量
436
期刊介绍: JMCR is an open access, peer-reviewed online journal that will consider any original case report that expands the field of general medical knowledge. Reports should show one of the following: 1. Unreported or unusual side effects or adverse interactions involving medications 2. Unexpected or unusual presentations of a disease 3. New associations or variations in disease processes 4. Presentations, diagnoses and/or management of new and emerging diseases 5. An unexpected association between diseases or symptoms 6. An unexpected event in the course of observing or treating a patient 7. Findings that shed new light on the possible pathogenesis of a disease or an adverse effect
×
引用
GB/T 7714-2015
复制
MLA
复制
APA
复制
导出至
BibTeX EndNote RefMan NoteFirst NoteExpress
×
提示
您的信息不完整,为了账户安全,请先补充。
现在去补充
×
提示
您因"违规操作"
具体请查看互助需知
我知道了
×
提示
确定
请完成安全验证×
copy
已复制链接
快去分享给好友吧!
我知道了
右上角分享
点击右上角分享
0
联系我们:info@booksci.cn Book学术提供免费学术资源搜索服务,方便国内外学者检索中英文文献。致力于提供最便捷和优质的服务体验。 Copyright © 2023 布克学术 All rights reserved.
京ICP备2023020795号-1
ghs 京公网安备 11010802042870号
Book学术文献互助
Book学术文献互助群
群 号:604180095
Book学术官方微信