Biliary Injuries Repair Using Copolymeric Scaffold: A Systematic Review and In Vivo Experimental Study.

IF 5.2 3区 医学 Q1 ENGINEERING, BIOMEDICAL
Salvatore Buscemi, Giulia Bonventre, Andrea Gottardo, Mariano Licciardi, Fabio Salvatore Palumbo, Giovanni Cassata, Luca Cicero, Giulia Lo Monte, Roberto Puleio, Attilio Ignazio Lo Monte
{"title":"Biliary Injuries Repair Using Copolymeric Scaffold: A Systematic Review and In Vivo Experimental Study.","authors":"Salvatore Buscemi, Giulia Bonventre, Andrea Gottardo, Mariano Licciardi, Fabio Salvatore Palumbo, Giovanni Cassata, Luca Cicero, Giulia Lo Monte, Roberto Puleio, Attilio Ignazio Lo Monte","doi":"10.3390/jfb16080297","DOIUrl":null,"url":null,"abstract":"<p><p><b>Background:</b> Common bile duct (CBD) treatments are often associated with complications, limiting long-term efficacy. To overcome these issues, polymeric grafts have been suggested as promising alternatives, since they are highly customizable, biocompatible, and may reduce side effects frequency. <b>Methods:</b> A systematic review was conducted, interrogating MEDLINE and Cochrane Library. Next, an in vivo study involved 20 pigs, which underwent a former controlled biliary injury. To repair the defect, a <i>α,β-Poly(N-2-hydroxyethyl)-DL-Aspartamide</i> (<i>PHEA</i>)-<i>Polylactic-acid</i> (<i>PLA</i>)-<i>Polycaprolactone</i> (<i>PCL</i>) scaffold was implanted. The animals were sacrificed at one and three months for gross and histological examinations, to assess tissue integration and healing outcomes. <b>Results:</b> The systematic review highlighted that such scaffolds have shown promising results in CBD regeneration, both in single and joined applications. These findings were confirmed by the in vivo study, where the use of such scaffolds-particularly, the planar ones-led to safe and complete bile duct regeneration. Histological analysis revealed lymphomonocytic infiltrates and neovascularization, while microscopic examination showed progressive scaffold degradation accompanied by biliary tissue regeneration. <b>Conclusions:</b> Experimental results are consistent with the literature, confirming the potential of such polymeric scaffolds in aiding complete CBD regeneration and being reabsorbed shortly after. Still, further studies are needed to fully validate their translational application. <b>PROSPERO ID</b>: CRD420251115056.</p>","PeriodicalId":15767,"journal":{"name":"Journal of Functional Biomaterials","volume":"16 8","pages":""},"PeriodicalIF":5.2000,"publicationDate":"2025-08-18","publicationTypes":"Journal Article","fieldsOfStudy":null,"isOpenAccess":false,"openAccessPdf":"https://www.ncbi.nlm.nih.gov/pmc/articles/PMC12387130/pdf/","citationCount":"0","resultStr":null,"platform":"Semanticscholar","paperid":null,"PeriodicalName":"Journal of Functional Biomaterials","FirstCategoryId":"5","ListUrlMain":"https://doi.org/10.3390/jfb16080297","RegionNum":3,"RegionCategory":"医学","ArticlePicture":[],"TitleCN":null,"AbstractTextCN":null,"PMCID":null,"EPubDate":"","PubModel":"","JCR":"Q1","JCRName":"ENGINEERING, BIOMEDICAL","Score":null,"Total":0}
引用次数: 0

Abstract

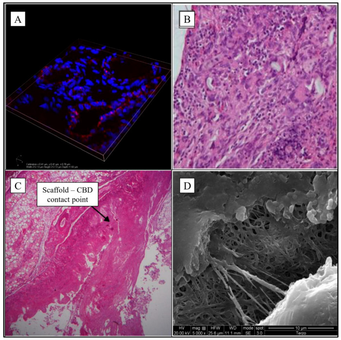
Background: Common bile duct (CBD) treatments are often associated with complications, limiting long-term efficacy. To overcome these issues, polymeric grafts have been suggested as promising alternatives, since they are highly customizable, biocompatible, and may reduce side effects frequency. Methods: A systematic review was conducted, interrogating MEDLINE and Cochrane Library. Next, an in vivo study involved 20 pigs, which underwent a former controlled biliary injury. To repair the defect, a α,β-Poly(N-2-hydroxyethyl)-DL-Aspartamide (PHEA)-Polylactic-acid (PLA)-Polycaprolactone (PCL) scaffold was implanted. The animals were sacrificed at one and three months for gross and histological examinations, to assess tissue integration and healing outcomes. Results: The systematic review highlighted that such scaffolds have shown promising results in CBD regeneration, both in single and joined applications. These findings were confirmed by the in vivo study, where the use of such scaffolds-particularly, the planar ones-led to safe and complete bile duct regeneration. Histological analysis revealed lymphomonocytic infiltrates and neovascularization, while microscopic examination showed progressive scaffold degradation accompanied by biliary tissue regeneration. Conclusions: Experimental results are consistent with the literature, confirming the potential of such polymeric scaffolds in aiding complete CBD regeneration and being reabsorbed shortly after. Still, further studies are needed to fully validate their translational application. PROSPERO ID: CRD420251115056.

Abstract Image

Abstract Image

Abstract Image

用共聚物支架修复胆道损伤:系统综述和体内实验研究。
背景:胆总管(CBD)治疗常伴有并发症,限制了长期疗效。为了克服这些问题,聚合物移植物被认为是有希望的替代方案,因为它们具有高度可定制性,生物相容性,并且可以减少副作用的发生频率。方法:对MEDLINE和Cochrane图书馆进行系统评价。接下来,一项涉及20头猪的体内研究,这些猪经历了以前的控制性胆道损伤。采用α,β-聚(n -2-羟乙基)- dl -阿斯巴酰胺(PHEA)-聚乳酸(PLA)-聚己内酯(PCL)支架进行修复。在1个月和3个月时处死动物进行大体和组织学检查,以评估组织整合和愈合结果。结果:系统综述强调了该支架在CBD再生方面的良好效果,无论是单一应用还是联合应用。这些发现在体内研究中得到了证实,在体内研究中,使用这种支架,特别是平面支架,可以安全、完全地再生胆管。组织学分析显示淋巴细胞浸润和新生血管形成,显微镜检查显示支架逐渐降解并伴有胆道组织再生。结论:实验结果与文献一致,证实了这种聚合物支架在帮助CBD完全再生和不久后重吸收方面的潜力。然而,需要进一步的研究来充分验证它们的翻译应用。普洛斯彼罗id: crd420251115056。
本文章由计算机程序翻译,如有差异,请以英文原文为准。
求助全文
约1分钟内获得全文 求助全文
来源期刊
Journal of Functional Biomaterials
Journal of Functional Biomaterials Engineering-Biomedical Engineering
CiteScore
4.60
自引率
4.20%
发文量
226
审稿时长
11 weeks
期刊介绍: Journal of Functional Biomaterials (JFB, ISSN 2079-4983) is an international and interdisciplinary scientific journal that publishes regular research papers (articles), reviews and short communications about applications of materials for biomedical use. JFB covers subjects from chemistry, pharmacy, biology, physics over to engineering. The journal focuses on the preparation, performance and use of functional biomaterials in biomedical devices and their behaviour in physiological environments. Our aim is to encourage scientists to publish their results in as much detail as possible. Therefore, there is no restriction on the length of the papers. The full experimental details must be provided so that the results can be reproduced. Several topical special issues will be published. Scope: adhesion, adsorption, biocompatibility, biohybrid materials, bio-inert materials, biomaterials, biomedical devices, biomimetic materials, bone repair, cardiovascular devices, ceramics, composite materials, dental implants, dental materials, drug delivery systems, functional biopolymers, glasses, hyper branched polymers, molecularly imprinted polymers (MIPs), nanomedicine, nanoparticles, nanotechnology, natural materials, self-assembly smart materials, stimuli responsive materials, surface modification, tissue devices, tissue engineering, tissue-derived materials, urological devices.
×
引用
GB/T 7714-2015
复制
MLA
复制
APA
复制
导出至
BibTeX EndNote RefMan NoteFirst NoteExpress
×
提示
您的信息不完整,为了账户安全,请先补充。
现在去补充
×
提示
您因"违规操作"
具体请查看互助需知
我知道了
×
提示
确定
请完成安全验证×
copy
已复制链接
快去分享给好友吧!
我知道了
右上角分享
点击右上角分享
0
联系我们:info@booksci.cn Book学术提供免费学术资源搜索服务,方便国内外学者检索中英文文献。致力于提供最便捷和优质的服务体验。 Copyright © 2023 布克学术 All rights reserved.
京ICP备2023020795号-1
ghs 京公网安备 11010802042870号
Book学术文献互助
Book学术文献互助群
群 号:604180095
Book学术官方微信