Thrombosed saphenous vein graft aneurysm mimicking left atrial appendage mass: A rare complication of coronary artery bypass graft.

IF 1.3 Q3 RADIOLOGY, NUCLEAR MEDICINE & MEDICAL IMAGING
Journal of Clinical Imaging Science Pub Date : 2025-07-16 eCollection Date: 2025-01-01 DOI:10.25259/JCIS_45_2025
Hunaina Shahab, Jad Kassem, Ali Yildiz, Adam H Jacobi
{"title":"Thrombosed saphenous vein graft aneurysm mimicking left atrial appendage mass: A rare complication of coronary artery bypass graft.","authors":"Hunaina Shahab, Jad Kassem, Ali Yildiz, Adam H Jacobi","doi":"10.25259/JCIS_45_2025","DOIUrl":null,"url":null,"abstract":"<p><p>Saphenous vein graft aneurysm (SVGA) is a rare but potentially life-threatening complication of coronary artery bypass grafting (CABG). Its incidence is likely underreported due to asymptomatic cases and undiagnosed acute events. While SVGAs are more commonly associated with right atrial compression, presentation as a left atrial mass is rare. We present the case of an 85-year-old man with a history of CABG, who was incidentally found to have a left atrial appendage (LAA) density on a computed tomography (CT) chest, abdomen, and pelvis performed for unrelated symptoms of back pain and constipation. The density was initially suspected to be an LAA thrombus. However, a dedicated cardiac CT with delayed-phase imaging revealed a largely thrombosed aneurysmal saphenous vein graft to the obtuse marginal artery, which indented the LAA, mimicking an intracardiac mass. This case underscores the critical role of multimodality imaging, particularly cardiac CT, in differentiating vascular aneurysms from true intracardiac masses. Given the patient's asymptomatic status, conservative management with close follow-up was pursued. This case adds to the limited literature on SVGAs mimicking left atrial pathology and highlights the importance of recognizing this rare entity to avoid unnecessary interventions. It also emphasizes the evolving role of cardiac CT as a noninvasive, high-yield diagnostic tool for complex post-CABG anatomical assessments.</p>","PeriodicalId":15512,"journal":{"name":"Journal of Clinical Imaging Science","volume":"15 ","pages":"26"},"PeriodicalIF":1.3000,"publicationDate":"2025-07-16","publicationTypes":"Journal Article","fieldsOfStudy":null,"isOpenAccess":false,"openAccessPdf":"https://www.ncbi.nlm.nih.gov/pmc/articles/PMC12361656/pdf/","citationCount":"0","resultStr":null,"platform":"Semanticscholar","paperid":null,"PeriodicalName":"Journal of Clinical Imaging Science","FirstCategoryId":"1085","ListUrlMain":"https://doi.org/10.25259/JCIS_45_2025","RegionNum":0,"RegionCategory":null,"ArticlePicture":[],"TitleCN":null,"AbstractTextCN":null,"PMCID":null,"EPubDate":"2025/1/1 0:00:00","PubModel":"eCollection","JCR":"Q3","JCRName":"RADIOLOGY, NUCLEAR MEDICINE & MEDICAL IMAGING","Score":null,"Total":0}
引用次数: 0

Abstract

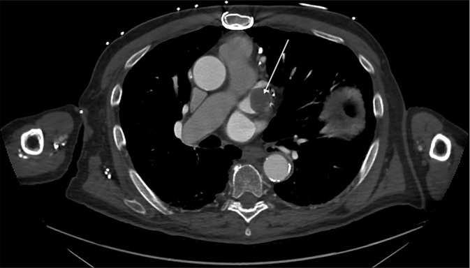
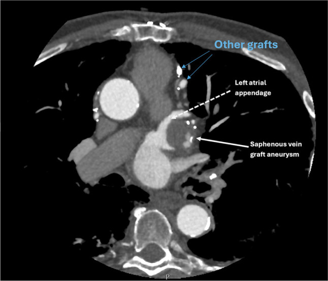
Saphenous vein graft aneurysm (SVGA) is a rare but potentially life-threatening complication of coronary artery bypass grafting (CABG). Its incidence is likely underreported due to asymptomatic cases and undiagnosed acute events. While SVGAs are more commonly associated with right atrial compression, presentation as a left atrial mass is rare. We present the case of an 85-year-old man with a history of CABG, who was incidentally found to have a left atrial appendage (LAA) density on a computed tomography (CT) chest, abdomen, and pelvis performed for unrelated symptoms of back pain and constipation. The density was initially suspected to be an LAA thrombus. However, a dedicated cardiac CT with delayed-phase imaging revealed a largely thrombosed aneurysmal saphenous vein graft to the obtuse marginal artery, which indented the LAA, mimicking an intracardiac mass. This case underscores the critical role of multimodality imaging, particularly cardiac CT, in differentiating vascular aneurysms from true intracardiac masses. Given the patient's asymptomatic status, conservative management with close follow-up was pursued. This case adds to the limited literature on SVGAs mimicking left atrial pathology and highlights the importance of recognizing this rare entity to avoid unnecessary interventions. It also emphasizes the evolving role of cardiac CT as a noninvasive, high-yield diagnostic tool for complex post-CABG anatomical assessments.

Abstract Image

Abstract Image

Abstract Image

模拟左心房附件肿块的血栓性隐静脉移植动脉瘤:冠状动脉搭桥术中一种罕见的并发症。
隐静脉动脉瘤(SVGA)是冠状动脉旁路移植术(CABG)中一种罕见但可能危及生命的并发症。由于无症状病例和未确诊的急性事件,其发病率可能被低估。虽然SVGAs通常与右心房压迫有关,但表现为左心房肿块是罕见的。我们报告了一位85岁的有CABG病史的男性患者,他在胸部、腹部和骨盆的计算机断层扫描(CT)上偶然发现左心耳(LAA)密度,这与背痛和便秘的症状无关。该密度最初被怀疑为LAA血栓。然而,专门的心脏CT延迟期成像显示,钝边缘动脉上有一大块血栓形成的动脉瘤性隐静脉移植物,使LAA凹陷,类似于心内肿块。本病例强调了多模态成像,特别是心脏CT在鉴别血管动脉瘤和真正的心内肿块中的关键作用。鉴于患者无症状,采取保守治疗并密切随访。本病例增加了SVGAs模拟左心房病理的有限文献,并强调了认识这种罕见实体以避免不必要干预的重要性。它还强调了心脏CT作为一种无创、高产的诊断工具在cabg后复杂解剖评估中的作用。
本文章由计算机程序翻译,如有差异,请以英文原文为准。
求助全文
约1分钟内获得全文 求助全文
来源期刊
Journal of Clinical Imaging Science
Journal of Clinical Imaging Science RADIOLOGY, NUCLEAR MEDICINE & MEDICAL IMAGING-
CiteScore
2.00
自引率
0.00%
发文量
65
期刊介绍: The Journal of Clinical Imaging Science (JCIS) is an open access peer-reviewed journal committed to publishing high-quality articles in the field of Imaging Science. The journal aims to present Imaging Science and relevant clinical information in an understandable and useful format. The journal is owned and published by the Scientific Scholar. Audience Our audience includes Radiologists, Researchers, Clinicians, medical professionals and students. Review process JCIS has a highly rigorous peer-review process that makes sure that manuscripts are scientifically accurate, relevant, novel and important. Authors disclose all conflicts, affiliations and financial associations such that the published content is not biased.
×
引用
GB/T 7714-2015
复制
MLA
复制
APA
复制
导出至
BibTeX EndNote RefMan NoteFirst NoteExpress
×
提示
您的信息不完整,为了账户安全,请先补充。
现在去补充
×
提示
您因"违规操作"
具体请查看互助需知
我知道了
×
提示
确定
请完成安全验证×
copy
已复制链接
快去分享给好友吧!
我知道了
右上角分享
点击右上角分享
0
联系我们:info@booksci.cn Book学术提供免费学术资源搜索服务,方便国内外学者检索中英文文献。致力于提供最便捷和优质的服务体验。 Copyright © 2023 布克学术 All rights reserved.
京ICP备2023020795号-1
ghs 京公网安备 11010802042870号
Book学术文献互助
Book学术文献互助群
群 号:604180095
Book学术官方微信