Ulnar Nerve Granuloma Presenting as a Peripheral Nerve Sheath Tumor: A Case Report and Literature Review.

IF 1 Q4 CLINICAL NEUROLOGY
Journal of Brachial Plexus and Peripheral Nerve Injury Pub Date : 2025-08-19 eCollection Date: 2025-01-01 DOI:10.1055/a-2667-7286
John K Yue, Jia-Shu Chen, Mahmoud M Elguindy, Vivian Tang, Ryan Tripathy, Allison R Bond, Alexander A Aabedi, Vinil N Shah, Arie Perry, Andrew W Bollen, Dong Heun Lee, Line G Jacques
{"title":"Ulnar Nerve Granuloma Presenting as a Peripheral Nerve Sheath Tumor: A Case Report and Literature Review.","authors":"John K Yue, Jia-Shu Chen, Mahmoud M Elguindy, Vivian Tang, Ryan Tripathy, Allison R Bond, Alexander A Aabedi, Vinil N Shah, Arie Perry, Andrew W Bollen, Dong Heun Lee, Line G Jacques","doi":"10.1055/a-2667-7286","DOIUrl":null,"url":null,"abstract":"<p><p>Peripheral nerve masses have a wide differential diagnosis; however, there is no established diagnostic framework for evaluating non-neoplastic etiologies, such as inflammatory or infectious lesions. Here, we present a rare case of an ulnar nerve granuloma that initially mimicked a peripheral nerve sheath tumor (PNST) on imaging and clinical presentation to elucidate the relevant medical history, imaging, and histology that aid in distinguishing inflammatory, infectious, and neoplastic peripheral nerve lesions. An 85-year-old man with melanoma and multiple prior right elbow surgeries presented with right-hand weakness and a rapidly enlarging gadolinium-enhancing ulnar nerve mass suggestive of a PNST that warranted surgical resection. Surgical histology showed a necrotizing granulomatous lesion that then became most concerning for a parasitic infection. However, broad serum and histologic testing by the Centers for Disease Control and Prevention were all ultimately negative. The final diagnosis was an inflammatory reaction to a retained foreign body from his prior elbow surgeries. In summary, surgery and comprehensive histologic workup are required for diagnosing granulomatous peripheral nerve lesions that mimic PNSTs on imaging and infection on histology.</p>","PeriodicalId":15280,"journal":{"name":"Journal of Brachial Plexus and Peripheral Nerve Injury","volume":"20 1","pages":"e59-e65"},"PeriodicalIF":1.0000,"publicationDate":"2025-08-19","publicationTypes":"Journal Article","fieldsOfStudy":null,"isOpenAccess":false,"openAccessPdf":"https://www.ncbi.nlm.nih.gov/pmc/articles/PMC12364597/pdf/","citationCount":"0","resultStr":null,"platform":"Semanticscholar","paperid":null,"PeriodicalName":"Journal of Brachial Plexus and Peripheral Nerve Injury","FirstCategoryId":"1085","ListUrlMain":"https://doi.org/10.1055/a-2667-7286","RegionNum":0,"RegionCategory":null,"ArticlePicture":[],"TitleCN":null,"AbstractTextCN":null,"PMCID":null,"EPubDate":"2025/1/1 0:00:00","PubModel":"eCollection","JCR":"Q4","JCRName":"CLINICAL NEUROLOGY","Score":null,"Total":0}
引用次数: 0

Abstract

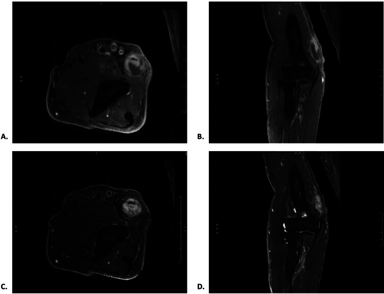
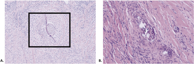
Peripheral nerve masses have a wide differential diagnosis; however, there is no established diagnostic framework for evaluating non-neoplastic etiologies, such as inflammatory or infectious lesions. Here, we present a rare case of an ulnar nerve granuloma that initially mimicked a peripheral nerve sheath tumor (PNST) on imaging and clinical presentation to elucidate the relevant medical history, imaging, and histology that aid in distinguishing inflammatory, infectious, and neoplastic peripheral nerve lesions. An 85-year-old man with melanoma and multiple prior right elbow surgeries presented with right-hand weakness and a rapidly enlarging gadolinium-enhancing ulnar nerve mass suggestive of a PNST that warranted surgical resection. Surgical histology showed a necrotizing granulomatous lesion that then became most concerning for a parasitic infection. However, broad serum and histologic testing by the Centers for Disease Control and Prevention were all ultimately negative. The final diagnosis was an inflammatory reaction to a retained foreign body from his prior elbow surgeries. In summary, surgery and comprehensive histologic workup are required for diagnosing granulomatous peripheral nerve lesions that mimic PNSTs on imaging and infection on histology.

Abstract Image

Abstract Image

Abstract Image

尺神经肉芽肿表现为周围神经鞘肿瘤:1例报告及文献复习。
周围神经肿块有广泛的鉴别诊断;然而,目前尚无确定的诊断框架来评估非肿瘤性病因,如炎症或感染性病变。在此,我们报告一例罕见的尺神经肉芽肿,其影像学和临床表现与周围神经鞘肿瘤(PNST)相似,以阐明相关的病史、影像学和组织学,以帮助区分炎症、感染性和肿瘤性周围神经病变。85岁男性黑色素瘤患者,既往多次右肘手术,表现为右手无力和迅速增大的尺神经肿块,提示PNST,需要手术切除。手术组织学显示坏死性肉芽肿病变,然后成为最关注的寄生虫感染。然而,疾病控制和预防中心的广泛血清和组织学测试最终都是阴性的。最后的诊断是肘部手术遗留异物引起的炎症反应。总之,诊断肉芽肿性周围神经病变在影像学和组织学上类似pnst,需要手术和全面的组织学检查。
本文章由计算机程序翻译,如有差异,请以英文原文为准。
求助全文
约1分钟内获得全文 求助全文
来源期刊
CiteScore
1.70
自引率
14.30%
发文量
6
审稿时长
12 weeks
期刊介绍: JBPPNI is an open access, peer-reviewed online journal that will encompass all aspects of basic and clinical research findings, in the area of brachial plexus and peripheral nerve injury. Injury in this context refers to congenital, inflammatory, traumatic, degenerative and neoplastic processes, including neurofibromatosis. Papers on diagnostic and imaging aspects of the peripheral nervous system are welcomed as well. The peripheral nervous system is unique in its complexity and scope of influence. There are areas of interest in the anatomy, physiology, metabolism, phylogeny, and limb growth tropism of peripheral nerves.
×
引用
GB/T 7714-2015
复制
MLA
复制
APA
复制
导出至
BibTeX EndNote RefMan NoteFirst NoteExpress
×
提示
您的信息不完整,为了账户安全,请先补充。
现在去补充
×
提示
您因"违规操作"
具体请查看互助需知
我知道了
×
提示
确定
请完成安全验证×
copy
已复制链接
快去分享给好友吧!
我知道了
右上角分享
点击右上角分享
0
联系我们:info@booksci.cn Book学术提供免费学术资源搜索服务,方便国内外学者检索中英文文献。致力于提供最便捷和优质的服务体验。 Copyright © 2023 布克学术 All rights reserved.
京ICP备2023020795号-1
ghs 京公网安备 11010802042870号
Book学术文献互助
Book学术文献互助群
群 号:604180095
Book学术官方微信