Fractional Flow Reserve from Coronary CT: Evidence, Applications, and Future Directions.

IF 2.3 4区 医学 Q2 CARDIAC & CARDIOVASCULAR SYSTEMS
Arta Kasaeian, Mohadese Ahmadzade, Taylor Hoffman, Mohammad Ghasemi-Rad, Anoop Padoor Ayyappan
{"title":"Fractional Flow Reserve from Coronary CT: Evidence, Applications, and Future Directions.","authors":"Arta Kasaeian, Mohadese Ahmadzade, Taylor Hoffman, Mohammad Ghasemi-Rad, Anoop Padoor Ayyappan","doi":"10.3390/jcdd12080279","DOIUrl":null,"url":null,"abstract":"<p><p>Coronary computed tomography angiography (CCTA) has emerged as the leading noninvasive imaging modality for the assessment of coronary artery disease (CAD), offering high-resolution visualization of the coronary anatomy and plaque characterization. The development of fractional flow reserve derived from CCTA (FFR-CT) has further transformed the diagnostic landscape by enabling the simultaneous evaluation of both anatomical stenosis and lesion-specific ischemia. FFR-CT has demonstrated diagnostic accuracy comparable to invasive FFR. The combined use of CCTA and FFR-CT is now pivotal in a broad range of clinical scenarios, including the evaluation of stable and acute chest pain, assessment of high-risk and complex plaque features, and preoperative planning. As evidence continues to mount, CCTA and FFR-CT are positioned to become the primary gatekeepers to the cardiac catheterization laboratory, potentially reducing the number of unnecessary invasive procedures. This review highlights the growing clinical utility of FFR-CT, its integration with advanced plaque imaging, and the future potential of these technologies in redefining the management of CAD, while also acknowledging current limitations, including image quality requirements, cost, and access.</p>","PeriodicalId":15197,"journal":{"name":"Journal of Cardiovascular Development and Disease","volume":"12 8","pages":""},"PeriodicalIF":2.3000,"publicationDate":"2025-07-22","publicationTypes":"Journal Article","fieldsOfStudy":null,"isOpenAccess":false,"openAccessPdf":"https://www.ncbi.nlm.nih.gov/pmc/articles/PMC12386757/pdf/","citationCount":"0","resultStr":null,"platform":"Semanticscholar","paperid":null,"PeriodicalName":"Journal of Cardiovascular Development and Disease","FirstCategoryId":"3","ListUrlMain":"https://doi.org/10.3390/jcdd12080279","RegionNum":4,"RegionCategory":"医学","ArticlePicture":[],"TitleCN":null,"AbstractTextCN":null,"PMCID":null,"EPubDate":"","PubModel":"","JCR":"Q2","JCRName":"CARDIAC & CARDIOVASCULAR SYSTEMS","Score":null,"Total":0}
引用次数: 0

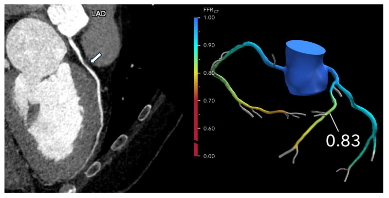
Abstract

Coronary computed tomography angiography (CCTA) has emerged as the leading noninvasive imaging modality for the assessment of coronary artery disease (CAD), offering high-resolution visualization of the coronary anatomy and plaque characterization. The development of fractional flow reserve derived from CCTA (FFR-CT) has further transformed the diagnostic landscape by enabling the simultaneous evaluation of both anatomical stenosis and lesion-specific ischemia. FFR-CT has demonstrated diagnostic accuracy comparable to invasive FFR. The combined use of CCTA and FFR-CT is now pivotal in a broad range of clinical scenarios, including the evaluation of stable and acute chest pain, assessment of high-risk and complex plaque features, and preoperative planning. As evidence continues to mount, CCTA and FFR-CT are positioned to become the primary gatekeepers to the cardiac catheterization laboratory, potentially reducing the number of unnecessary invasive procedures. This review highlights the growing clinical utility of FFR-CT, its integration with advanced plaque imaging, and the future potential of these technologies in redefining the management of CAD, while also acknowledging current limitations, including image quality requirements, cost, and access.

Abstract Image

Abstract Image

Abstract Image

冠状动脉CT血流储备分数:证据、应用和未来方向。
冠状动脉计算机断层血管造影(CCTA)已成为评估冠状动脉疾病(CAD)的主要无创成像方式,提供冠状动脉解剖和斑块特征的高分辨率可视化。CCTA (FFR-CT)衍生的血流储备分数的发展,通过同时评估解剖性狭窄和病变特异性缺血,进一步改变了诊断领域。FFR- ct的诊断准确性与有创FFR相当。目前,CCTA和FFR-CT的联合应用在广泛的临床场景中发挥着关键作用,包括评估稳定型和急性胸痛,评估高风险和复杂斑块特征,以及术前规划。随着证据的不断增加,CCTA和FFR-CT被定位为心导管实验室的主要看门人,潜在地减少不必要的侵入性手术的数量。这篇综述强调了FFR-CT越来越多的临床应用,它与先进的斑块成像的结合,以及这些技术在重新定义CAD管理方面的未来潜力,同时也承认了当前的局限性,包括图像质量要求、成本和访问。
本文章由计算机程序翻译,如有差异,请以英文原文为准。
求助全文
约1分钟内获得全文 求助全文
来源期刊
Journal of Cardiovascular Development and Disease
Journal of Cardiovascular Development and Disease CARDIAC & CARDIOVASCULAR SYSTEMS-
CiteScore
2.60
自引率
12.50%
发文量
381
×
引用
GB/T 7714-2015
复制
MLA
复制
APA
复制
导出至
BibTeX EndNote RefMan NoteFirst NoteExpress
×
提示
您的信息不完整,为了账户安全,请先补充。
现在去补充
×
提示
您因"违规操作"
具体请查看互助需知
我知道了
×
提示
确定
请完成安全验证×
copy
已复制链接
快去分享给好友吧!
我知道了
右上角分享
点击右上角分享
0
联系我们:info@booksci.cn Book学术提供免费学术资源搜索服务,方便国内外学者检索中英文文献。致力于提供最便捷和优质的服务体验。 Copyright © 2023 布克学术 All rights reserved.
京ICP备2023020795号-1
ghs 京公网安备 11010802042870号
Book学术文献互助
Book学术文献互助群
群 号:604180095
Book学术官方微信