Double QRS Transition Due to Anodal Capture During Left Bundle Branch Area Pacing: A Case Report.

IF 2.3 4区 医学 Q2 CARDIAC & CARDIOVASCULAR SYSTEMS
Angelo Melpignano, Francesco Vitali, Luca Canovi, Jacopo Bonini, Ludovica Rita Vocale, Matteo Bertini
{"title":"Double QRS Transition Due to Anodal Capture During Left Bundle Branch Area Pacing: A Case Report.","authors":"Angelo Melpignano, Francesco Vitali, Luca Canovi, Jacopo Bonini, Ludovica Rita Vocale, Matteo Bertini","doi":"10.3390/jcdd12080299","DOIUrl":null,"url":null,"abstract":"<p><p>Anodal capture, characterized by a different QRS morphology compared to cathodal capture, is a well-known issue in cardiac resynchronization therapy (CRT). Left bundle branch area pacing (LBBAP), a novel physiological pacing technique, is also used as a bailout strategy following failed conventional CRT implantation. In LBBAP, QRS transition, defined by a change in paced QRS morphology, serves as a key marker of successful lead placement. This case report is the first to document both high-output anodal capture and LBBAP-induced QRS transition in a single individual receiving LBBAP with an implantable cardioverter-defibrillator (ICD) as a bailout strategy for failed cardiac resynchronization therapy with defibrillator (CRT-D) implantation. Their coexistence underscores unique device optimization challenges in this emerging approach.</p>","PeriodicalId":15197,"journal":{"name":"Journal of Cardiovascular Development and Disease","volume":"12 8","pages":""},"PeriodicalIF":2.3000,"publicationDate":"2025-08-03","publicationTypes":"Journal Article","fieldsOfStudy":null,"isOpenAccess":false,"openAccessPdf":"https://www.ncbi.nlm.nih.gov/pmc/articles/PMC12386845/pdf/","citationCount":"0","resultStr":null,"platform":"Semanticscholar","paperid":null,"PeriodicalName":"Journal of Cardiovascular Development and Disease","FirstCategoryId":"3","ListUrlMain":"https://doi.org/10.3390/jcdd12080299","RegionNum":4,"RegionCategory":"医学","ArticlePicture":[],"TitleCN":null,"AbstractTextCN":null,"PMCID":null,"EPubDate":"","PubModel":"","JCR":"Q2","JCRName":"CARDIAC & CARDIOVASCULAR SYSTEMS","Score":null,"Total":0}
引用次数: 0

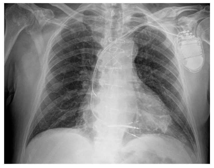
Abstract

Anodal capture, characterized by a different QRS morphology compared to cathodal capture, is a well-known issue in cardiac resynchronization therapy (CRT). Left bundle branch area pacing (LBBAP), a novel physiological pacing technique, is also used as a bailout strategy following failed conventional CRT implantation. In LBBAP, QRS transition, defined by a change in paced QRS morphology, serves as a key marker of successful lead placement. This case report is the first to document both high-output anodal capture and LBBAP-induced QRS transition in a single individual receiving LBBAP with an implantable cardioverter-defibrillator (ICD) as a bailout strategy for failed cardiac resynchronization therapy with defibrillator (CRT-D) implantation. Their coexistence underscores unique device optimization challenges in this emerging approach.

Abstract Image

Abstract Image

Abstract Image

在左束分支区域起搏期间由于阳极捕获引起的双QRS转换:一例报告。
与阴极捕获相比,阳极捕获以不同的QRS形态为特征,是心脏再同步化治疗(CRT)中众所周知的问题。左束支区起搏(LBBAP)是一种新型的生理起搏技术,也可作为常规CRT植入失败后的救助策略。在LBBAP中,由QRS形态变化定义的QRS转换是成功放置导联的关键标志。该病例报告首次记录了在接受LBBAP和植入式心律转复除颤器(ICD)作为除颤器(CRT-D)植入心脏再同步化治疗失败的救助策略的单个个体中,LBBAP诱导的QRS转变和高输出量的节点捕获。它们的共存强调了这种新兴方法中独特的设备优化挑战。
本文章由计算机程序翻译,如有差异,请以英文原文为准。
求助全文
约1分钟内获得全文 求助全文
来源期刊
Journal of Cardiovascular Development and Disease
Journal of Cardiovascular Development and Disease CARDIAC & CARDIOVASCULAR SYSTEMS-
CiteScore
2.60
自引率
12.50%
发文量
381
×
引用
GB/T 7714-2015
复制
MLA
复制
APA
复制
导出至
BibTeX EndNote RefMan NoteFirst NoteExpress
×
提示
您的信息不完整,为了账户安全,请先补充。
现在去补充
×
提示
您因"违规操作"
具体请查看互助需知
我知道了
×
提示
确定
请完成安全验证×
copy
已复制链接
快去分享给好友吧!
我知道了
右上角分享
点击右上角分享
0
联系我们:info@booksci.cn Book学术提供免费学术资源搜索服务,方便国内外学者检索中英文文献。致力于提供最便捷和优质的服务体验。 Copyright © 2023 布克学术 All rights reserved.
京ICP备2023020795号-1
ghs 京公网安备 11010802042870号
Book学术文献互助
Book学术文献互助群
群 号:604180095
Book学术官方微信