Septic Gangrene and Thrombophlebitis Following Leech Therapy in a Patient with Undiagnosed Arterial Occlusive Disease: A Case Report.

IF 1.5 Q2 MEDICINE, GENERAL & INTERNAL
Mohadeseh Ostovar, Ahmad Hosseinzadeh, Mojtaba Heydari, Mahsa Moghadam, Mesbah Shams
{"title":"Septic Gangrene and Thrombophlebitis Following Leech Therapy in a Patient with Undiagnosed Arterial Occlusive Disease: A Case Report.","authors":"Mohadeseh Ostovar, Ahmad Hosseinzadeh, Mojtaba Heydari, Mahsa Moghadam, Mesbah Shams","doi":"10.30476/ijms.2025.105450.3922","DOIUrl":null,"url":null,"abstract":"<p><p>Different side effects have been reported for leech therapy, such as local itching, skin reactions, infection, bleeding disorders, and anemia. The present study described a rare and lethal adverse event following leech therapy. A 63-year-old man was referred to Nemazee Teaching Hospital (Shiraz, Iran) in December 2020 with a two-week history of progressive right lower extremity swelling, erythema, and ecchymosis. One week before symptom onset, he had undergone leech therapy on the lateral calf and upper thigh of the right lower extremity, administered by a traditional healer. Physical examination revealed gangrene of the right leg and absence of all pulses. Color Doppler sonography of the leg and computed tomography angiography (CTA) of the thoracic aorta to the lower extremities revealed complete thrombosis of all right lower extremity arteries, extending to the right iliac artery and abdominal aorta. With a diagnosis of arterial occlusive disease and septic thrombophlebitis, the patient received intravenous antibiotics and anticoagulant therapy. Due to the inadequacy of medical treatments, a right lower extremity amputation was performed. The patient expired 5 days postoperatively due to septic shock and multiorgan failure.</p>","PeriodicalId":14510,"journal":{"name":"Iranian Journal of Medical Sciences","volume":"50 8","pages":"581-585"},"PeriodicalIF":1.5000,"publicationDate":"2025-08-01","publicationTypes":"Journal Article","fieldsOfStudy":null,"isOpenAccess":false,"openAccessPdf":"https://www.ncbi.nlm.nih.gov/pmc/articles/PMC12374055/pdf/","citationCount":"0","resultStr":null,"platform":"Semanticscholar","paperid":null,"PeriodicalName":"Iranian Journal of Medical Sciences","FirstCategoryId":"1085","ListUrlMain":"https://doi.org/10.30476/ijms.2025.105450.3922","RegionNum":0,"RegionCategory":null,"ArticlePicture":[],"TitleCN":null,"AbstractTextCN":null,"PMCID":null,"EPubDate":"","PubModel":"","JCR":"Q2","JCRName":"MEDICINE, GENERAL & INTERNAL","Score":null,"Total":0}
引用次数: 0

Abstract

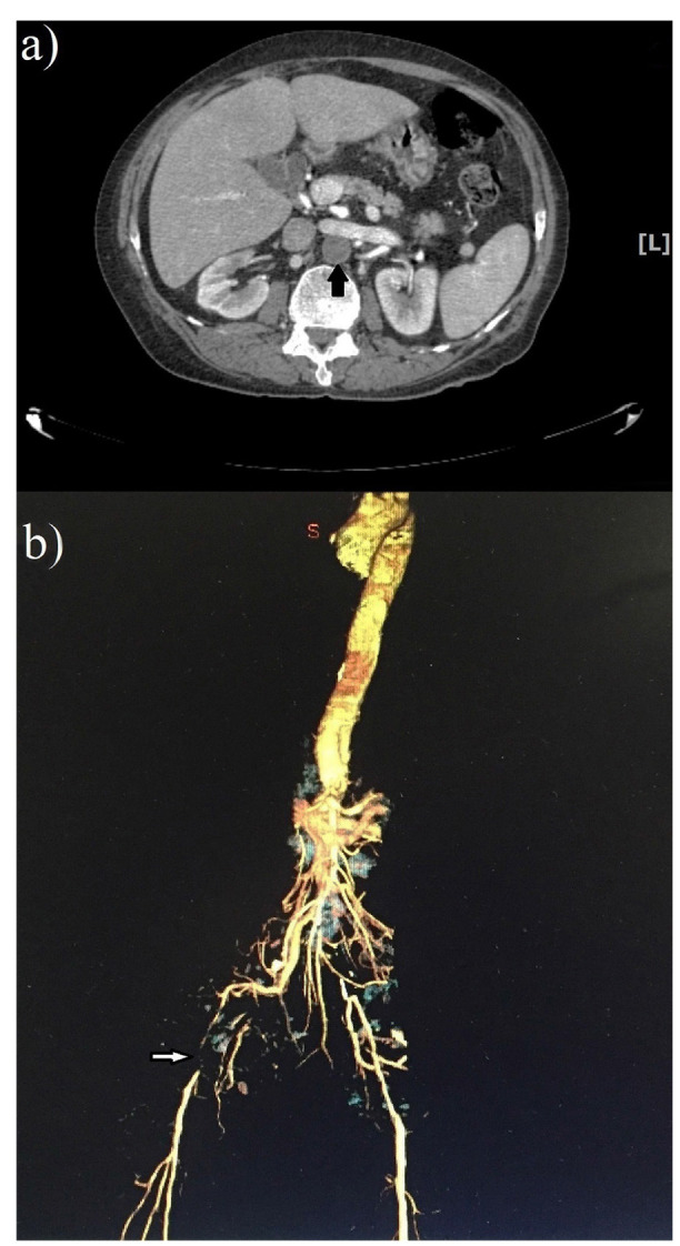
Different side effects have been reported for leech therapy, such as local itching, skin reactions, infection, bleeding disorders, and anemia. The present study described a rare and lethal adverse event following leech therapy. A 63-year-old man was referred to Nemazee Teaching Hospital (Shiraz, Iran) in December 2020 with a two-week history of progressive right lower extremity swelling, erythema, and ecchymosis. One week before symptom onset, he had undergone leech therapy on the lateral calf and upper thigh of the right lower extremity, administered by a traditional healer. Physical examination revealed gangrene of the right leg and absence of all pulses. Color Doppler sonography of the leg and computed tomography angiography (CTA) of the thoracic aorta to the lower extremities revealed complete thrombosis of all right lower extremity arteries, extending to the right iliac artery and abdominal aorta. With a diagnosis of arterial occlusive disease and septic thrombophlebitis, the patient received intravenous antibiotics and anticoagulant therapy. Due to the inadequacy of medical treatments, a right lower extremity amputation was performed. The patient expired 5 days postoperatively due to septic shock and multiorgan failure.

Abstract Image

Abstract Image

脓毒性坏疽和血栓性静脉炎在水蛭治疗后未确诊的动脉闭塞性疾病:1例报告。
据报道,水蛭疗法有不同的副作用,如局部瘙痒、皮肤反应、感染、出血性疾病和贫血。本研究描述了一个罕见和致命的不良事件后水蛭治疗。一名63岁男性于2020年12月转诊至Nemazee教学医院(设拉子,伊朗),有两周进行性右下肢肿胀、红斑和瘀斑病史。在症状出现前一周,他接受了传统治疗师对小腿外侧和右下肢大腿上部的水蛭疗法。体格检查显示右腿坏疽,无脉搏。下肢彩色多普勒超声及胸主动脉至下肢血管造影(CTA)显示右下肢所有动脉血栓形成,并延伸至右髂动脉及腹主动脉。由于诊断为动脉闭塞性疾病和脓毒性血栓性静脉炎,患者接受静脉注射抗生素和抗凝治疗。由于医疗治疗不足,进行了右下肢截肢。患者术后5天因感染性休克及多器官功能衰竭死亡。
本文章由计算机程序翻译,如有差异,请以英文原文为准。
求助全文
约1分钟内获得全文 求助全文
来源期刊
Iranian Journal of Medical Sciences
Iranian Journal of Medical Sciences MEDICINE, GENERAL & INTERNAL-
CiteScore
3.20
自引率
0.00%
发文量
84
审稿时长
12 weeks
期刊介绍: The Iranian Journal of Medical Sciences (IJMS) is an international quarterly biomedical publication, which is sponsored by Shiraz University of Medical Sciences. The IJMS intends to provide a scientific medium of com­muni­cation for researchers throughout the globe. The journal welcomes original clinical articles as well as clinically oriented basic science re­search experiences on prevalent diseases in the region and analysis of various regional problems.
×
引用
GB/T 7714-2015
复制
MLA
复制
APA
复制
导出至
BibTeX EndNote RefMan NoteFirst NoteExpress
×
提示
您的信息不完整,为了账户安全,请先补充。
现在去补充
×
提示
您因"违规操作"
具体请查看互助需知
我知道了
×
提示
确定
请完成安全验证×
copy
已复制链接
快去分享给好友吧!
我知道了
右上角分享
点击右上角分享
0
联系我们:info@booksci.cn Book学术提供免费学术资源搜索服务,方便国内外学者检索中英文文献。致力于提供最便捷和优质的服务体验。 Copyright © 2023 布克学术 All rights reserved.
京ICP备2023020795号-1
ghs 京公网安备 11010802042870号
Book学术文献互助
Book学术文献互助群
群 号:604180095
Book学术官方微信