Comparative analysis of pachymetry and assessment of corneal topography in pediatric congenital corneal opacities: A study of AS-OCT and UBM imaging modalities.

IF 1.8 4区 医学 Q2 OPHTHALMOLOGY
Indian Journal of Ophthalmology Pub Date : 2025-09-01 Epub Date: 2025-08-29 DOI:10.4103/IJO.IJO_242_25
Sonam Yangzes, Deeksha Sharma, Anchal Thakur, Jitender Jinagal, Sushmita Kaushik, Chintan Malhotra, Amit Gupta
{"title":"Comparative analysis of pachymetry and assessment of corneal topography in pediatric congenital corneal opacities: A study of AS-OCT and UBM imaging modalities.","authors":"Sonam Yangzes, Deeksha Sharma, Anchal Thakur, Jitender Jinagal, Sushmita Kaushik, Chintan Malhotra, Amit Gupta","doi":"10.4103/IJO.IJO_242_25","DOIUrl":null,"url":null,"abstract":"<p><p>This study aimed to assess the interchangeability of pachymetry measurements obtained by anterior segment optical coherence tomography (AS-OCT) and ultrasound biomicroscopy (UBM) in children with congenital corneal opacity (CCO). In this single-centre, comparative case series, children with unilateral or bilateral CCO who underwent examination under anesthesia (EUA) were evaluated using both AS-OCT and UBM. Pachymetry values from both modalities were compared using Bland-Altman analysis, and topography maps from AS-OCT were examined. A total of 54 eyes from 34 children (16 males, 18 females) were included. The mean age at first EUA was 263.93 ± 348.98 days (range: 11 days to 4 years). Mean pachymetry was 785.83 ± 23 μm with UBM and 719.80 ± 247 μm with AS-OCT, showing a statistically significant mean difference of 66.04 ± 133.55 μm (P = 0.0006). UBM consistently yielded higher measurements, and Bland-Altman analysis indicated poor agreement between the two devices. The findings suggest that AS-OCT and UBM are not interchangeable for pachymetry assessment in CCO. However, AS-OCT, being non-contact and usable without sedation, provides practical advantages for longitudinal follow-up and also offers topographic imaging, making it a useful tool in pediatric corneal evaluation.</p>","PeriodicalId":13329,"journal":{"name":"Indian Journal of Ophthalmology","volume":"73 9","pages":"1383-1388"},"PeriodicalIF":1.8000,"publicationDate":"2025-09-01","publicationTypes":"Journal Article","fieldsOfStudy":null,"isOpenAccess":false,"openAccessPdf":"https://www.ncbi.nlm.nih.gov/pmc/articles/PMC12448498/pdf/","citationCount":"0","resultStr":null,"platform":"Semanticscholar","paperid":null,"PeriodicalName":"Indian Journal of Ophthalmology","FirstCategoryId":"3","ListUrlMain":"https://doi.org/10.4103/IJO.IJO_242_25","RegionNum":4,"RegionCategory":"医学","ArticlePicture":[],"TitleCN":null,"AbstractTextCN":null,"PMCID":null,"EPubDate":"2025/8/29 0:00:00","PubModel":"Epub","JCR":"Q2","JCRName":"OPHTHALMOLOGY","Score":null,"Total":0}
引用次数: 0

Abstract

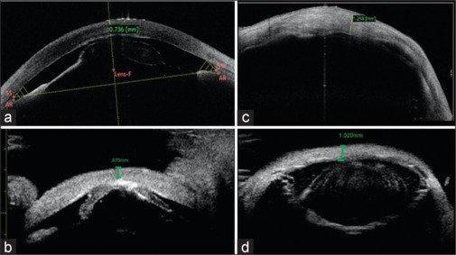
This study aimed to assess the interchangeability of pachymetry measurements obtained by anterior segment optical coherence tomography (AS-OCT) and ultrasound biomicroscopy (UBM) in children with congenital corneal opacity (CCO). In this single-centre, comparative case series, children with unilateral or bilateral CCO who underwent examination under anesthesia (EUA) were evaluated using both AS-OCT and UBM. Pachymetry values from both modalities were compared using Bland-Altman analysis, and topography maps from AS-OCT were examined. A total of 54 eyes from 34 children (16 males, 18 females) were included. The mean age at first EUA was 263.93 ± 348.98 days (range: 11 days to 4 years). Mean pachymetry was 785.83 ± 23 μm with UBM and 719.80 ± 247 μm with AS-OCT, showing a statistically significant mean difference of 66.04 ± 133.55 μm (P = 0.0006). UBM consistently yielded higher measurements, and Bland-Altman analysis indicated poor agreement between the two devices. The findings suggest that AS-OCT and UBM are not interchangeable for pachymetry assessment in CCO. However, AS-OCT, being non-contact and usable without sedation, provides practical advantages for longitudinal follow-up and also offers topographic imaging, making it a useful tool in pediatric corneal evaluation.

Abstract Image

Abstract Image

Abstract Image

AS-OCT和UBM成像方式对儿童先天性角膜混浊的厚度测量和角膜地形图评估的比较分析。
本研究旨在评估前段光学相干断层扫描(AS-OCT)和超声生物显微镜(UBM)在先天性角膜混浊(CCO)儿童中的厚测测量结果的互换性。在这个单中心比较病例系列中,接受麻醉(EUA)检查的单侧或双侧CCO儿童使用AS-OCT和UBM进行评估。使用Bland-Altman分析比较两种模式的厚视测量值,并检查AS-OCT的地形图。共纳入34例儿童(男16例,女18例)54只眼。首次EUA的平均年龄为263.93±348.98天(11天至4岁)。UBM组和AS-OCT组的平均厚度分别为785.83±23 μm和719.80±247 μm,差异有统计学意义(66.04±133.55 μm, P = 0.0006)。UBM始终产生较高的测量值,Bland-Altman分析表明两种设备之间的一致性较差。研究结果表明,AS-OCT和UBM在CCO的厚测评估中是不可互换的。然而,AS-OCT非接触式且无需镇静即可使用,在纵向随访中具有实际优势,并提供地形成像,使其成为儿童角膜评估的有用工具。
本文章由计算机程序翻译,如有差异,请以英文原文为准。
求助全文
约1分钟内获得全文 求助全文
来源期刊
CiteScore
3.80
自引率
19.40%
发文量
1963
审稿时长
38 weeks
期刊介绍: Indian Journal of Ophthalmology covers clinical, experimental, basic science research and translational research studies related to medical, ethical and social issues in field of ophthalmology and vision science. Articles with clinical interest and implications will be given preference.
×
引用
GB/T 7714-2015
复制
MLA
复制
APA
复制
导出至
BibTeX EndNote RefMan NoteFirst NoteExpress
×
提示
您的信息不完整,为了账户安全,请先补充。
现在去补充
×
提示
您因"违规操作"
具体请查看互助需知
我知道了
×
提示
确定
请完成安全验证×
copy
已复制链接
快去分享给好友吧!
我知道了
右上角分享
点击右上角分享
0
联系我们:info@booksci.cn Book学术提供免费学术资源搜索服务,方便国内外学者检索中英文文献。致力于提供最便捷和优质的服务体验。 Copyright © 2023 布克学术 All rights reserved.
京ICP备2023020795号-1
ghs 京公网安备 11010802042870号
Book学术文献互助
Book学术文献互助群
群 号:604180095
Book学术官方微信