Qingxie Fuzheng granules attenuate cancer cachexia by restoring gut microbiota homeostasis and suppressing IL-6/NF-κB signaling in colorectal adenocarcinoma.

IF 2.5 3区 生物学
Yishun Jin, Lisha Lu, Hangju Hua, Biyin Chen, Wenzheng Fang, Kaimin Lin, Peng Ren, Zhenbo Geng, Ling Wang, Xiaohua Yan, Wujin Chen, Jiumao Lin
{"title":"Qingxie Fuzheng granules attenuate cancer cachexia by restoring gut microbiota homeostasis and suppressing IL-6/NF-κB signaling in colorectal adenocarcinoma.","authors":"Yishun Jin, Lisha Lu, Hangju Hua, Biyin Chen, Wenzheng Fang, Kaimin Lin, Peng Ren, Zhenbo Geng, Ling Wang, Xiaohua Yan, Wujin Chen, Jiumao Lin","doi":"10.1186/s41065-025-00541-1","DOIUrl":null,"url":null,"abstract":"<p><p>Cancer cachexia, a debilitating syndrome characterized by muscle wasting and systemic inflammation, remains a major unmet clinical need. Qingxie Fuzheng Granules (QFG), a traditional Chinese medicine formulation, have shown promise in cancer therapy, but their role in cachexia management is unclear.Here, we investigated the anti-cachectic effects of QFG in a murine model of colon adenocarcinoma-induced cachexia. 16S rRNA sequencing revealed gut dysbiosis in cachectic mice, with increased Enterobacteriaceae and decreased Lactobacillus. QFG treatment restored microbial balance, reduced pro-inflammatory cytokines TNF-α, IL-6, and enhanced intestinal barrier integrity by upregulating tight junction proteins ZO-1, Occludin, Calprotectin.Mechanistically, QFG rebalanced Th17/Treg cell ratios and suppressed IL-6/NF-κB signaling, a key driver of muscle atrophy. Combining QFG with glutamine (Gln) further amplified these effects, suggesting synergistic therapeutic potential.Our findings demonstrate that QFG ameliorates cancer cachexia through microbiota modulation and IL-6/NF-κB inhibition, providing a novel multi-targeted approach for cachexia treatment.</p>","PeriodicalId":12862,"journal":{"name":"Hereditas","volume":"162 1","pages":"178"},"PeriodicalIF":2.5000,"publicationDate":"2025-08-29","publicationTypes":"Journal Article","fieldsOfStudy":null,"isOpenAccess":false,"openAccessPdf":"https://www.ncbi.nlm.nih.gov/pmc/articles/PMC12398093/pdf/","citationCount":"0","resultStr":null,"platform":"Semanticscholar","paperid":null,"PeriodicalName":"Hereditas","FirstCategoryId":"99","ListUrlMain":"https://doi.org/10.1186/s41065-025-00541-1","RegionNum":3,"RegionCategory":"生物学","ArticlePicture":[],"TitleCN":null,"AbstractTextCN":null,"PMCID":null,"EPubDate":"","PubModel":"","JCR":"","JCRName":"","Score":null,"Total":0}
引用次数: 0

Abstract

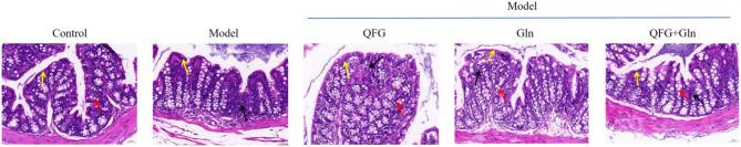
Cancer cachexia, a debilitating syndrome characterized by muscle wasting and systemic inflammation, remains a major unmet clinical need. Qingxie Fuzheng Granules (QFG), a traditional Chinese medicine formulation, have shown promise in cancer therapy, but their role in cachexia management is unclear.Here, we investigated the anti-cachectic effects of QFG in a murine model of colon adenocarcinoma-induced cachexia. 16S rRNA sequencing revealed gut dysbiosis in cachectic mice, with increased Enterobacteriaceae and decreased Lactobacillus. QFG treatment restored microbial balance, reduced pro-inflammatory cytokines TNF-α, IL-6, and enhanced intestinal barrier integrity by upregulating tight junction proteins ZO-1, Occludin, Calprotectin.Mechanistically, QFG rebalanced Th17/Treg cell ratios and suppressed IL-6/NF-κB signaling, a key driver of muscle atrophy. Combining QFG with glutamine (Gln) further amplified these effects, suggesting synergistic therapeutic potential.Our findings demonstrate that QFG ameliorates cancer cachexia through microbiota modulation and IL-6/NF-κB inhibition, providing a novel multi-targeted approach for cachexia treatment.

Abstract Image

Abstract Image

Abstract Image

清泻扶正颗粒通过恢复肠道菌群稳态和抑制IL-6/NF-κB信号通路减轻结直肠癌恶病质。
癌症恶病质,一种以肌肉萎缩和全身炎症为特征的衰弱综合征,仍然是一个主要的未满足的临床需求。清泻扶正颗粒(QFG)是一种中药制剂,在癌症治疗中显示出前景,但其在恶病质管理中的作用尚不清楚。在此,我们研究了QFG在小鼠结肠腺癌诱导的恶病质模型中的抗恶病质作用。16S rRNA测序显示恶病质小鼠肠道生态失调,肠杆菌科增加,乳酸杆菌减少。QFG治疗恢复微生物平衡,降低促炎细胞因子TNF-α, IL-6,并通过上调紧密连接蛋白ZO-1, Occludin, Calprotectin来增强肠屏障完整性。在机制上,QFG重新平衡Th17/Treg细胞比例,抑制IL-6/NF-κB信号,这是肌肉萎缩的关键驱动因素。QFG与谷氨酰胺(Gln)联合使用进一步增强了这些作用,表明其具有协同治疗潜力。我们的研究结果表明,QFG通过调节微生物群和抑制IL-6/NF-κB来改善癌症恶病质,为恶病质治疗提供了一种新的多靶点方法。
本文章由计算机程序翻译,如有差异,请以英文原文为准。
求助全文
约1分钟内获得全文 求助全文
来源期刊
Hereditas
Hereditas Biochemistry, Genetics and Molecular Biology-Genetics
CiteScore
3.80
自引率
3.70%
发文量
0
期刊介绍: For almost a century, Hereditas has published original cutting-edge research and reviews. As the Official journal of the Mendelian Society of Lund, the journal welcomes research from across all areas of genetics and genomics. Topics of interest include human and medical genetics, animal and plant genetics, microbial genetics, agriculture and bioinformatics.
×
引用
GB/T 7714-2015
复制
MLA
复制
APA
复制
导出至
BibTeX EndNote RefMan NoteFirst NoteExpress
×
提示
您的信息不完整,为了账户安全,请先补充。
现在去补充
×
提示
您因"违规操作"
具体请查看互助需知
我知道了
×
提示
确定
请完成安全验证×
copy
已复制链接
快去分享给好友吧!
我知道了
右上角分享
点击右上角分享
0
联系我们:info@booksci.cn Book学术提供免费学术资源搜索服务,方便国内外学者检索中英文文献。致力于提供最便捷和优质的服务体验。 Copyright © 2023 布克学术 All rights reserved.
京ICP备2023020795号-1
ghs 京公网安备 11010802042870号
Book学术文献互助
Book学术文献互助群
群 号:604180095
Book学术官方微信