Coronal axis deviations in medial unicompartmental knee arthroplasty failures: an imaging study of patients revised for aseptic loosening.

IF 3.4 3区 医学 Q2 MEDICINE, RESEARCH & EXPERIMENTAL
Filippo Migliorini, Nicola Maffulli, Daniel Kämmer, Ulf Krister Hofmann, Jörg Eschweiler, Andreas Bell
{"title":"Coronal axis deviations in medial unicompartmental knee arthroplasty failures: an imaging study of patients revised for aseptic loosening.","authors":"Filippo Migliorini, Nicola Maffulli, Daniel Kämmer, Ulf Krister Hofmann, Jörg Eschweiler, Andreas Bell","doi":"10.1186/s40001-025-03112-2","DOIUrl":null,"url":null,"abstract":"<p><strong>Purpose: </strong>Aseptic loosening remains a leading cause of revision in medial unicompartmental knee arthroplasty (UKA). This imaging study aimed to identify recurrent patterns of coronal alignment deviation in patients undergoing revision to total knee arthroplasty (TKA) to explore whether subtle malalignment may contribute to biomechanical failure.</p><p><strong>Methods: </strong>Imaging of patients who underwent revision surgery of a medial UKA to TKA for aseptic loosening of the tibial or femoral component was retrieved. Lower limb axes were evaluated using anteroposterior plain radiographs of the leg using the software MediCAD Knie 2D (mediCAD Hectec GmbH, Altdorf, Germany). The radiographic axes of revised patients were compared with established reference values, as defined by the MediCAD Knie 2D software and published literature, to identify common alignment patterns potentially associated with aseptic loosening.</p><p><strong>Results: </strong>Data from 62 patients were analysed. Before the revision surgery, the joint line convergence angle (JLCA, P = 0.002) and the anatomical-mechanical angle (AMA, P < 0.0001) were statistically significantly greater than the corresponding reference values. In contrast, the mechanical lateral distal femoral angle (mLDFA, P < 0.0001), the mechanical and anatomical medial proximal tibial angle (mMPTA and aMPTA, P < 0.0001), and the mechanical and anatomical lateral distal tibial angle (mLDTA and aLDTA, P < 0.0001) were significantly lower than reference. No statistically significant difference was found in the mechanical lateral proximal femoral angle (mLPFA, P = 0.9) or in the mechanical axis deviation (MAD, P = 0.5) when compared to normative data.</p><p><strong>Conclusion: </strong>Our cohort of patients revised from medial UKA to TKA for aseptic loosening frequently exhibited consistent deviations in lower limb alignment, particularly increased AMA and JLCA, and reduced mLDFA, mMPTA, and mLDTA. These subtle but recurrent patterns may alter load distribution across the medial compartment, contributing to implant micromotion and loosening. A detailed preoperative axis assessment may help identify patients at a higher biomechanical risk.</p>","PeriodicalId":11949,"journal":{"name":"European Journal of Medical Research","volume":"30 1","pages":"832"},"PeriodicalIF":3.4000,"publicationDate":"2025-09-02","publicationTypes":"Journal Article","fieldsOfStudy":null,"isOpenAccess":false,"openAccessPdf":"https://www.ncbi.nlm.nih.gov/pmc/articles/PMC12403283/pdf/","citationCount":"0","resultStr":null,"platform":"Semanticscholar","paperid":null,"PeriodicalName":"European Journal of Medical Research","FirstCategoryId":"3","ListUrlMain":"https://doi.org/10.1186/s40001-025-03112-2","RegionNum":3,"RegionCategory":"医学","ArticlePicture":[],"TitleCN":null,"AbstractTextCN":null,"PMCID":null,"EPubDate":"","PubModel":"","JCR":"Q2","JCRName":"MEDICINE, RESEARCH & EXPERIMENTAL","Score":null,"Total":0}
引用次数: 0

Abstract

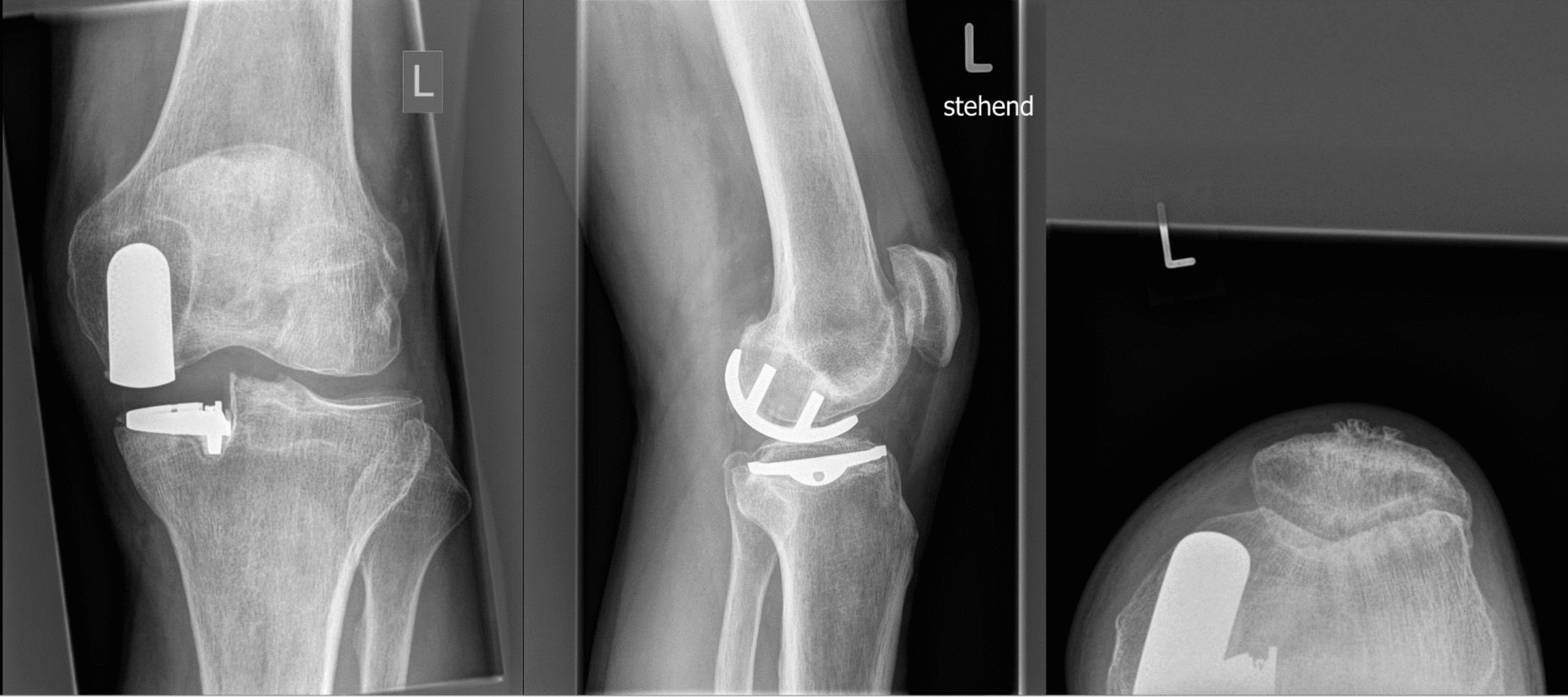
Purpose: Aseptic loosening remains a leading cause of revision in medial unicompartmental knee arthroplasty (UKA). This imaging study aimed to identify recurrent patterns of coronal alignment deviation in patients undergoing revision to total knee arthroplasty (TKA) to explore whether subtle malalignment may contribute to biomechanical failure.

Methods: Imaging of patients who underwent revision surgery of a medial UKA to TKA for aseptic loosening of the tibial or femoral component was retrieved. Lower limb axes were evaluated using anteroposterior plain radiographs of the leg using the software MediCAD Knie 2D (mediCAD Hectec GmbH, Altdorf, Germany). The radiographic axes of revised patients were compared with established reference values, as defined by the MediCAD Knie 2D software and published literature, to identify common alignment patterns potentially associated with aseptic loosening.

Results: Data from 62 patients were analysed. Before the revision surgery, the joint line convergence angle (JLCA, P = 0.002) and the anatomical-mechanical angle (AMA, P < 0.0001) were statistically significantly greater than the corresponding reference values. In contrast, the mechanical lateral distal femoral angle (mLDFA, P < 0.0001), the mechanical and anatomical medial proximal tibial angle (mMPTA and aMPTA, P < 0.0001), and the mechanical and anatomical lateral distal tibial angle (mLDTA and aLDTA, P < 0.0001) were significantly lower than reference. No statistically significant difference was found in the mechanical lateral proximal femoral angle (mLPFA, P = 0.9) or in the mechanical axis deviation (MAD, P = 0.5) when compared to normative data.

Conclusion: Our cohort of patients revised from medial UKA to TKA for aseptic loosening frequently exhibited consistent deviations in lower limb alignment, particularly increased AMA and JLCA, and reduced mLDFA, mMPTA, and mLDTA. These subtle but recurrent patterns may alter load distribution across the medial compartment, contributing to implant micromotion and loosening. A detailed preoperative axis assessment may help identify patients at a higher biomechanical risk.

Abstract Image

Abstract Image

Abstract Image

内侧单室膝关节置换术失败的冠状轴偏差:无菌性松动患者的影像学研究。
目的:无菌性松动仍然是内侧单室膝关节置换术(UKA)翻修的主要原因。本影像学研究旨在确定接受全膝关节置换术(TKA)翻修的患者冠状位排列偏差的复发模式,以探讨细微的排列偏差是否可能导致生物力学失败。方法:对因胫骨或股骨假体无菌性松动而接受内侧UKA到TKA翻修手术的患者进行影像学检查。使用MediCAD Knie 2D (MediCAD Hectec GmbH, Altdorf, Germany)软件,使用腿部正位x线平片评估下肢轴。将修改后患者的x线轴与已建立的参考值(由MediCAD Knie 2D软件和已发表的文献定义)进行比较,以确定可能与无菌性松动相关的常见对齐模式。结果:对62例患者资料进行分析。在翻修手术前,关节线收敛角(JLCA, P = 0.002)和解剖-力学角(AMA, P)。结论:我们的患者队列中,从内侧UKA到TKA进行无菌性松动的患者经常表现出一致的下肢对齐偏差,特别是AMA和JLCA升高,mLDFA、mMPTA和mLDTA降低。这些细微但反复出现的模式可能改变内侧隔室的负荷分布,导致种植体微动和松动。详细的术前轴向评估可能有助于识别具有较高生物力学风险的患者。
本文章由计算机程序翻译,如有差异,请以英文原文为准。
求助全文
约1分钟内获得全文 求助全文
来源期刊
European Journal of Medical Research
European Journal of Medical Research 医学-医学:研究与实验
CiteScore
3.20
自引率
0.00%
发文量
247
审稿时长
>12 weeks
期刊介绍: European Journal of Medical Research publishes translational and clinical research of international interest across all medical disciplines, enabling clinicians and other researchers to learn about developments and innovations within these disciplines and across the boundaries between disciplines. The journal publishes high quality research and reviews and aims to ensure that the results of all well-conducted research are published, regardless of their outcome.
×
引用
GB/T 7714-2015
复制
MLA
复制
APA
复制
导出至
BibTeX EndNote RefMan NoteFirst NoteExpress
×
提示
您的信息不完整,为了账户安全,请先补充。
现在去补充
×
提示
您因"违规操作"
具体请查看互助需知
我知道了
×
提示
确定
请完成安全验证×
copy
已复制链接
快去分享给好友吧!
我知道了
右上角分享
点击右上角分享
0
联系我们:info@booksci.cn Book学术提供免费学术资源搜索服务,方便国内外学者检索中英文文献。致力于提供最便捷和优质的服务体验。 Copyright © 2023 布克学术 All rights reserved.
京ICP备2023020795号-1
ghs 京公网安备 11010802042870号
Book学术文献互助
Book学术文献互助群
群 号:604180095
Book学术官方微信