Orbital Cellutitis and Peri-Zygomatic Cutaneous Fistula After Monolateral Double Zygomatic Implant Placement: Case Report and Narrative Literature Review.

IF 3.1 Q2 DENTISTRY, ORAL SURGERY & MEDICINE
Domenico Sfondrini, Stefano Marelli, Dario De Martis, Andrea Scribante, Giada Beltramini, Luca Autelitano, Lorenzo Preda
{"title":"Orbital Cellutitis and Peri-Zygomatic Cutaneous Fistula After Monolateral Double Zygomatic Implant Placement: Case Report and Narrative Literature Review.","authors":"Domenico Sfondrini, Stefano Marelli, Dario De Martis, Andrea Scribante, Giada Beltramini, Luca Autelitano, Lorenzo Preda","doi":"10.3390/dj13080381","DOIUrl":null,"url":null,"abstract":"<p><strong>Background: </strong>The use of zygomatic implants (ZIs) provides a highly predictable treatment option for rehabilitation in patients with severe atrophic maxillae. However, these long implants can potentially cause a number of more serious complications than those seen with conventional dental implants. The aim of this study is to report a case of peri-zygomatic cutaneous fistula following placement of monolateral double zygomatic implants and to analyse the available literature on this complication.</p><p><strong>Methods: </strong>The 55-year-old patient was treated with placement of 3 ZIs, two on the left side. Left periorbital swelling with pain appeared 10 days after surgery with progressive worsening of symptoms. After antibiotic treatment, she developed a left cutaneous fistula with purulent discharge. CT showed two ZIs on the left side with the apical portions in close contact with a 1 cm-wide portion of resorbed zygomatic external cortex and a layer of granulation tissue.</p><p><strong>Results: </strong>Due to the limited amount of bone involved by the fixation tip, the left ZIs were removed and the skin fistula repaired. The patient healed without complications but required prosthesis replacement.</p><p><strong>Conclusions: </strong>After conducting a literature review, peri-zygomatic fistulas seem to be more common in patients with two ZIs placed on the same zygoma. In this case, the amount of available zygomatic bone is relatively limited; the bone drill holes can often be too close together and cause overheating, leading to inter-implant bone resorption and infection, with further orbito-zygomatic fistula development. The authors identified the lack of distance between ZI fixtures as one of the main causes of extraoral ZI infection.</p>","PeriodicalId":11269,"journal":{"name":"Dentistry Journal","volume":"13 8","pages":""},"PeriodicalIF":3.1000,"publicationDate":"2025-08-21","publicationTypes":"Journal Article","fieldsOfStudy":null,"isOpenAccess":false,"openAccessPdf":"https://www.ncbi.nlm.nih.gov/pmc/articles/PMC12385572/pdf/","citationCount":"0","resultStr":null,"platform":"Semanticscholar","paperid":null,"PeriodicalName":"Dentistry Journal","FirstCategoryId":"1085","ListUrlMain":"https://doi.org/10.3390/dj13080381","RegionNum":0,"RegionCategory":null,"ArticlePicture":[],"TitleCN":null,"AbstractTextCN":null,"PMCID":null,"EPubDate":"","PubModel":"","JCR":"Q2","JCRName":"DENTISTRY, ORAL SURGERY & MEDICINE","Score":null,"Total":0}
引用次数: 0

Abstract

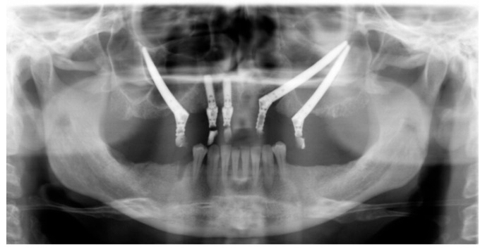
Background: The use of zygomatic implants (ZIs) provides a highly predictable treatment option for rehabilitation in patients with severe atrophic maxillae. However, these long implants can potentially cause a number of more serious complications than those seen with conventional dental implants. The aim of this study is to report a case of peri-zygomatic cutaneous fistula following placement of monolateral double zygomatic implants and to analyse the available literature on this complication.

Methods: The 55-year-old patient was treated with placement of 3 ZIs, two on the left side. Left periorbital swelling with pain appeared 10 days after surgery with progressive worsening of symptoms. After antibiotic treatment, she developed a left cutaneous fistula with purulent discharge. CT showed two ZIs on the left side with the apical portions in close contact with a 1 cm-wide portion of resorbed zygomatic external cortex and a layer of granulation tissue.

Results: Due to the limited amount of bone involved by the fixation tip, the left ZIs were removed and the skin fistula repaired. The patient healed without complications but required prosthesis replacement.

Conclusions: After conducting a literature review, peri-zygomatic fistulas seem to be more common in patients with two ZIs placed on the same zygoma. In this case, the amount of available zygomatic bone is relatively limited; the bone drill holes can often be too close together and cause overheating, leading to inter-implant bone resorption and infection, with further orbito-zygomatic fistula development. The authors identified the lack of distance between ZI fixtures as one of the main causes of extraoral ZI infection.

Abstract Image

Abstract Image

Abstract Image

单侧双颧植入后眼眶细胞炎及颧周皮瘘:病例报告及文献回顾。
背景:颧骨种植体(ZIs)的使用为重度上颌骨萎缩患者的康复提供了一种高度可预测的治疗选择。然而,这些长种植体可能会导致许多比传统种植体更严重的并发症。本研究的目的是报告一例颧骨周围皮瘘后放置单侧双颧骨植入物,并分析现有的文献对这一并发症。方法:55岁患者行3个ZIs放置,其中2个在左侧。术后10天出现左眶周肿胀伴疼痛,症状逐渐加重。经抗生素治疗后,患者出现左侧皮肤瘘伴脓性排出物。CT示左侧2个ZIs,顶端与1 cm宽的颧骨外皮层吸收区及肉芽组织紧密接触。结果:由于固定尖端受累骨量有限,切除左侧ZIs,修复皮肤瘘。患者愈合无并发症,但需要更换假体。结论:经过文献回顾,颧骨周围瘘管似乎在同一颧骨上放置两个ZIs的患者中更常见。在这种情况下,可用的颧骨数量相对有限;骨钻孔往往靠得太近,引起过热,导致种植体间骨吸收和感染,进一步发展眶颧瘘。作者确定ZI固定装置之间缺乏距离是口外ZI感染的主要原因之一。
本文章由计算机程序翻译,如有差异,请以英文原文为准。
求助全文
约1分钟内获得全文 求助全文
来源期刊
Dentistry Journal
Dentistry Journal Dentistry-Dentistry (all)
CiteScore
3.70
自引率
7.70%
发文量
213
审稿时长
11 weeks
×
引用
GB/T 7714-2015
复制
MLA
复制
APA
复制
导出至
BibTeX EndNote RefMan NoteFirst NoteExpress
×
提示
您的信息不完整,为了账户安全,请先补充。
现在去补充
×
提示
您因"违规操作"
具体请查看互助需知
我知道了
×
提示
确定
请完成安全验证×
copy
已复制链接
快去分享给好友吧!
我知道了
右上角分享
点击右上角分享
0
联系我们:info@booksci.cn Book学术提供免费学术资源搜索服务,方便国内外学者检索中英文文献。致力于提供最便捷和优质的服务体验。 Copyright © 2023 布克学术 All rights reserved.
京ICP备2023020795号-1
ghs 京公网安备 11010802042870号
Book学术文献互助
Book学术文献互助群
群 号:604180095
Book学术官方微信