The Rationale and Safety of Routine Imaging in Rehabilitative Spine Care: Delayed Radiographs for Patients Presenting With Spine Disorders is Debatable.

IF 2.4 4区 医学 Q3 PHARMACOLOGY & PHARMACY
Dose-Response Pub Date : 2025-08-29 eCollection Date: 2025-07-01 DOI:10.1177/15593258251374411
Paul A Oakley, Jason W Haas, Deed E Harrison
{"title":"The Rationale and Safety of Routine Imaging in Rehabilitative Spine Care: Delayed Radiographs for Patients Presenting With Spine Disorders is Debatable.","authors":"Paul A Oakley, Jason W Haas, Deed E Harrison","doi":"10.1177/15593258251374411","DOIUrl":null,"url":null,"abstract":"<p><p>Postural alignment is a critical determinant of health status. Its degradation is associated with deformity-caused and compensation-related back pain, neurologic involvement, osteoarthritic development, as well as disability and reduced quality of life. Radiography remains the most efficient method of evaluating standard sagittal and coronal spine and pelvic metrics that are used to plan surgical and nonsurgical treatment strategies. Many current spine guidelines dissuade the use of initial screening X-rays and some chiropractic guidelines condemn repeat imaging to assess progress from treatment regimens; these are anti-scientific viewpoints that ignore alternate viewpoints and evidence. Current understanding of the relationship between different spinopelvic parameters are essential to plan biomechanically appropriate interventions that are patient-specific. There are radiographically measured parameter thresholds critically related to several spinal disorders and positive patient outcomes. Current guidelines must include a caveat for contemporary biomechanical evaluation and its consequent specific treatments and should recommend routine radiographic imaging for spine patients undergoing corrective rehabilitative interventions. The failure to radiographically diagnose spinal deformity is argued to be negligence in many cases. The prime obstacle to routine X-ray imaging lies with the presumed threat of cancer, however, this is dogma; we summarize the main evidence from recent publications why this is so.</p>","PeriodicalId":11285,"journal":{"name":"Dose-Response","volume":"23 3","pages":"15593258251374411"},"PeriodicalIF":2.4000,"publicationDate":"2025-08-29","publicationTypes":"Journal Article","fieldsOfStudy":null,"isOpenAccess":false,"openAccessPdf":"https://www.ncbi.nlm.nih.gov/pmc/articles/PMC12397594/pdf/","citationCount":"0","resultStr":null,"platform":"Semanticscholar","paperid":null,"PeriodicalName":"Dose-Response","FirstCategoryId":"3","ListUrlMain":"https://doi.org/10.1177/15593258251374411","RegionNum":4,"RegionCategory":"医学","ArticlePicture":[],"TitleCN":null,"AbstractTextCN":null,"PMCID":null,"EPubDate":"2025/7/1 0:00:00","PubModel":"eCollection","JCR":"Q3","JCRName":"PHARMACOLOGY & PHARMACY","Score":null,"Total":0}
引用次数: 0

Abstract

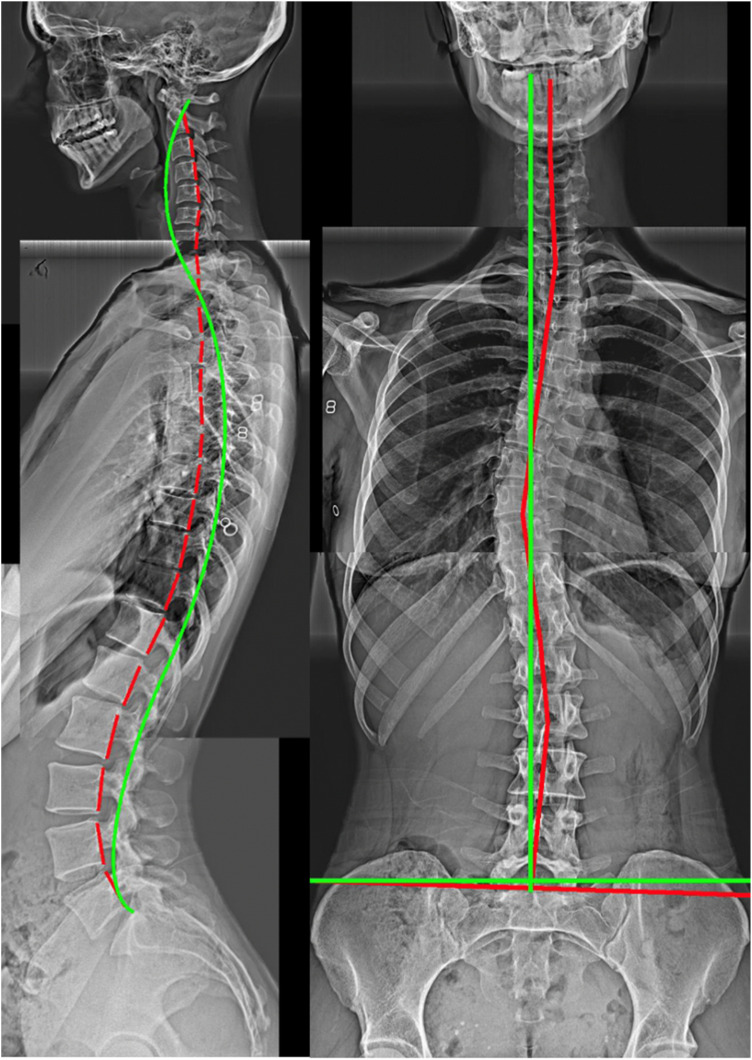
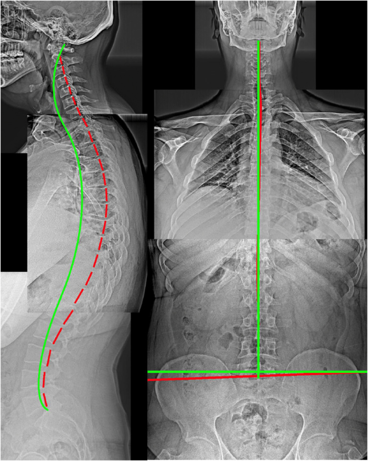
Postural alignment is a critical determinant of health status. Its degradation is associated with deformity-caused and compensation-related back pain, neurologic involvement, osteoarthritic development, as well as disability and reduced quality of life. Radiography remains the most efficient method of evaluating standard sagittal and coronal spine and pelvic metrics that are used to plan surgical and nonsurgical treatment strategies. Many current spine guidelines dissuade the use of initial screening X-rays and some chiropractic guidelines condemn repeat imaging to assess progress from treatment regimens; these are anti-scientific viewpoints that ignore alternate viewpoints and evidence. Current understanding of the relationship between different spinopelvic parameters are essential to plan biomechanically appropriate interventions that are patient-specific. There are radiographically measured parameter thresholds critically related to several spinal disorders and positive patient outcomes. Current guidelines must include a caveat for contemporary biomechanical evaluation and its consequent specific treatments and should recommend routine radiographic imaging for spine patients undergoing corrective rehabilitative interventions. The failure to radiographically diagnose spinal deformity is argued to be negligence in many cases. The prime obstacle to routine X-ray imaging lies with the presumed threat of cancer, however, this is dogma; we summarize the main evidence from recent publications why this is so.

Abstract Image

Abstract Image

Abstract Image

常规影像学在脊柱康复治疗中的基本原理和安全性:脊柱疾病患者的延迟x线片是有争议的。
体位调整是健康状况的关键决定因素。它的退化与畸形引起的和代偿相关的背部疼痛、神经系统受累、骨关节炎的发展以及残疾和生活质量下降有关。x线摄影仍然是评估标准矢状、冠状脊柱和骨盆指标的最有效方法,用于计划手术和非手术治疗策略。目前许多脊柱指南不建议使用初始筛查x射线,一些脊椎指压治疗指南谴责重复成像来评估治疗方案的进展;这些都是无视其他观点和证据的反科学观点。目前了解不同脊柱骨盆参数之间的关系对于计划针对患者的生物力学适当干预措施至关重要。放射学测量的参数阈值与几种脊柱疾病和阳性患者预后密切相关。当前的指南必须包括对当代生物力学评估及其相应的特定治疗的警告,并应推荐对接受矫正康复干预的脊柱患者进行常规放射成像。在许多情况下,未能通过x线摄影诊断脊柱畸形被认为是疏忽。常规x射线成像的主要障碍在于假定的癌症威胁,然而,这是教条;我们从最近的出版物中总结了为什么会这样的主要证据。
本文章由计算机程序翻译,如有差异,请以英文原文为准。
求助全文
约1分钟内获得全文 求助全文
来源期刊
Dose-Response
Dose-Response PHARMACOLOGY & PHARMACY-RADIOLOGY, NUCLEAR MEDICINE & MEDICAL IMAGING
CiteScore
4.90
自引率
4.00%
发文量
140
审稿时长
>12 weeks
期刊介绍: Dose-Response is an open access peer-reviewed online journal publishing original findings and commentaries on the occurrence of dose-response relationships across a broad range of disciplines. Particular interest focuses on experimental evidence providing mechanistic understanding of nonlinear dose-response relationships.
×
引用
GB/T 7714-2015
复制
MLA
复制
APA
复制
导出至
BibTeX EndNote RefMan NoteFirst NoteExpress
×
提示
您的信息不完整,为了账户安全,请先补充。
现在去补充
×
提示
您因"违规操作"
具体请查看互助需知
我知道了
×
提示
确定
请完成安全验证×
copy
已复制链接
快去分享给好友吧!
我知道了
右上角分享
点击右上角分享
0
联系我们:info@booksci.cn Book学术提供免费学术资源搜索服务,方便国内外学者检索中英文文献。致力于提供最便捷和优质的服务体验。 Copyright © 2023 布克学术 All rights reserved.
京ICP备2023020795号-1
ghs 京公网安备 11010802042870号
Book学术文献互助
Book学术文献互助群
群 号:604180095
Book学术官方微信