Implications of imaging, morphologic, and immunohistochemical features of pancreatic perivascular epithelioid cell tumor: case report and comprehensive literature review.

IF 2.3 3区 医学 Q2 PATHOLOGY
Peipei He, Chaofeng Yang, Kexin Chen, Jinhong Yu, Yang Li
{"title":"Implications of imaging, morphologic, and immunohistochemical features of pancreatic perivascular epithelioid cell tumor: case report and comprehensive literature review.","authors":"Peipei He, Chaofeng Yang, Kexin Chen, Jinhong Yu, Yang Li","doi":"10.1186/s13000-025-01702-6","DOIUrl":null,"url":null,"abstract":"<p><strong>Background: </strong>Perivascular epithelioid cell tumor (PEComa) of the pancreas is a rare tumor of pancreatic mesenchymal origin with malignant potential. Critical to appropriate clinical management is determining whether the tumor is benign or malignant. Because of its rarity, morphologic and histologic characteristics and limited patient follow-up of pancreatic PEComa have precluded precise definition of malignancy. However, because malignant pancreatic PEComa appears to be distinctly uncommon, further improvements characterizing its preoperative imaging features could facilitate use of diagnostic endoscopic ultrasound biopsy and perhaps ablative treatment. This paper presents a case of pancreatic PEComa treated at the Affiliated Hospital of North Sichuan Medical College and includes a systematic literature review with special emphasis on the key imaging features of pancreatic PEComa.</p><p><strong>Case presentation: </strong>In February 2024, a woman in her 50s was admitted to the hospital with subxiphoid discomfort. Magnetic resonance imaging (MRI) of the upper abdomen revealed a round, solid mass in the pancreatic uncinate process. The patient underwent pancreatic mass resection and pancreaticojejunostomy, and the diagnosis of pancreatic PEComa was confirmed through pathological examination.</p><p><strong>Conclusions: </strong>Imaging examinations appear valuable for a tentative diagnosis of pancreatic PEComa. Key imaging features include its frequent occurrence in the pancreatic head, typically small to moderate size, \"pushing\" as opposed to infiltrative growth pattern with well-defined margins, and the presence of a capsule. The lesions are usually solid and often exhibit mild to moderate heterogenous enhancement during the arterial phase, with reduced enhancement in the portal and delayed phases.</p>","PeriodicalId":11237,"journal":{"name":"Diagnostic Pathology","volume":"20 1","pages":"95"},"PeriodicalIF":2.3000,"publicationDate":"2025-08-25","publicationTypes":"Journal Article","fieldsOfStudy":null,"isOpenAccess":false,"openAccessPdf":"https://www.ncbi.nlm.nih.gov/pmc/articles/PMC12376425/pdf/","citationCount":"0","resultStr":null,"platform":"Semanticscholar","paperid":null,"PeriodicalName":"Diagnostic Pathology","FirstCategoryId":"3","ListUrlMain":"https://doi.org/10.1186/s13000-025-01702-6","RegionNum":3,"RegionCategory":"医学","ArticlePicture":[],"TitleCN":null,"AbstractTextCN":null,"PMCID":null,"EPubDate":"","PubModel":"","JCR":"Q2","JCRName":"PATHOLOGY","Score":null,"Total":0}
引用次数: 0

Abstract

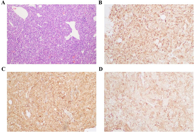
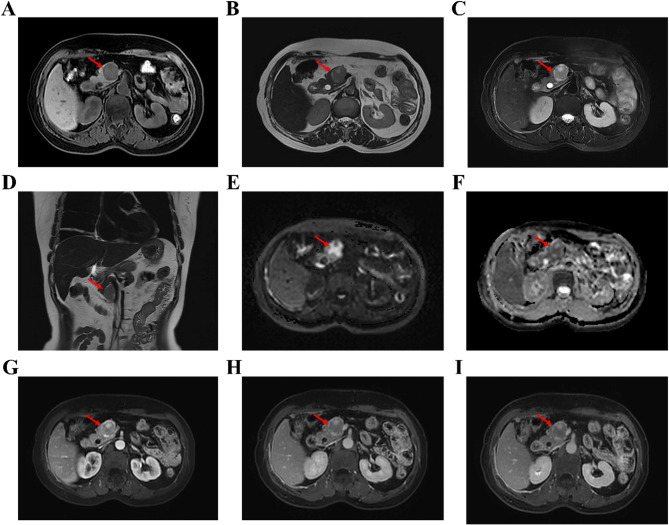
Background: Perivascular epithelioid cell tumor (PEComa) of the pancreas is a rare tumor of pancreatic mesenchymal origin with malignant potential. Critical to appropriate clinical management is determining whether the tumor is benign or malignant. Because of its rarity, morphologic and histologic characteristics and limited patient follow-up of pancreatic PEComa have precluded precise definition of malignancy. However, because malignant pancreatic PEComa appears to be distinctly uncommon, further improvements characterizing its preoperative imaging features could facilitate use of diagnostic endoscopic ultrasound biopsy and perhaps ablative treatment. This paper presents a case of pancreatic PEComa treated at the Affiliated Hospital of North Sichuan Medical College and includes a systematic literature review with special emphasis on the key imaging features of pancreatic PEComa.

Case presentation: In February 2024, a woman in her 50s was admitted to the hospital with subxiphoid discomfort. Magnetic resonance imaging (MRI) of the upper abdomen revealed a round, solid mass in the pancreatic uncinate process. The patient underwent pancreatic mass resection and pancreaticojejunostomy, and the diagnosis of pancreatic PEComa was confirmed through pathological examination.

Conclusions: Imaging examinations appear valuable for a tentative diagnosis of pancreatic PEComa. Key imaging features include its frequent occurrence in the pancreatic head, typically small to moderate size, "pushing" as opposed to infiltrative growth pattern with well-defined margins, and the presence of a capsule. The lesions are usually solid and often exhibit mild to moderate heterogenous enhancement during the arterial phase, with reduced enhancement in the portal and delayed phases.

Abstract Image

Abstract Image

胰腺血管周围上皮样细胞瘤的影像学、形态学和免疫组织化学特征:病例报告和综合文献复习。
背景:胰腺血管周围上皮样细胞瘤(PEComa)是一种罕见的胰腺间充质源性肿瘤,具有恶性潜能。确定肿瘤是良性的还是恶性的对临床治疗至关重要。由于其罕见,形态学和组织学特征,以及有限的患者随访,使胰腺PEComa无法精确定义恶性肿瘤。然而,由于恶性胰腺PEComa似乎非常罕见,进一步改善其术前影像学特征可以促进内镜超声活检诊断和消融治疗的使用。本文报告1例在川北医学院附属医院治疗的胰腺PEComa,并进行了系统的文献回顾,特别强调胰腺PEComa的主要影像学特征。病例介绍:2024年2月,一名50多岁的女性因剑突下不适入院。上腹部磁共振成像(MRI)显示胰腺钩突有一圆形实性肿块。患者行胰腺肿物切除术及胰空肠吻合术,经病理检查确诊为胰腺PEComa。结论:影像学检查对胰腺PEComa的初步诊断很有价值。主要影像学特征包括多发于胰腺头部,典型的小到中等大小,与浸润性生长模式相反的“推进性”生长模式,边界明确,以及囊的存在。病变通常是实性的,在动脉期常表现为轻度至中度的非均匀强化,在门脉期和延迟期增强减弱。
本文章由计算机程序翻译,如有差异,请以英文原文为准。
求助全文
约1分钟内获得全文 求助全文
来源期刊
Diagnostic Pathology
Diagnostic Pathology 医学-病理学
CiteScore
4.60
自引率
0.00%
发文量
93
审稿时长
1 months
期刊介绍: Diagnostic Pathology is an open access, peer-reviewed, online journal that considers research in surgical and clinical pathology, immunology, and biology, with a special focus on cutting-edge approaches in diagnostic pathology and tissue-based therapy. The journal covers all aspects of surgical pathology, including classic diagnostic pathology, prognosis-related diagnosis (tumor stages, prognosis markers, such as MIB-percentage, hormone receptors, etc.), and therapy-related findings. The journal also focuses on the technological aspects of pathology, including molecular biology techniques, morphometry aspects (stereology, DNA analysis, syntactic structure analysis), communication aspects (telecommunication, virtual microscopy, virtual pathology institutions, etc.), and electronic education and quality assurance (for example interactive publication, on-line references with automated updating, etc.).
×
引用
GB/T 7714-2015
复制
MLA
复制
APA
复制
导出至
BibTeX EndNote RefMan NoteFirst NoteExpress
×
提示
您的信息不完整,为了账户安全,请先补充。
现在去补充
×
提示
您因"违规操作"
具体请查看互助需知
我知道了
×
提示
确定
请完成安全验证×
copy
已复制链接
快去分享给好友吧!
我知道了
右上角分享
点击右上角分享
0
联系我们:info@booksci.cn Book学术提供免费学术资源搜索服务,方便国内外学者检索中英文文献。致力于提供最便捷和优质的服务体验。 Copyright © 2023 布克学术 All rights reserved.
京ICP备2023020795号-1
ghs 京公网安备 11010802042870号
Book学术文献互助
Book学术文献互助群
群 号:604180095
Book学术官方微信