Alveolar solitary fibrous tumor: an uncommon morphological form.

IF 2.3 3区 医学 Q2 PATHOLOGY
Lin Song, Dong-Liang Lin, Zhao-Fen Zhang, Zhou Wang, Yuan-Yuan Zong
{"title":"Alveolar solitary fibrous tumor: an uncommon morphological form.","authors":"Lin Song, Dong-Liang Lin, Zhao-Fen Zhang, Zhou Wang, Yuan-Yuan Zong","doi":"10.1186/s13000-025-01698-z","DOIUrl":null,"url":null,"abstract":"<p><p>Solitary fibrous tumor (SFT) is a fibroblastic tumor characterized by a prominent staghorn vasculature and collagen deposition. However, little is known about SFTs with alveolar structures. Herein, we present a case of an alveolar pattern SFT in a 55-year-old woman. The tumor was present in the lumbosacral spinal canal and showed an alveolar architecture composed of ovoid to spindle-shaped cells. Immunohistochemical examination showed that the tumor cells were positive for STAT6 (nuclear expression), CD34, CD99, and Bcl-2, but negative for cytokeratins (CK-pan and AE1/AE3), EMA, GFAP, CD31, progesterone receptor, S-100 protein, and smooth muscle actin. Furthermore, NAB2::STAT6 fusion was detected using DNA-based next-generation sequencing, which established the diagnosis of SFT at a molecular level. The present case expands the morphological categories of SFT.</p>","PeriodicalId":11237,"journal":{"name":"Diagnostic Pathology","volume":"20 1","pages":"98"},"PeriodicalIF":2.3000,"publicationDate":"2025-08-26","publicationTypes":"Journal Article","fieldsOfStudy":null,"isOpenAccess":false,"openAccessPdf":"https://www.ncbi.nlm.nih.gov/pmc/articles/PMC12379501/pdf/","citationCount":"0","resultStr":null,"platform":"Semanticscholar","paperid":null,"PeriodicalName":"Diagnostic Pathology","FirstCategoryId":"3","ListUrlMain":"https://doi.org/10.1186/s13000-025-01698-z","RegionNum":3,"RegionCategory":"医学","ArticlePicture":[],"TitleCN":null,"AbstractTextCN":null,"PMCID":null,"EPubDate":"","PubModel":"","JCR":"Q2","JCRName":"PATHOLOGY","Score":null,"Total":0}
引用次数: 0

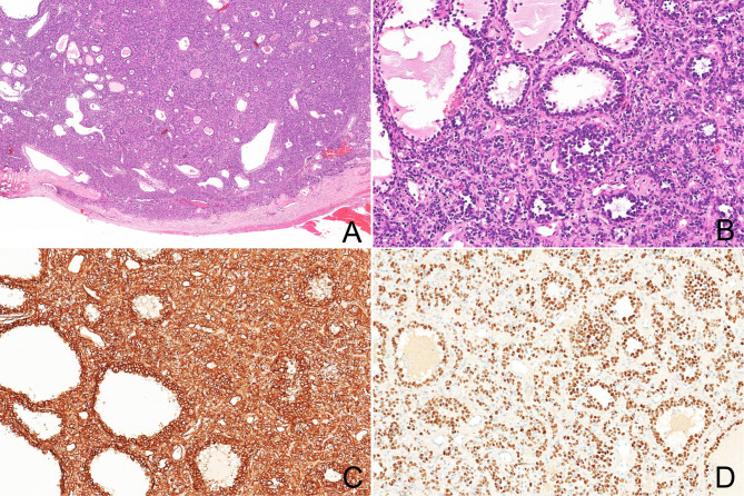
Abstract

Solitary fibrous tumor (SFT) is a fibroblastic tumor characterized by a prominent staghorn vasculature and collagen deposition. However, little is known about SFTs with alveolar structures. Herein, we present a case of an alveolar pattern SFT in a 55-year-old woman. The tumor was present in the lumbosacral spinal canal and showed an alveolar architecture composed of ovoid to spindle-shaped cells. Immunohistochemical examination showed that the tumor cells were positive for STAT6 (nuclear expression), CD34, CD99, and Bcl-2, but negative for cytokeratins (CK-pan and AE1/AE3), EMA, GFAP, CD31, progesterone receptor, S-100 protein, and smooth muscle actin. Furthermore, NAB2::STAT6 fusion was detected using DNA-based next-generation sequencing, which established the diagnosis of SFT at a molecular level. The present case expands the morphological categories of SFT.

Abstract Image

Abstract Image

Abstract Image

肺泡孤立性纤维性肿瘤:一种不常见的形态。
孤立性纤维性肿瘤(SFT)是一种纤维母细胞肿瘤,其特征是显著的鹿角状血管和胶原沉积。然而,对伴有肺泡结构的SFTs知之甚少。在这里,我们提出一个病例肺泡型SFT在一个55岁的妇女。肿瘤位于腰骶椎管内,呈卵圆形至梭形细胞组成的肺泡结构。免疫组化检查显示肿瘤细胞STAT6(核表达)、CD34、CD99、Bcl-2阳性,细胞角蛋白(CK-pan、AE1/AE3)、EMA、GFAP、CD31、黄体酮受体、S-100蛋白、平滑肌肌动蛋白阴性。此外,采用基于dna的新一代测序检测NAB2::STAT6融合,从而在分子水平上建立了SFT的诊断。本病例扩展了SFT的形态学范畴。
本文章由计算机程序翻译,如有差异,请以英文原文为准。
求助全文
约1分钟内获得全文 求助全文
来源期刊
Diagnostic Pathology
Diagnostic Pathology 医学-病理学
CiteScore
4.60
自引率
0.00%
发文量
93
审稿时长
1 months
期刊介绍: Diagnostic Pathology is an open access, peer-reviewed, online journal that considers research in surgical and clinical pathology, immunology, and biology, with a special focus on cutting-edge approaches in diagnostic pathology and tissue-based therapy. The journal covers all aspects of surgical pathology, including classic diagnostic pathology, prognosis-related diagnosis (tumor stages, prognosis markers, such as MIB-percentage, hormone receptors, etc.), and therapy-related findings. The journal also focuses on the technological aspects of pathology, including molecular biology techniques, morphometry aspects (stereology, DNA analysis, syntactic structure analysis), communication aspects (telecommunication, virtual microscopy, virtual pathology institutions, etc.), and electronic education and quality assurance (for example interactive publication, on-line references with automated updating, etc.).
×
引用
GB/T 7714-2015
复制
MLA
复制
APA
复制
导出至
BibTeX EndNote RefMan NoteFirst NoteExpress
×
提示
您的信息不完整,为了账户安全,请先补充。
现在去补充
×
提示
您因"违规操作"
具体请查看互助需知
我知道了
×
提示
确定
请完成安全验证×
copy
已复制链接
快去分享给好友吧!
我知道了
右上角分享
点击右上角分享
0
联系我们:info@booksci.cn Book学术提供免费学术资源搜索服务,方便国内外学者检索中英文文献。致力于提供最便捷和优质的服务体验。 Copyright © 2023 布克学术 All rights reserved.
京ICP备2023020795号-1
ghs 京公网安备 11010802042870号
Book学术文献互助
Book学术文献互助群
群 号:604180095
Book学术官方微信