Improved preoperative planning for endovascular therapy: High-resolution vessel wall magnetic resonance imaging shows promise in identifying proximal occlusion site and distal boundary of the occlusion of acute ischemic stroke.

IF 4.8 4区 医学 Q3 CLINICAL NEUROLOGY
Brain Circulation Pub Date : 2025-06-10 eCollection Date: 2025-07-01 DOI:10.4103/bc.bc_103_24
Yuchao Dou, Qinghai Yao, Yongbo Xu, Leilei Luo, Sifei Wang, Bohao Zhang, Da Lu, Sihu Pan, Shuling Liu, Shuai Liu, Yuanyuan Xue, Kangjie Du, Chaowei Hao, Chen Cao, Ming Wei
{"title":"Improved preoperative planning for endovascular therapy: High-resolution vessel wall magnetic resonance imaging shows promise in identifying proximal occlusion site and distal boundary of the occlusion of acute ischemic stroke.","authors":"Yuchao Dou, Qinghai Yao, Yongbo Xu, Leilei Luo, Sifei Wang, Bohao Zhang, Da Lu, Sihu Pan, Shuling Liu, Shuai Liu, Yuanyuan Xue, Kangjie Du, Chaowei Hao, Chen Cao, Ming Wei","doi":"10.4103/bc.bc_103_24","DOIUrl":null,"url":null,"abstract":"<p><strong>Background and purpose: </strong>Detecting the proximal occlusion site (POS) and distal boundary of the occlusion (DBO) of arterial occlusion is very important for the prognosis of endovascular treatment. Recent studies have shown that magnetic resonance imaging (MRI) and magnetic resonance angiography (MRA) are also beneficial for preoperative patient selection for endovascular therapy. High-resolution vessel wall MRI (HRVW-MRI) for intraluminal detection of arterial largevessel occlusions (LVOs) is receiving increasing attention. The purpose of this study was to evaluate the diagnostic efficacy of HRVW-MRI for POS and DBO.</p><p><strong>Materials and methods: </strong>The data of 42 patients with acute anterior circulation cerebral infarction were retrospectively analyzed. By comparing with digital subtraction angiography (DSA), the POS and DBO were analyzed to determine the efficacy of HRVW-MRI for LVO location.</p><p><strong>Results: </strong>Good to excellent interobserver consistency was achieved in the analysis and evaluation of all image data (<i>k</i> > 0.70). There was better concordance for the POS between HRMRI and DSA than that between MRA and DSA (<i>k</i> = 0.834 vs. <i>k</i> = 0.309). Compared with DSA, HRVW-MRI showed an advantage over DSA in terms of clearly determining DBO (<i>χ</i>² = 9.389, <i>P</i> < 0.01).</p><p><strong>Conclusion: </strong>HRVW-MRI demonstrated a comparative advantage over Time-of-flight-MRA for differentiating the POS, with accuracy near-equivalent to that of DSA and a clear advantage over DSA for DBO detection. HRVW-MRI has the potential to improve preoperative planning for endovascular therapy.</p>","PeriodicalId":9288,"journal":{"name":"Brain Circulation","volume":"11 3","pages":"219-227"},"PeriodicalIF":4.8000,"publicationDate":"2025-06-10","publicationTypes":"Journal Article","fieldsOfStudy":null,"isOpenAccess":false,"openAccessPdf":"https://www.ncbi.nlm.nih.gov/pmc/articles/PMC12367266/pdf/","citationCount":"0","resultStr":null,"platform":"Semanticscholar","paperid":null,"PeriodicalName":"Brain Circulation","FirstCategoryId":"3","ListUrlMain":"https://doi.org/10.4103/bc.bc_103_24","RegionNum":4,"RegionCategory":"医学","ArticlePicture":[],"TitleCN":null,"AbstractTextCN":null,"PMCID":null,"EPubDate":"2025/7/1 0:00:00","PubModel":"eCollection","JCR":"Q3","JCRName":"CLINICAL NEUROLOGY","Score":null,"Total":0}
引用次数: 0

Abstract

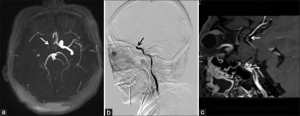
Background and purpose: Detecting the proximal occlusion site (POS) and distal boundary of the occlusion (DBO) of arterial occlusion is very important for the prognosis of endovascular treatment. Recent studies have shown that magnetic resonance imaging (MRI) and magnetic resonance angiography (MRA) are also beneficial for preoperative patient selection for endovascular therapy. High-resolution vessel wall MRI (HRVW-MRI) for intraluminal detection of arterial largevessel occlusions (LVOs) is receiving increasing attention. The purpose of this study was to evaluate the diagnostic efficacy of HRVW-MRI for POS and DBO.

Materials and methods: The data of 42 patients with acute anterior circulation cerebral infarction were retrospectively analyzed. By comparing with digital subtraction angiography (DSA), the POS and DBO were analyzed to determine the efficacy of HRVW-MRI for LVO location.

Results: Good to excellent interobserver consistency was achieved in the analysis and evaluation of all image data (k > 0.70). There was better concordance for the POS between HRMRI and DSA than that between MRA and DSA (k = 0.834 vs. k = 0.309). Compared with DSA, HRVW-MRI showed an advantage over DSA in terms of clearly determining DBO (χ² = 9.389, P < 0.01).

Conclusion: HRVW-MRI demonstrated a comparative advantage over Time-of-flight-MRA for differentiating the POS, with accuracy near-equivalent to that of DSA and a clear advantage over DSA for DBO detection. HRVW-MRI has the potential to improve preoperative planning for endovascular therapy.

Abstract Image

Abstract Image

Abstract Image

改进血管内治疗的术前规划:高分辨率血管壁磁共振成像在识别急性缺血性卒中近端闭塞部位和远端闭塞边界方面显示出希望。
背景与目的:动脉闭塞的近端闭塞部位(POS)和远端闭塞边界(DBO)的检测对血管内治疗的预后非常重要。最近的研究表明,磁共振成像(MRI)和磁共振血管造影(MRA)也有利于术前选择患者进行血管内治疗。高分辨率血管壁MRI (HRVW-MRI)用于腔内检测动脉大血管闭塞(LVOs)越来越受到关注。本研究的目的是评价HRVW-MRI对POS和DBO的诊断效果。材料与方法:回顾性分析42例急性前循环脑梗死患者的临床资料。通过与数字减影血管造影(DSA)比较,分析POS和DBO,以确定HRVW-MRI对LVO定位的有效性。结果:所有图像数据的分析和评价均达到了良好至优异的观察者间一致性(k > 0.70)。HRMRI与DSA的POS一致性优于MRA与DSA (k = 0.834比k = 0.309)。与DSA比较,HRVW-MRI在明确诊断DBO方面优于DSA (χ 2 = 9.389, P < 0.01)。结论:HRVW-MRI在区分POS方面比Time-of-flight-MRA具有相对优势,其准确性接近DSA,在DBO检测方面比DSA具有明显优势。HRVW-MRI有潜力改善血管内治疗的术前计划。
本文章由计算机程序翻译,如有差异,请以英文原文为准。
求助全文
约1分钟内获得全文 求助全文
来源期刊
Brain Circulation
Brain Circulation Multiple-
自引率
5.30%
发文量
31
审稿时长
16 weeks
×
引用
GB/T 7714-2015
复制
MLA
复制
APA
复制
导出至
BibTeX EndNote RefMan NoteFirst NoteExpress
×
提示
您的信息不完整,为了账户安全,请先补充。
现在去补充
×
提示
您因"违规操作"
具体请查看互助需知
我知道了
×
提示
确定
请完成安全验证×
copy
已复制链接
快去分享给好友吧!
我知道了
右上角分享
点击右上角分享
0
联系我们:info@booksci.cn Book学术提供免费学术资源搜索服务,方便国内外学者检索中英文文献。致力于提供最便捷和优质的服务体验。 Copyright © 2023 布克学术 All rights reserved.
京ICP备2023020795号-1
ghs 京公网安备 11010802042870号
Book学术文献互助
Book学术文献互助群
群 号:604180095
Book学术官方微信