Different ranibizumab dosages for retinopathy of prematurity: 5-year follow-up data of the randomised, controlled CARE-ROP Study.

IF 2.2 Q2 OPHTHALMOLOGY
Andreas Stahl, Marie-Christine Bründer, Wolf A Lagrèze, Fanni E Molnár, Teresa Barth, Nicole Eter, Rainer Guthoff, Tim U Krohne, Wolfgang Göpel, Johanna M Pfeil
{"title":"Different ranibizumab dosages for retinopathy of prematurity: 5-year follow-up data of the randomised, controlled CARE-ROP Study.","authors":"Andreas Stahl, Marie-Christine Bründer, Wolf A Lagrèze, Fanni E Molnár, Teresa Barth, Nicole Eter, Rainer Guthoff, Tim U Krohne, Wolfgang Göpel, Johanna M Pfeil","doi":"10.1136/bmjophth-2025-002303","DOIUrl":null,"url":null,"abstract":"<p><strong>Background: </strong>Data on long-term outcomes of antivascular endothelial growth factor therapy in retinopathy of prematurity (ROP) are still rare. We present 5-year post-treatment ophthalmological and paediatric outcomes of the prospective, multicentre, randomised, double-blinded, controlled pilot study CARE-ROP (Comparing Alternative Ranibizumab Dosages for Safety and Efficacy in Retinopathy of Prematurity).</p><p><strong>Methods: </strong>14 patients (28 eyes) completed the ophthalmologic and 5 patients completed the paediatric 5-year follow-up assessment. The ophthalmological assessment included best-corrected visual acuity (BCVA), orthoptic status, slit lamp examination, intraocular pressure and funduscopy. The paediatric examination followed the German Neonatal Network protocol and covered cognitive, motor and sensory development.</p><p><strong>Results: </strong>17 of 28 eyes exhibited at least one ocular abnormality, such as optic disc pallor or atrophy of the optic nerve head, retinal pigment epithelium (RPE) pigment changes, persistent tortuosity or macular hypoplasia. Despite this, 19 of 26 eyes demonstrated a logarithm of the Minimum Angle of Resolution (logMAR) BCVA of 0.3 or better. Mean refractive error was -0.9 D (±3.4 D) with only two eyes of one infant having high myopia of < -5 D. The neurodevelopmental results were within the expected range for a population of preterm infants with treatment-warranting ROP but need to be interpreted with caution due to the low number of five patients.</p><p><strong>Conclusion: </strong>The 5-year ophthalmologic and paediatric outcomes of the CARE-ROP study confirm the previous results and add important additional information on long-term safety of 0.12 and 0.20 mg ranibizumab for the treatment of ROP. The ophthalmologic functional outcome regarding BCVA and refraction is promising. These exploratory long-term data, however, need to be interpreted with caution due to the low patient number both in the ophthalmologic and paediatric assessment.</p>","PeriodicalId":9286,"journal":{"name":"BMJ Open Ophthalmology","volume":"10 1","pages":""},"PeriodicalIF":2.2000,"publicationDate":"2025-08-26","publicationTypes":"Journal Article","fieldsOfStudy":null,"isOpenAccess":false,"openAccessPdf":"https://www.ncbi.nlm.nih.gov/pmc/articles/PMC12382488/pdf/","citationCount":"0","resultStr":null,"platform":"Semanticscholar","paperid":null,"PeriodicalName":"BMJ Open Ophthalmology","FirstCategoryId":"1085","ListUrlMain":"https://doi.org/10.1136/bmjophth-2025-002303","RegionNum":0,"RegionCategory":null,"ArticlePicture":[],"TitleCN":null,"AbstractTextCN":null,"PMCID":null,"EPubDate":"","PubModel":"","JCR":"Q2","JCRName":"OPHTHALMOLOGY","Score":null,"Total":0}
引用次数: 0

Abstract

Background: Data on long-term outcomes of antivascular endothelial growth factor therapy in retinopathy of prematurity (ROP) are still rare. We present 5-year post-treatment ophthalmological and paediatric outcomes of the prospective, multicentre, randomised, double-blinded, controlled pilot study CARE-ROP (Comparing Alternative Ranibizumab Dosages for Safety and Efficacy in Retinopathy of Prematurity).

Methods: 14 patients (28 eyes) completed the ophthalmologic and 5 patients completed the paediatric 5-year follow-up assessment. The ophthalmological assessment included best-corrected visual acuity (BCVA), orthoptic status, slit lamp examination, intraocular pressure and funduscopy. The paediatric examination followed the German Neonatal Network protocol and covered cognitive, motor and sensory development.

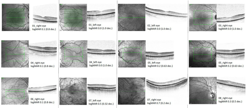
Results: 17 of 28 eyes exhibited at least one ocular abnormality, such as optic disc pallor or atrophy of the optic nerve head, retinal pigment epithelium (RPE) pigment changes, persistent tortuosity or macular hypoplasia. Despite this, 19 of 26 eyes demonstrated a logarithm of the Minimum Angle of Resolution (logMAR) BCVA of 0.3 or better. Mean refractive error was -0.9 D (±3.4 D) with only two eyes of one infant having high myopia of < -5 D. The neurodevelopmental results were within the expected range for a population of preterm infants with treatment-warranting ROP but need to be interpreted with caution due to the low number of five patients.

Conclusion: The 5-year ophthalmologic and paediatric outcomes of the CARE-ROP study confirm the previous results and add important additional information on long-term safety of 0.12 and 0.20 mg ranibizumab for the treatment of ROP. The ophthalmologic functional outcome regarding BCVA and refraction is promising. These exploratory long-term data, however, need to be interpreted with caution due to the low patient number both in the ophthalmologic and paediatric assessment.

Abstract Image

Abstract Image

Abstract Image

不同剂量的雷尼单抗治疗早产儿视网膜病变:随机对照CARE-ROP研究的5年随访数据
背景:关于抗血管内皮生长因子治疗早产儿视网膜病变(ROP)的长期结果的数据仍然很少。我们介绍了前瞻性、多中心、随机、双盲、对照先导研究CARE-ROP(比较不同雷尼单抗剂量对早产儿视网膜病变的安全性和有效性)治疗后5年的眼科和儿科结果。方法:14例患者(28眼)完成眼科检查,5例患者完成儿科5年随访评估。眼科检查包括最佳矫正视力(BCVA)、正视状态、裂隙灯检查、眼压和眼底镜检查。儿科检查遵循德国新生儿网络协议,涵盖认知、运动和感觉发育。结果:28只眼中有17只眼表现出至少一种眼部异常,如视盘苍白或视神经头萎缩、视网膜色素上皮(RPE)色素改变、持续扭曲或黄斑发育不全。尽管如此,26只眼睛中有19只的最小分辨角(logMAR) BCVA的对数为0.3或更好。平均屈光误差为-0.9 D(±3.4 D),其中一名高度近视< -5 D的婴儿只有两只眼睛,神经发育结果在需要治疗的ROP早产儿群体的预期范围内,但由于5例患者的数量较少,需要谨慎解释。结论:CARE-ROP研究的5年眼科和儿科结果证实了先前的结果,并为0.12和0.20 mg雷尼单抗治疗ROP的长期安全性提供了重要的额外信息。BCVA和屈光的眼科功能预后是有希望的。然而,这些探索性的长期数据需要谨慎解释,因为在眼科和儿科评估中患者数量都很低。
本文章由计算机程序翻译,如有差异,请以英文原文为准。
求助全文
约1分钟内获得全文 求助全文
来源期刊
BMJ Open Ophthalmology
BMJ Open Ophthalmology OPHTHALMOLOGY-
CiteScore
3.40
自引率
4.20%
发文量
104
审稿时长
20 weeks
×
引用
GB/T 7714-2015
复制
MLA
复制
APA
复制
导出至
BibTeX EndNote RefMan NoteFirst NoteExpress
×
提示
您的信息不完整,为了账户安全,请先补充。
现在去补充
×
提示
您因"违规操作"
具体请查看互助需知
我知道了
×
提示
确定
请完成安全验证×
copy
已复制链接
快去分享给好友吧!
我知道了
右上角分享
点击右上角分享
0
联系我们:info@booksci.cn Book学术提供免费学术资源搜索服务,方便国内外学者检索中英文文献。致力于提供最便捷和优质的服务体验。 Copyright © 2023 布克学术 All rights reserved.
京ICP备2023020795号-1
ghs 京公网安备 11010802042870号
Book学术文献互助
Book学术文献互助群
群 号:604180095
Book学术官方微信