Significant proteinuria as a predictor of renal prognosis in malignant hypertension patients with thrombotic microangiopathy: a prospective cohort study.

IF 2.4 4区 医学 Q2 UROLOGY & NEPHROLOGY
Wanxin Shi, Xingji Lian, Wenchuan Li, Rong Lian, Shengyou Yu, Zefang Dai, Zhong Zhong, Yiqin Wang, Wei Chen, Jianbo Li, Feng He
{"title":"Significant proteinuria as a predictor of renal prognosis in malignant hypertension patients with thrombotic microangiopathy: a prospective cohort study.","authors":"Wanxin Shi, Xingji Lian, Wenchuan Li, Rong Lian, Shengyou Yu, Zefang Dai, Zhong Zhong, Yiqin Wang, Wei Chen, Jianbo Li, Feng He","doi":"10.1186/s12882-025-04407-6","DOIUrl":null,"url":null,"abstract":"<p><strong>Background: </strong>Malignant hypertension (mHTN) is the most severe form of hypertension. Thrombotic microangiopathy (TMA) serves as both a complication of mHTN and a contributor to its progression by exacerbating renal damage. Proteinuria is a common manifestation of mHTN. However, the impact of proteinuria on renal prognosis in mHTN patients with TMA is unclear.</p><p><strong>Methods: </strong>This observational cohort study included 276 mHTN-associated TMA patients based on renal biopsy from 2008 to 2023. Demographic characteristics, laboratory results, and histopathological findings were recorded and compared between the mild (< 1 g / 24 h) and significant (≥ 1 g / 24 h) proteinuria groups. Propensity score matching (PSM) was used to adjust for baseline differences. Cox regression model was employed to evaluate risk factors associated with renal prognosis.</p><p><strong>Results: </strong>Among the 276 patients included in the study, 185 (67.0%) had significant proteinuria, while 91 (33.0%) had mild proteinuria at baseline. After PSM, 83 pairs of patients with mHTN-associated TMA were matched. Patients with significant proteinuria exhibited lower serum albumin, and higher ratio of global sclerosis compared to patients with mild proteinuria. Moreover, mHTN-associated TMA with significant proteinuria was independently associated with receiving renal replacement therapy (RRT) (adjusted hazard ratio (aHR), 1.30; 95% confidence interval (CI), 1.16-1.46; P < 0.001) compared with mild proteinuria. This association remained significant after PSM (aHR, 1.29; 95% CI, 1.13-1.47; P < 0.001). Furthermore, mHTN-associated TMA patients with significant proteinuria had a lower incidence of renal function recovery with a reduction in creatinine levels than in patients with mild proteinuria in the absence of intensive blood pressure control.</p><p><strong>Conclusion: </strong>In mHTN-associated TMA patients, the presence of significant proteinuria serves as a strong predictor of poor renal outcome.</p><p><strong>Clinical trial number: </strong>Not applicable.</p>","PeriodicalId":9089,"journal":{"name":"BMC Nephrology","volume":"26 1","pages":"513"},"PeriodicalIF":2.4000,"publicationDate":"2025-09-02","publicationTypes":"Journal Article","fieldsOfStudy":null,"isOpenAccess":false,"openAccessPdf":"https://www.ncbi.nlm.nih.gov/pmc/articles/PMC12406467/pdf/","citationCount":"0","resultStr":null,"platform":"Semanticscholar","paperid":null,"PeriodicalName":"BMC Nephrology","FirstCategoryId":"3","ListUrlMain":"https://doi.org/10.1186/s12882-025-04407-6","RegionNum":4,"RegionCategory":"医学","ArticlePicture":[],"TitleCN":null,"AbstractTextCN":null,"PMCID":null,"EPubDate":"","PubModel":"","JCR":"Q2","JCRName":"UROLOGY & NEPHROLOGY","Score":null,"Total":0}
引用次数: 0

Abstract

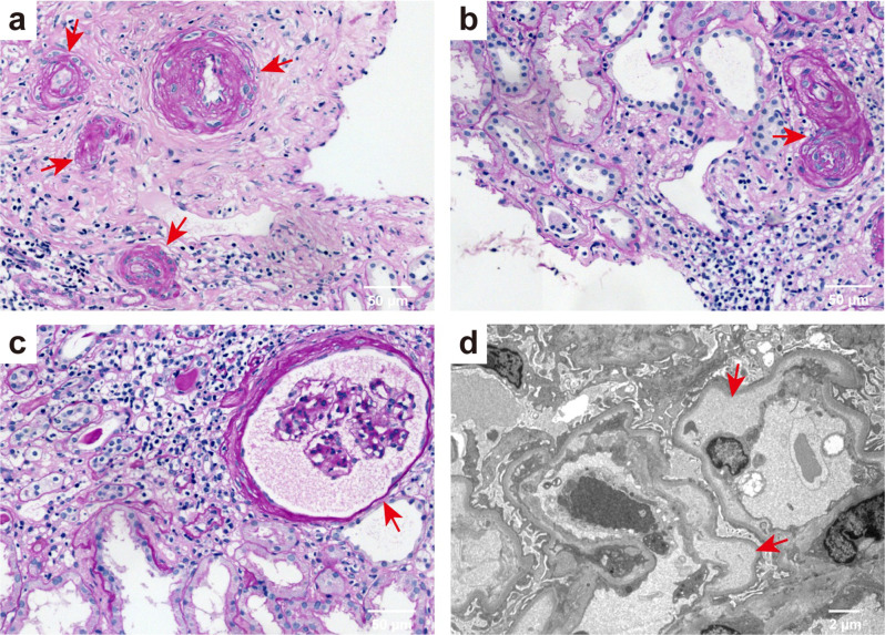
Background: Malignant hypertension (mHTN) is the most severe form of hypertension. Thrombotic microangiopathy (TMA) serves as both a complication of mHTN and a contributor to its progression by exacerbating renal damage. Proteinuria is a common manifestation of mHTN. However, the impact of proteinuria on renal prognosis in mHTN patients with TMA is unclear.

Methods: This observational cohort study included 276 mHTN-associated TMA patients based on renal biopsy from 2008 to 2023. Demographic characteristics, laboratory results, and histopathological findings were recorded and compared between the mild (< 1 g / 24 h) and significant (≥ 1 g / 24 h) proteinuria groups. Propensity score matching (PSM) was used to adjust for baseline differences. Cox regression model was employed to evaluate risk factors associated with renal prognosis.

Results: Among the 276 patients included in the study, 185 (67.0%) had significant proteinuria, while 91 (33.0%) had mild proteinuria at baseline. After PSM, 83 pairs of patients with mHTN-associated TMA were matched. Patients with significant proteinuria exhibited lower serum albumin, and higher ratio of global sclerosis compared to patients with mild proteinuria. Moreover, mHTN-associated TMA with significant proteinuria was independently associated with receiving renal replacement therapy (RRT) (adjusted hazard ratio (aHR), 1.30; 95% confidence interval (CI), 1.16-1.46; P < 0.001) compared with mild proteinuria. This association remained significant after PSM (aHR, 1.29; 95% CI, 1.13-1.47; P < 0.001). Furthermore, mHTN-associated TMA patients with significant proteinuria had a lower incidence of renal function recovery with a reduction in creatinine levels than in patients with mild proteinuria in the absence of intensive blood pressure control.

Conclusion: In mHTN-associated TMA patients, the presence of significant proteinuria serves as a strong predictor of poor renal outcome.

Clinical trial number: Not applicable.

Abstract Image

Abstract Image

Abstract Image

显著蛋白尿作为恶性高血压合并血栓性微血管病变患者肾脏预后的预测因子:一项前瞻性队列研究。
背景:恶性高血压(mHTN)是最严重的高血压形式。血栓性微血管病变(TMA)既是mHTN的并发症,也是通过加重肾损害导致其进展的一个因素。蛋白尿是mHTN的常见表现。然而,蛋白尿对mHTN合并TMA患者肾脏预后的影响尚不清楚。方法:这项观察性队列研究纳入了276例2008年至2023年基于肾活检的mhtn相关TMA患者。结果:在纳入研究的276例患者中,185例(67.0%)有明显蛋白尿,91例(33.0%)基线时有轻度蛋白尿。PSM后,匹配了83对mhtn相关TMA患者。与轻度蛋白尿患者相比,有明显蛋白尿的患者表现出较低的血清白蛋白和较高的全球硬化比率。此外,mhtn相关TMA伴显著蛋白尿与接受肾脏替代治疗(RRT)独立相关(校正风险比(aHR), 1.30;95%置信区间(CI), 1.16-1.46;结论:在mhtn相关的TMA患者中,存在显著的蛋白尿是肾脏预后不良的一个强有力的预测因素。临床试验号:不适用。
本文章由计算机程序翻译,如有差异,请以英文原文为准。
求助全文
约1分钟内获得全文 求助全文
来源期刊
BMC Nephrology
BMC Nephrology UROLOGY & NEPHROLOGY-
CiteScore
4.30
自引率
0.00%
发文量
375
审稿时长
3-8 weeks
期刊介绍: BMC Nephrology is an open access journal publishing original peer-reviewed research articles in all aspects of the prevention, diagnosis and management of kidney and associated disorders, as well as related molecular genetics, pathophysiology, and epidemiology.
×
引用
GB/T 7714-2015
复制
MLA
复制
APA
复制
导出至
BibTeX EndNote RefMan NoteFirst NoteExpress
×
提示
您的信息不完整,为了账户安全,请先补充。
现在去补充
×
提示
您因"违规操作"
具体请查看互助需知
我知道了
×
提示
确定
请完成安全验证×
copy
已复制链接
快去分享给好友吧!
我知道了
右上角分享
点击右上角分享
0
联系我们:info@booksci.cn Book学术提供免费学术资源搜索服务,方便国内外学者检索中英文文献。致力于提供最便捷和优质的服务体验。 Copyright © 2023 布克学术 All rights reserved.
京ICP备2023020795号-1
ghs 京公网安备 11010802042870号
Book学术文献互助
Book学术文献互助群
群 号:604180095
Book学术官方微信