Evolution of cystic lung disease in Birt-Hogg-Dubé syndrome: assessment of older patients.

IF 3.4 3区 医学 Q1 RESPIRATORY SYSTEM
Vasilios Tzilas, Rui Wang, Wei Wei, Xiaowen Hu, Jay H Ryu
{"title":"Evolution of cystic lung disease in Birt-Hogg-Dubé syndrome: assessment of older patients.","authors":"Vasilios Tzilas, Rui Wang, Wei Wei, Xiaowen Hu, Jay H Ryu","doi":"10.1136/bmjresp-2024-002629","DOIUrl":null,"url":null,"abstract":"<p><strong>Background: </strong>Birt-Hogg-Dubé syndrome (BHD) is a rare autosomal dominant disease characterised by the development of lung cysts, skin fibrofolliculomas and an increased risk for renal cancer. The progression of cystic lung disease with ageing in BHD has not been well characterised.</p><p><strong>Objectives: </strong>To assess the severity of lung involvement in patients with BHD aged 50 years or older.</p><p><strong>Methods: </strong>A retrospective computer-assisted search was performed to identify patients with BHD seen at Mayo Clinic in Rochester, Minnesota and the First Affiliated Hospital of University of Science and Technology of China from January 2000 to May 2023. Demographic, clinical, pulmonary function and radiological parameters were extracted and analysed.</p><p><strong>Results: </strong>Among 82 patients with BHD aged 50 years or older, 49 (59%) were female and the median age was 57 years (range, 50-79) at baseline. Pneumothorax occurred in 46 patients (56%). Lung cysts were observed on CT in 77 patients (94%) and were bilateral in nearly all cases. The number of cysts was≥10 for most patients (84%) and the median size of the largest cyst was 31 mm (range, 4-160 mm). Median (range) % predicted values of forced vital capacity, forced expiratory volume in 1 s and diffusion capacity of the lung for carbon monoxide were 98 (62-147), 92 (56-145) and 85 (61-133), respectively, for those with data available. During follow-up (median, 41 months; range, 3-259), 35% of patients manifested worsening in pulmonary function or cystic lung disease.</p><p><strong>Conclusion: </strong>Lung involvement in older patients with BHD manifests varying severity of cystic lung disease with relatively mild functional impairment, if any, and indolent progression.</p>","PeriodicalId":9048,"journal":{"name":"BMJ Open Respiratory Research","volume":"12 1","pages":""},"PeriodicalIF":3.4000,"publicationDate":"2025-08-25","publicationTypes":"Journal Article","fieldsOfStudy":null,"isOpenAccess":false,"openAccessPdf":"https://www.ncbi.nlm.nih.gov/pmc/articles/PMC12382499/pdf/","citationCount":"0","resultStr":null,"platform":"Semanticscholar","paperid":null,"PeriodicalName":"BMJ Open Respiratory Research","FirstCategoryId":"3","ListUrlMain":"https://doi.org/10.1136/bmjresp-2024-002629","RegionNum":3,"RegionCategory":"医学","ArticlePicture":[],"TitleCN":null,"AbstractTextCN":null,"PMCID":null,"EPubDate":"","PubModel":"","JCR":"Q1","JCRName":"RESPIRATORY SYSTEM","Score":null,"Total":0}
引用次数: 0

Abstract

Background: Birt-Hogg-Dubé syndrome (BHD) is a rare autosomal dominant disease characterised by the development of lung cysts, skin fibrofolliculomas and an increased risk for renal cancer. The progression of cystic lung disease with ageing in BHD has not been well characterised.

Objectives: To assess the severity of lung involvement in patients with BHD aged 50 years or older.

Methods: A retrospective computer-assisted search was performed to identify patients with BHD seen at Mayo Clinic in Rochester, Minnesota and the First Affiliated Hospital of University of Science and Technology of China from January 2000 to May 2023. Demographic, clinical, pulmonary function and radiological parameters were extracted and analysed.

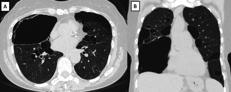
Results: Among 82 patients with BHD aged 50 years or older, 49 (59%) were female and the median age was 57 years (range, 50-79) at baseline. Pneumothorax occurred in 46 patients (56%). Lung cysts were observed on CT in 77 patients (94%) and were bilateral in nearly all cases. The number of cysts was≥10 for most patients (84%) and the median size of the largest cyst was 31 mm (range, 4-160 mm). Median (range) % predicted values of forced vital capacity, forced expiratory volume in 1 s and diffusion capacity of the lung for carbon monoxide were 98 (62-147), 92 (56-145) and 85 (61-133), respectively, for those with data available. During follow-up (median, 41 months; range, 3-259), 35% of patients manifested worsening in pulmonary function or cystic lung disease.

Conclusion: Lung involvement in older patients with BHD manifests varying severity of cystic lung disease with relatively mild functional impairment, if any, and indolent progression.

Abstract Image

birt - hogg - dub综合征中囊性肺疾病的演变:对老年患者的评估
背景:birt - hogg - dub综合征(BHD)是一种罕见的常染色体显性遗传病,以肺囊肿、皮肤纤维滤泡瘤和肾癌风险增加为特征。BHD伴衰老的囊性肺疾病的进展尚未得到很好的描述。目的:评估50岁及以上BHD患者肺部受累的严重程度。方法:对2000年1月至2023年5月在明尼苏达州罗切斯特市梅奥诊所和中国科学技术大学第一附属医院就诊的BHD患者进行回顾性计算机辅助检索。提取并分析人口学、临床、肺功能和影像学参数。结果:在82例50岁及以上的BHD患者中,49例(59%)为女性,基线时中位年龄为57岁(范围50-79)。46例(56%)发生气胸。CT上发现肺囊肿77例(94%),几乎所有病例均为双侧肺囊肿。大多数患者(84%)的囊肿数量≥10个,最大囊肿的中位大小为31 mm(范围4-160 mm)。在有数据的患者中,用力肺活量、1s内用力呼气量和一氧化碳肺弥散量的预测值中位数(范围)分别为98(62-147)、92(56-145)和85(61-133)。在随访期间(中位41个月,范围3-259),35%的患者表现为肺功能恶化或囊性肺疾病。结论:老年BHD患者肺部受累表现为不同程度的囊性肺疾病,如果有的话,相对轻微的功能损害,并且进展缓慢。
本文章由计算机程序翻译,如有差异,请以英文原文为准。
求助全文
约1分钟内获得全文 求助全文
来源期刊
BMJ Open Respiratory Research
BMJ Open Respiratory Research RESPIRATORY SYSTEM-
CiteScore
6.60
自引率
2.40%
发文量
95
审稿时长
12 weeks
期刊介绍: BMJ Open Respiratory Research is a peer-reviewed, open access journal publishing respiratory and critical care medicine. It is the sister journal to Thorax and co-owned by the British Thoracic Society and BMJ. The journal focuses on robustness of methodology and scientific rigour with less emphasis on novelty or perceived impact. BMJ Open Respiratory Research operates a rapid review process, with continuous publication online, ensuring timely, up-to-date research is available worldwide. The journal publishes review articles and all research study types: Basic science including laboratory based experiments and animal models, Pilot studies or proof of concept, Observational studies, Study protocols, Registries, Clinical trials from phase I to multicentre randomised clinical trials, Systematic reviews and meta-analyses.
×
引用
GB/T 7714-2015
复制
MLA
复制
APA
复制
导出至
BibTeX EndNote RefMan NoteFirst NoteExpress
×
提示
您的信息不完整,为了账户安全,请先补充。
现在去补充
×
提示
您因"违规操作"
具体请查看互助需知
我知道了
×
提示
确定
请完成安全验证×
copy
已复制链接
快去分享给好友吧!
我知道了
右上角分享
点击右上角分享
0
联系我们:info@booksci.cn Book学术提供免费学术资源搜索服务,方便国内外学者检索中英文文献。致力于提供最便捷和优质的服务体验。 Copyright © 2023 布克学术 All rights reserved.
京ICP备2023020795号-1
ghs 京公网安备 11010802042870号
Book学术文献互助
Book学术文献互助群
群 号:604180095
Book学术官方微信