An intestinal histiocytic sarcoma in a collared peccary (Pecari tajacu): a case report.

IF 1.7 2区 农林科学 Q2 VETERINARY SCIENCES
Jael Soares Batista, Radan Elvis Matias de Oliveira, Wanderson Lucas Alves Dos Santos, Ana Caroline Freitas Caetano de Sousa, Igor Renno Guimarães Lopes, João Augusto Rodrigues Alves Diniz, Thalita Evani Silva de Oliveira, Robério Gomes Olinda, Erick Platini Ferreira de Souto, Moacir Franco de Oliveira
{"title":"An intestinal histiocytic sarcoma in a collared peccary (Pecari tajacu): a case report.","authors":"Jael Soares Batista, Radan Elvis Matias de Oliveira, Wanderson Lucas Alves Dos Santos, Ana Caroline Freitas Caetano de Sousa, Igor Renno Guimarães Lopes, João Augusto Rodrigues Alves Diniz, Thalita Evani Silva de Oliveira, Robério Gomes Olinda, Erick Platini Ferreira de Souto, Moacir Franco de Oliveira","doi":"10.1186/s13028-025-00828-3","DOIUrl":null,"url":null,"abstract":"<p><strong>Background: </strong>Research on cancer in wild animals provides important insights into the mechanisms of carcinogenesis. Histiocytic sarcomas comprise a rare malignant macrophage-dendritic cell lineage neoplasm in wildlife. This study reports a case of histiocytic sarcoma in the small intestine of a collared peccary (Pecari tajacu), describing its clinical, anatomopathological, and immunohistochemical aspects.</p><p><strong>Case presentation: </strong>A six-year-old male collared peccary maintained in captivity at a facility in Northeastern Brazil presented progressive weight loss, diarrhea, anorexia, dyspnea, lethargy, abdominal distension, bristled fur, and pale mucous membranes. A complete blood count indicated a mild degree of anemia and moderate leukocytosis. Treatment included anti-inflammatories and antibiotics; however, on the 18th day after initial presentation, the animal was found dead in its enclosure. An anatomopathological examination revealed that the animal exhibited poor body condition, scant body fat with a gelatinous appearance, hydrothorax, pulmonary edema, and ascites. Thickening of the duodenal wall was observed, along with the presence of a yellowish-white tumor. Histopathological examination of the affected intestinal segment revealed a neoplastic proliferation of round cells with large, hyperchromatic nuclei, prominent nucleoli, and a high mitotic index (20 mitoses per high-power field). Numerous multinucleated and binucleated giant cells were present. The neoplastic cells extensively infiltrated all layers of the intestinal wall, from the mucosa to the serosa. Immunohistochemical analysis showed strong positivity for macrophage/mononuclear phagocytic lineage markers (CD18, IBA-1, and lysozyme), while negative for T-cell (CD3), B-cell (CD79), and plasma cell (MUM1) markers. The proliferation index assessed by Ki-67 was approximately 60%.</p><p><strong>Conclusions: </strong>The histopathological and immunohistochemical findings confirmed the diagnosis of intestinal histiocytic sarcoma in a collared peccary, representing the first documented case of this neoplasm in this species.</p>","PeriodicalId":7181,"journal":{"name":"Acta Veterinaria Scandinavica","volume":"67 1","pages":"43"},"PeriodicalIF":1.7000,"publicationDate":"2025-09-02","publicationTypes":"Journal Article","fieldsOfStudy":null,"isOpenAccess":false,"openAccessPdf":"https://www.ncbi.nlm.nih.gov/pmc/articles/PMC12403295/pdf/","citationCount":"0","resultStr":null,"platform":"Semanticscholar","paperid":null,"PeriodicalName":"Acta Veterinaria Scandinavica","FirstCategoryId":"97","ListUrlMain":"https://doi.org/10.1186/s13028-025-00828-3","RegionNum":2,"RegionCategory":"农林科学","ArticlePicture":[],"TitleCN":null,"AbstractTextCN":null,"PMCID":null,"EPubDate":"","PubModel":"","JCR":"Q2","JCRName":"VETERINARY SCIENCES","Score":null,"Total":0}
引用次数: 0

Abstract

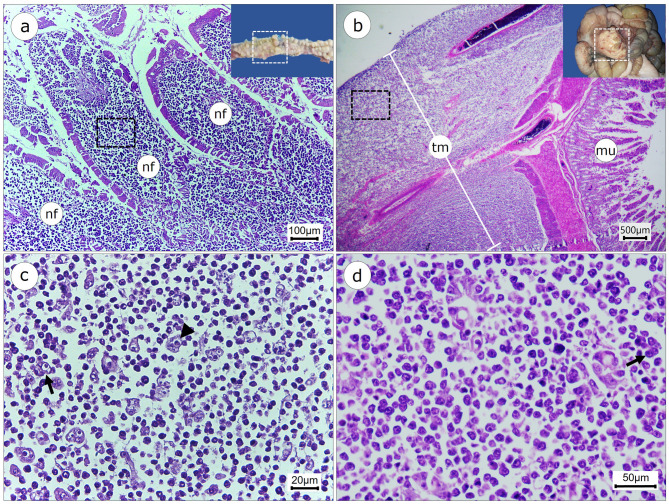
Background: Research on cancer in wild animals provides important insights into the mechanisms of carcinogenesis. Histiocytic sarcomas comprise a rare malignant macrophage-dendritic cell lineage neoplasm in wildlife. This study reports a case of histiocytic sarcoma in the small intestine of a collared peccary (Pecari tajacu), describing its clinical, anatomopathological, and immunohistochemical aspects.

Case presentation: A six-year-old male collared peccary maintained in captivity at a facility in Northeastern Brazil presented progressive weight loss, diarrhea, anorexia, dyspnea, lethargy, abdominal distension, bristled fur, and pale mucous membranes. A complete blood count indicated a mild degree of anemia and moderate leukocytosis. Treatment included anti-inflammatories and antibiotics; however, on the 18th day after initial presentation, the animal was found dead in its enclosure. An anatomopathological examination revealed that the animal exhibited poor body condition, scant body fat with a gelatinous appearance, hydrothorax, pulmonary edema, and ascites. Thickening of the duodenal wall was observed, along with the presence of a yellowish-white tumor. Histopathological examination of the affected intestinal segment revealed a neoplastic proliferation of round cells with large, hyperchromatic nuclei, prominent nucleoli, and a high mitotic index (20 mitoses per high-power field). Numerous multinucleated and binucleated giant cells were present. The neoplastic cells extensively infiltrated all layers of the intestinal wall, from the mucosa to the serosa. Immunohistochemical analysis showed strong positivity for macrophage/mononuclear phagocytic lineage markers (CD18, IBA-1, and lysozyme), while negative for T-cell (CD3), B-cell (CD79), and plasma cell (MUM1) markers. The proliferation index assessed by Ki-67 was approximately 60%.

Conclusions: The histopathological and immunohistochemical findings confirmed the diagnosis of intestinal histiocytic sarcoma in a collared peccary, representing the first documented case of this neoplasm in this species.

Abstract Image

Abstract Image

Abstract Image

有领Pecari tajacu肠组织细胞肉瘤1例。
背景:对野生动物癌症的研究为了解癌变机制提供了重要的见解。组织细胞肉瘤是野生动物中一种罕见的恶性巨噬-树突状细胞系肿瘤。本研究报告一例组织细胞肉瘤在小肠项圈(Pecari tajacu),描述其临床,解剖病理和免疫组织化学方面。病例描述:在巴西东北部的一处圈养设施中饲养的一只6岁雄性有领野猪,表现为进行性体重减轻、腹泻、厌食、呼吸困难、嗜睡、腹胀、毛发刚毛和黏膜苍白。全血细胞计数表明轻度贫血和中度白细胞增多。治疗包括消炎药和抗生素;然而,在首次出现后的第18天,该动物被发现死在其围栏内。解剖病理学检查显示该动物身体状况不佳,体脂不足,呈凝胶状,胸水,肺水肿和腹水。十二指肠壁增厚,伴有黄白色肿瘤。受累肠段的组织病理学检查显示圆形肿瘤细胞增生,细胞核大,深染,核仁突出,有丝分裂指数高(每高倍视场20个有丝分裂)。可见大量多核和双核巨细胞。肿瘤细胞广泛浸润肠壁各层,从粘膜到浆膜。免疫组化分析显示,巨噬细胞/单核吞噬细胞谱系标记(CD18、IBA-1和溶菌酶)呈强阳性,而t细胞(CD3)、b细胞(CD79)和浆细胞(MUM1)标记呈阴性。Ki-67测定的增殖指数约为60%。结论:组织病理学和免疫组织化学检查结果证实了小肠组织细胞肉瘤的诊断,这是该物种中首次记录的这种肿瘤病例。
本文章由计算机程序翻译,如有差异,请以英文原文为准。
求助全文
约1分钟内获得全文 求助全文
来源期刊
Acta Veterinaria Scandinavica
Acta Veterinaria Scandinavica 农林科学-兽医学
CiteScore
3.60
自引率
0.00%
发文量
28
审稿时长
18-36 weeks
期刊介绍: Acta Veterinaria Scandinavica is an open access journal encompassing all aspects of veterinary research and medicine of domestic and wild animals.
×
引用
GB/T 7714-2015
复制
MLA
复制
APA
复制
导出至
BibTeX EndNote RefMan NoteFirst NoteExpress
×
提示
您的信息不完整,为了账户安全,请先补充。
现在去补充
×
提示
您因"违规操作"
具体请查看互助需知
我知道了
×
提示
确定
请完成安全验证×
copy
已复制链接
快去分享给好友吧!
我知道了
右上角分享
点击右上角分享
0
联系我们:info@booksci.cn Book学术提供免费学术资源搜索服务,方便国内外学者检索中英文文献。致力于提供最便捷和优质的服务体验。 Copyright © 2023 布克学术 All rights reserved.
京ICP备2023020795号-1
ghs 京公网安备 11010802042870号
Book学术文献互助
Book学术文献互助群
群 号:604180095
Book学术官方微信
小红书