Expression of endogenous Anopheles gambiae microRNAs using an Anopheles gambiae densovirus (AgDNV) intronic expression system.

IF 3.5 2区 医学 Q1 PARASITOLOGY
Rebecca M Johnson, Hillery C Metz, Yasutsugu Suzuki, Kyle J McLean, Jason L Rasgon
{"title":"Expression of endogenous Anopheles gambiae microRNAs using an Anopheles gambiae densovirus (AgDNV) intronic expression system.","authors":"Rebecca M Johnson, Hillery C Metz, Yasutsugu Suzuki, Kyle J McLean, Jason L Rasgon","doi":"10.1186/s13071-025-06994-7","DOIUrl":null,"url":null,"abstract":"<p><strong>Background: </strong>Anopheles gambiae densovirus (AgDNV) is a highly species-specific parvovirus that reaches high titers in adult Anopheles gambiae mosquitoes with few transcriptomic effects and minimal significant fitness effects. Given these characteristics, AgDNV has been proposed as a viral vector for basic research and mosquito control. Previous work created an AgDNV co-expression system with a wild-type AgDNV helper plasmid and a transducing plasmid expressing enhanced green fluorescent protein (EGFP) that can be used to co-transfect cells to generate infectious recombinant transducing AgDNV virions. Generated virions infect the An. gambiae midgut, fat body, and ovaries, yet this viral vector system is limited in the size of transgenes that can be expressed due to capsid packaging limitations.</p><p><strong>Methods: </strong>Considering these size constraints, we created an artificial intron within the EGFP gene of the transducing construct that can express small pieces of genetic material such as microRNAs (miRNAs), microRNA sponges, or other small sequences. Placement of this intron in EGFP created a fluorescent reporter such that incorrect splicing produces a frameshift mutation in EGFP and an early stop codon, whereas correct splicing results in normal EGFP expression and co-transcription of the intronic genetic cargo. A selection of miRNAs with predicted or demonstrated importance in mosquito immunity and reproduction with expression localized to the fat body or ovaries were chosen as intronic cargo. Construct expression and splicing was evaluated, and the impact of miRNA expression on putative miRNA targets was measured in vitro and in vivo.</p><p><strong>Results: </strong>The created intron was correctly spliced in cells and mosquitoes; however, miRNA delivery resulted in inconsistent changes to miRNA and predicted target gene transcript levels-possibly due to organ-specific miRNA expression or inaccurate putative target predictions leading to miRNA-target gene sequence mismatch.</p><p><strong>Conclusions: </strong>Although our results on target gene expression were inconsistent, with optimization this viral vector and developed intron have potential as an expression tool within An. gambiae mosquitoes or cell lines.</p>","PeriodicalId":19793,"journal":{"name":"Parasites & Vectors","volume":"18 1","pages":"355"},"PeriodicalIF":3.5000,"publicationDate":"2025-08-19","publicationTypes":"Journal Article","fieldsOfStudy":null,"isOpenAccess":false,"openAccessPdf":"https://www.ncbi.nlm.nih.gov/pmc/articles/PMC12366140/pdf/","citationCount":"0","resultStr":null,"platform":"Semanticscholar","paperid":null,"PeriodicalName":"Parasites & Vectors","FirstCategoryId":"3","ListUrlMain":"https://doi.org/10.1186/s13071-025-06994-7","RegionNum":2,"RegionCategory":"医学","ArticlePicture":[],"TitleCN":null,"AbstractTextCN":null,"PMCID":null,"EPubDate":"","PubModel":"","JCR":"Q1","JCRName":"PARASITOLOGY","Score":null,"Total":0}
引用次数: 0

Abstract

Background: Anopheles gambiae densovirus (AgDNV) is a highly species-specific parvovirus that reaches high titers in adult Anopheles gambiae mosquitoes with few transcriptomic effects and minimal significant fitness effects. Given these characteristics, AgDNV has been proposed as a viral vector for basic research and mosquito control. Previous work created an AgDNV co-expression system with a wild-type AgDNV helper plasmid and a transducing plasmid expressing enhanced green fluorescent protein (EGFP) that can be used to co-transfect cells to generate infectious recombinant transducing AgDNV virions. Generated virions infect the An. gambiae midgut, fat body, and ovaries, yet this viral vector system is limited in the size of transgenes that can be expressed due to capsid packaging limitations.

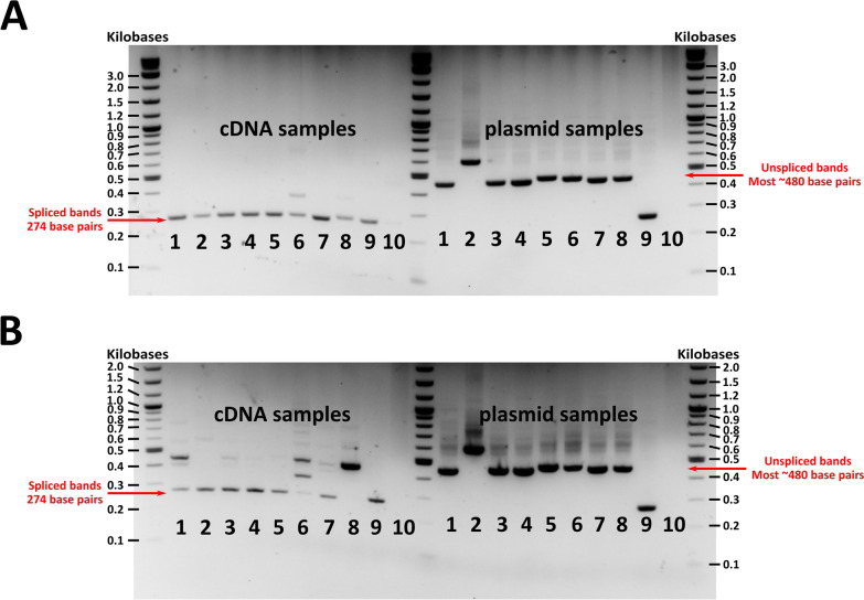
Methods: Considering these size constraints, we created an artificial intron within the EGFP gene of the transducing construct that can express small pieces of genetic material such as microRNAs (miRNAs), microRNA sponges, or other small sequences. Placement of this intron in EGFP created a fluorescent reporter such that incorrect splicing produces a frameshift mutation in EGFP and an early stop codon, whereas correct splicing results in normal EGFP expression and co-transcription of the intronic genetic cargo. A selection of miRNAs with predicted or demonstrated importance in mosquito immunity and reproduction with expression localized to the fat body or ovaries were chosen as intronic cargo. Construct expression and splicing was evaluated, and the impact of miRNA expression on putative miRNA targets was measured in vitro and in vivo.

Results: The created intron was correctly spliced in cells and mosquitoes; however, miRNA delivery resulted in inconsistent changes to miRNA and predicted target gene transcript levels-possibly due to organ-specific miRNA expression or inaccurate putative target predictions leading to miRNA-target gene sequence mismatch.

Conclusions: Although our results on target gene expression were inconsistent, with optimization this viral vector and developed intron have potential as an expression tool within An. gambiae mosquitoes or cell lines.

Abstract Image

Abstract Image

Abstract Image

利用冈比亚按蚊致密病毒(AgDNV)内含子表达系统表达内源性冈比亚按蚊微小rna。
背景:冈比亚按蚊致密病毒(AgDNV)是一种高度物种特异性的细小病毒,在成年冈比亚按蚊中达到高滴度,几乎没有转录组效应和最小的显著适应度效应。鉴于这些特点,AgDNV已被提出作为基础研究和蚊虫控制的病毒载体。先前的工作创建了AgDNV共表达系统,该系统使用野生型AgDNV辅助质粒和表达增强型绿色荧光蛋白(EGFP)的转导质粒,可用于共转染细胞以产生感染性重组转导AgDNV病毒粒子。生成的病毒体感染An。冈比亚病毒的中肠,脂肪体和卵巢,但由于衣壳包装的限制,这种病毒载体系统在可以表达的转基因大小上受到限制。方法:考虑到这些尺寸限制,我们在转导构建体的EGFP基因内创建了一个人工内含子,该内含子可以表达小块遗传物质,如microRNA (miRNAs)、microRNA海绵或其他小序列。将该内含子置于EGFP中会产生荧光报告子,因此不正确的剪接会产生EGFP的移码突变和早期终止密码子,而正确的剪接会导致正常的EGFP表达和内含子遗传货物的共转录。我们选择了一些在蚊子免疫和繁殖中具有预测或证明重要性的mirna作为内含子载体,这些mirna的表达定位于脂肪体或卵巢。评估构建体表达和剪接,并在体外和体内测量miRNA表达对推测miRNA靶点的影响。结果:所构建的内含子在细胞和蚊子中正确拼接;然而,miRNA递送导致miRNA和预测靶基因转录水平的变化不一致,这可能是由于器官特异性miRNA表达或不准确的假设靶基因预测导致miRNA-靶基因序列不匹配。结论:虽然我们的靶基因表达结果不一致,但经过优化,该病毒载体和开发的内含子具有作为an的表达工具的潜力。冈比亚蚊子或细胞系。
本文章由计算机程序翻译,如有差异,请以英文原文为准。
求助全文
约1分钟内获得全文 求助全文
来源期刊
Parasites & Vectors
Parasites & Vectors 医学-寄生虫学
CiteScore
6.30
自引率
9.40%
发文量
433
审稿时长
1.4 months
期刊介绍: Parasites & Vectors is an open access, peer-reviewed online journal dealing with the biology of parasites, parasitic diseases, intermediate hosts, vectors and vector-borne pathogens. Manuscripts published in this journal will be available to all worldwide, with no barriers to access, immediately following acceptance. However, authors retain the copyright of their material and may use it, or distribute it, as they wish. Manuscripts on all aspects of the basic and applied biology of parasites, intermediate hosts, vectors and vector-borne pathogens will be considered. In addition to the traditional and well-established areas of science in these fields, we also aim to provide a vehicle for publication of the rapidly developing resources and technology in parasite, intermediate host and vector genomics and their impacts on biological research. We are able to publish large datasets and extensive results, frequently associated with genomic and post-genomic technologies, which are not readily accommodated in traditional journals. Manuscripts addressing broader issues, for example economics, social sciences and global climate change in relation to parasites, vectors and disease control, are also welcomed.
×
引用
GB/T 7714-2015
复制
MLA
复制
APA
复制
导出至
BibTeX EndNote RefMan NoteFirst NoteExpress
×
提示
您的信息不完整,为了账户安全,请先补充。
现在去补充
×
提示
您因"违规操作"
具体请查看互助需知
我知道了
×
提示
确定
请完成安全验证×
copy
已复制链接
快去分享给好友吧!
我知道了
右上角分享
点击右上角分享
0
联系我们:info@booksci.cn Book学术提供免费学术资源搜索服务,方便国内外学者检索中英文文献。致力于提供最便捷和优质的服务体验。 Copyright © 2023 布克学术 All rights reserved.
京ICP备2023020795号-1
ghs 京公网安备 11010802042870号
Book学术文献互助
Book学术文献互助群
群 号:604180095
Book学术官方微信