A rare cause of diffuse alveolar hemorrhage in a pediatric patient: thigh localization of INI1-deficient epithelioid sarcoma.

IF 3.5 2区 医学 Q2 GENETICS & HEREDITY
Xiaolei Tang, Zhipeng Zhao, Xingfeng Yao, Chunju Zhou, Shuai Gong, Haiming Yang
{"title":"A rare cause of diffuse alveolar hemorrhage in a pediatric patient: thigh localization of INI1-deficient epithelioid sarcoma.","authors":"Xiaolei Tang, Zhipeng Zhao, Xingfeng Yao, Chunju Zhou, Shuai Gong, Haiming Yang","doi":"10.1186/s13023-025-03956-1","DOIUrl":null,"url":null,"abstract":"<p><strong>Background: </strong>Diffuse alveolar hemorrhage (DAH) is a group of rare but life-threatening conditions characterized by bleeding into the alveolar spaces, often associated with various etiologies. Epithelioid sarcoma (ES) is a rare and aggressive soft tissue sarcoma that has never been reported to be associated with DAH.</p><p><strong>Methods: </strong>We report a rare case of ES in a pediatric patient presenting with DAH and intracranial hemorrhagic lesions. Diagnostic evaluations included high-resolution chest CT (HRCT), bronchoscopy, brain MRI, lung biopsy, Positron emission tomography - computed tomography (PET-CT), and biopsy of a mass in the right thigh. Fluorescence in situ hybridization was performed to detect SMARCB1 (INI1) gene deletion.</p><p><strong>Results: </strong>A 13-year-old male presented with anemia and later developed hemoptysis with a decreased hemoglobin level. HRCT revealed bilateral ground-glass opacities consistent with DAH. Extensive autoimmune and infectious workups were all negative. Brain MRI demonstrated microhemorrhages. Despite corticosteroid therapy, the patient's condition worsened. PET-CT identified a hypermetabolic soft tissue mass in the right thigh, which on histopathological examination was confirmed as INI1-deficient ES. FISH analysis confirmed INI1 deletion.</p><p><strong>Conclusion: </strong>This case highlights the diagnostic challenges of INI1-deficient ES presenting with DAH and underscores the importance of considering malignancy in pediatric patients with atypical DAH. Multidisciplinary approaches, including advanced imaging and molecular diagnostics, are crucial for accurate diagnosis and management.</p>","PeriodicalId":19651,"journal":{"name":"Orphanet Journal of Rare Diseases","volume":"20 1","pages":"445"},"PeriodicalIF":3.5000,"publicationDate":"2025-08-19","publicationTypes":"Journal Article","fieldsOfStudy":null,"isOpenAccess":false,"openAccessPdf":"https://www.ncbi.nlm.nih.gov/pmc/articles/PMC12366077/pdf/","citationCount":"0","resultStr":null,"platform":"Semanticscholar","paperid":null,"PeriodicalName":"Orphanet Journal of Rare Diseases","FirstCategoryId":"3","ListUrlMain":"https://doi.org/10.1186/s13023-025-03956-1","RegionNum":2,"RegionCategory":"医学","ArticlePicture":[],"TitleCN":null,"AbstractTextCN":null,"PMCID":null,"EPubDate":"","PubModel":"","JCR":"Q2","JCRName":"GENETICS & HEREDITY","Score":null,"Total":0}
引用次数: 0

Abstract

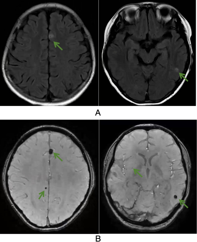
Background: Diffuse alveolar hemorrhage (DAH) is a group of rare but life-threatening conditions characterized by bleeding into the alveolar spaces, often associated with various etiologies. Epithelioid sarcoma (ES) is a rare and aggressive soft tissue sarcoma that has never been reported to be associated with DAH.

Methods: We report a rare case of ES in a pediatric patient presenting with DAH and intracranial hemorrhagic lesions. Diagnostic evaluations included high-resolution chest CT (HRCT), bronchoscopy, brain MRI, lung biopsy, Positron emission tomography - computed tomography (PET-CT), and biopsy of a mass in the right thigh. Fluorescence in situ hybridization was performed to detect SMARCB1 (INI1) gene deletion.

Results: A 13-year-old male presented with anemia and later developed hemoptysis with a decreased hemoglobin level. HRCT revealed bilateral ground-glass opacities consistent with DAH. Extensive autoimmune and infectious workups were all negative. Brain MRI demonstrated microhemorrhages. Despite corticosteroid therapy, the patient's condition worsened. PET-CT identified a hypermetabolic soft tissue mass in the right thigh, which on histopathological examination was confirmed as INI1-deficient ES. FISH analysis confirmed INI1 deletion.

Conclusion: This case highlights the diagnostic challenges of INI1-deficient ES presenting with DAH and underscores the importance of considering malignancy in pediatric patients with atypical DAH. Multidisciplinary approaches, including advanced imaging and molecular diagnostics, are crucial for accurate diagnosis and management.

Abstract Image

Abstract Image

Abstract Image

小儿弥漫性肺泡出血的罕见病因:ini1缺陷上皮样肉瘤的大腿定位。
背景:弥漫性肺泡出血(DAH)是一组罕见但危及生命的疾病,其特征是肺泡腔出血,通常与各种病因有关。上皮样肉瘤(ES)是一种罕见的侵袭性软组织肉瘤,从未报道与DAH相关。方法:我们报告一例罕见的ES患儿,其表现为DAH和颅内出血性病变。诊断评估包括高分辨率胸部CT (HRCT)、支气管镜检查、脑MRI、肺活检、正电子发射断层扫描-计算机断层扫描(PET-CT)和右大腿肿块活检。荧光原位杂交检测SMARCB1 (INI1)基因缺失。结果:一名13岁男性患者表现为贫血,后来发展为咯血,血红蛋白水平降低。HRCT显示双侧磨玻璃影与DAH一致。大量的自身免疫和感染检查都呈阴性脑MRI显示微出血。尽管接受了皮质类固醇治疗,病人的病情还是恶化了。PET-CT示右大腿处高代谢软组织肿块,经组织病理学检查证实为ini1缺陷ES。FISH分析证实INI1缺失。结论:该病例强调了ini1缺陷ES以DAH表现的诊断挑战,并强调了在非典型DAH儿童患者中考虑恶性肿瘤的重要性。包括先进成像和分子诊断在内的多学科方法对于准确诊断和管理至关重要。
本文章由计算机程序翻译,如有差异,请以英文原文为准。
求助全文
约1分钟内获得全文 求助全文
来源期刊
Orphanet Journal of Rare Diseases
Orphanet Journal of Rare Diseases 医学-医学:研究与实验
CiteScore
6.30
自引率
8.10%
发文量
418
审稿时长
4-8 weeks
期刊介绍: Orphanet Journal of Rare Diseases is an open access, peer-reviewed journal that encompasses all aspects of rare diseases and orphan drugs. The journal publishes high-quality reviews on specific rare diseases. In addition, the journal may consider articles on clinical trial outcome reports, either positive or negative, and articles on public health issues in the field of rare diseases and orphan drugs. The journal does not accept case reports.
×
引用
GB/T 7714-2015
复制
MLA
复制
APA
复制
导出至
BibTeX EndNote RefMan NoteFirst NoteExpress
×
提示
您的信息不完整,为了账户安全,请先补充。
现在去补充
×
提示
您因"违规操作"
具体请查看互助需知
我知道了
×
提示
确定
请完成安全验证×
copy
已复制链接
快去分享给好友吧!
我知道了
右上角分享
点击右上角分享
0
联系我们:info@booksci.cn Book学术提供免费学术资源搜索服务,方便国内外学者检索中英文文献。致力于提供最便捷和优质的服务体验。 Copyright © 2023 布克学术 All rights reserved.
京ICP备2023020795号-1
ghs 京公网安备 11010802042870号
Book学术文献互助
Book学术文献互助群
群 号:604180095
Book学术官方微信