Identification of a novel SACS gene mutation leading to spastic ataxia Charlevoix-Saguenay type: a case report.

IF 0.8 Q3 MEDICINE, GENERAL & INTERNAL
Víctor Raggio, Andrea Rey, Camila Simoes, Florencia Birriel, Soledad Rodriguez, Kateryn Bentancor, Alejandra Tapié, Lucía Spangenberg
{"title":"Identification of a novel SACS gene mutation leading to spastic ataxia Charlevoix-Saguenay type: a case report.","authors":"Víctor Raggio, Andrea Rey, Camila Simoes, Florencia Birriel, Soledad Rodriguez, Kateryn Bentancor, Alejandra Tapié, Lucía Spangenberg","doi":"10.1186/s13256-025-05480-z","DOIUrl":null,"url":null,"abstract":"<p><strong>Background: </strong>Spastic ataxia Charlevoix-Saguenay is a rare autosomal recessive neurodegenerative disorder characterized by a combination of spasticity, ataxia, and peripheral neuropathy. Although predominantly affecting individuals of French-Canadian descent, the geographic distribution of spastic ataxia Charlevoix-Saguenay-associated cases is expanding.</p><p><strong>Case presentation: </strong>This study presents the case of a 3-year-old Uruguayan girl with suspected autosomal recessive spastic ataxia of Charlevoix-Saguenay, demonstrating the disease's presence in previously unreported locations. Exome sequencing analysis revealed two compound heterozygous variants in the sacsin molecular chaperone gene, one of which was novel.</p><p><strong>Conclusion: </strong>This report highlights the genomic heterogeneity of spastic ataxia Charlevoix-Saguenay and emphasizes the importance of investigating the genetic landscape of the disease in diverse populations. Understanding the underlying genetic alterations and their geographic distribution contributes to improved diagnosis, management, and potentially targeted therapies for individuals affected by spastic ataxia Charlevoix-Saguenay worldwide.</p>","PeriodicalId":16236,"journal":{"name":"Journal of Medical Case Reports","volume":"19 1","pages":"412"},"PeriodicalIF":0.8000,"publicationDate":"2025-08-19","publicationTypes":"Journal Article","fieldsOfStudy":null,"isOpenAccess":false,"openAccessPdf":"https://www.ncbi.nlm.nih.gov/pmc/articles/PMC12363115/pdf/","citationCount":"0","resultStr":null,"platform":"Semanticscholar","paperid":null,"PeriodicalName":"Journal of Medical Case Reports","FirstCategoryId":"1085","ListUrlMain":"https://doi.org/10.1186/s13256-025-05480-z","RegionNum":0,"RegionCategory":null,"ArticlePicture":[],"TitleCN":null,"AbstractTextCN":null,"PMCID":null,"EPubDate":"","PubModel":"","JCR":"Q3","JCRName":"MEDICINE, GENERAL & INTERNAL","Score":null,"Total":0}
引用次数: 0

Abstract

Background: Spastic ataxia Charlevoix-Saguenay is a rare autosomal recessive neurodegenerative disorder characterized by a combination of spasticity, ataxia, and peripheral neuropathy. Although predominantly affecting individuals of French-Canadian descent, the geographic distribution of spastic ataxia Charlevoix-Saguenay-associated cases is expanding.

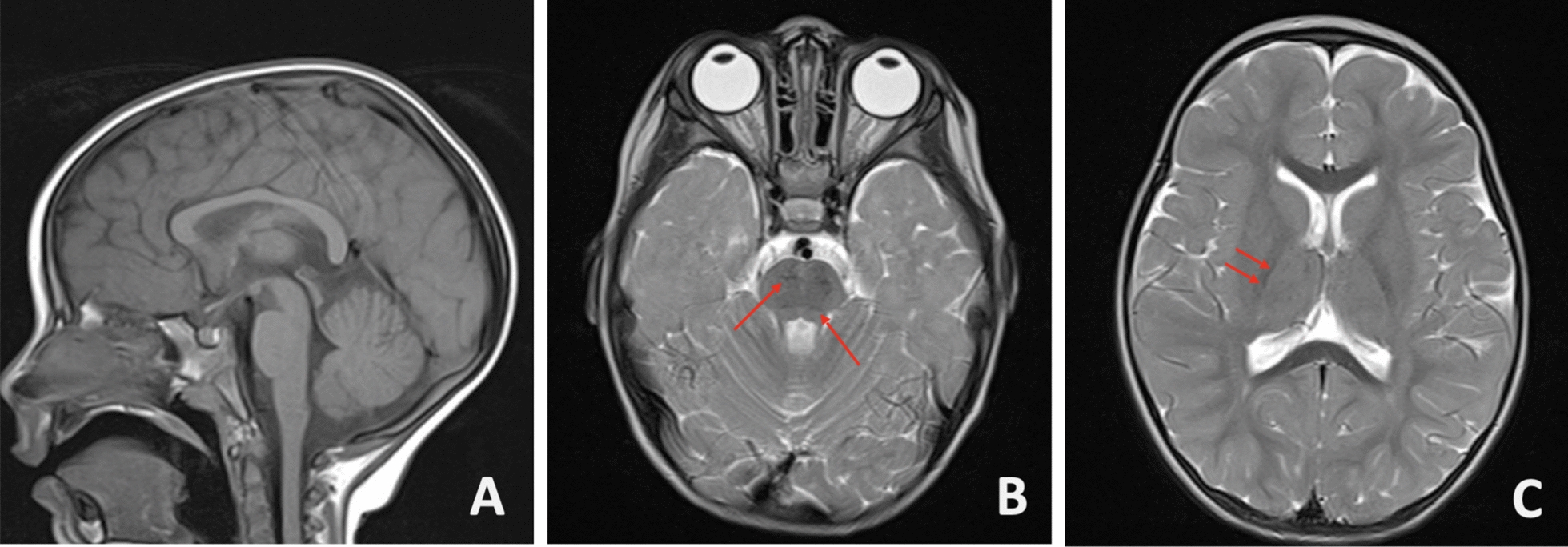
Case presentation: This study presents the case of a 3-year-old Uruguayan girl with suspected autosomal recessive spastic ataxia of Charlevoix-Saguenay, demonstrating the disease's presence in previously unreported locations. Exome sequencing analysis revealed two compound heterozygous variants in the sacsin molecular chaperone gene, one of which was novel.

Conclusion: This report highlights the genomic heterogeneity of spastic ataxia Charlevoix-Saguenay and emphasizes the importance of investigating the genetic landscape of the disease in diverse populations. Understanding the underlying genetic alterations and their geographic distribution contributes to improved diagnosis, management, and potentially targeted therapies for individuals affected by spastic ataxia Charlevoix-Saguenay worldwide.

Abstract Image

Abstract Image

一种新的SACS基因突变导致痉挛性共济失调Charlevoix-Saguenay型:1例报告。
背景:痉挛性共济失调是一种罕见的常染色体隐性神经退行性疾病,其特征是痉挛、共济失调和周围神经病变的结合。虽然主要影响个体的法裔加拿大人后裔,痉挛性共济失调沙勒瓦-萨格奈相关病例的地理分布正在扩大。病例介绍:本研究报告了一名3岁乌拉圭女孩疑似常染色体隐性痉挛性共济失调的病例,证明该疾病存在于以前未报道的位置。外显子组测序分析显示,在sacsin分子伴侣基因中存在两个复合杂合变异,其中一个是新发现的。结论:本报告强调了痉挛性共济失调的基因组异质性,并强调了在不同人群中调查该疾病遗传景观的重要性。了解潜在的遗传改变及其地理分布有助于改善全球范围内痉挛性共济失调患者的诊断、管理和潜在的靶向治疗。
本文章由计算机程序翻译,如有差异,请以英文原文为准。
求助全文
约1分钟内获得全文 求助全文
来源期刊
Journal of Medical Case Reports
Journal of Medical Case Reports Medicine-Medicine (all)
CiteScore
1.50
自引率
0.00%
发文量
436
期刊介绍: JMCR is an open access, peer-reviewed online journal that will consider any original case report that expands the field of general medical knowledge. Reports should show one of the following: 1. Unreported or unusual side effects or adverse interactions involving medications 2. Unexpected or unusual presentations of a disease 3. New associations or variations in disease processes 4. Presentations, diagnoses and/or management of new and emerging diseases 5. An unexpected association between diseases or symptoms 6. An unexpected event in the course of observing or treating a patient 7. Findings that shed new light on the possible pathogenesis of a disease or an adverse effect
×
引用
GB/T 7714-2015
复制
MLA
复制
APA
复制
导出至
BibTeX EndNote RefMan NoteFirst NoteExpress
×
提示
您的信息不完整,为了账户安全,请先补充。
现在去补充
×
提示
您因"违规操作"
具体请查看互助需知
我知道了
×
提示
确定
请完成安全验证×
copy
已复制链接
快去分享给好友吧!
我知道了
右上角分享
点击右上角分享
0
联系我们:info@booksci.cn Book学术提供免费学术资源搜索服务,方便国内外学者检索中英文文献。致力于提供最便捷和优质的服务体验。 Copyright © 2023 布克学术 All rights reserved.
京ICP备2023020795号-1
ghs 京公网安备 11010802042870号
Book学术文献互助
Book学术文献互助群
群 号:604180095
Book学术官方微信