Ovarian hemangioma: A rare case report.

IF 1.5 4区 医学 Q4 MEDICINE, RESEARCH & EXPERIMENTAL
Journal of International Medical Research Pub Date : 2025-08-01 Epub Date: 2025-08-19 DOI:10.1177/03000605251366972
Min Guo, Sai-Tian Zeng, Xu-Ni Wu, Yin Wang, Cui-Fen Li
{"title":"Ovarian hemangioma: A rare case report.","authors":"Min Guo, Sai-Tian Zeng, Xu-Ni Wu, Yin Wang, Cui-Fen Li","doi":"10.1177/03000605251366972","DOIUrl":null,"url":null,"abstract":"<p><p>Ovarian hemangioma is an extremely rare benign tumor in clinical practice. We report the case of a postmenopausal woman presenting with vaginal bleeding, in whom imaging revealed a right adnexal mass. Surgical excision of the adnexa was performed, and pathological examination confirmed a right ovarian hemangioma. Concurrent findings included endometrial polyps and cervical polyps.</p>","PeriodicalId":16129,"journal":{"name":"Journal of International Medical Research","volume":"53 8","pages":"3000605251366972"},"PeriodicalIF":1.5000,"publicationDate":"2025-08-01","publicationTypes":"Journal Article","fieldsOfStudy":null,"isOpenAccess":false,"openAccessPdf":"https://www.ncbi.nlm.nih.gov/pmc/articles/PMC12365446/pdf/","citationCount":"0","resultStr":null,"platform":"Semanticscholar","paperid":null,"PeriodicalName":"Journal of International Medical Research","FirstCategoryId":"3","ListUrlMain":"https://doi.org/10.1177/03000605251366972","RegionNum":4,"RegionCategory":"医学","ArticlePicture":[],"TitleCN":null,"AbstractTextCN":null,"PMCID":null,"EPubDate":"2025/8/19 0:00:00","PubModel":"Epub","JCR":"Q4","JCRName":"MEDICINE, RESEARCH & EXPERIMENTAL","Score":null,"Total":0}
引用次数: 0

Abstract

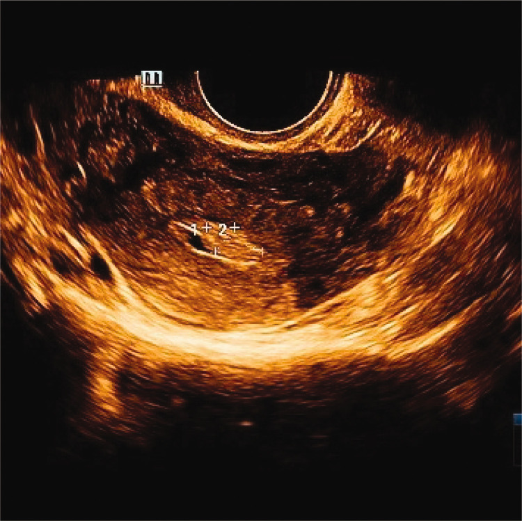
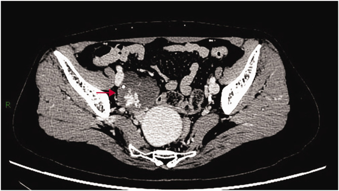
Ovarian hemangioma is an extremely rare benign tumor in clinical practice. We report the case of a postmenopausal woman presenting with vaginal bleeding, in whom imaging revealed a right adnexal mass. Surgical excision of the adnexa was performed, and pathological examination confirmed a right ovarian hemangioma. Concurrent findings included endometrial polyps and cervical polyps.

Abstract Image

Abstract Image

Abstract Image

卵巢血管瘤1例报道。
卵巢血管瘤是临床上极为罕见的一种良性肿瘤。我们报告的情况下,绝经后的妇女提出阴道出血,其中成像显示了一个右附件肿块。手术切除附件,病理检查证实为右卵巢血管瘤。同时的发现包括子宫内膜息肉和宫颈息肉。
本文章由计算机程序翻译,如有差异,请以英文原文为准。
求助全文
约1分钟内获得全文 求助全文
来源期刊
CiteScore
3.20
自引率
0.00%
发文量
555
审稿时长
1 months
期刊介绍: _Journal of International Medical Research_ is a leading international journal for rapid publication of original medical, pre-clinical and clinical research, reviews, preliminary and pilot studies on a page charge basis. As a service to authors, every article accepted by peer review will be given a full technical edit to make papers as accessible and readable to the international medical community as rapidly as possible. Once the technical edit queries have been answered to the satisfaction of the journal, the paper will be published and made available freely to everyone under a creative commons licence. Symposium proceedings, summaries of presentations or collections of medical, pre-clinical or clinical data on a specific topic are welcome for publication as supplements. Print ISSN: 0300-0605
×
引用
GB/T 7714-2015
复制
MLA
复制
APA
复制
导出至
BibTeX EndNote RefMan NoteFirst NoteExpress
×
提示
您的信息不完整,为了账户安全,请先补充。
现在去补充
×
提示
您因"违规操作"
具体请查看互助需知
我知道了
×
提示
确定
请完成安全验证×
copy
已复制链接
快去分享给好友吧!
我知道了
右上角分享
点击右上角分享
0
联系我们:info@booksci.cn Book学术提供免费学术资源搜索服务,方便国内外学者检索中英文文献。致力于提供最便捷和优质的服务体验。 Copyright © 2023 布克学术 All rights reserved.
京ICP备2023020795号-1
ghs 京公网安备 11010802042870号
Book学术文献互助
Book学术文献互助群
群 号:604180095
Book学术官方微信