Gastrointestinal Tuberculosis Presenting as a Massive Lower Gastrointestinal Bleed in a Patient With Newly Diagnosed HIV/AIDS.

IF 0.5 Q4 GASTROENTEROLOGY & HEPATOLOGY
ACG Case Reports Journal Pub Date : 2025-08-18 eCollection Date: 2025-08-01 DOI:10.14309/crj.0000000000001808
Kevan Josloff, Kathleen Spritzer, Anna Chen, Leo Katz
{"title":"Gastrointestinal Tuberculosis Presenting as a Massive Lower Gastrointestinal Bleed in a Patient With Newly Diagnosed HIV/AIDS.","authors":"Kevan Josloff, Kathleen Spritzer, Anna Chen, Leo Katz","doi":"10.14309/crj.0000000000001808","DOIUrl":null,"url":null,"abstract":"<p><p>Gastrointestinal tuberculosis (GI TB) is an uncommon sequela of extrapulmonary TB, occurring in 1%-3% of TB cases worldwide. In the United States, many cases are seen in migrant populations or in immunocompromised individuals. The classic presentation of GI TB is nonspecific abdominal pain, and is not typically associated with significant, life-threatening bleeding. We present a case of GI TB complicated by severe lower GI bleed requiring vasopressor support in a newly emigrated patient with previously undiagnosed HIV/AIDS.</p>","PeriodicalId":7394,"journal":{"name":"ACG Case Reports Journal","volume":"12 8","pages":"e01808"},"PeriodicalIF":0.5000,"publicationDate":"2025-08-18","publicationTypes":"Journal Article","fieldsOfStudy":null,"isOpenAccess":false,"openAccessPdf":"https://www.ncbi.nlm.nih.gov/pmc/articles/PMC12360450/pdf/","citationCount":"0","resultStr":null,"platform":"Semanticscholar","paperid":null,"PeriodicalName":"ACG Case Reports Journal","FirstCategoryId":"1085","ListUrlMain":"https://doi.org/10.14309/crj.0000000000001808","RegionNum":0,"RegionCategory":null,"ArticlePicture":[],"TitleCN":null,"AbstractTextCN":null,"PMCID":null,"EPubDate":"2025/8/1 0:00:00","PubModel":"eCollection","JCR":"Q4","JCRName":"GASTROENTEROLOGY & HEPATOLOGY","Score":null,"Total":0}
引用次数: 0

Abstract

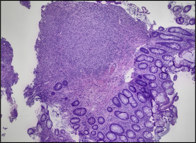
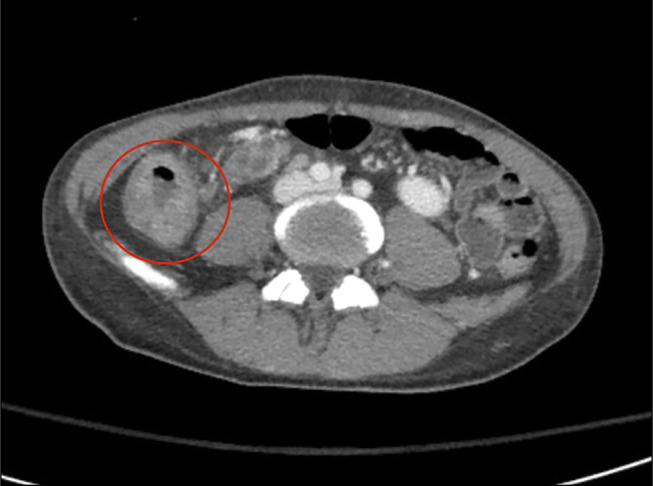
Gastrointestinal tuberculosis (GI TB) is an uncommon sequela of extrapulmonary TB, occurring in 1%-3% of TB cases worldwide. In the United States, many cases are seen in migrant populations or in immunocompromised individuals. The classic presentation of GI TB is nonspecific abdominal pain, and is not typically associated with significant, life-threatening bleeding. We present a case of GI TB complicated by severe lower GI bleed requiring vasopressor support in a newly emigrated patient with previously undiagnosed HIV/AIDS.

Abstract Image

Abstract Image

Abstract Image

胃肠道结核在新诊断的HIV/AIDS患者中表现为大量下消化道出血。
胃肠道结核(GI TB)是肺外结核的一种罕见的后遗症,发生在全世界结核病例的1%-3%。在美国,许多病例见于移民人群或免疫功能低下的个体。胃肠道结核的典型表现是非特异性腹痛,通常不伴有严重的危及生命的出血。我们报告一例消化道结核合并严重的下消化道出血,需要血管加压剂支持的新移民患者先前未确诊的艾滋病毒/艾滋病。
本文章由计算机程序翻译,如有差异,请以英文原文为准。
求助全文
约1分钟内获得全文 求助全文
来源期刊
ACG Case Reports Journal
ACG Case Reports Journal GASTROENTEROLOGY & HEPATOLOGY-
自引率
14.30%
发文量
170
审稿时长
12 weeks
期刊介绍: ACG Case Reports Journal is a peer-reviewed, open-access publication that provides GI and hepatology fellows, private practice clinicians, and other healthcare providers an opportunity to share interesting case reports with their peers and with leaders in the field. ACG Case Reports Journal publishes case reports, images, videos and letters to the editor in all topics of gastroenterology and hepatology, including: Biliary Colon Endoscopy Esophagus Functional Bowel Disorders Inflammatory Bowel Disease Liver Nutrition and Obesity Pancreas Pathology Pediatric Small Bowel Stomach.
×
引用
GB/T 7714-2015
复制
MLA
复制
APA
复制
导出至
BibTeX EndNote RefMan NoteFirst NoteExpress
×
提示
您的信息不完整,为了账户安全,请先补充。
现在去补充
×
提示
您因"违规操作"
具体请查看互助需知
我知道了
×
提示
确定
请完成安全验证×
copy
已复制链接
快去分享给好友吧!
我知道了
右上角分享
点击右上角分享
0
联系我们:info@booksci.cn Book学术提供免费学术资源搜索服务,方便国内外学者检索中英文文献。致力于提供最便捷和优质的服务体验。 Copyright © 2023 布克学术 All rights reserved.
京ICP备2023020795号-1
ghs 京公网安备 11010802042870号
Book学术文献互助
Book学术文献互助群
群 号:604180095
Book学术官方微信