Inferior vena cava division with venous-venous bypass during en bloc lumbar spondylectomy for malignant peripheral nerve sheath tumor: illustrative case.

Yang Xia, Shreyas Thiruvengadam, Boyuan Khoo, Mark Lam, Joe Hockley, Shirley Jansen
{"title":"Inferior vena cava division with venous-venous bypass during en bloc lumbar spondylectomy for malignant peripheral nerve sheath tumor: illustrative case.","authors":"Yang Xia, Shreyas Thiruvengadam, Boyuan Khoo, Mark Lam, Joe Hockley, Shirley Jansen","doi":"10.3171/CASE25151","DOIUrl":null,"url":null,"abstract":"<p><strong>Background: </strong>Malignant peripheral nerve sheath tumors are a rare, aggressive form of soft tissue sarcoma with a dismal prognosis. Little progression has been made in understanding their pathogenesis, natural history, clinical management, and outcomes over the last few decades. The cornerstone of treatment is cytoreduction in the form of surgery. However, when in the lumbar region, the inferior vena cava poses a limitation for executing anterior approaches. Although performed in other operations, elective caval division for access purposes has not been described as an approach to anterior column resection in spinal operations.</p><p><strong>Observations: </strong>The authors present the first documented case of planned division and mobilization of the vena cava supported by venous-venous bypass in order to achieve gross-total resection of a lower lumbar malignant peripheral nerve sheathe tumor as part of a two-stage procedure.</p><p><strong>Lessons: </strong>Inferior vena cava division and reanastomosis is a novel technique that can be used to widen surgical corridors in anterior approaches to the lumbar spine, and one that proves useful in en bloc resections. Venous-venous bypass can minimize impact on right heart filling during prolonged surgery. https://thejns.org/doi/10.3171/CASE25151.</p>","PeriodicalId":94098,"journal":{"name":"Journal of neurosurgery. Case lessons","volume":"10 7","pages":""},"PeriodicalIF":0.0000,"publicationDate":"2025-08-18","publicationTypes":"Journal Article","fieldsOfStudy":null,"isOpenAccess":false,"openAccessPdf":"https://www.ncbi.nlm.nih.gov/pmc/articles/PMC12362189/pdf/","citationCount":"0","resultStr":null,"platform":"Semanticscholar","paperid":null,"PeriodicalName":"Journal of neurosurgery. Case lessons","FirstCategoryId":"1085","ListUrlMain":"https://doi.org/10.3171/CASE25151","RegionNum":0,"RegionCategory":null,"ArticlePicture":[],"TitleCN":null,"AbstractTextCN":null,"PMCID":null,"EPubDate":"","PubModel":"","JCR":"","JCRName":"","Score":null,"Total":0}
引用次数: 0

Abstract

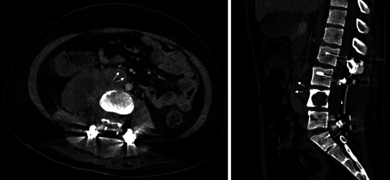
Background: Malignant peripheral nerve sheath tumors are a rare, aggressive form of soft tissue sarcoma with a dismal prognosis. Little progression has been made in understanding their pathogenesis, natural history, clinical management, and outcomes over the last few decades. The cornerstone of treatment is cytoreduction in the form of surgery. However, when in the lumbar region, the inferior vena cava poses a limitation for executing anterior approaches. Although performed in other operations, elective caval division for access purposes has not been described as an approach to anterior column resection in spinal operations.

Observations: The authors present the first documented case of planned division and mobilization of the vena cava supported by venous-venous bypass in order to achieve gross-total resection of a lower lumbar malignant peripheral nerve sheathe tumor as part of a two-stage procedure.

Lessons: Inferior vena cava division and reanastomosis is a novel technique that can be used to widen surgical corridors in anterior approaches to the lumbar spine, and one that proves useful in en bloc resections. Venous-venous bypass can minimize impact on right heart filling during prolonged surgery. https://thejns.org/doi/10.3171/CASE25151.

Abstract Image

Abstract Image

Abstract Image

恶性周围神经鞘肿瘤腰椎切除术中下腔静脉分流静脉-静脉旁路术:说明性病例。
背景:恶性周围神经鞘肿瘤是一种罕见的、侵袭性的软组织肉瘤,预后差。在过去的几十年里,对其发病机制、自然史、临床管理和结果的了解进展甚微。治疗的基石是手术形式的细胞减少。然而,在腰椎区域,下腔静脉会限制前路入路的实施。尽管在其他手术中也进行了选择性腔静脉切开手术,但为进入目的而进行的选择性腔静脉切开手术尚未被描述为脊柱手术中前柱切除术的一种入路。观察:作者提出了第一个有文献记载的病例,通过静脉-静脉旁路术支持腔静脉的计划分裂和动员,以实现下腰椎恶性周围神经鞘肿瘤的总切除,作为两阶段手术的一部分。经验:下腔静脉分离和再吻合是一种新技术,可用于拓宽腰椎前路手术通道,并且在整体切除中被证明是有用的。在长时间的手术中,静脉-静脉搭桥可以最大限度地减少对右心充盈的影响。https://thejns.org/doi/10.3171/CASE25151。
本文章由计算机程序翻译,如有差异,请以英文原文为准。
求助全文
约1分钟内获得全文 求助全文
来源期刊
CiteScore
0.40
自引率
0.00%
发文量
0
×
引用
GB/T 7714-2015
复制
MLA
复制
APA
复制
导出至
BibTeX EndNote RefMan NoteFirst NoteExpress
×
提示
您的信息不完整,为了账户安全,请先补充。
现在去补充
×
提示
您因"违规操作"
具体请查看互助需知
我知道了
×
提示
确定
请完成安全验证×
copy
已复制链接
快去分享给好友吧!
我知道了
右上角分享
点击右上角分享
0
联系我们:info@booksci.cn Book学术提供免费学术资源搜索服务,方便国内外学者检索中英文文献。致力于提供最便捷和优质的服务体验。 Copyright © 2023 布克学术 All rights reserved.
京ICP备2023020795号-1
ghs 京公网安备 11010802042870号
Book学术文献互助
Book学术文献互助群
群 号:604180095
Book学术官方微信