Management of Ureteric Small Bowel Fistula: A Case Report and Review of the Current Literature.

Case Reports in Urology Pub Date : 2025-08-08 eCollection Date: 2025-01-01 DOI:10.1155/criu/7232300
Panagiota Fallon, Melissa Matthews, Abhisekh Chatterjee, Dimitrios Sapountzis, Nikolaos Chatzikrachtis, Katie McComb, Samuel Bishara, Ivo Donkov, Konstantinos Charitopoulos, Panagiotis Nikolinakos
{"title":"Management of Ureteric Small Bowel Fistula: A Case Report and Review of the Current Literature.","authors":"Panagiota Fallon, Melissa Matthews, Abhisekh Chatterjee, Dimitrios Sapountzis, Nikolaos Chatzikrachtis, Katie McComb, Samuel Bishara, Ivo Donkov, Konstantinos Charitopoulos, Panagiotis Nikolinakos","doi":"10.1155/criu/7232300","DOIUrl":null,"url":null,"abstract":"<p><p><b>Background:</b> Ureteric small bowel fistulas are rare entities, with limited reports in the literature. These pathological connections between the ureter and small bowel can lead to recurrent upper urinary tract infections and pose significant diagnostic and therapeutic challenges. The primary cause of ureteric small bowel fistula formation is iatrogenic intervention, such as percutaneous nephrolithotomy (PCNL) or abdominal surgery involving tissue resection. However, they can also arise spontaneously due to local chronic inflammation and infection. Given their rarity, there is no standardised management pathway, and the treatment approach should be individualised. <b>Case Presentation:</b> We present the case of a 57-year-old man presenting with a history of extensive locally advanced distal sigmoid carcinoma, managed with Hartmann's procedure with end colostomy followed by adjuvant radiotherapy and chemotherapy. He later developed a mid-ureteric small bowel fistula, presenting with urosepsis, a high-output stoma, deteriorating renal function and severe metabolic acidosis. Conservative management with regular ureteric stent exchanges every 3-4 months has successfully preserved renal function and improved his quality of life. Surgical closure was not pursued due to high operative risk, and repeat imaging has shown no evidence of persisting fistula, suggesting possible spontaneous closure. <b>Conclusion:</b> The treatment options for this ureteric small bowel fistula were limited. A lifelong nephrostomy was deemed unsuitable due to incompatibility with the patient's profession, and surgical intervention was associated with significant complexity due to the patient's history of malignancy and radiotherapy-related tissue changes. Therefore, a conservative strategy involving serial ureteric stent exchanges was pursued. Early recognition and individualised treatment of ureteric-enteric fistulas are essential, as timely intervention can significantly enhance prognosis and quality of life.</p>","PeriodicalId":30323,"journal":{"name":"Case Reports in Urology","volume":"2025 ","pages":"7232300"},"PeriodicalIF":0.0000,"publicationDate":"2025-08-08","publicationTypes":"Journal Article","fieldsOfStudy":null,"isOpenAccess":false,"openAccessPdf":"https://www.ncbi.nlm.nih.gov/pmc/articles/PMC12356682/pdf/","citationCount":"0","resultStr":null,"platform":"Semanticscholar","paperid":null,"PeriodicalName":"Case Reports in Urology","FirstCategoryId":"1085","ListUrlMain":"https://doi.org/10.1155/criu/7232300","RegionNum":0,"RegionCategory":null,"ArticlePicture":[],"TitleCN":null,"AbstractTextCN":null,"PMCID":null,"EPubDate":"2025/1/1 0:00:00","PubModel":"eCollection","JCR":"","JCRName":"","Score":null,"Total":0}
引用次数: 0

Abstract

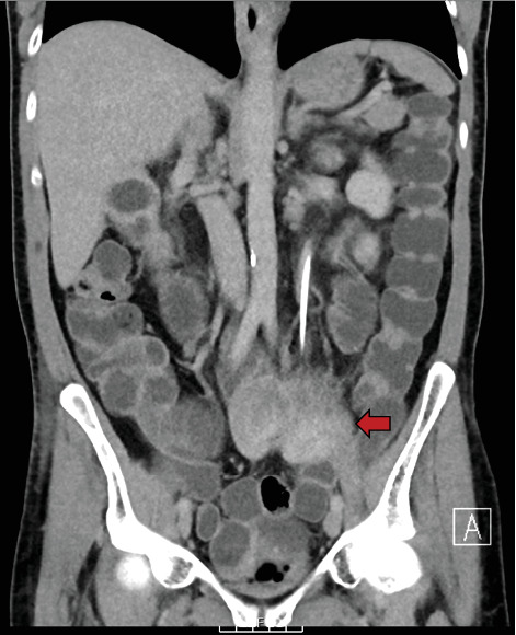
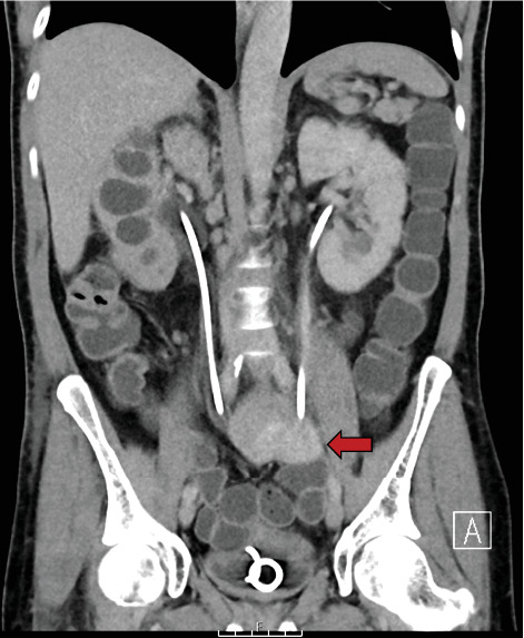
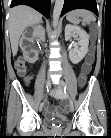
Background: Ureteric small bowel fistulas are rare entities, with limited reports in the literature. These pathological connections between the ureter and small bowel can lead to recurrent upper urinary tract infections and pose significant diagnostic and therapeutic challenges. The primary cause of ureteric small bowel fistula formation is iatrogenic intervention, such as percutaneous nephrolithotomy (PCNL) or abdominal surgery involving tissue resection. However, they can also arise spontaneously due to local chronic inflammation and infection. Given their rarity, there is no standardised management pathway, and the treatment approach should be individualised. Case Presentation: We present the case of a 57-year-old man presenting with a history of extensive locally advanced distal sigmoid carcinoma, managed with Hartmann's procedure with end colostomy followed by adjuvant radiotherapy and chemotherapy. He later developed a mid-ureteric small bowel fistula, presenting with urosepsis, a high-output stoma, deteriorating renal function and severe metabolic acidosis. Conservative management with regular ureteric stent exchanges every 3-4 months has successfully preserved renal function and improved his quality of life. Surgical closure was not pursued due to high operative risk, and repeat imaging has shown no evidence of persisting fistula, suggesting possible spontaneous closure. Conclusion: The treatment options for this ureteric small bowel fistula were limited. A lifelong nephrostomy was deemed unsuitable due to incompatibility with the patient's profession, and surgical intervention was associated with significant complexity due to the patient's history of malignancy and radiotherapy-related tissue changes. Therefore, a conservative strategy involving serial ureteric stent exchanges was pursued. Early recognition and individualised treatment of ureteric-enteric fistulas are essential, as timely intervention can significantly enhance prognosis and quality of life.

Abstract Image

Abstract Image

Abstract Image

输尿管小肠瘘的治疗:1例报告及文献复习。
背景:输尿管小肠管是一种罕见的疾病,文献报道有限。输尿管和小肠之间的这些病理连接可导致复发性上尿路感染,并对诊断和治疗构成重大挑战。输尿管小肠管形成的主要原因是医源性干预,如经皮肾镜取石术(PCNL)或涉及组织切除的腹部手术。然而,它们也可能由于局部慢性炎症和感染而自发产生。鉴于其罕见性,目前尚无标准化的管理途径,治疗方法应因地制宜。病例介绍:我们报告了一个57岁的男性病例,他有广泛的局部晚期乙状结肠远端癌的病史,用Hartmann的手术和末端结肠造口术后进行辅助放疗和化疗。他后来发展为输尿管中段小肠瘘,表现为尿脓毒症、高输出口、肾功能恶化和严重的代谢性酸中毒。每3-4个月定期更换输尿管支架的保守治疗成功地保留了肾功能并改善了他的生活质量。由于手术风险高,没有进行手术关闭,重复成像显示没有持续瘘管的证据,提示可能是自发关闭。结论:输尿管小肠瘘的治疗方法有限。由于与患者的职业不相容,终身肾造口术被认为是不合适的,并且由于患者的恶性肿瘤病史和放疗相关的组织改变,手术干预具有显著的复杂性。因此,保守策略包括输尿管支架置换。输尿管-肠瘘的早期识别和个体化治疗至关重要,及时干预可显著改善预后和生活质量。
本文章由计算机程序翻译,如有差异,请以英文原文为准。
求助全文
约1分钟内获得全文 求助全文
来源期刊
自引率
0.00%
发文量
28
审稿时长
13 weeks
×
引用
GB/T 7714-2015
复制
MLA
复制
APA
复制
导出至
BibTeX EndNote RefMan NoteFirst NoteExpress
×
提示
您的信息不完整,为了账户安全,请先补充。
现在去补充
×
提示
您因"违规操作"
具体请查看互助需知
我知道了
×
提示
确定
请完成安全验证×
copy
已复制链接
快去分享给好友吧!
我知道了
右上角分享
点击右上角分享
0
联系我们:info@booksci.cn Book学术提供免费学术资源搜索服务,方便国内外学者检索中英文文献。致力于提供最便捷和优质的服务体验。 Copyright © 2023 布克学术 All rights reserved.
京ICP备2023020795号-1
ghs 京公网安备 11010802042870号
Book学术文献互助
Book学术文献互助群
群 号:604180095
Book学术官方微信