Asymptomatic Splenic Infarction Following Total Gastrectomy: A Case Report.

IF 0.7 Q4 SURGERY
Surgical Case Reports Pub Date : 2025-01-01 Epub Date: 2025-08-14 DOI:10.70352/scrj.cr.25-0148
Atsuhito Takagi, Takashi Maeda, Satoshi Kobayashi, Atsushi Sekimura, Takehiro Takagi, Takuya Mishina, Yuya Hibino
{"title":"Asymptomatic Splenic Infarction Following Total Gastrectomy: A Case Report.","authors":"Atsuhito Takagi, Takashi Maeda, Satoshi Kobayashi, Atsushi Sekimura, Takehiro Takagi, Takuya Mishina, Yuya Hibino","doi":"10.70352/scrj.cr.25-0148","DOIUrl":null,"url":null,"abstract":"<p><strong>Introduction: </strong>Splenic infarction is a disease that develops as a result of a thrombotic predisposition. Most areas of malperfusion are usually small and unnoticeable. However, when massive infarction occurs, it is often diagnosed after the onset of clinical symptoms, such as abdominal pain or fever. In contrast, asymptomatic postoperative extensive splenic infarction is occasionally observed. Although conservative management is generally the first-line treatment for splenic infarction, surgical intervention is indicated in cases complicated by splenic abscess or rupture. Some reports suggest that extensive splenic infarction may result in atrophy or complete loss of the spleen over time.</p><p><strong>Case presentation: </strong>A 65-year-old woman presented with chronic epigastric pain and was diagnosed with gastric cancer through upper gastrointestinal endoscopy. The endoscopy revealed an ulcerated mass at the lesser curvature of the middle gastric body, and a biopsy confirmed a moderately differentiated adenocarcinoma. A laparoscopic distal gastrectomy was initially planned. However, the surgical approach was converted to an open total gastrectomy because of the spread of the tumor to the greater curvature of the gastric body and enlargement of the distal lymph nodes of the splenic artery, which were not included in the planned lymphadenectomy. Postoperatively, the patient experienced no abdominal pain or fever. However, on POD 7, blood tests revealed elevated hepatobiliary enzymes, and a contrast-enhanced CT (CECT) scan showed a loss of flow in the splenic artery and vein, leading to a diagnosis of extensive splenic infarction. A follow-up CECT scan 3 months later revealed a notable reduction of the splenic parenchyma over time.</p><p><strong>Conclusions: </strong>This is a rare case of asymptomatic, extensive splenic infarction incidentally diagnosed following total gastrectomy and successfully treated with conservative management.</p>","PeriodicalId":22096,"journal":{"name":"Surgical Case Reports","volume":"11 1","pages":""},"PeriodicalIF":0.7000,"publicationDate":"2025-01-01","publicationTypes":"Journal Article","fieldsOfStudy":null,"isOpenAccess":false,"openAccessPdf":"https://www.ncbi.nlm.nih.gov/pmc/articles/PMC12352957/pdf/","citationCount":"0","resultStr":null,"platform":"Semanticscholar","paperid":null,"PeriodicalName":"Surgical Case Reports","FirstCategoryId":"1085","ListUrlMain":"https://doi.org/10.70352/scrj.cr.25-0148","RegionNum":0,"RegionCategory":null,"ArticlePicture":[],"TitleCN":null,"AbstractTextCN":null,"PMCID":null,"EPubDate":"2025/8/14 0:00:00","PubModel":"Epub","JCR":"Q4","JCRName":"SURGERY","Score":null,"Total":0}
引用次数: 0

Abstract

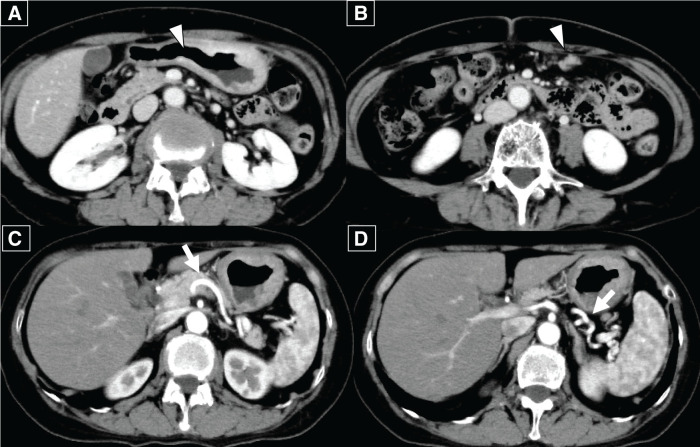
Introduction: Splenic infarction is a disease that develops as a result of a thrombotic predisposition. Most areas of malperfusion are usually small and unnoticeable. However, when massive infarction occurs, it is often diagnosed after the onset of clinical symptoms, such as abdominal pain or fever. In contrast, asymptomatic postoperative extensive splenic infarction is occasionally observed. Although conservative management is generally the first-line treatment for splenic infarction, surgical intervention is indicated in cases complicated by splenic abscess or rupture. Some reports suggest that extensive splenic infarction may result in atrophy or complete loss of the spleen over time.

Case presentation: A 65-year-old woman presented with chronic epigastric pain and was diagnosed with gastric cancer through upper gastrointestinal endoscopy. The endoscopy revealed an ulcerated mass at the lesser curvature of the middle gastric body, and a biopsy confirmed a moderately differentiated adenocarcinoma. A laparoscopic distal gastrectomy was initially planned. However, the surgical approach was converted to an open total gastrectomy because of the spread of the tumor to the greater curvature of the gastric body and enlargement of the distal lymph nodes of the splenic artery, which were not included in the planned lymphadenectomy. Postoperatively, the patient experienced no abdominal pain or fever. However, on POD 7, blood tests revealed elevated hepatobiliary enzymes, and a contrast-enhanced CT (CECT) scan showed a loss of flow in the splenic artery and vein, leading to a diagnosis of extensive splenic infarction. A follow-up CECT scan 3 months later revealed a notable reduction of the splenic parenchyma over time.

Conclusions: This is a rare case of asymptomatic, extensive splenic infarction incidentally diagnosed following total gastrectomy and successfully treated with conservative management.

Abstract Image

Abstract Image

Abstract Image

全胃切除术后无症状脾梗死1例报告。
简介:脾梗死是一种由于血栓易感性而发展的疾病。大多数灌注不良的区域通常很小,不易察觉。然而,当大面积梗死发生时,往往在出现腹痛或发热等临床症状后才被诊断出来。相反,术后无症状的大面积脾梗死偶有发生。虽然保守治疗通常是脾梗死的一线治疗,但合并脾脓肿或脾破裂的病例需要手术干预。一些报告表明,随着时间的推移,广泛的脾梗死可能导致脾萎缩或完全丧失。病例介绍:一名65岁女性,慢性胃脘痛,经上消化道内镜诊断为胃癌。内窥镜检查显示胃中小弯处有溃疡性肿块,活检证实为中分化腺癌。最初计划进行腹腔镜胃远端切除术。然而,由于肿瘤扩散到胃体的大弯曲和脾动脉远端淋巴结的扩大,手术入路被转换为开放式全胃切除术,这并不包括在计划的淋巴结切除术中。术后患者无腹痛、发热。然而,在POD 7中,血液检查显示肝胆酶升高,对比增强CT (CECT)扫描显示脾动脉和静脉血流减少,导致广泛脾梗死的诊断。3个月后的随访CECT扫描显示脾脏实质随着时间的推移明显减少。结论:这是一例在全胃切除术后偶然诊断的无症状、广泛的脾梗死,并经保守治疗成功的病例。
本文章由计算机程序翻译,如有差异,请以英文原文为准。
求助全文
约1分钟内获得全文 求助全文
来源期刊
自引率
0.00%
发文量
218
审稿时长
13 weeks
×
引用
GB/T 7714-2015
复制
MLA
复制
APA
复制
导出至
BibTeX EndNote RefMan NoteFirst NoteExpress
×
提示
您的信息不完整,为了账户安全,请先补充。
现在去补充
×
提示
您因"违规操作"
具体请查看互助需知
我知道了
×
提示
确定
请完成安全验证×
copy
已复制链接
快去分享给好友吧!
我知道了
右上角分享
点击右上角分享
0
联系我们:info@booksci.cn Book学术提供免费学术资源搜索服务,方便国内外学者检索中英文文献。致力于提供最便捷和优质的服务体验。 Copyright © 2023 布克学术 All rights reserved.
京ICP备2023020795号-1
ghs 京公网安备 11010802042870号
Book学术文献互助
Book学术文献互助群
群 号:604180095
Book学术官方微信