Mitochondrial neurogastrointestinal encephalomyopathy in china: a novel TYMP variant and comprehensive clinical-genetic insights.

IF 3.5 2区 医学 Q2 GENETICS & HEREDITY
Xuebi Xu, Junhui Xia, Fei Xu, Mingshan Wang, Lihong Yang, Xiaoli Chen
{"title":"Mitochondrial neurogastrointestinal encephalomyopathy in china: a novel TYMP variant and comprehensive clinical-genetic insights.","authors":"Xuebi Xu, Junhui Xia, Fei Xu, Mingshan Wang, Lihong Yang, Xiaoli Chen","doi":"10.1186/s13023-025-03962-3","DOIUrl":null,"url":null,"abstract":"<p><strong>Background: </strong>Mitochondrial neurogastrointestinal encephalopathy (MNGIE) is a rare autosomal recessive disorder caused by variants in the TYMP gene, which encodes thymidine phosphorylase (TP). It is characterized by multisystem involvement, with prominent gastrointestinal, neurological, and systemic manifestations that typically exhibit progressive worsening over time.</p><p><strong>Methods: </strong>We characterized a multigenerational MNGIE family through comprehensive proband analysis, identifying compound heterozygous TYMP variants (c.131G > C, p.Arg44Pro and c.1268T>G, p.Leu423Arg in trans) as the molecular basis of disease. Extended family testing for genetic counseling confirmed no secondary pathogenic variants. Muscle biopsies were analyzed using comprehensive staining techniques. Genomic analysis involved next-generation sequencing (NGS) of the proband's DNA and Sanger sequencing of family members' DNA to confirm variants. In silico analysis utilized bioinformatics tools and protein modeling to predict pathogenicity and assess structural impacts, with variant classification adhering to American College of Medical Genetics and Genomics(ACMG) guidelines. Additionally, a literature review of Chinese MNGIE cases was conducted to contextualize the findings.</p><p><strong>Results: </strong>The proband exhibited characteristic MNGIE features, including gastrointestinal dysmotility, diffuse leukoencephalopathy on brain MRI (magnetic resonance imaging), and electrophysiologically confirmed peripheral neuropathy. Muscle biopsy revealed ragged red fibers, cytochrome c oxidase-deficient fibers, and enhanced succinate dehydrogenase activity in blood vessels, consistent with mitochondrial dysfunction. Genetic analysis identified a novel TYMP variant (c.1268T > G, p.Leu423Arg) and a known variant (c.131G > C, p.Arg44Pro) in the proband, both classified as likely pathogenic according to ACMG guidelines. Molecular analysis of other 11 family members detected heterozygous carriers of either the c.1268T > G or c.131G > C variant in six asymptomatic individuals. In silico analysis confirmed that both variants are highly conserved and likely pathogenic. Protein modeling revealed that both variants compromise structural integrity and conformation, impairing TP function. Homozygous or compound heterozygous missense variants were identified as the predominant genetic alterations in 16 Chinese MNGIE cases, with gastrointestinal and neurological symptoms being the most common clinical manifestations.</p><p><strong>Conclusions: </strong>This study enriches the variant spectrum in Chinese patients, highlights the importance of early diagnosis prior to the onset of cachexia and irreversible tissue damage, and enhances the understanding of genetic heterogeneity.</p>","PeriodicalId":19651,"journal":{"name":"Orphanet Journal of Rare Diseases","volume":"20 1","pages":"439"},"PeriodicalIF":3.5000,"publicationDate":"2025-08-18","publicationTypes":"Journal Article","fieldsOfStudy":null,"isOpenAccess":false,"openAccessPdf":"https://www.ncbi.nlm.nih.gov/pmc/articles/PMC12363080/pdf/","citationCount":"0","resultStr":null,"platform":"Semanticscholar","paperid":null,"PeriodicalName":"Orphanet Journal of Rare Diseases","FirstCategoryId":"3","ListUrlMain":"https://doi.org/10.1186/s13023-025-03962-3","RegionNum":2,"RegionCategory":"医学","ArticlePicture":[],"TitleCN":null,"AbstractTextCN":null,"PMCID":null,"EPubDate":"","PubModel":"","JCR":"Q2","JCRName":"GENETICS & HEREDITY","Score":null,"Total":0}
引用次数: 0

Abstract

Background: Mitochondrial neurogastrointestinal encephalopathy (MNGIE) is a rare autosomal recessive disorder caused by variants in the TYMP gene, which encodes thymidine phosphorylase (TP). It is characterized by multisystem involvement, with prominent gastrointestinal, neurological, and systemic manifestations that typically exhibit progressive worsening over time.

Methods: We characterized a multigenerational MNGIE family through comprehensive proband analysis, identifying compound heterozygous TYMP variants (c.131G > C, p.Arg44Pro and c.1268T>G, p.Leu423Arg in trans) as the molecular basis of disease. Extended family testing for genetic counseling confirmed no secondary pathogenic variants. Muscle biopsies were analyzed using comprehensive staining techniques. Genomic analysis involved next-generation sequencing (NGS) of the proband's DNA and Sanger sequencing of family members' DNA to confirm variants. In silico analysis utilized bioinformatics tools and protein modeling to predict pathogenicity and assess structural impacts, with variant classification adhering to American College of Medical Genetics and Genomics(ACMG) guidelines. Additionally, a literature review of Chinese MNGIE cases was conducted to contextualize the findings.

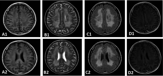
Results: The proband exhibited characteristic MNGIE features, including gastrointestinal dysmotility, diffuse leukoencephalopathy on brain MRI (magnetic resonance imaging), and electrophysiologically confirmed peripheral neuropathy. Muscle biopsy revealed ragged red fibers, cytochrome c oxidase-deficient fibers, and enhanced succinate dehydrogenase activity in blood vessels, consistent with mitochondrial dysfunction. Genetic analysis identified a novel TYMP variant (c.1268T > G, p.Leu423Arg) and a known variant (c.131G > C, p.Arg44Pro) in the proband, both classified as likely pathogenic according to ACMG guidelines. Molecular analysis of other 11 family members detected heterozygous carriers of either the c.1268T > G or c.131G > C variant in six asymptomatic individuals. In silico analysis confirmed that both variants are highly conserved and likely pathogenic. Protein modeling revealed that both variants compromise structural integrity and conformation, impairing TP function. Homozygous or compound heterozygous missense variants were identified as the predominant genetic alterations in 16 Chinese MNGIE cases, with gastrointestinal and neurological symptoms being the most common clinical manifestations.

Conclusions: This study enriches the variant spectrum in Chinese patients, highlights the importance of early diagnosis prior to the onset of cachexia and irreversible tissue damage, and enhances the understanding of genetic heterogeneity.

Abstract Image

Abstract Image

Abstract Image

中国线粒体神经胃肠道脑肌病:一种新的TYMP变异和全面的临床遗传学见解。
背景:线粒体神经胃肠道脑病(MNGIE)是一种罕见的常染色体隐性遗传病,由编码胸苷磷酸化酶(TP)的TYMP基因变异引起。它的特点是多系统受累,有突出的胃肠道、神经系统和全身表现,通常随着时间的推移表现出进行性恶化。方法:我们通过综合先证者分析对MNGIE多代家族进行了特征分析,确定了复合杂合TYMP变异体(C . 131g > C, p.Arg44Pro和C . 1268t >g, p.Leu423Arg in trans)作为疾病的分子基础。遗传咨询的大家庭检测证实没有继发性致病变异。肌肉活检采用综合染色技术进行分析。基因组分析包括先证者DNA的下一代测序(NGS)和家庭成员DNA的Sanger测序,以确认变异。计算机分析利用生物信息学工具和蛋白质建模来预测致病性和评估结构影响,变异分类遵循美国医学遗传学和基因组学学院(ACMG)指南。此外,我们还对中国的MNGIE病例进行了文献回顾,以确定研究结果的背景。结果:先证者表现出典型的MNGIE特征,包括胃肠道运动障碍、脑MRI(磁共振成像)上的弥漫性脑白质病和电生理证实的周围神经病变。肌肉活检显示红色纤维粗糙,细胞色素c氧化酶缺陷纤维,血管琥珀酸脱氢酶活性增强,与线粒体功能障碍一致。遗传分析在先证中发现了一种新的TYMP变体(C . 1268t > G, p.Leu423Arg)和一种已知变体(C . 131g > C, p.Arg44Pro),根据ACMG指南,两者都被归类为可能致病。对其他11个家族成员的分子分析在6个无症状个体中检测到C . 1268t > G或C . 131g > C变异的杂合携带者。计算机分析证实,这两种变异都高度保守,可能具有致病性。蛋白质模型显示,这两种变异损害了结构完整性和构象,损害了TP功能。16例中国MNGIE病例以纯合子或复合杂合子错义变异为主,以胃肠道和神经系统症状为最常见的临床表现。结论:本研究丰富了中国患者的变异谱,强调了在恶病质和不可逆组织损伤发病前进行早期诊断的重要性,增强了对遗传异质性的认识。
本文章由计算机程序翻译,如有差异,请以英文原文为准。
求助全文
约1分钟内获得全文 求助全文
来源期刊
Orphanet Journal of Rare Diseases
Orphanet Journal of Rare Diseases 医学-医学:研究与实验
CiteScore
6.30
自引率
8.10%
发文量
418
审稿时长
4-8 weeks
期刊介绍: Orphanet Journal of Rare Diseases is an open access, peer-reviewed journal that encompasses all aspects of rare diseases and orphan drugs. The journal publishes high-quality reviews on specific rare diseases. In addition, the journal may consider articles on clinical trial outcome reports, either positive or negative, and articles on public health issues in the field of rare diseases and orphan drugs. The journal does not accept case reports.
×
引用
GB/T 7714-2015
复制
MLA
复制
APA
复制
导出至
BibTeX EndNote RefMan NoteFirst NoteExpress
×
提示
您的信息不完整,为了账户安全,请先补充。
现在去补充
×
提示
您因"违规操作"
具体请查看互助需知
我知道了
×
提示
确定
请完成安全验证×
copy
已复制链接
快去分享给好友吧!
我知道了
右上角分享
点击右上角分享
0
联系我们:info@booksci.cn Book学术提供免费学术资源搜索服务,方便国内外学者检索中英文文献。致力于提供最便捷和优质的服务体验。 Copyright © 2023 布克学术 All rights reserved.
京ICP备2023020795号-1
ghs 京公网安备 11010802042870号
Book学术文献互助
Book学术文献互助群
群 号:604180095
Book学术官方微信