Standardized Infliximab Regimen to Treat Severe Central Nervous System Tuberculosis: A Case Series of 18 Patients.

IF 3.8 4区 医学 Q2 IMMUNOLOGY
Open Forum Infectious Diseases Pub Date : 2025-08-12 eCollection Date: 2025-08-01 DOI:10.1093/ofid/ofaf450
Johan Benhard, Gentiane Monsel, Vincent Dubée, Patricia Pavese, Vero Rasoldier, Valérie Garrait, Marie Talleux, Fanny Vuotto, Romain Gueneau, Xavier Pouget-Abadie, Michael Thy, Christia Palacios, Marwa Bachir, Felix Djossou, Simone Tunesi, Mathilde Fréchet Jachym, Valérie Pourcher, Nicolas Veziris, Anne Bourgarit
{"title":"Standardized Infliximab Regimen to Treat Severe Central Nervous System Tuberculosis: A Case Series of 18 Patients.","authors":"Johan Benhard, Gentiane Monsel, Vincent Dubée, Patricia Pavese, Vero Rasoldier, Valérie Garrait, Marie Talleux, Fanny Vuotto, Romain Gueneau, Xavier Pouget-Abadie, Michael Thy, Christia Palacios, Marwa Bachir, Felix Djossou, Simone Tunesi, Mathilde Fréchet Jachym, Valérie Pourcher, Nicolas Veziris, Anne Bourgarit","doi":"10.1093/ofid/ofaf450","DOIUrl":null,"url":null,"abstract":"<p><strong>Background: </strong>Morbidity associated with central nervous system tuberculosis (CNS TB) remains high due to persistent inflammation despite standard-of-care (SOC) treatment, including antituberculosis therapy and corticosteroids. Tumor necrosis factor alpha (TNF-α) is a key cytokine driving this inflammatory response, and a limited number of case reports suggest that TNF-α inhibitors may improve outcomes. We report the 1-year outcome of a cohort of consecutive patients treated with infliximab for severe CNS TB.</p><p><strong>Methods: </strong>Following the guidance provided by the French Tuberculosis Consilium, a standardized regimen of intravenous infliximab at 5 mg/kg per dose was used to treat CNS TB unresponsive to SOC. We retrospectively included consecutive patients who received at least 1 infliximab injection for CNS TB from 2017 to September 2021.</p><p><strong>Results: </strong>Eighteen patients with CNS TB, 94% with tuberculous meningitis, were included. Most had severe disease: 82% were classified as British Medical Research Council grade II or III, and 44% required intensive care unit admission. All demonstrated clinical and radiological worsening despite SOC; in 89% due to paradoxical reaction. At infliximab initiation, symptoms remained disabling, with a median modified Rankin scale (mRS) score of 3.5 (interquartile range, 3-4). One month after the first infusion, 38% showed improved mRS scores, increasing to 78% at 1 year. One-year survival was 94%; 1 death occurred 12 months after a single infliximab dose and was unrelated to TB treatment.</p><p><strong>Conclusions: </strong>Infliximab may represent a promising adjunctive treatment for CNS TB unresponsive to SOC, including paradoxical reaction. Prospective studies are needed to confirm these findings.</p>","PeriodicalId":19517,"journal":{"name":"Open Forum Infectious Diseases","volume":"12 8","pages":"ofaf450"},"PeriodicalIF":3.8000,"publicationDate":"2025-08-12","publicationTypes":"Journal Article","fieldsOfStudy":null,"isOpenAccess":false,"openAccessPdf":"https://www.ncbi.nlm.nih.gov/pmc/articles/PMC12351261/pdf/","citationCount":"0","resultStr":null,"platform":"Semanticscholar","paperid":null,"PeriodicalName":"Open Forum Infectious Diseases","FirstCategoryId":"3","ListUrlMain":"https://doi.org/10.1093/ofid/ofaf450","RegionNum":4,"RegionCategory":"医学","ArticlePicture":[],"TitleCN":null,"AbstractTextCN":null,"PMCID":null,"EPubDate":"2025/8/1 0:00:00","PubModel":"eCollection","JCR":"Q2","JCRName":"IMMUNOLOGY","Score":null,"Total":0}
引用次数: 0

Abstract

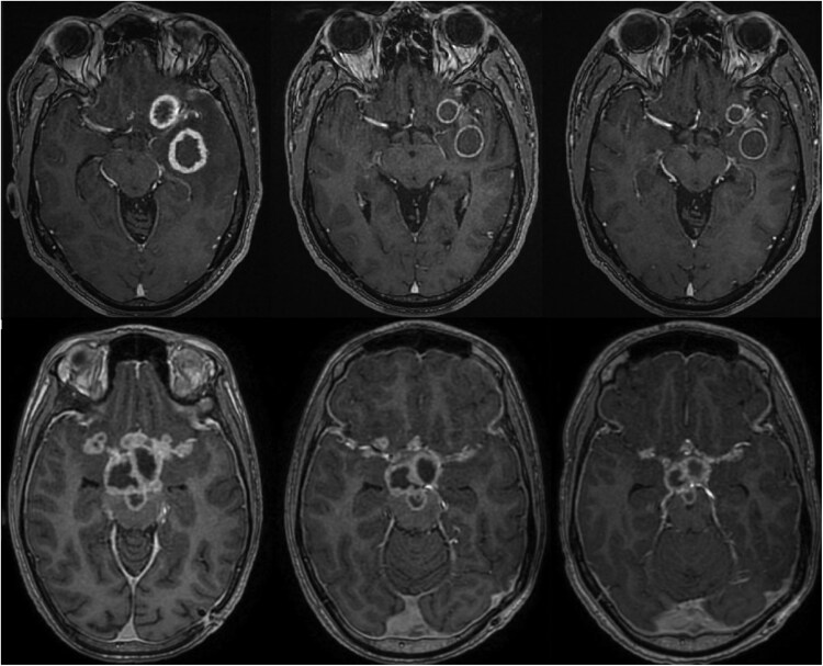
Background: Morbidity associated with central nervous system tuberculosis (CNS TB) remains high due to persistent inflammation despite standard-of-care (SOC) treatment, including antituberculosis therapy and corticosteroids. Tumor necrosis factor alpha (TNF-α) is a key cytokine driving this inflammatory response, and a limited number of case reports suggest that TNF-α inhibitors may improve outcomes. We report the 1-year outcome of a cohort of consecutive patients treated with infliximab for severe CNS TB.

Methods: Following the guidance provided by the French Tuberculosis Consilium, a standardized regimen of intravenous infliximab at 5 mg/kg per dose was used to treat CNS TB unresponsive to SOC. We retrospectively included consecutive patients who received at least 1 infliximab injection for CNS TB from 2017 to September 2021.

Results: Eighteen patients with CNS TB, 94% with tuberculous meningitis, were included. Most had severe disease: 82% were classified as British Medical Research Council grade II or III, and 44% required intensive care unit admission. All demonstrated clinical and radiological worsening despite SOC; in 89% due to paradoxical reaction. At infliximab initiation, symptoms remained disabling, with a median modified Rankin scale (mRS) score of 3.5 (interquartile range, 3-4). One month after the first infusion, 38% showed improved mRS scores, increasing to 78% at 1 year. One-year survival was 94%; 1 death occurred 12 months after a single infliximab dose and was unrelated to TB treatment.

Conclusions: Infliximab may represent a promising adjunctive treatment for CNS TB unresponsive to SOC, including paradoxical reaction. Prospective studies are needed to confirm these findings.

Abstract Image

Abstract Image

标准化英夫利昔单抗方案治疗18例重症中枢神经系统结核病
背景:尽管进行了标准治疗(SOC),包括抗结核治疗和皮质类固醇治疗,但中枢神经系统结核病(CNS TB)的发病率仍然很高,这是由于持续的炎症。肿瘤坏死因子α (TNF-α)是驱动这种炎症反应的关键细胞因子,有限数量的病例报告表明TNF-α抑制剂可能改善预后。我们报告了一组连续使用英夫利昔单抗治疗严重中枢神经系统结核病患者的1年结果。方法:根据法国结核病协会提供的指导,采用标准方案静脉注射英夫利昔单抗5mg /kg /剂量治疗对SOC无反应的CNS TB。我们回顾性纳入了2017年至2021年9月连续接受至少1次英夫利昔单抗注射治疗CNS TB的患者。结果:本研究纳入18例CNS结核患者,其中94%合并结核性脑膜炎。大多数患者病情严重:82%被英国医学研究委员会列为II级或III级,44%需要入住重症监护病房。尽管有SOC,所有患者均表现出临床和放射学恶化;89%是由于矛盾反应。在英夫利昔单抗开始治疗时,症状仍然是致残的,修正兰金量表(mRS)中位评分为3.5(四分位数范围,3-4)。第一次输注1个月后,38%的患者mRS评分改善,1年后增加到78%。一年生存率为94%;1例死亡发生在单次英夫利昔单抗用药后12个月,与结核病治疗无关。结论:英夫利昔单抗可能是一种有希望的辅助治疗对SOC无反应的CNS TB,包括矛盾反应。需要前瞻性研究来证实这些发现。
本文章由计算机程序翻译,如有差异,请以英文原文为准。
求助全文
约1分钟内获得全文 求助全文
来源期刊
Open Forum Infectious Diseases
Open Forum Infectious Diseases Medicine-Neurology (clinical)
CiteScore
6.70
自引率
4.80%
发文量
630
审稿时长
9 weeks
期刊介绍: Open Forum Infectious Diseases provides a global forum for the publication of clinical, translational, and basic research findings in a fully open access, online journal environment. The journal reflects the broad diversity of the field of infectious diseases, and focuses on the intersection of biomedical science and clinical practice, with a particular emphasis on knowledge that holds the potential to improve patient care in populations around the world. Fully peer-reviewed, OFID supports the international community of infectious diseases experts by providing a venue for articles that further the understanding of all aspects of infectious diseases.
×
引用
GB/T 7714-2015
复制
MLA
复制
APA
复制
导出至
BibTeX EndNote RefMan NoteFirst NoteExpress
×
提示
您的信息不完整,为了账户安全,请先补充。
现在去补充
×
提示
您因"违规操作"
具体请查看互助需知
我知道了
×
提示
确定
请完成安全验证×
copy
已复制链接
快去分享给好友吧!
我知道了
右上角分享
点击右上角分享
0
联系我们:info@booksci.cn Book学术提供免费学术资源搜索服务,方便国内外学者检索中英文文献。致力于提供最便捷和优质的服务体验。 Copyright © 2023 布克学术 All rights reserved.
京ICP备2023020795号-1
ghs 京公网安备 11010802042870号
Book学术文献互助
Book学术文献互助群
群 号:604180095
Book学术官方微信