Hydrogen sulfide ameliorates peritoneal fibrosis: inhibition of high mobility group box-1 expression to block the activation of the transforming growth factor-beta/Smad3 pathway.

IF 2.9 Q2 MEDICINE, RESEARCH & EXPERIMENTAL
Medical Gas Research Pub Date : 2026-06-01 Epub Date: 2025-08-18 DOI:10.4103/mgr.MEDGASRES-D-25-00048
Lulu Liu, Weiyan Huang, Jiao Ming, Fei Cai, Haiyan Wang, Xueli Lai, Zhiyong Guo
{"title":"Hydrogen sulfide ameliorates peritoneal fibrosis: inhibition of high mobility group box-1 expression to block the activation of the transforming growth factor-beta/Smad3 pathway.","authors":"Lulu Liu, Weiyan Huang, Jiao Ming, Fei Cai, Haiyan Wang, Xueli Lai, Zhiyong Guo","doi":"10.4103/mgr.MEDGASRES-D-25-00048","DOIUrl":null,"url":null,"abstract":"<p><p>JOURNAL/mgres/04.03/01612956-202606000-00004/figure1/v/2025-08-18T154854Z/r/image-tiff Hydrogen sulfide (H2S) holds significant potential for clinical applications in the alleviation of fibrosis. This study aimed to verify the role of H2S in combating peritoneal fibrosis and elucidate its molecular mechanisms. A peritoneal fibrosis model was established through the intraperitoneal injection of 0.1% chlorhexidine gluconate. Subsequently, the mice were administered an intraperitoneal injection of the H2S donor GYY4137. The experimental data indicate that H2S mitigates the progression of peritoneal fibrosis, potentially by inhibiting the expression of high mobility group box-1 and consequently blocking the activation of the (TGF-β)/Smad3 signaling pathway. This study provides a scientific basis for the future clinical application of H2S in the treatment of peritoneal fibrosis.</p>","PeriodicalId":18559,"journal":{"name":"Medical Gas Research","volume":"16 2","pages":"103-109"},"PeriodicalIF":2.9000,"publicationDate":"2026-06-01","publicationTypes":"Journal Article","fieldsOfStudy":null,"isOpenAccess":false,"openAccessPdf":"https://www.ncbi.nlm.nih.gov/pmc/articles/PMC12413889/pdf/","citationCount":"0","resultStr":null,"platform":"Semanticscholar","paperid":null,"PeriodicalName":"Medical Gas Research","FirstCategoryId":"1085","ListUrlMain":"https://doi.org/10.4103/mgr.MEDGASRES-D-25-00048","RegionNum":0,"RegionCategory":null,"ArticlePicture":[],"TitleCN":null,"AbstractTextCN":null,"PMCID":null,"EPubDate":"2025/8/18 0:00:00","PubModel":"Epub","JCR":"Q2","JCRName":"MEDICINE, RESEARCH & EXPERIMENTAL","Score":null,"Total":0}
引用次数: 0

Abstract

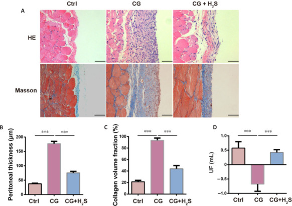
JOURNAL/mgres/04.03/01612956-202606000-00004/figure1/v/2025-08-18T154854Z/r/image-tiff Hydrogen sulfide (H2S) holds significant potential for clinical applications in the alleviation of fibrosis. This study aimed to verify the role of H2S in combating peritoneal fibrosis and elucidate its molecular mechanisms. A peritoneal fibrosis model was established through the intraperitoneal injection of 0.1% chlorhexidine gluconate. Subsequently, the mice were administered an intraperitoneal injection of the H2S donor GYY4137. The experimental data indicate that H2S mitigates the progression of peritoneal fibrosis, potentially by inhibiting the expression of high mobility group box-1 and consequently blocking the activation of the (TGF-β)/Smad3 signaling pathway. This study provides a scientific basis for the future clinical application of H2S in the treatment of peritoneal fibrosis.

Abstract Image

Abstract Image

Abstract Image

硫化氢改善腹膜纤维化:抑制高迁移率group box-1表达以阻断转化生长因子- β /Smad3通路的激活。
硫化氢(H2S)在缓解纤维化方面具有重要的临床应用潜力。本研究旨在验证H2S在抗腹膜纤维化中的作用,并阐明其分子机制。腹腔注射0.1%葡萄糖酸氯己定建立大鼠腹膜纤维化模型。随后,小鼠腹腔注射H2S供体GYY4137。实验数据表明,H2S可能通过抑制高迁移率组box-1的表达,从而阻断(TGF-β)/Smad3信号通路的激活,从而减轻腹膜纤维化的进展。本研究为今后H2S在腹膜纤维化治疗中的临床应用提供了科学依据。
本文章由计算机程序翻译,如有差异,请以英文原文为准。
求助全文
约1分钟内获得全文 求助全文
来源期刊
Medical Gas Research
Medical Gas Research MEDICINE, RESEARCH & EXPERIMENTAL-
CiteScore
5.10
自引率
13.80%
发文量
35
期刊介绍: Medical Gas Research is an open access journal which publishes basic, translational, and clinical research focusing on the neurobiology as well as multidisciplinary aspects of medical gas research and their applications to related disorders. The journal covers all areas of medical gas research, but also has several special sections. Authors can submit directly to these sections, whose peer-review process is overseen by our distinguished Section Editors: Inert gases - Edited by Xuejun Sun and Mark Coburn, Gasotransmitters - Edited by Atsunori Nakao and John Calvert, Oxygen and diving medicine - Edited by Daniel Rossignol and Ke Jian Liu, Anesthetic gases - Edited by Richard Applegate and Zhongcong Xie, Medical gas in other fields of biology - Edited by John Zhang. Medical gas is a large family including oxygen, hydrogen, carbon monoxide, carbon dioxide, nitrogen, xenon, hydrogen sulfide, nitrous oxide, carbon disulfide, argon, helium and other noble gases. These medical gases are used in multiple fields of clinical practice and basic science research including anesthesiology, hyperbaric oxygen medicine, diving medicine, internal medicine, emergency medicine, surgery, and many basic sciences disciplines such as physiology, pharmacology, biochemistry, microbiology and neurosciences. Due to the unique nature of medical gas practice, Medical Gas Research will serve as an information platform for educational and technological advances in the field of medical gas.
×
引用
GB/T 7714-2015
复制
MLA
复制
APA
复制
导出至
BibTeX EndNote RefMan NoteFirst NoteExpress
×
提示
您的信息不完整,为了账户安全,请先补充。
现在去补充
×
提示
您因"违规操作"
具体请查看互助需知
我知道了
×
提示
确定
请完成安全验证×
copy
已复制链接
快去分享给好友吧!
我知道了
右上角分享
点击右上角分享
0
联系我们:info@booksci.cn Book学术提供免费学术资源搜索服务,方便国内外学者检索中英文文献。致力于提供最便捷和优质的服务体验。 Copyright © 2023 布克学术 All rights reserved.
京ICP备2023020795号-1
ghs 京公网安备 11010802042870号
Book学术文献互助
Book学术文献互助群
群 号:604180095
Book学术官方微信