Postpartum colonic squamous cell carcinoma with a BRAFV600E mutation: a case report.

IF 0.8 Q3 MEDICINE, GENERAL & INTERNAL
Qin Wang, Huai-Gen Zhang, Wei-Rong Yao, Xi-Quan Zhang, Hua-Zhang Tong, Li Liu
{"title":"Postpartum colonic squamous cell carcinoma with a BRAF<sup>V600E</sup> mutation: a case report.","authors":"Qin Wang, Huai-Gen Zhang, Wei-Rong Yao, Xi-Quan Zhang, Hua-Zhang Tong, Li Liu","doi":"10.1186/s13256-025-05491-w","DOIUrl":null,"url":null,"abstract":"<p><strong>Introduction: </strong>Primary squamous cell carcinoma of the colon is a rare malignancy, especially in the postpartum period. Currently, there are no recommended guidelines for this disease. BRAF<sup>V600E</sup>-mutated metastatic colorectal cancer occurs in approximately 8-12% of patients with colorectal cancer.</p><p><strong>Case presentation: </strong>Herein, we report a case of a 37-year-old Chinese woman diagnosed with postpartum descending colon squamous cell carcinoma harboring the BRAF<sup>V600E</sup> mutation, which was treated with radical resection and adjuvant chemotherapy combined with targeted therapy. Eight months later, a new lesion was detected in the colon 40 cm away from the first mass. The patient was enrolled in a clinical trial but withdrew following two treatment cycles because of rapid disease progression. Subsequently, the patient died approximately 6 months after enrolling in the trial.</p><p><strong>Conclusion: </strong>Squamous cell carcinoma of the colon, particularly in postpartum women, is uncommon and often associated with an advanced stage and poor prognosis. Presently, patients with colorectal cancer carrying the BRAF<sup>V600E</sup> mutation typically exhibit a low ratio, an advanced stage, and limited response to existing treatment approaches, resulting in a poor prognosis. Considerable emphasis and effort must be devoted to colonic squamous cell carcinoma, specifically cases harboring the BRAF<sup>V600E</sup> mutation.</p>","PeriodicalId":16236,"journal":{"name":"Journal of Medical Case Reports","volume":"19 1","pages":"410"},"PeriodicalIF":0.8000,"publicationDate":"2025-08-18","publicationTypes":"Journal Article","fieldsOfStudy":null,"isOpenAccess":false,"openAccessPdf":"https://www.ncbi.nlm.nih.gov/pmc/articles/PMC12362865/pdf/","citationCount":"0","resultStr":null,"platform":"Semanticscholar","paperid":null,"PeriodicalName":"Journal of Medical Case Reports","FirstCategoryId":"1085","ListUrlMain":"https://doi.org/10.1186/s13256-025-05491-w","RegionNum":0,"RegionCategory":null,"ArticlePicture":[],"TitleCN":null,"AbstractTextCN":null,"PMCID":null,"EPubDate":"","PubModel":"","JCR":"Q3","JCRName":"MEDICINE, GENERAL & INTERNAL","Score":null,"Total":0}
引用次数: 0

Abstract

Introduction: Primary squamous cell carcinoma of the colon is a rare malignancy, especially in the postpartum period. Currently, there are no recommended guidelines for this disease. BRAFV600E-mutated metastatic colorectal cancer occurs in approximately 8-12% of patients with colorectal cancer.

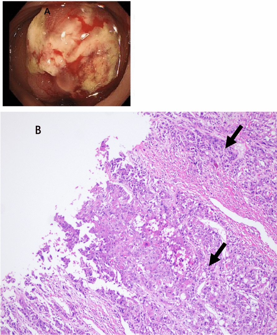
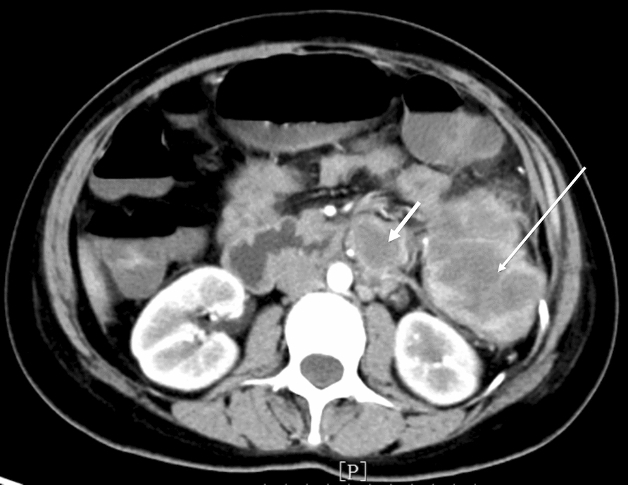
Case presentation: Herein, we report a case of a 37-year-old Chinese woman diagnosed with postpartum descending colon squamous cell carcinoma harboring the BRAFV600E mutation, which was treated with radical resection and adjuvant chemotherapy combined with targeted therapy. Eight months later, a new lesion was detected in the colon 40 cm away from the first mass. The patient was enrolled in a clinical trial but withdrew following two treatment cycles because of rapid disease progression. Subsequently, the patient died approximately 6 months after enrolling in the trial.

Conclusion: Squamous cell carcinoma of the colon, particularly in postpartum women, is uncommon and often associated with an advanced stage and poor prognosis. Presently, patients with colorectal cancer carrying the BRAFV600E mutation typically exhibit a low ratio, an advanced stage, and limited response to existing treatment approaches, resulting in a poor prognosis. Considerable emphasis and effort must be devoted to colonic squamous cell carcinoma, specifically cases harboring the BRAFV600E mutation.

Abstract Image

Abstract Image

Abstract Image

产后结肠癌伴BRAFV600E突变1例
简介:原发性结肠鳞状细胞癌是一种罕见的恶性肿瘤,尤其发生在产后。目前,没有针对这种疾病的推荐指南。brafv600e突变的转移性结直肠癌发生在约8-12%的结直肠癌患者中。病例介绍:我们报告了一例37岁的中国女性产后诊断为BRAFV600E突变的降结肠鳞状细胞癌,经根治性切除和辅助化疗联合靶向治疗。8个月后,在距离第一个肿块40厘米处的结肠中发现了一个新的病变。该患者参加了一项临床试验,但由于疾病进展迅速,在两个治疗周期后退出。随后,患者在参加试验约6个月后死亡。结论:结肠鳞状细胞癌,特别是在产后妇女,是罕见的,往往与晚期和预后不良。目前,携带BRAFV600E突变的结直肠癌患者比例低,病程较晚,对现有治疗方法的反应有限,预后较差。必须对结肠鳞状细胞癌,特别是携带BRAFV600E突变的病例给予相当的重视和努力。
本文章由计算机程序翻译,如有差异,请以英文原文为准。
求助全文
约1分钟内获得全文 求助全文
来源期刊
Journal of Medical Case Reports
Journal of Medical Case Reports Medicine-Medicine (all)
CiteScore
1.50
自引率
0.00%
发文量
436
期刊介绍: JMCR is an open access, peer-reviewed online journal that will consider any original case report that expands the field of general medical knowledge. Reports should show one of the following: 1. Unreported or unusual side effects or adverse interactions involving medications 2. Unexpected or unusual presentations of a disease 3. New associations or variations in disease processes 4. Presentations, diagnoses and/or management of new and emerging diseases 5. An unexpected association between diseases or symptoms 6. An unexpected event in the course of observing or treating a patient 7. Findings that shed new light on the possible pathogenesis of a disease or an adverse effect
×
引用
GB/T 7714-2015
复制
MLA
复制
APA
复制
导出至
BibTeX EndNote RefMan NoteFirst NoteExpress
×
提示
您的信息不完整,为了账户安全,请先补充。
现在去补充
×
提示
您因"违规操作"
具体请查看互助需知
我知道了
×
提示
确定
请完成安全验证×
copy
已复制链接
快去分享给好友吧!
我知道了
右上角分享
点击右上角分享
0
联系我们:info@booksci.cn Book学术提供免费学术资源搜索服务,方便国内外学者检索中英文文献。致力于提供最便捷和优质的服务体验。 Copyright © 2023 布克学术 All rights reserved.
京ICP备2023020795号-1
ghs 京公网安备 11010802042870号
Book学术文献互助
Book学术文献互助群
群 号:604180095
Book学术官方微信