Unexpected modulation of Hna phage defense activity by the symbiotic regulator NolR.

IF 3 3区 生物学 Q3 MICROBIOLOGY
Journal of Bacteriology Pub Date : 2025-09-18 Epub Date: 2025-08-18 DOI:10.1128/jb.00182-25
Leah M Sather, Niousha Fazeli, Jason V S Kearsley, Kathryn Jones, Turlough M Finan
{"title":"Unexpected modulation of Hna phage defense activity by the symbiotic regulator NolR.","authors":"Leah M Sather, Niousha Fazeli, Jason V S Kearsley, Kathryn Jones, Turlough M Finan","doi":"10.1128/jb.00182-25","DOIUrl":null,"url":null,"abstract":"<p><p>The Hna phage defense system is one of many systems that protect bacteria against bacterial viruses (phages). Hna was first discovered in the nitrogen-fixing alphaproteobacterium <i>Sinorhizobium meliloti</i>, which forms root nodules on leguminous plants. We report that the efficacy of the Hna system depends on NolR, a transcriptional regulator known to regulate expression of nodulation genes. Strains carrying a mutant <i>nolR</i> gene (e.g., the widely used laboratory strain Rm1021) display dramatically reduced Hna-mediated phage resistance compared to those with the wild-type <i>nolR</i> gene. <i>hna</i> expression is approximately doubled in <i>nolR<sup>+</sup></i> (wild-type) compared to <i>nolR<sup>-</sup></i> strains. Integration of a second copy of <i>hna</i> increased phage resistance in a <i>nolR<sup>-</sup></i> strain >1,000-fold, indicating that a moderate <i>hna</i> expression difference is sufficient to affect the Hna phage resistance phenotype. NolR does not appear to directly regulate <i>hna</i>,as there is no predicted NolR binding site upstream of <i>hna</i>, and purified NolR protein does not bind to the <i>hna</i> upstream sequence. Other genes whose transcription is regulated by NolR were identified through RNA-seq experiments. These include the lipopolysaccharide sulfotransferase gene <i>lpsS</i>, which is located downstream of a NolR binding site. This work illustrates how modest differences in expression between strains can dramatically alter the protective phenotype of a defense system.IMPORTANCEThe ability of a bacterial culture to survive phage infection is significant in both medical (phage therapy) and industrial (e.g., cheese production) contexts. This study describes a factor that influences the efficacy of a recently discovered phage defense system (Hna) in the agriculturally relevant soil bacterium <i>Sinorhizobium meliloti</i>. Like other phage defense systems, Hna systems undergo extensive horizontal transfer and must be able to maintain functionality across different genetic backgrounds. Our work demonstrates that host factor differences can significantly impact the performance of phage defense systems.</p>","PeriodicalId":15107,"journal":{"name":"Journal of Bacteriology","volume":" ","pages":"e0018225"},"PeriodicalIF":3.0000,"publicationDate":"2025-09-18","publicationTypes":"Journal Article","fieldsOfStudy":null,"isOpenAccess":false,"openAccessPdf":"https://www.ncbi.nlm.nih.gov/pmc/articles/PMC12445080/pdf/","citationCount":"0","resultStr":null,"platform":"Semanticscholar","paperid":null,"PeriodicalName":"Journal of Bacteriology","FirstCategoryId":"99","ListUrlMain":"https://doi.org/10.1128/jb.00182-25","RegionNum":3,"RegionCategory":"生物学","ArticlePicture":[],"TitleCN":null,"AbstractTextCN":null,"PMCID":null,"EPubDate":"2025/8/18 0:00:00","PubModel":"Epub","JCR":"Q3","JCRName":"MICROBIOLOGY","Score":null,"Total":0}
引用次数: 0

Abstract

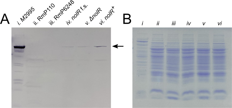
The Hna phage defense system is one of many systems that protect bacteria against bacterial viruses (phages). Hna was first discovered in the nitrogen-fixing alphaproteobacterium Sinorhizobium meliloti, which forms root nodules on leguminous plants. We report that the efficacy of the Hna system depends on NolR, a transcriptional regulator known to regulate expression of nodulation genes. Strains carrying a mutant nolR gene (e.g., the widely used laboratory strain Rm1021) display dramatically reduced Hna-mediated phage resistance compared to those with the wild-type nolR gene. hna expression is approximately doubled in nolR+ (wild-type) compared to nolR- strains. Integration of a second copy of hna increased phage resistance in a nolR- strain >1,000-fold, indicating that a moderate hna expression difference is sufficient to affect the Hna phage resistance phenotype. NolR does not appear to directly regulate hna,as there is no predicted NolR binding site upstream of hna, and purified NolR protein does not bind to the hna upstream sequence. Other genes whose transcription is regulated by NolR were identified through RNA-seq experiments. These include the lipopolysaccharide sulfotransferase gene lpsS, which is located downstream of a NolR binding site. This work illustrates how modest differences in expression between strains can dramatically alter the protective phenotype of a defense system.IMPORTANCEThe ability of a bacterial culture to survive phage infection is significant in both medical (phage therapy) and industrial (e.g., cheese production) contexts. This study describes a factor that influences the efficacy of a recently discovered phage defense system (Hna) in the agriculturally relevant soil bacterium Sinorhizobium meliloti. Like other phage defense systems, Hna systems undergo extensive horizontal transfer and must be able to maintain functionality across different genetic backgrounds. Our work demonstrates that host factor differences can significantly impact the performance of phage defense systems.

Abstract Image

Abstract Image

Abstract Image

共生调节因子NolR对海航噬菌体防御活性的意外调节。
海航噬菌体防御系统是保护细菌免受细菌病毒(噬菌体)侵害的众多系统之一。海航最早是在固氮的甲变形杆菌Sinorhizobium meliloti中发现的,这种细菌在豆科植物上形成根瘤。我们报道,海航系统的功效取决于NolR,一种已知的调节结瘤基因表达的转录调节因子。携带突变型nolR基因的菌株(如广泛使用的实验室菌株Rm1021)与携带野生型nolR基因的菌株相比,显示出显著降低的na介导的噬菌体抗性。与nolR-株相比,在nolR+(野生型)中,hna的表达量大约增加了一倍。整合第二拷贝的hna使nolR-菌株的噬菌体抗性增加了1000倍,这表明适度的hna表达差异足以影响hna噬菌体抗性表型。NolR似乎并不直接调控hna,因为在hna上游没有预测的NolR结合位点,纯化的NolR蛋白也不与hna上游序列结合。通过RNA-seq实验鉴定了其他受NolR转录调控的基因。其中包括位于NolR结合位点下游的脂多糖硫转移酶基因lpsS。这项工作说明了菌株之间表达的适度差异如何显著改变防御系统的保护性表型。重要性细菌培养物在噬菌体感染中存活的能力在医学(噬菌体治疗)和工业(如奶酪生产)环境中都是重要的。本研究描述了影响农业相关土壤细菌Sinorhizobium meliloti中最近发现的噬菌体防御系统(Hna)功效的一个因素。与其他噬菌体防御系统一样,海航系统经历了广泛的水平转移,必须能够在不同的遗传背景下保持功能。我们的工作表明,宿主因子的差异可以显著影响噬菌体防御系统的性能。
本文章由计算机程序翻译,如有差异,请以英文原文为准。
求助全文
约1分钟内获得全文 求助全文
来源期刊
Journal of Bacteriology
Journal of Bacteriology 生物-微生物学
CiteScore
6.10
自引率
9.40%
发文量
324
审稿时长
1.3 months
期刊介绍: The Journal of Bacteriology (JB) publishes research articles that probe fundamental processes in bacteria, archaea and their viruses, and the molecular mechanisms by which they interact with each other and with their hosts and their environments.
×
引用
GB/T 7714-2015
复制
MLA
复制
APA
复制
导出至
BibTeX EndNote RefMan NoteFirst NoteExpress
×
提示
您的信息不完整,为了账户安全,请先补充。
现在去补充
×
提示
您因"违规操作"
具体请查看互助需知
我知道了
×
提示
确定
请完成安全验证×
copy
已复制链接
快去分享给好友吧!
我知道了
右上角分享
点击右上角分享
0
联系我们:info@booksci.cn Book学术提供免费学术资源搜索服务,方便国内外学者检索中英文文献。致力于提供最便捷和优质的服务体验。 Copyright © 2023 布克学术 All rights reserved.
京ICP备2023020795号-1
ghs 京公网安备 11010802042870号
Book学术文献互助
Book学术文献互助群
群 号:604180095
Book学术官方微信