A Case of Oral Lichen Planus; Unresponsive to Dental Metals Removal Despite the Suspected Diagnosis of Metal Allergy.

IF 1.8 Q3 DENTISTRY, ORAL SURGERY & MEDICINE
Clinical, Cosmetic and Investigational Dentistry Pub Date : 2025-08-13 eCollection Date: 2025-01-01 DOI:10.2147/CCIDE.S523170
Koji Morita, Chihiro Yoshiga, Hotoshi Abekura, Kazuya Doi, Kazuhiro Tsuga
{"title":"A Case of Oral Lichen Planus; Unresponsive to Dental Metals Removal Despite the Suspected Diagnosis of Metal Allergy.","authors":"Koji Morita, Chihiro Yoshiga, Hotoshi Abekura, Kazuya Doi, Kazuhiro Tsuga","doi":"10.2147/CCIDE.S523170","DOIUrl":null,"url":null,"abstract":"<p><strong>Introduction: </strong>Metal allergies can cause mucosal inflammation when triggered by dental materials. Oral lichen planus (OLP) is a chronic inflammatory disorder with multiple causes, including autoimmune factors, stress, and allergic reactions to dental metals. Differentiating between OLP and metal allergies in the oral cavity can be clinically challenging. This report presents a case initially suspected to be metal allergy but later confirmed as OLP.</p><p><strong>Patients and methods: </strong>A 55-year-old female presented with redness and pain near the buccal gingiva of the right mandibular first molar, along with white lace-like patches. Intraoral examination revealed multiple metal restorations, and element analysis identified Zn and Co in several crowns. Based on these findings, a metal allergy was diagnosed. All metal crowns were replaced with zirconia. However, symptoms persisted. A biopsy later confirmed OLP, and steroid therapy was initiated.</p><p><strong>Results: </strong>Despite removal of the suspected allergenic metals, the inflammation did not resolve, suggesting metal allergy was not the primary cause. Subsequent treatment with steroids led to gradual resolution, supporting the diagnosis of OLP as the primary condition.</p><p><strong>Conclusion: </strong>This case highlights the diagnostic difficulty in differentiating between metal allergy and OLP. Clinicians should consider OLP when symptoms persist despite metal replacement. A multidisciplinary approach is essential to achieve accurate diagnosis and effective treatment.</p>","PeriodicalId":10445,"journal":{"name":"Clinical, Cosmetic and Investigational Dentistry","volume":"17 ","pages":"375-380"},"PeriodicalIF":1.8000,"publicationDate":"2025-08-13","publicationTypes":"Journal Article","fieldsOfStudy":null,"isOpenAccess":false,"openAccessPdf":"https://www.ncbi.nlm.nih.gov/pmc/articles/PMC12358114/pdf/","citationCount":"0","resultStr":null,"platform":"Semanticscholar","paperid":null,"PeriodicalName":"Clinical, Cosmetic and Investigational Dentistry","FirstCategoryId":"1085","ListUrlMain":"https://doi.org/10.2147/CCIDE.S523170","RegionNum":0,"RegionCategory":null,"ArticlePicture":[],"TitleCN":null,"AbstractTextCN":null,"PMCID":null,"EPubDate":"2025/1/1 0:00:00","PubModel":"eCollection","JCR":"Q3","JCRName":"DENTISTRY, ORAL SURGERY & MEDICINE","Score":null,"Total":0}
引用次数: 0

Abstract

Introduction: Metal allergies can cause mucosal inflammation when triggered by dental materials. Oral lichen planus (OLP) is a chronic inflammatory disorder with multiple causes, including autoimmune factors, stress, and allergic reactions to dental metals. Differentiating between OLP and metal allergies in the oral cavity can be clinically challenging. This report presents a case initially suspected to be metal allergy but later confirmed as OLP.

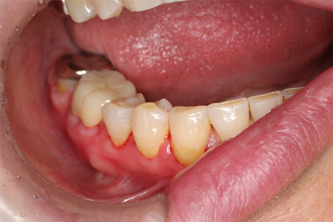
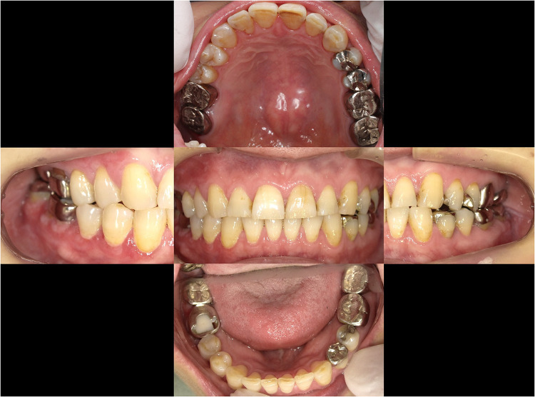
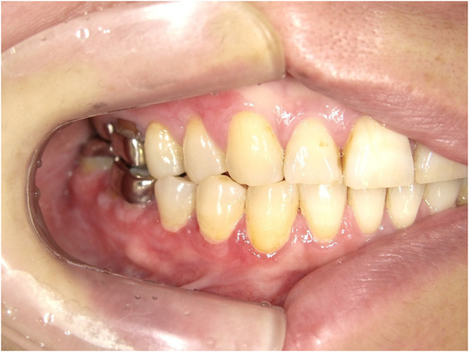
Patients and methods: A 55-year-old female presented with redness and pain near the buccal gingiva of the right mandibular first molar, along with white lace-like patches. Intraoral examination revealed multiple metal restorations, and element analysis identified Zn and Co in several crowns. Based on these findings, a metal allergy was diagnosed. All metal crowns were replaced with zirconia. However, symptoms persisted. A biopsy later confirmed OLP, and steroid therapy was initiated.

Results: Despite removal of the suspected allergenic metals, the inflammation did not resolve, suggesting metal allergy was not the primary cause. Subsequent treatment with steroids led to gradual resolution, supporting the diagnosis of OLP as the primary condition.

Conclusion: This case highlights the diagnostic difficulty in differentiating between metal allergy and OLP. Clinicians should consider OLP when symptoms persist despite metal replacement. A multidisciplinary approach is essential to achieve accurate diagnosis and effective treatment.

Abstract Image

Abstract Image

Abstract Image

口腔扁平苔藓1例尽管怀疑诊断为金属过敏,但对牙齿金属去除无反应。
金属过敏是由牙齿材料引起的,可引起粘膜炎症。口腔扁平苔藓(OLP)是一种慢性炎症性疾病,有多种原因,包括自身免疫因素、压力和对牙齿金属的过敏反应。鉴别OLP和口腔金属过敏在临床上具有挑战性。本报告提出一个病例,最初怀疑是金属过敏,但后来证实为OLP。患者和方法:55岁女性,右侧下颌第一磨牙颊龈附近红痛伴白色蕾丝样斑块。口内检查发现多个金属修复体,元素分析发现几个冠中有Zn和Co。根据这些发现,他被诊断为金属过敏。所有的金属冠都换成了氧化锆。然而,症状持续存在。活检后证实OLP,并开始类固醇治疗。结果:尽管清除了可疑的致敏金属,但炎症没有消退,提示金属过敏不是主要原因。随后类固醇治疗导致逐渐消退,支持OLP的诊断作为主要条件。结论:本病例突出了金属过敏与OLP鉴别诊断的困难。当更换金属后症状仍然存在时,临床医生应考虑OLP。多学科方法对于实现准确诊断和有效治疗至关重要。
本文章由计算机程序翻译,如有差异,请以英文原文为准。
求助全文
约1分钟内获得全文 求助全文
来源期刊
CiteScore
3.90
自引率
5.60%
发文量
43
审稿时长
16 weeks
×
引用
GB/T 7714-2015
复制
MLA
复制
APA
复制
导出至
BibTeX EndNote RefMan NoteFirst NoteExpress
×
提示
您的信息不完整,为了账户安全,请先补充。
现在去补充
×
提示
您因"违规操作"
具体请查看互助需知
我知道了
×
提示
确定
请完成安全验证×
copy
已复制链接
快去分享给好友吧!
我知道了
右上角分享
点击右上角分享
0
联系我们:info@booksci.cn Book学术提供免费学术资源搜索服务,方便国内外学者检索中英文文献。致力于提供最便捷和优质的服务体验。 Copyright © 2023 布克学术 All rights reserved.
京ICP备2023020795号-1
ghs 京公网安备 11010802042870号
Book学术文献互助
Book学术文献互助群
群 号:604180095
Book学术官方微信