Effect of sodium thiosulfate on preventing renal ischemia-reperfusion injury in high-fat diet-fed rats: the role of renal mitochondrial quality.

IF 4.6 2区 生物学 Q1 BIOLOGY
Priyanka N Prem, Gino A Kurian
{"title":"Effect of sodium thiosulfate on preventing renal ischemia-reperfusion injury in high-fat diet-fed rats: the role of renal mitochondrial quality.","authors":"Priyanka N Prem, Gino A Kurian","doi":"10.1186/s40659-025-00636-z","DOIUrl":null,"url":null,"abstract":"<p><strong>Objective: </strong>Sodium Thiosulfate (STS), a clinically approved agent for cyanide poisoning and vascular calcification, possesses antioxidant, anti-inflammatory, mitochondrial preservation, and metal chelation capabilities, rendering it a promising candidate for managing ischemia-reperfusion (IR) injury. The detrimental impact of high-fat diets (HD) on the outcomes of IR during renal surgeries is well-documented. However, the potential of STS to ameliorate renal IR injury in rat fed with high fat diet is not known.</p><p><strong>Methods: </strong>Male Wistar rats were fed a standard diet (SD) or a high-fat diet (HD) for 16 weeks before undergoing an IR protocol (45 min of ischemia followed by 24 h of reperfusion). STS (10 mg/kg) was administered 30 min before IR.</p><p><strong>Results: </strong>STS effectively mitigated IR-induced physiological decline and tissue damage in SD rats but was less effective in HD rats. To explore this difference, we measured renal mitochondrial quality. STS improved mitochondrial bioenergetics, balanced mitochondrial dynamics, and increased mitochondrial copy number in SD-IR rats more than in HD-IR rats. Additionally, STS significantly reduced oxidative stress and upregulated Pgc-1α, Polg, and Tfam genes in SD-IR rats but had a lesser effect in HD-IR rats. The 16-week HD significantly reduced renal mitochondrial quality at the basal level, hindering STS-mediated protection.</p><p><strong>Conclusion: </strong>These findings highlight the efficacy of STS in managing renal IR and emphasize the need for nutritional support to restore mitochondrial function in high-fat diet subjects.</p>","PeriodicalId":9084,"journal":{"name":"Biological Research","volume":"58 1","pages":"56"},"PeriodicalIF":4.6000,"publicationDate":"2025-08-18","publicationTypes":"Journal Article","fieldsOfStudy":null,"isOpenAccess":false,"openAccessPdf":"https://www.ncbi.nlm.nih.gov/pmc/articles/PMC12359898/pdf/","citationCount":"0","resultStr":null,"platform":"Semanticscholar","paperid":null,"PeriodicalName":"Biological Research","FirstCategoryId":"99","ListUrlMain":"https://doi.org/10.1186/s40659-025-00636-z","RegionNum":2,"RegionCategory":"生物学","ArticlePicture":[],"TitleCN":null,"AbstractTextCN":null,"PMCID":null,"EPubDate":"","PubModel":"","JCR":"Q1","JCRName":"BIOLOGY","Score":null,"Total":0}
引用次数: 0

Abstract

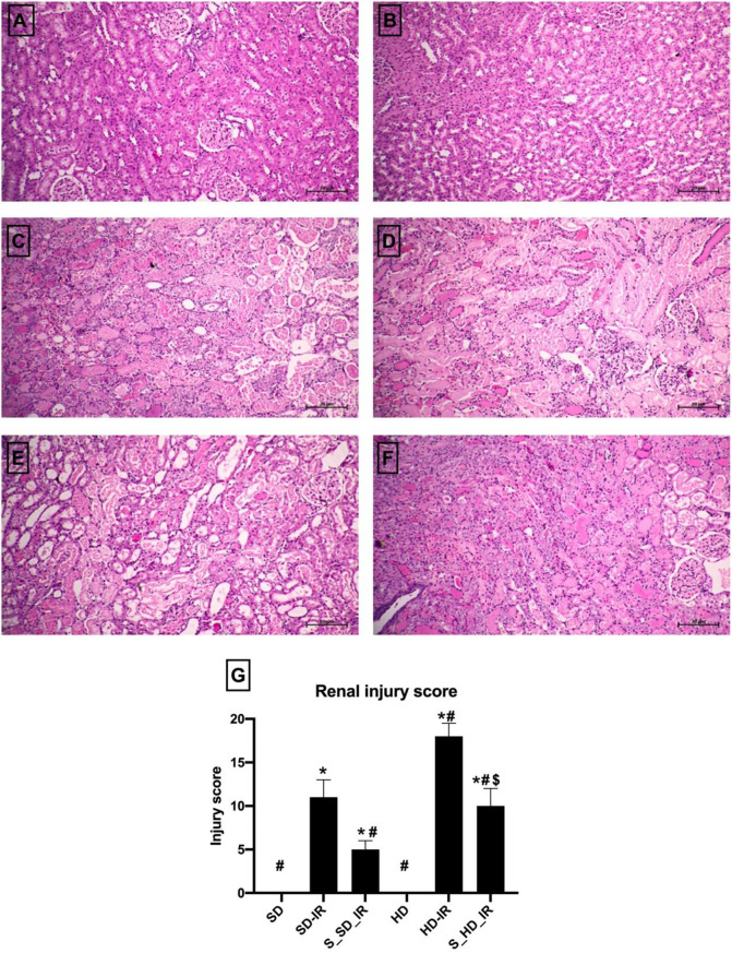
Objective: Sodium Thiosulfate (STS), a clinically approved agent for cyanide poisoning and vascular calcification, possesses antioxidant, anti-inflammatory, mitochondrial preservation, and metal chelation capabilities, rendering it a promising candidate for managing ischemia-reperfusion (IR) injury. The detrimental impact of high-fat diets (HD) on the outcomes of IR during renal surgeries is well-documented. However, the potential of STS to ameliorate renal IR injury in rat fed with high fat diet is not known.

Methods: Male Wistar rats were fed a standard diet (SD) or a high-fat diet (HD) for 16 weeks before undergoing an IR protocol (45 min of ischemia followed by 24 h of reperfusion). STS (10 mg/kg) was administered 30 min before IR.

Results: STS effectively mitigated IR-induced physiological decline and tissue damage in SD rats but was less effective in HD rats. To explore this difference, we measured renal mitochondrial quality. STS improved mitochondrial bioenergetics, balanced mitochondrial dynamics, and increased mitochondrial copy number in SD-IR rats more than in HD-IR rats. Additionally, STS significantly reduced oxidative stress and upregulated Pgc-1α, Polg, and Tfam genes in SD-IR rats but had a lesser effect in HD-IR rats. The 16-week HD significantly reduced renal mitochondrial quality at the basal level, hindering STS-mediated protection.

Conclusion: These findings highlight the efficacy of STS in managing renal IR and emphasize the need for nutritional support to restore mitochondrial function in high-fat diet subjects.

Abstract Image

Abstract Image

Abstract Image

硫代硫酸钠对高脂饮食大鼠肾缺血再灌注损伤的预防作用:肾脏线粒体质量的作用。
目的:硫代硫酸钠(STS)是临床批准的治疗氰化物中毒和血管钙化的药物,具有抗氧化、抗炎、线粒体保存和金属螯合能力,是治疗缺血再灌注(IR)损伤的有希望的候选药物。高脂肪饮食(HD)对肾手术期间IR结果的有害影响是有充分证据的。然而,STS改善高脂饮食大鼠肾IR损伤的潜力尚不清楚。方法:雄性Wistar大鼠分别饲喂标准饲粮(SD)和高脂饲粮(HD) 16周,然后进行IR方案(缺血45 min,再灌注24 h)。在IR前30分钟给予STS (10 mg/kg)。结果:STS能有效减轻ir诱导的SD大鼠生理衰退和组织损伤,但对HD大鼠效果较差。为了探索这种差异,我们测量了肾脏线粒体质量。STS改善了SD-IR大鼠的线粒体生物能量,平衡了线粒体动力学,增加了线粒体拷贝数。此外,STS显著降低SD-IR大鼠的氧化应激和上调Pgc-1α、Polg和Tfam基因,但对HD-IR大鼠的影响较小。16周HD在基础水平上显著降低肾脏线粒体质量,阻碍sts介导的保护。结论:这些发现强调了STS治疗肾IR的有效性,并强调了高脂肪饮食受试者需要营养支持来恢复线粒体功能。
本文章由计算机程序翻译,如有差异,请以英文原文为准。
求助全文
约1分钟内获得全文 求助全文
来源期刊
Biological Research
Biological Research 生物-生物学
CiteScore
10.10
自引率
0.00%
发文量
33
审稿时长
>12 weeks
期刊介绍: Biological Research is an open access, peer-reviewed journal that encompasses diverse fields of experimental biology, such as biochemistry, bioinformatics, biotechnology, cell biology, cancer, chemical biology, developmental biology, evolutionary biology, genetics, genomics, immunology, marine biology, microbiology, molecular biology, neuroscience, plant biology, physiology, stem cell research, structural biology and systems biology.
×
引用
GB/T 7714-2015
复制
MLA
复制
APA
复制
导出至
BibTeX EndNote RefMan NoteFirst NoteExpress
×
提示
您的信息不完整,为了账户安全,请先补充。
现在去补充
×
提示
您因"违规操作"
具体请查看互助需知
我知道了
×
提示
确定
请完成安全验证×
copy
已复制链接
快去分享给好友吧!
我知道了
右上角分享
点击右上角分享
0
联系我们:info@booksci.cn Book学术提供免费学术资源搜索服务,方便国内外学者检索中英文文献。致力于提供最便捷和优质的服务体验。 Copyright © 2023 布克学术 All rights reserved.
京ICP备2023020795号-1
ghs 京公网安备 11010802042870号
Book学术文献互助
Book学术文献互助群
群 号:604180095
Book学术官方微信