Therapeutic potential of recombinant IL-22BP in psoriasis: suppression of IL-22/STAT3 signaling in mice.

IF 3.7 3区 生物学 Q2 BIOTECHNOLOGY & APPLIED MICROBIOLOGY
Xiuze Chen, Tao Zeng, Fang Fang, Qinyu Tian, Yingying Li, Wenlin Zhou, Binqian Gong, Na Tian, Jizhou Zhang, Yechen Xiao
{"title":"Therapeutic potential of recombinant IL-22BP in psoriasis: suppression of IL-22/STAT3 signaling in mice.","authors":"Xiuze Chen, Tao Zeng, Fang Fang, Qinyu Tian, Yingying Li, Wenlin Zhou, Binqian Gong, Na Tian, Jizhou Zhang, Yechen Xiao","doi":"10.1186/s13568-025-01931-4","DOIUrl":null,"url":null,"abstract":"<p><p>Psoriasis is a persistent immune-mediated inflammatory disorder that adversely affects the skin. Interleukin-22 (IL-22) is integral to the development and pathophysiology of psoriasis, and targeting IL-22 may serve as a promising therapeutic approach for treating the condition. IL-22 binding protein (IL-22BP) exhibits a binding affinity for IL-22 that far surpasses that of IL-22RA1 and functions as a natural antagonist of IL-22. Traditional IL-22BP production methods predominantly rely on eukaryotic animal cell expression systems, which generally require complex processes, resulting in low yield and high production costs. This study reports the expression of long-acting IL-22BP with a high yield and purity over 90% in Escherichia coli by fusion with the albumin-binding structural domain ABD. The biological functions of rhIL-22BP-ABD were assessed utilizing cell lines and a murine model. Our findings indicated that rhIL-22BP-ABD successfully suppressed IL-22-induced proliferation of HaCaT cells in vitro and alleviated imiquimod-induced psoriasis inflammation in mice. Furthermore, rhIL-22BP-ABD can effectively inhibit the signaling of its downstream signaling pathway STAT3 and the associated inflammatory factors by binding to IL-22, which is beneficial to the recovery of psoriasis. These findings provide a basis for forthcoming extensive studies on the rhIL-22BP-ABD protein for industrial manufacturing and pharmaceutical development.</p>","PeriodicalId":7537,"journal":{"name":"AMB Express","volume":"15 1","pages":"121"},"PeriodicalIF":3.7000,"publicationDate":"2025-08-18","publicationTypes":"Journal Article","fieldsOfStudy":null,"isOpenAccess":false,"openAccessPdf":"https://www.ncbi.nlm.nih.gov/pmc/articles/PMC12361007/pdf/","citationCount":"0","resultStr":null,"platform":"Semanticscholar","paperid":null,"PeriodicalName":"AMB Express","FirstCategoryId":"5","ListUrlMain":"https://doi.org/10.1186/s13568-025-01931-4","RegionNum":3,"RegionCategory":"生物学","ArticlePicture":[],"TitleCN":null,"AbstractTextCN":null,"PMCID":null,"EPubDate":"","PubModel":"","JCR":"Q2","JCRName":"BIOTECHNOLOGY & APPLIED MICROBIOLOGY","Score":null,"Total":0}
引用次数: 0

Abstract

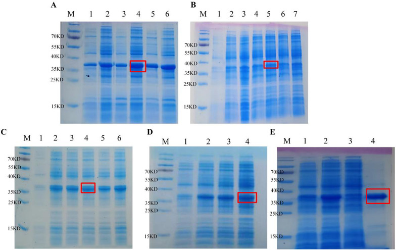
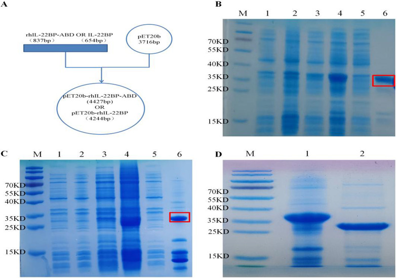
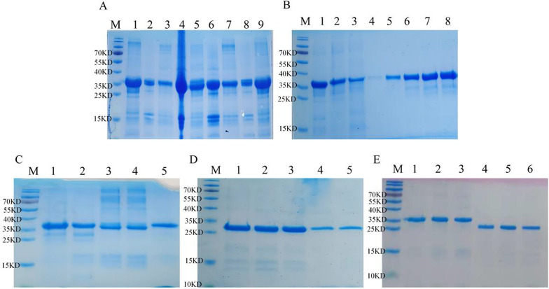
Psoriasis is a persistent immune-mediated inflammatory disorder that adversely affects the skin. Interleukin-22 (IL-22) is integral to the development and pathophysiology of psoriasis, and targeting IL-22 may serve as a promising therapeutic approach for treating the condition. IL-22 binding protein (IL-22BP) exhibits a binding affinity for IL-22 that far surpasses that of IL-22RA1 and functions as a natural antagonist of IL-22. Traditional IL-22BP production methods predominantly rely on eukaryotic animal cell expression systems, which generally require complex processes, resulting in low yield and high production costs. This study reports the expression of long-acting IL-22BP with a high yield and purity over 90% in Escherichia coli by fusion with the albumin-binding structural domain ABD. The biological functions of rhIL-22BP-ABD were assessed utilizing cell lines and a murine model. Our findings indicated that rhIL-22BP-ABD successfully suppressed IL-22-induced proliferation of HaCaT cells in vitro and alleviated imiquimod-induced psoriasis inflammation in mice. Furthermore, rhIL-22BP-ABD can effectively inhibit the signaling of its downstream signaling pathway STAT3 and the associated inflammatory factors by binding to IL-22, which is beneficial to the recovery of psoriasis. These findings provide a basis for forthcoming extensive studies on the rhIL-22BP-ABD protein for industrial manufacturing and pharmaceutical development.

Abstract Image

Abstract Image

Abstract Image

重组IL-22BP对银屑病的治疗潜力:抑制小鼠IL-22/STAT3信号
牛皮癣是一种持续的免疫介导的炎症性疾病,对皮肤有不利影响。白介素-22 (IL-22)在银屑病的发展和病理生理中是不可或缺的,靶向IL-22可能是治疗银屑病的一种有希望的治疗方法。IL-22结合蛋白(IL-22BP)对IL-22的结合亲和力远远超过IL-22RA1,是IL-22的天然拮抗剂。传统的IL-22BP生产方法主要依靠真核动物细胞表达系统,工艺复杂,产量低,生产成本高。本研究报道了通过与白蛋白结合结构域ABD融合,在大肠杆菌中高产纯度超过90%的长效IL-22BP的表达。利用细胞系和小鼠模型对rhIL-22BP-ABD的生物学功能进行了评价。我们的研究结果表明,rhIL-22BP-ABD成功地抑制了il -22诱导的HaCaT细胞的体外增殖,并减轻了咪喹莫德诱导的小鼠银屑病炎症。此外,rhIL-22BP-ABD可通过与IL-22结合,有效抑制其下游信号通路STAT3的信号通路及相关炎症因子,有利于银屑病的康复。这些发现为今后对rhIL-22BP-ABD蛋白进行工业生产和药物开发的广泛研究提供了基础。
本文章由计算机程序翻译,如有差异,请以英文原文为准。
求助全文
约1分钟内获得全文 求助全文
来源期刊
AMB Express
AMB Express BIOTECHNOLOGY & APPLIED MICROBIOLOGY-
CiteScore
7.20
自引率
2.70%
发文量
141
审稿时长
13 weeks
期刊介绍: AMB Express is a high quality journal that brings together research in the area of Applied and Industrial Microbiology with a particular interest in ''White Biotechnology'' and ''Red Biotechnology''. The emphasis is on processes employing microorganisms, eukaryotic cell cultures or enzymes for the biosynthesis, transformation and degradation of compounds. This includes fine and bulk chemicals, polymeric compounds and enzymes or other proteins. Downstream processes are also considered. Integrated processes combining biochemical and chemical processes are also published.
×
引用
GB/T 7714-2015
复制
MLA
复制
APA
复制
导出至
BibTeX EndNote RefMan NoteFirst NoteExpress
×
提示
您的信息不完整,为了账户安全,请先补充。
现在去补充
×
提示
您因"违规操作"
具体请查看互助需知
我知道了
×
提示
确定
请完成安全验证×
copy
已复制链接
快去分享给好友吧!
我知道了
右上角分享
点击右上角分享
0
联系我们:info@booksci.cn Book学术提供免费学术资源搜索服务,方便国内外学者检索中英文文献。致力于提供最便捷和优质的服务体验。 Copyright © 2023 布克学术 All rights reserved.
京ICP备2023020795号-1
ghs 京公网安备 11010802042870号
Book学术文献互助
Book学术文献互助群
群 号:604180095
Book学术官方微信