Transcriptional and Translational Analysis of the Expression of CHH, MIH, and GIH in PmLyO-Sf9 Cell Line Towards Developing a Novel In Vitro Model for Shrimp Endocrinology

IF 2.8 3区 生物学 Q3 BIOTECHNOLOGY & APPLIED MICROBIOLOGY
Venu Sreebindu Gopika, Abdulkhader Muneer, Thazhunga Pailykutty Limmy, Vrinda Sukumaran, Bhaskaran Sathyabama Anoop, Jayesh Puthumana, Issac Sarojini Bright Singh
{"title":"Transcriptional and Translational Analysis of the Expression of CHH, MIH, and GIH in PmLyO-Sf9 Cell Line Towards Developing a Novel In Vitro Model for Shrimp Endocrinology","authors":"Venu Sreebindu Gopika,&nbsp;Abdulkhader Muneer,&nbsp;Thazhunga Pailykutty Limmy,&nbsp;Vrinda Sukumaran,&nbsp;Bhaskaran Sathyabama Anoop,&nbsp;Jayesh Puthumana,&nbsp;Issac Sarojini Bright Singh","doi":"10.1007/s10126-025-10505-1","DOIUrl":null,"url":null,"abstract":"<div><p>Shrimp maturation is governed by the hormones secreted by neurosecretory structures in the eyestalk known as X-organ sinus gland complex (XOSG). The X-organ consists of a cluster of neurosecretory cells responsible for synthesizing crustacean hyperglycemic family hormones, including crustacean hyperglycemic hormone (CHH), molt inhibiting hormone (MIH), and gonad inhibiting hormone (GIH). CHH family neuropeptides have gained attention for three decades due to their endocrinological role in aquaculture. One of the most challenging tools in crustacean endocrinology research was the unavailability of a crustacean cell line. Recently, a novel hybrid cell line, the <i>Pm</i>LyO-<i>Sf</i>9, was developed by fusing <i>Penaeus monodon</i> lymphoid organ cells with <i>Sf</i>9 cells. Focusing on this cell line, we undertook a comprehensive analysis of the transcriptional and translational expression profiling of CHH/MIH/GIH neuropeptides in the <i>Pm</i>LyO-<i>Sf</i>9. In the transcriptional expression studies, the cDNA-based gene profiling of CHH (235 bp), MIH (243 bp), and GIH (247 bp) was determined. A comparative gene expression of CHH/MIH/GIH in <i>Pm</i>LyO-<i>Sf</i>9 cell line and Lymphoid organ in <i>Penaeus monodon</i> revealed consistent expression in both. Immunofluorescence confirmed the translational expression of CHH/MIH/GIH with immune-positive cells exhibiting neuropeptides localized in the cytoplasm of <i>Pm</i>LyO-<i>Sf</i>9 cells. This is the first study that proved the presence of CHH family neuropeptides in <i>Pm</i>LyO-<i>Sf</i>9 cell line and in the Lymphoid organ of <i>Penaeus monodon</i>, hitherto not reported. Accordingly, the cell line has been identified as a suitable platform for endocrinological expression, with potential applications in lieu of animal model.\n</p></div>","PeriodicalId":690,"journal":{"name":"Marine Biotechnology","volume":"27 5","pages":""},"PeriodicalIF":2.8000,"publicationDate":"2025-08-19","publicationTypes":"Journal Article","fieldsOfStudy":null,"isOpenAccess":false,"openAccessPdf":"","citationCount":"0","resultStr":null,"platform":"Semanticscholar","paperid":null,"PeriodicalName":"Marine Biotechnology","FirstCategoryId":"99","ListUrlMain":"https://link.springer.com/article/10.1007/s10126-025-10505-1","RegionNum":3,"RegionCategory":"生物学","ArticlePicture":[],"TitleCN":null,"AbstractTextCN":null,"PMCID":null,"EPubDate":"","PubModel":"","JCR":"Q3","JCRName":"BIOTECHNOLOGY & APPLIED MICROBIOLOGY","Score":null,"Total":0}
引用次数: 0

Abstract

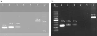
Shrimp maturation is governed by the hormones secreted by neurosecretory structures in the eyestalk known as X-organ sinus gland complex (XOSG). The X-organ consists of a cluster of neurosecretory cells responsible for synthesizing crustacean hyperglycemic family hormones, including crustacean hyperglycemic hormone (CHH), molt inhibiting hormone (MIH), and gonad inhibiting hormone (GIH). CHH family neuropeptides have gained attention for three decades due to their endocrinological role in aquaculture. One of the most challenging tools in crustacean endocrinology research was the unavailability of a crustacean cell line. Recently, a novel hybrid cell line, the PmLyO-Sf9, was developed by fusing Penaeus monodon lymphoid organ cells with Sf9 cells. Focusing on this cell line, we undertook a comprehensive analysis of the transcriptional and translational expression profiling of CHH/MIH/GIH neuropeptides in the PmLyO-Sf9. In the transcriptional expression studies, the cDNA-based gene profiling of CHH (235 bp), MIH (243 bp), and GIH (247 bp) was determined. A comparative gene expression of CHH/MIH/GIH in PmLyO-Sf9 cell line and Lymphoid organ in Penaeus monodon revealed consistent expression in both. Immunofluorescence confirmed the translational expression of CHH/MIH/GIH with immune-positive cells exhibiting neuropeptides localized in the cytoplasm of PmLyO-Sf9 cells. This is the first study that proved the presence of CHH family neuropeptides in PmLyO-Sf9 cell line and in the Lymphoid organ of Penaeus monodon, hitherto not reported. Accordingly, the cell line has been identified as a suitable platform for endocrinological expression, with potential applications in lieu of animal model.

Abstract Image

CHH、MIH和GIH在PmLyO-Sf9细胞系中表达的转录和翻译分析,旨在建立虾内分泌的新型体外模型
虾的成熟是由眼柄中被称为x器官窦腺复合体(XOSG)的神经分泌结构分泌的激素控制的。x器官由一群神经分泌细胞组成,负责合成甲壳类高血糖激素家族激素,包括甲壳类高血糖激素(CHH)、脱皮抑制激素(MIH)和性腺抑制激素(GIH)。CHH家族神经肽因其在水产养殖中的内分泌作用而受到了近三十年的关注。甲壳类动物内分泌学研究中最具挑战性的工具之一是无法获得甲壳类动物细胞系。近年来,通过将单对虾淋巴样器官细胞与Sf9细胞融合,获得了一种新的杂交细胞系PmLyO-Sf9。针对该细胞系,我们对PmLyO-Sf9中CHH/MIH/GIH神经肽的转录和翻译表达谱进行了全面分析。在转录表达研究中,测定了CHH (235 bp)、MIH (243 bp)和GIH (247 bp)的cdna基因谱。CHH/MIH/GIH基因在PmLyO-Sf9细胞系和单对虾淋巴器官中的表达一致。免疫荧光证实了CHH/MIH/GIH在PmLyO-Sf9细胞的细胞质中表达,免疫阳性细胞显示神经肽定位。本研究首次证实了CHH家族神经肽存在于单对虾PmLyO-Sf9细胞系和淋巴器官中,迄今未见报道。因此,该细胞系已被确定为内分泌表达的合适平台,具有替代动物模型的潜在应用。
本文章由计算机程序翻译,如有差异,请以英文原文为准。
求助全文
约1分钟内获得全文 求助全文
来源期刊
Marine Biotechnology
Marine Biotechnology 工程技术-海洋与淡水生物学
CiteScore
4.80
自引率
3.30%
发文量
95
审稿时长
2 months
期刊介绍: Marine Biotechnology welcomes high-quality research papers presenting novel data on the biotechnology of aquatic organisms. The journal publishes high quality papers in the areas of molecular biology, genomics, proteomics, cell biology, and biochemistry, and particularly encourages submissions of papers related to genome biology such as linkage mapping, large-scale gene discoveries, QTL analysis, physical mapping, and comparative and functional genome analysis. Papers on technological development and marine natural products should demonstrate innovation and novel applications.
×
引用
GB/T 7714-2015
复制
MLA
复制
APA
复制
导出至
BibTeX EndNote RefMan NoteFirst NoteExpress
×
提示
您的信息不完整,为了账户安全,请先补充。
现在去补充
×
提示
您因"违规操作"
具体请查看互助需知
我知道了
×
提示
确定
请完成安全验证×
copy
已复制链接
快去分享给好友吧!
我知道了
右上角分享
点击右上角分享
0
联系我们:info@booksci.cn Book学术提供免费学术资源搜索服务,方便国内外学者检索中英文文献。致力于提供最便捷和优质的服务体验。 Copyright © 2023 布克学术 All rights reserved.
京ICP备2023020795号-1
ghs 京公网安备 11010802042870号
Book学术文献互助
Book学术文献互助群
群 号:604180095
Book学术官方微信